Апудома
| Апудома (нейроэндокринная опухоль) | |
|---|---|
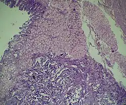
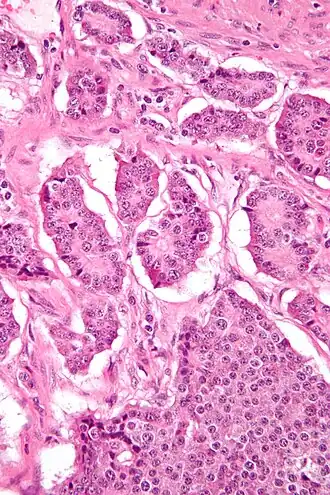
![]() Микропрепарат нейроэндокринной опухоли кишечной стенки. | |
| МКБ-9 | 209 |
| МКБ-О | 8248/1[2] |
| MeSH | D001079 |
Апудо́ма — опухоль, исходящая из клеточных элементов, расположенных в различных органах и тканях (преимущественно островковые (инкреторные) клетки поджелудочной железы, клетки других отделов ЖКТ, С-клетки щитовидной железы), продуцирующих полипептидные гормоны.
Историческая справка
Термин «Апуд» (аббревиатура английских слов: Amine — амины, Precursor —предшественник, Uptake — поглощение, Decarboxylation — декарбоксилирование) был предложен H.G.E. Pears в 1966 году для обозначения общих свойств разнообразных нейроэндокринных клеток, способных накапливать триптофан, гистидин и тирозин, трансформируя их путём декарбоксилирования в медиаторы: серотонин, гистамин, дофамин. Любая клетка APUD системы потенциально способна синтезировать многие пептидные гормоны.[3]
Топографическая анатомия
Бо́льшая часть клеток развивается из нервного гребня, но под влиянием внешних стимулирующих факторов многие энтодермальные и мезенхимальные клетки могут приобретать свойства клеток гастроэнтеропанкреатической эндокринной системы (APUD системы)[3].
Локализация клеток системы APUD:[3].
- Центральные и периферические нейроэндокринные органы (гипоталамус, гипофиз, периферические ганглии автономной нервной системы, мозговое вещество надпочечников, параганглии).
- Центральная нервная система (ЦНС) и периферическая нервная система (глиальные клетки и нейробласты).
- Нейроэктодермальные клетки в составе эндокринных желез энтодермального происхождения (С-клетки щитовидной железы).
- Эндокринные железы энтодермального происхождения (паращитовидные железы, островки поджелудочной железы, одиночные эндокринные клетки в стенках протоков поджелудочной железы).
- Слизистая ЖКТ (энтерохромаффинные клетки).
- Слизистая дыхательных путей (нейроэндокринные клетки лёгких).
- Кожа (меланоциты).
В настоящее время описаны следующие виды апудом:[4]
- ВИПома;
- Гастринома;
- Глюкагонома;
- Карциноид;
- Нейротензинома;
- ППома;
- Соматостатинома
Випома
ВИПо́ма (синдром Вернера-Моррисона, панкреатическая холера, синдром водной диареи-гипокалиемии-ахлоргидрии) — характеризуется наличием водной диареи и гипокалиемии в результате гиперплазии островковых клеток или опухоли, часто злокачественной, исходящей из островковых клеток поджелудочной железы (чаще тела и хвоста), которые секретируют вазоактивный интестинальный полипептид (ВИП). В редких случаях ВИПома может приходиться на ганглионейробластомы, которые локализуются в ретроперитонеальном пространстве, лёгких, печени, тонкой кишке и надпочечниках, встречаются в детском возрасте и, как правило, доброкачественные. Размер панкреатических ВИПом 1…6 см. В 60 % случаев злокачественных новообразований на момент диагностики имеются метастазы.[3] Метастазируют в печень и/или лимфатическиеузлы. Встречается 1 случай на 10 млн в возрасте от 17 до 73 лет, чаще у женщин (>65 %).[4]
Лечение: оперативное, химиотерапия и симптоматическое.
Прогноз серьёзен: при своевременно проведенном оперативном вмешательстве продолжительность жизни достигает 3…11 лет. Чаще летальный исход — следствие почечной или сердечной недостаточности, выраженного ацидоза и дегидратации организма.[4]
Гастринома
Гастрино́ма — гастринпродуцирующая опухоль, в 80 % случаев расположенная в поджелудочной железе, значительно реже (15 %) — в стенке двенадцатиперстной кишки[5] или тощей кишке, антральном отделе желудка, перипанкреатических лимфатических узлах, в воротах селезёнки, крайне редко (5 %) — экстраинтестинально (сальник, яичники, билиарная система). При гиперплазии G-клеток образуется доброкачественная или злокачественная опухоль, секретирующая большое количество гастрина → возникает гипергастринимия → гиперстимуляция париетальных клеток → чрезмерная продукция соляной кислоты и пепсина. В физиологических условиях G-клетки под воздействием соляной кислоты тормозят выработку гастрина, однако фактор кислотности не влияет на G-клетки гастрино́м. Повышенная кислотность вызывает образование множественных пептических язв желудка, двенадцатиперстной или тощей кишки. Секреция гастрина гастриномами особенно резко усиливается после приёма пищи.
