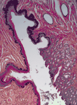
Эпителий
.jpg)
Эпите́лий (лат. epithelium, от греч. ἐπι- — «сверх-» и θηλή — «сосок молочной железы»), или эпителиа́льная ткань — совокупность полярных дифференцированных клеток, тесно прилегающих друг к другу в виде пласта, лежащего на базальной мембране. Эпителий лежит на границе внешней или внутренней среды организма и образует большую часть желёз[1]. В эпителии отсутствуют межклеточное вещество и кровеносные сосуды, однако имеется обильная иннервация. Эпителии могут происходить из всех трёх зародышевых листков: энтодермы, эктодермы и мезодермы, хотя большая часть эпителиев происходит из энтодермы и эктодермы. Существует несколько классификаций эпителиальных тканей, однако наиболее распространена морфологическая классификация, в которой эпителии разделяют по числу слоёв (одно- или многослойные) и форме клеток (плоская, кубическая, призматическая), а также способности к ороговению. Эпителиальным тканям присуща высокая регенеративная способность.
Морфофизиологические свойства
По морфофизиологическим свойствам клетки эпителиев весьма разнообразны, однако есть ряд черт, присущих всем клеткам эпителиев (эпителиоцитам). В эпителиях практически отсутствует межклеточное вещество, клетки плотно прилегают друг к другу и формируют между собой разнообразные межклеточные контакты — плотные контакты, щелевые контакты и десмосомы. Благодаря плотным контактам обеспечивается избирательная проницаемость эпителия[2]. Эпителий располагается на базальной мембране толщиной около 1 мкм, компоненты которой образуют и сами клетки эпителия, и нижележащая соединительная ткань[3].
Форма эпителиальных клеток может быть кубической, цилиндрической, плоской и зависит от количества цитоплазмы и органелл в ней, что связано с уровнем метаболической активности клеток. Наименее активны плоские эпителиоциты. В столбчатых клетках высокоактивен эндоплазматический ретикулум, имеются многочисленные митохондрии. Иногда эпителиальные клетки содержат пигмент, например, к числу таких клеток относятся клетки радужной оболочки, сетчатки, кожи[4].
Базальная мембрана подразделяется на подэпителиальную электронно-прозрачную светлую пластинку толщиной от 20 до 40 нм (lamina lucida) и тёмную пластинку (lamina densa) толщиной 20—60 нм (по другим данным, 20—100 нм[5]). Светлая пластинка может располагаться по обе стороны от тёмной пластинки или только по одну[5] и сформирована богатым кальцием и бедным белками аморфным веществом. В состав тёмной пластинки входит аморфный матрикс, механическую прочность которого обеспечивает фибриллярный коллаген IV типа — маркерный белок базальной мембраны. Аморфное вещество базальной мембраны богато гликопротеинами, протеогликанами (например, перлеканом) и углеводами (в частности, гликозаминогликанами). Эпителиальные клетки связаны с базальной мембраной с помощью полудесмосом при участии гликопротеинов фибронектина, ламинина и нидогена, которые образуют адгезивный субстрат. Кроме того, актиновые микрофиламенты цитоскелета эпителиоцитов связаны с базальной мембраной посредством фокальных контактов[6]. Важную роль в прикреплении к базальной мембране играют ионы кальция. Базальная мембрана, помимо того, что служит механической опорой для эпителиального пласта, обладает трофической функцией — пропускает питательные вещества к клеткам эпителия, поскольку в эпителиях отсутствуют кровеносные сосуды. Также базальная мембрана выступает в роли барьера, через который осуществляется избирательный транспорт веществ, ограничивает возможность инвазивного роста эпителия и задействована в регенерации эпителия[7]. Базальная мембрана связана с подлежащей соединительной тканью с помощью якорных фибрилл, сформированных коллагеном VII типа. В тех случаях когда слои эпителия не разделены соединительной тканью (например, в альвеолах лёгкого), базальные мембраны каждого слоя сливаются с образованием общей утолщённой базальной мембраны. Иногда с базальной мембраной тесно связана ретикулярная пластинка (lamina retucularis), образованная ретикулярными волокнами. В некоторых источниках описанную выше структуру называют базальной пластинкой, а термин «базальная мембрана» применяют по отношению к слою, образующемуся при слиянии двух базальных пластинок или базальной и ретикулярной пластинок и положительно окрашивающемуся при ШИК-реакции[5].
Эпителиоциты обладают выраженной полярностью: их апикальные и базальные части резко отличаются друг от друга, в связи с чем в них выделяют апикальный и базолатеральный домены, которые различаются и функционально. Наиболее ярко полярность клеток выражена в однослойных эпителиях, например, апикальные поверхности эпителиоцитов кишечника несут многочисленные микроворсинки, а в базальной части микроворсинок нет и происходит всасывание питательных веществ и выделение продуктов обмена в кровь или лимфу. Микроворсинки представляют собой пальцевидные выросты длиной около 1 мкм и шириной 0,08 мкм. Комплекс микроворсинок и покрывающего их гликокаликса можно увидеть в световой микроскоп; он известен как щёточная, или исчерченная, каёмка[8]. Очень длинные микроворсинки, лишённые подвижности, называют стереоцилиями. Стереоцилии можно найти в придатке яичка (эпидидимисе) в мужской половой системе и у волосковых клеток внутреннего уха[9]. Иногда апикальные домены эпителиоцитов несут реснички. Апикальный домен эпителиоцита несёт множество ионных каналов, белков-переносчиков, молекулы мембранной АТФазы, гликопротеины, гидролитические ферменты, а также аквапорины[10]. Базальный домен может содержать инвагинации клеточной мембраны и образует полудесмосомы, закрепляющие клетку на субстрате. Впячивания базальной мембраны увеличивают площадь поверхности, участвующей в транспорте веществ[11]. Впячивания могут образовываться и на боковых (латеральных) поверхностях эпителиальных клеток[12]. В многослойных эпителиях проявляется полярность отдельных слоёв: эпителиоциты базального слоя и поверхностных слоёв резко отличаются друг от друга[13].
