Рак щитовидной железы
| Рак щитовидной железы | |
|---|---|
| |
| МКБ-11 | 2D10 |
| МКБ-10 | C73 |
| МКБ-10-КМ | C73 |
| МКБ-9 | 193 |
| МКБ-9-КМ | 193[1] и 239.7[2] |
| MedlinePlus | 001213 |
| eMedicine | ent/646 |
| MeSH | D013964 |

Рак щитовидной железы — опухоль щитовидной железы, развивающаяся из фолликулярных или из С-клеток.
Типы рака щитовидной железы
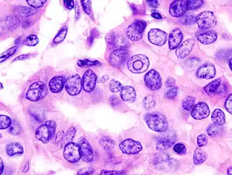
В зависимости от гистопатологического строения, классифицируют как папиллярный, фолликулярный, медуллярный и анапластический.[3] Наиболее часты папиллярные и фолликулярные карциномы. Фолликулярный и папиллярный раки щитовидной железы относят к высокодифференцированным формам. При выявлении этих типов карцином на ранних стадиях прогноз благоприятный до 90 % случаев.
Медуллярный рак является более агрессивным, чем папиллярный и фолликулярный, что проявляется метастазированием в локорегионарные лимфатические узлы шеи на ранних стадиях заболевания. Пятилетняя выживаемость при данной разновидности рака колеблется на уровне 70—80 %, десятилетняя — 60—70 %, двадцатилетняя — 40—50 %. Уровень выживаемости у больных до 40 лет выше, чем после 40.
Анапластический рак щитовидной железы является крайне агрессивной карциномой: быстрорастущий и плохо отвечающий на проводимое лечение. Анапластический рак щитовидной железы характеризуется быстрым метастазированием в окружающие ткани и органы, неблагоприятным прогнозом и коротким сроком жизни больного после выявления данного заболевания (в среднем до 1 года).
Симптомы
В большинстве случаев РЩЖ протекает бессимптомно. Наиболее часто первый признак рака щитовидной железы — это появление узлового образования в области щитовидной железы или увеличение шейных лимфоузлов. Однако узлы щитовидной железы встречаются у многих взрослых, и менее 5 % из числа узлов являются злокачественными. Иногда первый признак заболевания — это увеличение лимфатических узлов. Более поздними признаками являются боль в передней части шеи и изменение голоса. Обычно рак щитовидной железы выявляется у лиц с нормальной функцией щитовидной железы, но признаки гипертиреоза или гипотиреоза могут сочетаться с более крупной или метастатической хорошо дифференцированной опухолью. Узловые образования щитовидной железы являются предметом особой озабоченности при выявлении у лиц младше 20 лет. В этом возрасте наличие доброкачественных узлов менее вероятно, поэтому вероятность их злокачественности намного выше.
Диагностика
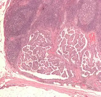
Клиническую оценку узлов щитовидной железы проводят с помощью к тонкоигольной аспирационной пункционной биопсии (ТАПБ) под контролем УЗИ, а при неинформативной ТАПБ посредством открытой инцизионной биопсии с последующим гистологическим исследованием образца ткани из подозрительного на рак образования. После обнаружения узла во время физикального исследования необходима консультация эндокринолога или эндокринного хирурга. Наиболее распространено проведение ультразвуковой диагностики для подтверждения наличия узла и оценки состояния всей железы, а также для оценки размеров узла в динамике. Измерение тиреотропного гормона и антитиреоидиных антител поможет решению вопроса, является ли это функциональное заболевание щитовидной железы, например тиреоидит Хашимото — известная причина доброкачественного узлового зоба.[4]Также используют сцинтиграфический метод диагностики.
