Фибросаркома
| Фибросаркома | |
|---|---|
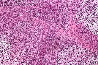
![]() Фотография гистологического препарата среза опухоли, с так называемой рыбьей чешуей, в фибросаркоме. Окрашено гематоксилином и эозином. | |
| МКБ-11 | XH4EP1 |
| МКБ-10 | C49 |
| МКБ-10-КМ | C49.9 |
| МКБ-9-КМ | 171.9[1] |
| МКБ-О | M8810/3 |
| MeSH | D005354 |
_(14598073128).jpg)
_(14756711382).jpg)
Фибросарко́ма (лат. fibra — волокно и σάρκωμα — греч. σάρκος — плоть + ōma) — является одной из часто встречающихся злокачественных опухолей, происходящих из мягких соединительных тканей. Чаще развиваются у людей в возрасте 30—40 лет. Женщины заболевают несколько чаще мужчин. Излюбленной локализацией фибросарком являются мягкие ткани конечностей (бедро и плечевой пояс), но фибросаркомы могут встречаться и в других частях тела, например в глубоких мышцах шеи. Обычно они располагаются в толще мышц, развиваясь из внутримышечных соединительнотканных прослоек, либо из подкожной клетчатки, фасций и сухожилий. В ряде случаев фибросаркомы развиваются из рубцовой ткани и грануляций.
Патологическая анатомия
В одних случаях фибросаркома отграничена, имеет вид узла, в других — границы её стерты, опухоль инфильтрирует мягкие ткани. Состоит из незрелых фибробластоподобных клеток и коллагеновых волокон. В зависимости от степени зрелости и взаимоотношения клеточных и волокнистых элементов опухоли различают дифференцированную и низкодифференцированную фибросаркому. Дифференцированная фибросаркома имеет клеточно-волокнистое строение, причем волокнистый компонент преобладает над клеточным. Низкодифференцированная фибросаркома состоит из незрелых полиморфных клеток с обилием митозов, которая обладает более выраженной злокачественностью и чаще даёт метастазы. Саркомы из круглых или полиморфных клеток могут иметь невыясненный гистогенез, тогда говорят о неклассифицируемой опухоли.
Этиология
Клиника и диагностика
Возникая в толще мышц, фибросаркомы не приводят к каким-либо функциональным нарушениям. Опухоль обычно обнаруживается больным случайно, когда она уже достигает значительных размеров. Лишь при поверхностном расположении фибросаркомы или при сдавливании ею нерва (болевой синдром) она может быть замечена раньше.
При осмотре и ощупывании это — твёрдая, мелкобугристая, хорошо ограниченная, округлая, безболезненная опухоль, покрытая неизменённой кожей. Наиболее важным признаком фибросаркомы является отсутствие поражения кожи и изъязвления.
Лечение
Прогноз
При фибросаркомах, особенно высокодифференцированных, по сравнению с другими формами злокачественных опухолей мягких тканей — удовлетворительный.
См. также
Примечания
- ↑ Monarch Disease Ontology release 2018-06-29 — 2018-06-29 — 2018.
Литература
- Справочник по онкологии / под редакцией проф. Б. Е. Петерсона. — Ташкент: Медицина, 1966. — 500 с.
- Петерсон Б. Е. Онкология (учебник для мед. ин-тов). — М.: Медицина, 1980. — 447 с.