Эпителии обладают высокой способностью к регенерации благодаря митотическим делениям и дифференцировке стволовых клеток, которые сохраняют способность к делению в течение всей жизни организма[14].
В эпителии имеется обильная иннервация, и расположено множество чувствительных нервных окончаний (рецепторов)[15].
В качестве цитогенетического маркера эпителиальных клеток используется белок цитокератин, входящий в состав промежуточных филаментов. Известно более 20 форм цитокератина, которые присутствуют в разных видов эпителия. Благодаря гистохимическому обнаружению форм цитокератина в исследуемой ткани можно установить, что её происхождение связано с эпителием, что имеет огромное значение в гистологическом исследовании опухолей[3].
Функции
Эпителиальные ткани выполняют множество важных функций в организме. Они защищают внутреннюю среду организма, обеспечивают трансцеллюлярный транспорт веществ, секретируют слизь, гормоны, ферменты и другие вещества, осуществляют всасывание веществ из просвета органа (в кишечнике или почечных канальцах). Благодаря селективной проницаемости контактов между клетками эпителии контролируют транспорт веществ между различными органами. Некоторые производные эпителия, такие как вкусовые луковицы, сетчатка и специализированные волосковые клетки уха осуществляют сенсорную функцию[16].
Классификация
Существует несколько классификаций эпителиев, которые учитывают различные особенности эпителиальных тканей: морфологическая, функциональная, онтофилогенетическая[13].
Морфологическая классификация

Наибольшее распространение получила морфологическая классификация, основанная на форме клеток и их связи с базальной мембраной. Согласно этой классификации, все эпителии подразделяются на однослойные, в которых все клетки связаны с базальной мембраной, и многослойные, в которых с базальной мембраной непосредственно взаимодействует лишь самый нижний слой клеток. По форме клеток однослойный эпителий подразделяют на плоский (сквамозный), кубический и призматический (столбчатый, цилиндрический[17]), в случае многослойных эпителиев при классификации учитывается форма только клеток наружного слоя[18].
Однослойные эпителии
.jpg)
Однослойные эпителии подразделяют на однорядные, в которых ядра эпителиоцитов лежат на одном уровне, и многорядные, или псевдомногослойные, у которых ядра клеток лежат на разных уровнях, хотя все клетки сохраняют связь с базальной мембраной[19].
Клетки однорядного эпителия имеют одинаковую форму (плоскую, кубическую, столбчатую), ядра занимают центральное положение[16]. Клетки плоского эпителия сильно уплощены, цитоплазма формирует тонкую прослойку, и ядра образуют выпуклости на поверхности клетки[20]. Однослойным плоским эпителием является мезотелий, который покрывает серозные оболочки (листки плевры, околосердечную сумку (перикард), висцеральную и париетальную брюшину), а также, по мнению ряда исследователей, эндотелий, выстилающий кровеносные и лимфатические сосуды изнутри (некоторые учёные относят эндотелий к соединительным тканям). Однослойный эпителий покрывает тело некоторых животных, например, ланцетника или полухордовых[21]. Клетки мезотелия несут микроворсинки, плоские, имеют многоугольную форму и неровные края. Мезотелий участвует в выделении и всасывании серозной жидкости. Однослойный плоский эпителий, выстилающий околосердечную сумку, называют эндокардом[20]. Эндотелий представляет собой пласт плоских клеток (эндотелиоцитов), которые относительно бедны органеллами, но содержат в цитоплазме пиноцитозные везикулы. Эндотелий задействован в обмене веществ и газов между кровью, лимфой и другими тканями[22]. Кроме того, однослойный плоский эпителий выстилает альвеолы лёгких, петлю Генле и формирует париетальную выстилку боуменовых капсул в почечных клубочках[16].
Клетки однослойного кубического эпителия имеют кубическую форму, содержат центрально расположенное округлое ядро. Однослойный кубический эпителий выстилает проксимальные и дистальные почечные канальцы. Клетки проксимальных канальцев несут щёточную каёмку, которая состоит из множества микроворсинок и покрывающего их гликокаликса. В базальных отделах клеток проксимальных канальцев имеются глубокие складки клеточной мембраны, между которыми находятся митохондрии, что придаёт базальной части эпителия проксимальных канальцев поперечную исчерченность. Эпителиальная выстилка почечных канальцев задействована в реабсорбции ряда веществ из первичной мочи[23]. Однослойный кубический эпителий также выстилает протоки многих желёз и покрывает яичники[24]. Однослойный кубический эпителий, покрывающий яичники, называют герминальным эпителием. Типичный кубический эпителий можно обнаружить в фолликулах щитовидной железы, на внутренней поверхности хрусталика и пигментном слое сетчатки[25]. Однослойный кубический эпителий покрывает тело ланцетника[26].
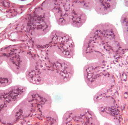
Клетки однослойного призматического эпителия имеют удлинённую форму, их яйцевидные, нередко также удлинённые ядра, как правило, располагаются на одном уровне в базальных частях клеток[20]. Однослойный призматический эпителий характерен для многих отделов пищеварительного тракта — желудка, тонкого и толстого кишечника, жёлчного пузыря, некоторых протоков печени, поджелудочной железы и некоторых других желёз. Апикальные поверхности клеток несут микроворсинки. Многочисленные контакты между эпителиоцитами, выстилающими пищеварительный тракт, не дают выйти в полость тела содержимому соответствующих органов[27]. Клетки однослойного призматического эпителия, который выстилает матку, яйцеводы и мелкие бронхи, несут реснички[24]. Ресничный призматический эпителий выстилает изнутри спинномозговую полость и желудочки головного мозга[28].

