Рентгенография

Рентгенография
MeSH D011859
Логотип Викисклада Медиафайлы на Викискладе
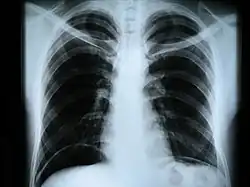
Рентгенограмма органов грудной клетки в прямой проекции. Видно скопление воздуха под куполами диафрагмы.

Рентгеногра́фия (от Рентген (фамилия учёного, открывшего этот вид электромагнитных волн) + греч. γράφω, пишу) — исследование внутренней структуры объектов, которые проецируются при помощи рентгеновских лучей на специальную плёнку или бумагу.

Наиболее часто термин относится к медицинскому неинвазивному исследованию, основанному на получении суммарного проекционного изображения анатомических структур организма посредством прохождения через них рентгеновских лучей и регистрации степени ослабления рентгеновского излучения.

История

Получение рентгеновского изображения, XIX век

История рентгенологии начинается в 1895 году, когда Вильгельм Конрад Рентген впервые зарегистрировал затемнение фотопластинки под действием рентгеновского излучения. Им же было обнаружено, что при прохождении рентгеновских лучей через ткани кисти на фотопластинке формируется изображение костного скелета (см. Рука с кольцами). Это открытие стало первым в мире методом медицинской визуализации, до этого нельзя было прижизненно, не инвазивно получить изображение органов и тканей. Рентгенография очень быстро распространилась по всему миру. В 1896 году в России был сделан первый рентгеновский снимок[1].

В 1918 году в России была создана первая рентгенологическая клиника. Рентгенография используется для диагностики всё большего числа заболеваний. Активно развивается рентгенография лёгких. В 1921 году в Петрограде был открыт первый рентген стоматологический кабинет. Активно ведутся исследования, совершенствуются рентгеновские аппараты. Советское правительство выделяет средства на развёртывание производства рентгеновского оборудования в России. Рентгенология и производство оборудования выходят на мировой уровень[2].

Сейчас рентген грудной клетки часто используется для диагностики заболеваний, вызванных инфекциями лёгких. Однако этот метод оказался малоэффективен для обнаружения ранних стадий вирусных пневмоний, вызванных COVID-19.

Американские исследователи во главе с профессором Университета штата Огайо изучили рентгеновские снимки 630 пациентов с подтверждённым коронавирусом и выраженными симптомами. В 89 процентах случаев на рентгене не было заметно никаких отклонений, или они были незначительными. Практика врачей ГКБ №40 в посёлке Коммунарка, которые первыми приняли на себя удар пандемии в России, также подтвердила эти выводы. Тем не менее, на более поздних этапах с помощью рентгенографии можно получить точные и качественные результаты. Именно поэтому в текущей ситуации особенно актуальны портативные аппараты, которые можно применять в палатах пациентов в тяжёлом состоянии[3].

В настоящее время рентгенография остаётся основным методом диагностики поражений костно-суставной системы. Важную роль играет при обследовании лёгких, особенно в качестве скринингового метода. Методы контрастной рентгенографии позволяют оценить состояние внутреннего рельефа полых органов, распространённость свищевых ходов и др.

13 июля 2018 года новозеландскими учёными в Женеве был представлен рентгеновский аппарат, который способен делать трёхмерные цветные снимки[4].

Применение

В медицине

Рентгенография применяется для диагностики: Рентгенологическое исследование (далее РИ) органов позволяет уточнить форму данных органов, их положение, тонус, перистальтику, состояние рельефа слизистой оболочки.