.jpg)
Биопсия с помощью аспирации тонкой иглой
Тонкоигольная аспирационная пункционная биопсия (ТАПБ) — один из основных методов диагностики рака щитовидной железы. Это наиболее оправдывающий затраты, чувствительный и точный тест.[5][6][7][8] Обычно ТАПБ проводится под контролем УЗИ, что позволяет пунктировать узловые образования от 3 мм в наибольшем диаметре и получать достаточное количество клеток щитовидной железы для дальнейшего микроскопического анализа. При сомнительном или неинформативной ТАПБ рекомендована открытая биопсия подозрительного узла с проведением экспресс-патогистологического исследования (Экспресс-ПГИ).
Исследования крови
Помимо биопсии необходимо проведение исследования крови. Наличие определенных онкомаркеров указывает на вероятность наличия той или иной формы рака щитовидной железы. При подозрении на медуллярный рак щитовидной железы необходимо проведение анализа крови на тиреокальцитонина — гормон, продуцирующийся парафолликулярными клетками, а также тест на уровень раковоэмбрионального антигена. Разработка и внедрение специфических маркеров для диагностики других форм рака щитовидной железы продолжается.[9]
Также для общей диагностики могут проводиться исследования уровней гормонов, естественным образом присутствующих в организме. Например, это тиреотропный гормон (ТТГ), тироксин (Т4) и трийодтиронин (Т3). Иногда проводят исследования антищитовидных антител в сыворотке, так как они могут указать на аутоиммунное заболевание щитовидной железы, часто сопровождающее папиллярный рак щитовидной железы.[10] Также при подозрении на медуллярный рак должен проводиться анализ крови для определения мутаций протоонкогена RET, в том числе у родственников таких пациентов, что позволяет выявлять генетическую предрасположенность к данному виду карциномы щитовидной железы.[11]
Инструментальная диагностика
В большинстве случаев рак щитовидной железы протекает без явной симптоматики и характеризуется наличием узловых образований в щитовидной железе или увеличенными лимфатическими узлами шеи, которые можно выявить с помощью ультразвукового исследования УЗИ или при обычной пальпации. Другие методы исследования, например, рентгенография, ПЭТ, МРТ применяются при подозрении на отдаленные метастазы.
При проведении УЗИ подозрительными являются узлы, мало отражающие УЗ-волну, с неровным контуром, с микрокальцификациями или с высокими уровнями кровотока внутри узла.[12] Менее подозрительны узлы, сильно отражающие УЗ-волну, образования с «хвостами кометы» от коллоида, отсутствием кровотока, наличием ореола или отчетливой ровной границы. Сканирование щитовидной железы с помощью радиофармпрепарата технеция-MIBI может применяться при подозрении на радиойоднечувствительные метастазы или медуллярный рак щитовидной железы.
Патоморфологическая классификация рака щитовидной железы
Раки щитовидной железы классифицируют согласно их патогистологическим характеристикам.[13][14] Различают следующие варианты (частота встречаемости разных подтипов может показывать местную вариацию):
- Папиллярный рак щитовидной железы до 75 %
- Фолликулярный рак щитовидной железы до 15 %
- Медуллярный рак щитовидной железы до 8 %[15]
- Анапластический рак щитовидной железы менее, чем 5 %
- Другие: лимфома щитовидной железы, сквамозноклеточная карцинома щитовидной железы, различные виды сарком щитовидной железы
Фолликулярный и папиллярный типы классифицируют как «высокодифференцированный рак щитовидной железы».[16] Эти типы имеют более благоприятный прогноз, чем медуллярный и недифференцированные типы.[17]
Лечение рака щитовидной железы

Хирургическое
Основным методом лечения рака щитовидной железы является хирургическое вмешательство — тиреоидэктомия. Эта операция подразумевает частичное или полное удаление ткани органа. В зависимости от формы рака, стадии его развития, наличия метастазов и других прогностических признаков рассматриваются различные объемы операции:
- тотальная тиреоидэктомия — полное удаление щитовидной железы. После такого лечения для нормализации гормонального фона пациенту назначается пожизненная заместительная гормонотерапия.