Многорядный (псевдомногослойный, ложномногослойный) эпителий характерен для воздухоносных путей — носовой полости, трахеи, бронхов и некоторых других органов. Многорядные эпителии нередки и среди беспозвоночных; например, у двустворчатых моллюсков псевдомногослойный эпителий выстилает пищеварительную трубку[29], а у голожаберных моллюсков он покрывает большую часть тела[30]. Хотя все клетки многорядного эпителия контактируют с базальной мембраной, лишь немногие выходят на поверхность. Клетки, не контактирующие с поверхностью, как правило, имеют широкое основания и сужаются в апикальной части, ядра располагаются в расширенных частях клеток и потому не лежат на одном уровне[25]. В воздухоносных путях ряд клеток многорядного эпителия несёт реснички, а остальные клетки подразделяют на вставочные, базальные и бокаловидные клетки, продуцирующие слизь. Базальные клетки участвуют в регенерации эпителия, так как дифференцируются в ресничные и бокаловидные клетки. Ресничные клетки высокие, призматические, с помощью сгибательных движений ресничек очищают вдыхаемый воздух от частиц пыли[31]. У человека многорядный эпителий, не несущий ресничек, можно обнаружить в мужской уретре, придатке яичка и крупных выводных протоках желёз[32].
Многослойные эпителии

В многослойных эпителиях с базальной мембраной связаны только клетки самого нижнего (базального) слоя. В многослойном плоском неороговевающем эпителии различают три слоя: базальный, шиповатый (промежуточный) и плоский (поверхностный). Клетки базального слоя кубические или призматические, среди них имеются стволовые клетки, сохраняющие способность к митозу; именно благодаря делениям этих клеток популяция эпителиоцитов восстанавливается, несмотря на постоянное отмирание поверхностных клеток эпителия. Шиповатый слой образован эпителиоцитами неправильной многоугольной формы. Клетки базального и шиповатого слоёв содержат хорошо выраженные пучки тонофиламентов кератина. Плоские клетки, образующие поверхностный слой эпителия, постоянно отмирают и отпадают с поверхности эпителия, однако, в отличие от роговых чешуек многослойного плоского ороговевающего эпителия, в них различимы ядра. Многослойный плоский неороговевающий эпителий покрывает роговицу глаза, выстилает ротовую полость и пищевод[33], а также влагалище[17] и покрывает настоящие голосовые связки[34]. Многослойный неороговевающий эпителий, содержащий множество одноклеточных слизистых желез, покрывает тело у круглоротых и хрящевых рыб[35].
Поверхность кожи покрыта многослойным плоским ороговевающим эпителием, который формирует эпидермис. В эпидермисе протекает ороговение (кератинизация), в ходе которого эпителиальные клетки кератиноциты дифференцируются в роговые чешуйки. В ходе кератинизации в цитоплазме кератиноцитов синтезируются и накапливаются специфические белки — кислые и щелочные кератины, филаггрин, кератолинин и другие. Большая часть клеток эпидермиса представлена кератиноцитами, которые по мере дифференцировки перемещаются из базального слоя в верхние слои эпидермиса. Помимо кератиноцитов, эпидермис содержит меланоциты, специализированные эпидермальные макрофаги (клетки Лангерганса), лимфоциты и клетки Меркеля (осязательные клетки). Многослойный плоский ороговевающий эпителий подразделяется на несколько слоёв: базальный, шиповатый, зернистый, блестящий и роговой. Последние три слоя наиболее выражены в толстой коже, например, коже, покрывающей подошвы ног. Базальный слой представлен призматическими кератиноцитами, в цитоплазме которых образуется кератин, формирующий тонофиламенты. В базальном слое также находятся стволовые клетки, поэтому иногда базальный слой называют ростовым, или зачатковым. Шиповатый слой сложен кератиноцитами многоугольной формы, которые прочно связаны друг с другом с помощью десмосом. При фиксации клетки шиповатого слоя сморщиваются и отходят друг от друга, и десмосомы становятся хорошо заметны в виде шипиков (отсюда название слоя). Шиповатые кератиноциты содержат тонофибриллы, состоящие из кератиновых тонофиламентов, и кератиносомы, или ламеллярные гранулы, содержащие липиды. Содержимое кератиносом посредством экзоцитоза выделяется наружу и формирует богатое липидами цементирующее вещество. Зернистый слой слагают кератиноциты уплощённой формы, содержащие базофильные кератогиалиновые гранулы. В зернистом слое начинается распад органелл и ядер клеток под действием гидролитических ферментов, связанный с их отмиранием. В зернистом слое синтезируются специфические белки — филаггрин и кератолинин, укрепляющий мембраны клеток. Блестящий слой имеется только в участках с выраженным ороговением эпидермиса (на подошвах и ладонях). Его образуют плоские мёртвые кератиноциты, лишённые ядер и органелл. Под клеточной мембраной залегает слой укрепляющего белка кератолинина, а в цитоплазме кератогиалиновые гранулы сливаются, образуя единую светопреломляющую массу из кератиновых фибрилл, которые скрепляет аморфный матрикс, содержащий филлагрин. Роговой слой образуют отмершие плоские многоугольные кератиноциты, превратившиеся в роговые чешуйки. Они имеют плотную оболочку из кератолинина и полностью заполнены кератиновыми фибриллами, склеенными аморфным матриксом, не имеют ядер и цитоплазмы[34]. Чешуйки склеивает цементирующее вещество, образованное содержимым кератиносом и обогащённое липидами, что придаёт ему водоотталкивающие свойства. Роговой слой также устойчив к механическим и химическим воздействиям, непроницаем для воды и многих водорастворимых веществ (в том числе ядовитых), имеет низкую теплопроводность. Самые верхние кератиноциты утрачивают связь с эпидермисом и покидают его. Состав кератиноцитов эпидермиса полностью обновляется каждые три—четыре недели[36]. У некоторых амфибий, рептилий и птиц отмершие роговые чешуйки связаны друг с другом и отделяются в виде крупных фрагментов рогового слоя[37].
