Феохромоцитома
| Феохромоцитома | |
|---|---|
| |
| МКБ-11 | XH3854 |
| МКБ-10 | C74.1, D35.0 |
| МКБ-9 | 255.6 |
| МКБ-О | M8700/0 |
| OMIM | 171300 |
| DiseasesDB | 9912 |
| MedlinePlus | 000340 |
| eMedicine | med/1816 radio/552 ped/1788 |
| MeSH | D010673 |
Фѐохро̀моцито́ма — гормонально активная опухоль хромаффинных клеток симпато-адреналовой системы надпочечниковой или вненадпочечниковой локализации, секретирующая большое количество катехоламинов. Заболевание относится к опухолям (доброкачественным) APUD-системы и довольно часто является одной из составляющих синдрома множественной эндокринной неоплазии (как правило, в этом случае феохромоцитома бывает двусторонней)[1].
Патогенез


Избыточная выработка катехоламинов (адреналина, норадреналина).
Клиническая картина
Характерны кризы с резким повышением АД в сочетании с нервно-психическими, эндокринно-обменными, желудочно-кишечными и гематологическими симптомами (пароксизмальная форма заболевания). Во время приступа клиника напоминает симптоматику симпатико-адреналового криза: появляются чувство страха, беспокойство, дрожь, озноб, бледность кожных покровов, головная боль, боль за грудиной, в области сердца, тахикардия, экстрасистолия, тошнота, рвота, повышение температуры тела, потливость, сухость во рту. В крови — лейкоцитоз, лимфоцитоз, эозинофилия, гипергликемия. Приступ завершается полиурией. Продолжительность криза от нескольких минут до нескольких часов. Криз может осложниться кровоизлиянием в сетчатку глаза (возникает гипертоническая ретинопатия), нарушением мозгового кровообращения, отеком легких. Приступы возникают, как правило, внезапно и могут провоцироваться эмоциональным стрессом, физическим напряжением, пальпацией опухоли, резким изменением положения тела. При стабильной форме заболевания отмечается постоянно высокая артериальная гипертензия, возможны нарушения функционального состояния почек, изменения глазного дна. Наблюдаются повышенная возбудимость, лабильность настроения, утомляемость, головная боль. При злокачественной опухоли — феохромобластоме — нередки похудение, боли в животе. Возможно развитие сахарного диабета. В диагностических целях проводят ультразвуковое исследование надпочечников, компьютерную томографию, ретропневмоперитонеум (топическая диагностика), определяют экскрецию с мочой (в течение суток или в трехчасовой порции мочи, собранной после приступа) катехоламинов и их метаболитов: адреналина, норадреналина, ванилилминдальной кислоты, проводят фармакологические пробы с гистамином или тропафеном.
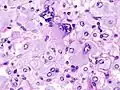
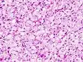
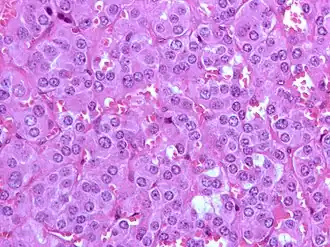
Диагностика
Микропрепарат феохромоцитомы.
Микропрепарат феохромоцитомы.
Микропрепарат феохромоцитомы.
Двусторонняя феохромоцитома в составе МЭН-2.
КТ живота: феохромоцитома.
КТ живота: феохромоцитома.
Феохромоцитома (сцинтиграфия).
Лечение
Наиболее радикальный метод лечения феохромоцитомы — хирургическое удаление опухоли. Однако он может проводиться лишь после стабилизации артериального давления. С этой целью на дооперационном этапе лечения феохромоцитомы пациенту назначается приём а-адреноблокаторов: Феноксибензамин, Фентоламин, Тропафен и т.д. Методы проведения операции по удалению феохромоцитомы: открытый доступ, лапароскопический доступ и ретроперитонеоскопическая операция.
Критерием эффективности лечения феохромоцитомы считается появление ортостатических колебаний артериального давления, вызванных переменой положения тела. Выбор метода хирургического лечения феохромоцитомы зависит от особенностей опухоли. Хорошее манипулирование во время операции обеспечивают трансбрюшинный, трансторакальный, внебрюшинный или комбинированные доступы для оперативного вмешательства. При одиночных опухолях эффективность хирургического лечения феохромоцитомы высокая. Рецидив заболевания наблюдается лишь в 12—15 % случаев. В некоторых случаях после удаления опухоли у пациента не происходит снижение давления. Такое послеоперационное осложнение связывают с повреждением почечной артерии или неполным удалением опухоли.
При множественных опухолях единого стандарта в хирургическом лечении феохромоцитомы не существует. Целесообразным считается полное удаление всех опухолей, однако из-за высокого риска операции от этой тактики лечения феохромоцитомы приходится отказываться и проводить резекцию опухолей в несколько этапов или удалять лишь часть опухоли.
Консервативное лечение феохромоцитомы надпочечников менее эффективно. Оно направлено на снижение в организме уровня катехоламинов препаратами на основе А-метилтирозинома. Консервативное лечение феохромоцитомы способно на 80 % снизить количество катехоламинов и предотвратить развитие гипертонического криза. Однако систематический приём А-метилтирозинома может привести к нарушениям психики и функциональным расстройствам ЖКТ. Медикаментозное лечение направлено в основном на предотвращение развития гипертонического криза.
Препараты: йобенгуан-131.
См. также
Примечания
- ↑ Малая энциклопедия врача-эндокринолога / Под ред. А. С. Ефимова. — 1-е изд. — Киев: Медкнига, ДСГ Лтд, Киев, 2007. — С. 347—354. — 360 с. — («Библиотечка практикующего врача»). — 5000 экз. — ISBN 966-7013-23-5.