- субтотальная тиреоидэктомия — удаление практически всей тиреоидной ткани за исключением небольшого здорового участка. Если до операции у пациента отмечался гипертиреоз, то в большинстве случаев после хирургического вмешательства оставшийся участок щитовидной железы способен продуцировать достаточное количество гормона, поэтому заместительная гормональная терапия не требуется.
- гемитиреоидэктомия — иссечение одной доли щитовидной железы. Такое вмешательство является наиболее щадящим при раке, но может использоваться только при своевременном обращении в клинику.
В ходе операции могут удаляться регионарные лимфоузлы (лимфодиссекция шеи) при наличии или при подозрении на наличие метастазов. При рецидиве могут потребоваться дополнительные операции для удаления метастатических очагов в лимфоузлах шеи и средостения.
Радиойодтерапия
Поскольку клетки рака щитовидной железы (за исключением клеток медуллярного, анапластического рака) способны поглощать и накапливать йод, после полного удаления органа при папиллярной и фолликулярной карциноме может быть также применен метод лечения радиоактивным йодом (радиойодная терапия). Лекарственная форма — капсулы либо безвкусные растворы. После попадания в организм молекулы радиоактивного йода накапливаются в тиреоцитах, а также в метастазах, и уничтожают их в большинстве случаев. При радиойодрезистентных опухолях такая терапия неэффективна. В соответствии с современными представлениями лечение прямым облучением щитовидной железы обычно малоэффективно как на предоперационной, так и на послеоперационной стадиях, в то время как радиойодтерапия показывает хорошие результаты и значительно улучшает прогноз.
Супрессивная ТТГ-терапия
После операции больному также проводится гормональная терапия с целью понижения уровня, естественно вырабатываемого гипофизом гормона ТТГ (тиреотропного гормона), с целью снижения стимуляции тиреоцитов, которые могут оставаться после оперативного лечения и радиойодтерапии[18].
Таргетная терапия
Для терапии метастатического, местнораспространенного, радиойодрефрактерного высокодифференцированного рака щитовидной железы применяется терапия препаратами Сорафениб, Ленватиниб.
Примечания
- ↑ Disease Ontology (англ.) — 2016.
- ↑ Monarch Disease Ontology release 2018-06-29 — 2018-06-29 — 2018.
- ↑ Hu MI, Vassilopoulou-Sellin R, Lustig R, Lamont JP. «Thyroid and Parathyroid Cancers» in Pazdur R, Wagman LD, Camphausen KA, Hoskins WJ (Eds) Cancer Management: A Multidisciplinary Approach. 11 ed. 2008.
- ↑ Bennedbaek FN, Perrild H, Hegedüs L (1999). «Diagnosis and treatment of the solitary thyroid nodule. Results of a European survey». Clin. Endocrinol. (Oxf) 50 (3): 357-63. doi:10.1046/j.1365-2265.1999.00663.x. PMID 10435062. www.blackwell-synergy.com/openurl?genre=article&sid=nlm:pubmed&issn=0300-0664&date=1999&volume=50&issue=3&spage=357 Источник. Дата обращения: 4 июля 2009. Архивировано из оригинала 18 января 2013 года..
- ↑ Аветисьян И.Л., Самойлов А.А., Гульчий Н.В., Яровой А.О. Аспирационная биопсия щитовидной железы: клинические аспекты цитологических исследований // Український медичний часопис : журнал. — 2002. — Т. 3, № 29. — С. 121—126. (рус.)
- ↑ Ravetto C, Colombo L, Dottorini ME (2000). «Usefulness of fine-needle aspiration in the diagnosis of thyroid carcinoma: a retrospective study in 37,895 patients». Cancer 90 (6): 357-63. doi:10.1002/1097-0142(20001225)90:6<357::AID-CNCR6>3.0.CO;2-4. PMID 11156519.