Очень необычное строение имеет эпидермис оболочников. У этих животных эпидермис несёт плотный, гибкий и прочный наружный слой, — тунику, состоящую из полисахарида туницина, близкого к целлюлозе растений. Туницин выделяют клетки эпидермиса, и они могут погружаться в него небольшими группами и поодиночке, при этом сохраняя связь с основным слоем эпидермиса при помощи отростков и специальных кровеносных сосудов. Благодаря тунике тело оболочника может прочно прикрепляться к субстрату[38]. У костистых рыб эпидермис содержит множество одноклеточных желёз, а под ним, в дерме, залегают костные чешуи[39]. У амфибий кожа лишена роговых образований, однако эпидермис покрыт одним слоем ороговевших клеток, из-за чего становится невозможной работа одноклеточных костных желёз, поэтому земноводные имеют только сложные многоклеточные железы[40]. У рептилий роговой слой эпидермиса тонкий, твёрдый, гладкий, неэластичный; его клетки слущиваются и обновляются за счёт деления клеток нижележащих слоёв. Периодически в ростковом слое эпидермиса рептилий образуются особые клетки, которые подвергаются неполному ороговению и разрушаются, из-за чего тонкий поверхностный слой отслаивается и начинается линька[41].
Выделяют также многослойный плоский паракератинизированный эпителий, который близок к многослойному плоскому ороговевающему эпителию, однако самые верхние его клетки сохраняют пикнотические ядра. Таким образом, степень кератинизации такого эпителия занимает промежуточное положение между ороговевающим и неороговевающим эпителиями. Паракератинизированный эпителий покрывает твёрдое нёбо и дёсны[34].

Многослойный кубический эпителий состоит всего из двух слоёв кубических эпителиоцитов и выстилает протоки потовых желёз[34]. Многослойный столбчатый эпителий в организме человека представлен мало, он встречается только в конъюктиве глаза, протоках слюнных желёз[17] и некоторых участках уретры. В случае многослойного столбчатого эпителия с базальной мембраной контактируют кубические или многоугольные с небольшим числом граней клетки, а верхний слой сложен призматическими эпителиоцитами[32].
Особые виды эпителиев

Мочеотводящие органы (почечные лоханки, мочеточники, мочевой пузырь, уретра) выстланы особым переходным эпителием, который даёт возможность этим органам сильно растягиваться при заполнении мочой. Своё название он получил в связи с тем, что ранее считалось, что он является переходной формой между многослойным столбчатым и многослойным плоским эпителиями. Поскольку переходный эпителий встречается только в мочеотводящих путях, его также называют уротелием[42]. Переходный эпителий обычно достигает 4—6 клеток в толщину[43]. В переходном эпителии выделяют три слоя: базальный, промежуточный, поверхностный. Базальный слой образуют невысокие цилиндрические или кубические клетки[32]. Промежуточный слой образован клетками многоугольной формы. Клетки поверхностного слоя очень крупные, нередко содержат два или три ядра, и в зависимости от степени растяжения стенки органа и его заполненности мочой имеют куполообразную или уплощённую форму. Когда стенка органа сокращается, некоторые клетки промежуточного слоя выходят на границу с поверхностным слоем и принимают грушевидную форму, а расположенные над ними поверхностные клетки становятся куполообразными. Когда орган заполнен мочой, но его стенка не сокращается, эпителий становится более тонким, поверхностные клетки принимают уплощённую форму[44].
Эпителий стрекающих также имеет ряд особенностей, отличающих его от эпителиев высших животных. Эпителий стрекающих архаичен, поскольку его клетки слабо дифференцированы: например, у гидры наружный эпителий может возникать за счёт дедифференцировки железистых клеток гастральной полости и их последующей дифференцировки в покровные клетки. У стрекающих также широко распространены эпителиально-мышечные клетки: их части, несущие ядра, образуют пласт на поверхности тела, а вытянутые базальные части содержат сократимые филаменты[30].
У паразитических плоских червей из групп цестод и трематод тело покрыто специализированным псевдокутикулярным погружённым эпителием. Особенно хорошо псевдокутикулярный погружённый эпителий выражен у цестод, которые лишены кишечника, и их покровный эпителий выполняет одновременно и барьерную, и всасывающую функции, а также защищает червя от действия гидролитических ферментов хозяина. Апикальные части эпителиальных клеток сливаются своими боковыми частями, формируя структурный и функциональный синцитий — тегумент, или псевдокутикулярная пластинка. Тегумент отделён от паренхимы, заполняющей тело червя, базальной мембраной. Базальная мембрана прерывается только в тех местах, где апикальные части эпителиальных клеток соединяются с базальными частями, несущими ядро и залегающими в паренхиме. Однослойный эпителий синцитиального строения характерен для некоторых других беспозвоночных: некоторых турбеллярий, коловраток, скребней и большинства нематод[45].