Клиническое проявление гипергастринимии — синдром Золлингера — Эллисона (II-го типа).[4]
Лечение: оперативное, химиотерапия и симптоматическое.
Прогноз при своевременно выявленном диагнозе и правильной лечебной тактике — благоприятный. В остальных случаях — неблагоприятный.[4]
Глюкагонома
Глюкагоно́ма — опухоль, чаще злокачественная, исходящая из альфа-клеток панкреатических островков. Характеризуется мигрирующим эрозивным дерматозом, ангулярным хейлитом, стоматитом, глосситом, гипергликемией, нормохромной анемией. Растёт медленно, метастазирует в печень. Встречается 1 случай на 20 млн в возрасте от 48 до 70 лет, чаще у женщин.[4]
Лечение: оперативное, химиотерапия и симптоматическое.
Прогноз при своевременно выявленном заболевании и правильной лечебной тактике — благоприятный. В остальных случаях — неблагоприятный.[4]
Карциноид

Карцино́ид — опухоли, исходящие из энтерохромаффинных ЕС-клеток, локализующихся в ЖКТ от кардиального отдела желудка до прямой кишки, поджелудочной железе, желчном пузыре, урогенитальном тракте, слизистой оболочке бронхов и вилочковой железе.
Характеризуется приступами покраснения лица и верхней половины туловища, сопровождается гипертонией. Большинство карциноидных опухолей локализуется в тонкой кишке — 30 % из них множественные, растут медленно, как правило, не более 1 см в диаметре, редко 2 см в диаметре, с гладкой поверхностью, содержащей желтоватые или коричневатые узлы, располагаются в подслизистом слое, часто злокачественные.[4] Встречаются в возрасте 50…60 лет.
Опухоли секретируют главным образом серотонин, а также калликреин, гистамин, простагландины, нейропептид К, нейрокинин А, вещество Р, которые обладают вазоактивными свойствами. До возникновения клинических симптомов опухоль может существовать 5…10 лет бессимптомно.[4]
Метастазирует: в лимфатические узлы, печень, редко в кости, яичники, кожу, головной мозг, поджелудочную железу, грудную клетку.
Лечение: оперативное, химиотерапия и симптоматическое.
Прогноз при своевременном оперативном лечении продолжительность жизни составляет 15 лет и более.[4]
Нейротензинома
Не́йротензино́ма — опухоль поджелудочной железы или ганглиев симпатической цепочки, продуцирующей нейротензин.
У больных выявляется клиническая картина ВИПомы — ВИП и нейротензин имеют практически одинаковый биологический эффект, включая вазодилатацию, гипотензию, снижение секреции желудочного сока и перистальтики.[4]
Лечение: оперативное, химиотерапия и симптоматическое.
Прогноз серьёзен: при своевременно проведенном оперативном вмешательстве продолжительность жизни достигает 3…11 лет. Чаще летальный исход — следствие почечной или сердечной недостаточности, выраженного ацидоза и дегидратации организма.[4]
ППома
ППо́ма — опухоль поджелудочной железы, секретирующая панкреатический полипептид (ПП). Клинические проявления практически отсутствуют.[4]
Диагностируют после метастазирования в печень.
Лечение: оперативное, химиотерапия и симптоматическое.
Прогноз зависит от срока начала лечения.
Соматостатинома
Сома́тостатино́ма — злокачественная медленно растущая опухоль, характеризуется повышением уровня соматостатина. Это редкое заболевание, встречается у лиц старше 45 лет — 1 случай на 40 млн.[4]
Различают:
- соматостатиному из дельта-клеток поджелудочной железы и
- апудому, секретирующую соматостатин — опухоль двенадцатиперстной кишки.
Диагноз на основании клиники и повышения уровня соматостатина в крови.
Лечение: оперативное, химиотерапия и симптоматическое.
Прогноз зависит от своевременности лечения.
Примечания
- IARC TP53 DATABASE - Morphology list. Дата обращения: 22 сентября 2007. Архивировано 9 мая 2012 года.
- ↑ IARC TP53 DATABASE - Morphology list. Дата обращения: 22 сентября 2007. Архивировано 9 мая 2012 года.
- 1 2 3 4 Эндокринология. Под ред. Н. Лавина. Пер. с англ.— М., Практика, 1999. — 1128 с. ISBN 5-89816-018-3
- 1 2 3 4 5 6 7 8 9 10 11 12 13 14 Малая энциклопедия врача-эндокринолога / Под ред. А. С. Ефимова.— К: Медкнига, 2007.— 360 с. ISBN 966-7013-23-5
- ↑ Эндокринология (краткий справочник)./Под ред. И. И. Дедова.— М., Рус. врач, 1998. — 95 с. ISBN 5-7724-0014-2