- ↑ Hamberger, B (1982). «Fine-needle aspiration biopsy of thyroid nodules. Impact on thyroid practice and cost of care». Am J Med 73: 381—384. PMID 7124765.
- ↑ Mazzaferri (1993). «Management of a Solitary Thyroid Nodule». N Engl J Med 328: 553-9. PMID 8426623.
- ↑ Sofiadis A., Dinets A., Orre L.M., Branca R.M., Juhlin C.C., Foukakis T., Wallin G., Höög A., Hulchiy M., Zedenius J., Larsson C., Lehtiö J. Proteomic study of thyroid tumors reveals frequent up-regulation of the Ca2+ -binding protein S100A6 in papillary thyroid carcinoma. (англ.) // Thyroid. : journal. — 2010. — October (vol. 20, no. 10). — P. 1067—1076. — doi:10.1089/thy.2009.0400.. — PMID 20629554.
- ↑ Дінець А. В., Фомін П. Д., Гульчій М. В., Олійник О. Б., Цимбалюк С. М., Белан М. В. Клініко-морфологічні особливості папілярної мікрокарциноми щитоподібної залози на фоні хвороби Грейвса. Український медичний частопис. — 2012. // № 3 (89) — с.136-138. Архивная копия от 11 января 2014 на Wayback Machine.
- ↑ Dinets A., Hulchiy M., Sofiadis A., Ghaderi M., Höög A., Larsson C., Zedenius J. Clinical, Genetic and Immunohistochemical Characterization of 70 Ukrainian Adult Cases with Post-Chornobyl Papillary Thyroid Carcinoma. (англ.) // European Journal of Endocrinology : journal. — 2012. — Vol. 166. — P. 1049—1060. — doi:10.1530/EJE-12-0144. — PMID 22457234.
- ↑ Wong KT, Ahuja AT (2005). «Ultrasound of thyroid cancer». Cancer Imaging 5: 157-66. doi:10.1102/1470-7330.2005.0110. PMID 16361145.
- ↑ «Thyroid Cancer Treatment — National Cancer Institute». http://www.cancer.gov/cancertopics/pdq/treatment/thyroid/HealthProfessional/page2 Архивная копия от 21 апреля 2008 на Wayback Machine. Retrieved on 2007-12-22.
- ↑ «Thyroid cancer». http://cancerweb.ncl.ac.uk/cancernet/101252.html#2_CELLULARCLASSIFICATION Архивировано 20 декабря 2007 года.. Retrieved on 2007-12-22.
- ↑ Schlumberger M, Carlomagno F, Baudin E, Bidart JM, Santoro M (2008). «New therapeutic approaches to treat medullary thyroid carcinoma». Nat Clin Pract Endocrinol Metab 4 (1): 22-32. doi:10.1038/ncpendmet0717. PMID 18084343.
- ↑ Nix P, Nicolaides A, Coatesworth AP (2005). «Thyroid cancer review 2: management of differentiated thyroid cancers». Int. J. Clin. Pract. 59 (12): 1459-63. doi:10.1111/j.1368-5031.2005.00672.x. PMID 16351679. http://www.medscape.com/viewarticle/518396 Архивная копия от 20 мая 2013 на Wayback Machine.
- ↑ Nix PA, Nicolaides A, Coatesworth AP (2006). «Thyroid cancer review 3: management of medullary and undifferentiated thyroid cancer». Int. J. Clin. Pract. 60 (1): 80-4. doi:10.1111/j.1742-1241.2005.00673.x. PMID 16409432. www.blackwell-synergy.com/openurl?genre=article&sid=nlm:pubmed&issn=13685031&date=2006&volume=60&issue=1&spage=80 (недоступная ссылка).
- ↑ Гульчий Н. В., Динец А. В. Особенности гормональной терапии после операций по поводу рака щитовидной железы. Международный эндокринологический журнал // № 1 (42).- 2012. — с. 98-105.