У современных многоклеточных животных наиболее распространённым вариантом кожных эпителиев являются кутикулярные эпителии. Они хорошо выражены у оболочников, аннелид, приапулид, моллюсков, членистоногих, нематод и других беспозвоночных. Кутикулярный эпителий состоит из однослойного эпителия и выделяемого им внеклеточного вещества, формирующего кутикулярную пластинку. Кутикулярная пластинка состоит из фибриллярных структур и цементирующего их аморфного матрикса. Фибриллярные структуры могут иметь полисахаридно-белковую природу (артроподный тип кутикулярного эпителия) или состоять из коллагена (аннелидный тип). У нематод имеется многослойная гетерогенная по составу кутикула (нематодный тип)[46].
Функциональная классификация
По функциям выделяют два ключевых вида эпителиев: поверхностные, или покровные, и железистые. Однако это разделение является условным, так как существуют покровные эпителии, клетки которых способны к секреции (например, покровный эпителий желудка или эпителий, покрывающий тело полухордовых, в котором имеются и ресничные, и железистые клетки[21]), а в некоторых эпителиях, например, в выстилке тонкой кишки и трахеи, покровные клетки чередуются с бокаловидными клетками, секретирующими слизь[47]. Поверхностные эпителии покрывают поверхности тела, формируют слизистые оболочки внутренних органов (желудка, кишечника, мочевого пузыря, матки и других) и выстилают вторичные полости тела. Эпителии, выстилающие полости внутренних органов, подстилаются слоем соединительной ткани, известным как собственная пластинка (lamina propria), которая выполняет поддерживающую и трофическую функцию. Площадь контакта между эпителием и собственной пластинкой увеличивается за счёт особых структур — сосочков, которые представляют собой впячивание соединительной ткани в эпителий[5]. Главная функция поверхностных эпителиев — отделение организма и его органов от внешней среды и осуществление обмена веществ между ними. Кроме того, поверхностные эпителии выполняют защитную функцию. Железистый эпителий образует многие железы организма и осуществляет секреторную функцию, выделяя пищеварительные ферменты, гормоны в эндокринных железах[1].

Железистые эпителии имеют выраженную секреторную функцию. Клетки, образующие железистый эпителий, называют грандулоцитами. Они синтезируют и выделяют специфические вещества (секреты) на поверхность кожи, слизистых оболочек, в полости некоторых внутренних органов (экзокринная секреция) или в кровь и лимфу (эндокринная секреция). Эпителии образуют в организме разнообразные железы, хотя некоторые железы имеют одноклеточное строение — например, бокаловидные клетки, выделяющие слизь[48]. Чаще всего бокаловидные клетки находятся в слизистых (например, слизистой кишечника), но у некоторых животных, например, немертин и моллюсков, они многочисленны и в кожных покровах[49]. Большая часть кожных желёз имеет одноклеточное строение у первичноводных позвоночных, таких как костистые и хрящевые рыбы[37]. У земноводных все кожные железы многоклеточные, причем некоторые из них являются ядовитыми и выделяют токсины белковой природы[50]. Грандулоциты отличаются наличием в цитоплазме секреторных включений, развитым эндоплазматическим ретикулумом (ЭПР) и аппаратом Гольджи (АГ), полярностью в расположении органелл и секреторных гранул. По химическим свойствам секретов экзокринные железы подразделяют на белковые (серозные), слизистые и смешанные[51]. Грандулоциты подстилаются базальной мембраной, а их форма может быть разнообразной и зависит от фазы секреторного цикла. Ядра, как правило, крупные, могут иметь неправильную форму. Клетки, выделяющие белковый секрет, имеют развитый шероховатый ЭПР, а грандулоциты, выделяющие липидный секрет, имеют выраженный гладкий ЭПР. Форма и расположение АГ в клетке зависит от стадии секреторного цикла. Митохондрии многочисленны и, как правило, накапливаются в тех местах клетки, где образуется секрет. Размер и строение секреторных гранул зависят от химического состава секрета. Иногда грандулоциты имеют внутриклеточные секреторные канальцы, которые представляют собой глубокие впячивания клеточной мембраны, покрытые микроворсинками (например, у клеток, образующих соляную кислоту в желудке). На базальных поверхностях клеток мембрана образует небольшие складки, вдающиеся в цитоплазму, которые наиболее хорошо выражены у грандулоцитов, секрет которых богат солями. Апикальная поверхность грандулоцитов покрыта микроворсинками. В целом, грандулоциты имеют выраженную полярность, которая обусловлена направленностью секреторных процессов. Периодические изменения железистой клетки, связанные с секреторными процессами, называют секреторным циклом. Вещества, необходимые для образования секрета, грандулоциты получают из крови и лимфы со стороны базальной поверхности. Образование секрета происходит в ЭПР, откуда он перемещается в АГ, где после дальнейших модификаций в виде оформляется в виде гранул. Выделяют три основных механизма выделения секрета грандулоцитами[52]:
- мерокриновый (эккриновый) подразумевает выделение веществ за счёт экзоцитоза, при этом железистые клетки полностью сохраняют свою структуру. Большая часть желёз выделяет секрет по мерокриновому механизму, например, слюнные железы и поджелудочная железа[53];
- апокриновый тип секреции включает частичное разрушение железистых клеток, так как секрет покидает клетку в составе апикальной части цитоплазмы (макроапокриновая секреция) или верхушки микроворсинок (микроапокриновая секреция). Примером апокриновой железы может служить молочная железа в состоянии лактации[51], ресничные железы (железы Молля), а также железы, продуцирующие ушную серу в наружном слуховом проходе;
- голокриновый тип секреции сопровождается накоплением липидного секрета в цитоплазме и полным разрушением железистых клеток при выделении секрета (например, в сальных железах, мейбомиевых железах века[53]). Грандулоциты восстанавливаются за счёт деятельности стволовых клеток[54].
Существуют клетки эпителиального происхождения, специализированные на сенсорных функциях — нейроэпителиальные клетки. К их числу относят клетки вкусовых луковиц и клетки обонятельной слизистой оболочки. Миоэпителиальные клетки также имеют эпителиальное происхождение, несут отростки и содержат миозин и актиновые филаменты. Они обеспечивают сдавливание протоков ряда желёз (молочных, потовых, слюнных) для выделения секрета[17].
Онтофилогенетическая классификация
Онтофилогенетическая классификация, созданная российским гистологом Николаем Григорьевичем Хлопиным, учитывает происхождение эпителиев из разных тканевых зачатков. Согласно онтофилогенетической классификации, выделяются следующие типы эпителиев[55]:
- эпидермальный тип происходит из эктодермы, многослойный или многорядный, основная функция — защитная;
- энтеродермальный тип по происхождению связан с энтодермой, однослойный, призматический, выполняет железистую функцию или функцию всасывания веществ (например, в кишечнике);
- целонефродермальный тип эпителия развивается из мезодермы, однослойный, форма клеток разнообразна, основная функция — экскреторная или барьерная (мезотелий, эпителий почечных канальцев);
- эпендимоглиальный тип — специализированный эпителий, выстилающий полости мозга, развивается из нервной трубки;
- ангиодермальный тип эпителия включает эндотелий сосудов, имеющий мезенхимное происхождение (некоторые авторы относят эндотелий к соединительной ткани, а не к эпителию)[55].
Производные эпителия

Для млекопитающих весьма характерны роговые образования эпидермального происхождения: волосы, когти, ногти, копыта, рога и чешуйки[56].
Волосы — образование, присущее исключительно млекопитающим и, по-видимому, наиболее продвинутым терапсидам и не гомологичное каким-либо производным кожи других амниот. Их главная функция — теплоизоляция, хотя толчком для появления волосяного покрова послужила, скорее всего, осязательная функция[57]. Помимо термоизолирующей и осязательной функций, волосы защищают кожу от повреждений и паразитов, улучшают аэро- и гидродинамические свойства тела, обеспечивают видоспецифичность окраски. Отсутствие волос у ряда млекопитающих (слоны, сирены, часть носорогов, гиппопотамы, китообразные) носит вторичный характер[58].
У большинства млекопитающих концевые фаланги пальцев защищены когтями, которые остры и сильно изогнуты у древесных форм и хищников, уплощены и расширены у роющих форм[59]. У многих приматов когти преобразовались в плоские ногти, прикрывающие фалангу лишь сверху; у копытных в результате усложнения когтей сформировались копыта — толстые образования, которые играют роль своеобразного футляра для концевой фаланги, особо важный при беге и прыжках по твёрдому грунту[56]. У многих млекопитающих на хвосте (бобр, мышиные, шипохвостые, выхухоль, многие сумчатые) или конечностях (роющие формы) имеются роговые чешуйки. У панголинов и броненосцев крупные роговые чешуи покрывают всё тело, причём у броненосцев они подстилаются ещё костными щитками, являющимися производными дермы и образующими панцирь[56]. Чешуя млекопитающих вполне гомологична таковой у пресмыкающихся[60]. Для некоторых млекопитающих (носороги, вилороговые, полорогие) характерно наличие рога — массивного разрастания ороговевшего эпителия, используемого для защиты и нападения[61].
К числу производных эпителия относятся перья птиц и чешуя рептилий: само перо или чешуя является производным эпидермиса, а питающий его сосочек принадлежит дерме. Перья производят особые фолликулы, расположенные в эпидермисе и производящие кератины. В отличие от волос, когтей и рогов млекопитающих, состоящих из α-кератина, перья птиц и чешуи рептилий состоят из β-кератина[62][63].
Эволюция
Первые клеточные слои, близкие к эпителиям, появились в ходе эволюции у губок, а именно, пинакодерма, покрывающая тело губки, и хоанодерма, выстилающая водоносные полости. Однако пинакоциты и хоаноциты не образуют характерных для настоящих эпителиев поясковых соединений, поэтому, вероятно, не функционируют в качестве разграничителей компартментов тела (хотя между клетками губок могут формироваться временные септированные контакты). Пинакодерму и хоанодерму губок не считают истинными эпителиями ещё и потому, что в большинстве случаев они не подстилаются базальной мембраной. Тем не менее, губки имеют ген, кодирующий коллаген IV типа — маркер базальной мембраны. Кроме того, пинакоциты и хоаноциты губок обладают полярностью в апикально-базальном направлении, которая присуща эпителиоцитам Eumetazoa[64].
В отличие от губок, стрекающие, по сути, состоят преимущественно из эпителиев: их эпидермис, покрывающий тело снаружи, и гастродермис, выстилающий гастральную полость, удовлетворяют всем критериям эпителиальных тканей, и единственные мезенхимоподобные клетки стрекающих располагаются в межклеточном матриксе — мезоглее. Предполагают, что для животных группы Eumetazoa клетки по умолчанию являются эпителиоцитами. Несмотря на существенное морфологическое и функциональное разнообразие эпителиев у животных, ключевые белки, необходимые для дифференцировки эпителиев и формирования контактов между эпителиальными клетками, одинаковы у всех Eumetazoa и появились рано в ходе эволюции[64].
Клиническое значение
Иногда в результате ответа на стресс, хроническое воспаление и другие неблагоприятные стимулы происходит эпителиальная метаплазия — обратимое превращение дифференцированных клеток эпителия одного типа в дифференцированные клетки эпителия другого типа. Наиболее часто наблюдается превращение призматического эпителия в столбчатый. Плоскоклеточная метаплазия часто происходит в псевдомногослойном эпителии трахеи и бронхов в ответ на длительное воздействие табачного дыма. При хронических протозойных инфекциях и шистосомозе может происходить плоскоклеточная метаплазия уротелия. Иногда происходит обратное превращение плоского эпителия в столбчатый, например, при гастроэзофагальном рефлюксе многослойный плоский неороговевающий эпителий нижней части пищевода превращается в столбчатый эпителий с бокаловидными клетками, похожий на кишечный эпителий. Метаплазия — обратимое преобразование, и, когда действие неблагоприятного фактора, вызвавшего метаплазию, прекращается, эпителий вновь принимает свой исходный вид[65].
Некоторые патогены нарушают избирательную проницаемость эпителиев, разрушая межклеточные контакты между эпителиоцитами. Например, патогенная бактерия Clostridium perfringens выделяет энтеротоксин, который разрушает плотные контакты, связывая молекулы их важнейшего компонента — белка клаудина. Helicobacter pylori также разрушает плотные контакты в выстилке желудка. Целостность плотных контактов также нарушают некоторые РНК-содержащие вирусы, вызывающие энтериты у детей, и паразиты, такие как клещи Dermatophagoides pteronyssinus[66].
Злокачественные опухоли, происходящие из эпителиальных тканей, называют карциномами[67]. Карциномы могут формироваться как во взрослом организме, так и во время эмбриогенеза[68], однако у детей карциномы чрезвычайно редки[69]. По типу поражённого эпителия выделяют аденокарциномы (опухоли из железистого эпителия), плоскоклеточные карциномы (опухоли из плоского эпителия), аденоплоскоклеточные карциномы, анапластические карциномы, крупноклеточные карциномы и мелкоклеточные карциномы[70].
История изучения

Термин «эпитель» впервые использовал голландский учёный Фредерик Рюйш в 1703 году в своей работе Thesaurus Anatomicus. Он обозначил этим термином ткань, которую обнаружил на губах трупа. В середине XIX века швейцарский естествоиспытатель Альбрехт фон Галлер адаптировал термин, предложенный Рюйшем, в вариант «эпителий». Первая попытка классифицировать эпителии была предпринята Уильямом Шарпеем. Классификация Шарпея была приведена в семнадцатом издании труда Quain’s Elements of Anatomy, опубликованном в 1867 году. Шарпей подразделил эпителиальные ткани на физиологические категории, такие как эпидермис, железистый эпителий, слизистый эпителий, сосудистый эпителий, а также выделил основные морфологические типы эпителиев: столбчатые, сферические, «клетчатые», ресничные, плоские. Хотя многие термины, введённые Шарпеем, в настоящее время не используются, современная классификация основана на той, что предложил Шарпей. Двумя годами ранее публикации классификации и систематизированного описания эпителиев Шарпеем Вильгельм Гис предложил термин «эндотелий» для обозначения эпителия, выстилающего кровеносные сосуды, а в 1890 году американский исследователь Чарльз Седжвик Майнот предложил называть эпителий, покрывающий внешнюю поверхность тела, термином «эктотелий», а эпителий, выстилающий полости тела, — термином «мезотелий». Термины эндотелий и мезотелий используются и по сей день. В 1870 году Немецкий учёный Генрих Вильгельм Вальдейер высказал гипотезу, что клетки зародышевой линии происходят из эпителия, однако в дальнейшем эта гипотеза не подтвердилась. В 1960-х годах было доказано, что эпителий участвует в эмбриональном развитии многих органов[71].
Примечания
- 1 2 Афанасьев и др., 2004, с. 148.
- ↑ Ross, Pawlina, 2011, p. 121.
- 1 2 Афанасьев и др., 2004, с. 149.
- ↑ Singh, 2011, p. 52.
- 1 2 3 4 Жункейра, Карнейро, 2009, с. 87.
- ↑ Ross, Pawlina, 2011, p. 144.
- ↑ Афанасьев и др., 2004, с. 149—150.
- ↑ Жункейра, Карнейро, 2009, с. 92.
- ↑ Ross, Pawlina, 2011, p. 110.
- ↑ Gartner, 2017, p. 104.
- ↑ Gartner, 2017, p. 116—117.
- ↑ Ross, Pawlina, 2011, p. 133.
- 1 2 Афанасьев и др., 2004, с. 151.
- ↑ Афанасьев и др., 2004, с. 151, 160.
- ↑ Афанасьев и др., 2004, с. 160.
- 1 2 3 Gartner, 2017, p. 99.
- 1 2 3 4 Жункейра, Карнейро, 2009, с. 94.
- ↑ Афанасьев и др., 2004, с. 151—152.
- ↑ Афанасьев и др., 2004, с. 152.
- 1 2 3 Singh, 2011, p. 46.
- 1 2 Дзержинский, Васильев, Малахов, 2014, с. 32.
- ↑ Афанасьев и др., 2004, с. 153—154.
- ↑ Афанасьев и др., 2004, с. 154.
- 1 2 Gartner, 2017, p. 100.
- 1 2 Singh, 2011, p. 48.
- ↑ Дзержинский, Васильев, Малахов, 2014, с. 7.
- ↑ Афанасьев и др., 2004, с. 154—155.
- ↑ Singh, 2011, p. 47.
- ↑ Saurabh Kumar, Rakesh Kumar Pandey, Shobha Das, Vijai Krishna Das. Pathological changes in hepatopancreas of freshwater mussel (Lamellidens marginalis Lamarck) exposed to sub-lethal concentration of dimethoate // GERF Bulletin of Biosciences. — 2011. — Vol. 2. — P. 18—23.
- 1 2 Заварзин, 1985, с. 115.
- ↑ Афанасьев и др., 2004, с. 155—156.
- 1 2 3 Gartner, 2017, p. 102.
- ↑ Афанасьев и др., 2004, с. 156—157.
- 1 2 3 4 Gartner, 2017, p. 101.
- ↑ Дзержинский, Васильев, Малахов, 2014, с. 95, 110.
- ↑ Афанасьев и др., 2004, с. 157—159.
- 1 2 Дзержинский, Васильев, Малахов, 2014, с. 65.
- ↑ Дзержинский, Васильев, Малахов, 2014, с. 22.
- ↑ Дзержинский, Васильев, Малахов, 2014, с. 128—129.
- ↑ Дзержинский, Васильев, Малахов, 2014, с. 248—199.
- ↑ Дзержинский, Васильев, Малахов, 2014, с. 248—249.
- ↑ Singh, 2011, p. 45.
- ↑ Singh, 2011, p. 50.
- ↑ Афанасьев и др., 2004, с. 159—160.
- ↑ Заварзин, 1985, с. 114.
- ↑ Заварзин, 1985, с. 119.
- ↑ Жункейра, Карнейро, 2009, с. 93.
- ↑ Жункейра, Карнейро, 2009, с. 97.
- ↑ Заварзин, 1985, с. 38.
- ↑ Дзержинский, Васильев, Малахов, 2014, с. 199.
- 1 2 Gartner, 2017, p. 120.
- ↑ Афанасьев и др., 2004, с. 160—162.
- 1 2 Ross, Pawlina, 2011, p. 147.
- ↑ Афанасьев и др., 2004, с. 162.
- 1 2 Афанасьев и др., 2004, с. 153.
- 1 2 3 Дзержинский, Васильев, Малахов, 2014, с. 372—373.
- ↑ Кэрролл, т. 2, 1993, с. 236, 238.
- ↑ Константинов, Шаталова, 2004, с. 364.
- ↑ Константинов, Наумов, Шаталова, 2012, с. 314.
- ↑ Константинов, Шаталова, 2004, с. 365.
- ↑ Константинов, Наумов, Шаталова, 2012, с. 314—315.
- ↑ Schor R., Krimm S. Studies on the Structure of Feather Keratin: II. A beta-Helix Model for the Structure of Feather Keratin. (англ.) // Biophysical Journal. — 1961. — July (vol. 1, no. 6). — P. 489—515. — doi:10.1016/s0006-3495(61)86904-x. — PMID 19431311.
- ↑ PAULING L, COREY RB. The structure of feather rachis keratin. (англ.) // Proceedings Of The National Academy Of Sciences Of The United States Of America. — 1951. — May (vol. 37, no. 5). — P. 256—261. — doi:10.1073/pnas.37.5.256. — PMID 14834148.
- 1 2 Tyler S. Epithelium--The Primary Building Block for Metazoan Complexity (англ.) // Integrative and Comparative Biology. — 2003. — 1 February (vol. 43, no. 1). — P. 55—63. — ISSN 1540-7063. — doi:10.1093/icb/43.1.55.
- ↑ Ross, Pawlina, 2011, p. 109.
- ↑ Ross, Pawlina, 2011, p. 129.
- ↑ Nigel Kirkham, Nicholas R. Lemoine. Progress in pathology. — London: Greenwich Medical Media, 2001. — С. 52. — ISBN 9781841100500.
- ↑ Definition of Carcinoma. Дата обращения: 27 января 2014. Архивировано из оригинала 10 октября 2012 года.
- ↑ Key Statistics for Childhood Cancers (англ.). www.cancer.org. Дата обращения: 6 мая 2019. Архивировано 6 мая 2019 года.
- ↑ Pathology and Genetics of Tumours of the Lung, Pleura, Thymus and Heart (англ.). — Lyon: IARC Press, 2004. — (World Health Organization Classification of Tumours). — ISBN 978-92-832-2418-1. Архивировано 23 августа 2009 года.
- ↑ The Embryo Project Encyclopedia: Epithelium. Дата обращения: 3 июня 2020. Архивировано 10 августа 2020 года.
Литература
- Афанасьев Ю. И., Кузнецов С. Л., Юрина Н. А., Котовский Е. Ф. и др. Гистология, цитология и эмбриология. — 6-е изд., перераб. и доп.. — М.: Медицина, 2004. — 768 с. — ISBN 5-225-04858-7.
- Дзержинский Ф. Я., Васильев Б. Д., Малахов В. В. Зоология позвоночных. 2-е изд. — М.: Издат. центр «Академия», 2014. — 464 с. — ISBN 978-5-4468-0459-7.
- Жункейра Л. К., Карнейро Ж. Гистология. — М.: ГЭОТАР-Медиа, 2009. — 576 с. — ISBN 978-5-9704-1352-4.
- Заварзин А. А. Основы сравнительной гистологии. — Л.: Издательство Ленинградского университета, 1985. — 400 с.
- Константинов В. М., Наумов С. П., Шаталова С. П. Зоология позвоночных. 7-е изд. — М.: Издат. центр «Академия», 2012. — 448 с. — ISBN 978-5-7695-9293-5.
- Константинов В. М., Шаталова С. П. Зоология позвоночных. — М.: Гуманитарный издательский центр ВЛАДОС, 2004. — 527 с. — ISBN 5-691-01293-2.
- Кэрролл Р. Палеонтология и эволюция позвоночных: В 3-х тт. Т. 2. — М.: Мир, 1993. — 283 с. — ISBN 5-03-001819-0.
- Leslie P. Gartner. Textbook of Histology. — Philadelphia: Elsevier, 2017. — ISBN 978-0-323-35563-6.
- Michael Ross, Wojciech Pawlina. Histology: A Text and Atlas. — Philadelplia: Lippincott Williams & Wilkins, 2011.
- Inderbir Singh. Textbook of Human Histology. — India: Jaypee Brother Medical Publishers, 2011. — ISBN 978-93-80704-34-0.