  • РИ желудка и двенадцатиперстной кишки (дуоденография) важно для распознавания гастрита, язвенных поражений и опухолей.
  • РИ желчного пузыря (холецистография) и желчевыводящих путей (холеграфия) проводят для оценки контуров, размеров, просвета внутри- и внепечёночных желчных протоков, наличие или отсутствие конкрементов, уточняют концентрационную и сократительную функции желчного пузыря.
  • РИ толстой кишки (ирригоскопия) применяется для распознавания опухолей, полипов, дивертикулов и кишечной непроходимости.
  • рентгенография грудной клетки — инфекционные, опухолевые и другие заболевания,
  • позвоночника — дегенеративно-дистрофические (остеохондроз, спондилёз, искривления), инфекционные и воспалительные (различные виды спондилитов), опухолевые заболевания.
  • различных отделов периферического скелета — на предмет различных травматических (переломы, вывихи), инфекционных и опухолевых изменений.
  • брюшной полости — перфорации органов, функции почек (экскреторная урография) и другие изменения.
  • Метросальпингографияконтрастное рентгенологическое исследование полости матки и проходимости фаллопиевых труб.
  • зубов — ортопантомография
  • РИ молочной железы — маммография

В технике и технологии

Рентгенография — один из важнейших видов неразрушающего контроля. Применяется в процессе производства и эксплуатации для контроля:

  • Отливок и поковок на наличие трещин, газовых и усадочных раковин;
  • Сварочных швов на наличие непроваров, тепловых и механических трещин, включений шлака, раковин;
  • Несущих конструкций, валов, осей, корпусов на наличие внутренних трещин и изломов;
  • Неразборных или трудноразборных машин и механизмов на правильность взаимного расположения элементов их целостности и наличия необходимых зазоров;
  • Железобетона на наличие пустот, трещин смещения или разрушения арматуры и закладных элементов;
  • Металлургических печей в процессе работы на образование отложений на внутренних поверхностях;
  • Различных металлических деталей на предмет обнаружения непредусмотренных конструкцией или умышленно замаскированных сварочных швов, отверстий и полостей, заполненных иными материалами. В частности для выявления факта замены маркировочной надписи, содержащей VIN на кузове автомобиля.

В криминалистике

  • Исследования внутренней структуры предметов;
  • Исследование деталей автомобилей или оружия на предмет изменения маркировки (в последние годы заменяется другими методами анализа);
  • Судебно-медицинские исследования.

В реставрации и экспертизе художественных ценностей

  • Исследования «почерка» художника;
  • Исследования следов восстановления полотна;
  • Исследования скрытых изображений (при повторном использовании холста);

Получение изображения

Методика регистрации рентгеновского излучения

Получение изображения основано на ослаблении рентгеновского излучения при его прохождении через различные ткани с последующей регистрацией его на рентгеночувствительную плёнку. В результате прохождения через образования разной плотности и состава пучок излучения рассеивается и тормозится, в связи с чем на плёнке формируется изображение разной степени интенсивности. В результате, на плёнке получается усреднённое, суммационное изображение всех тканей (тень). Из этого следует, что для получения адекватного рентгеновского снимка необходимо проводить исследование рентгенологически неоднородных образований.[5]

В современных рентгеновских аппаратах регистрация выходного излучения может производиться на специальную кассету с плёнкой или на электронную матрицу. Аппараты, обладающие электронной чувствительной матрицей, стоят значительно дороже аналоговых устройств. При этом печать плёнок производится только при необходимости, а диагностическое изображение выводится на монитор и, в некоторых системах, сохраняется в базе данных вместе с остальными данными о пациенте.

Принципы выполнения рентгенографии

При диагностической рентгенографии целесообразно проведение снимков не менее, чем в двух проекциях. Это связано с тем, что рентгенограмма представляет собой плоское изображение трёхмерного объекта. И как следствие локализацию обнаруженного патологического очага можно установить только с помощью 2 проекций.

Методика получения изображения

Оптическая плотность почернения рентгеновской пленки пропорциональна произведению тока рентгеновской трубки и времени на напряжение в пятой степени[6]. Напряжение на трубке, кроме того, должно соответствовать виду исследования, поскольку оно влияет на жесткость излучения, от которого зависит проникающая способность рентгеновских лучей и контрастность изображения. Таким образом, качество полученного рентгеновского снимка определяется тремя основными параметрами: напряжением, подаваемым на рентгеновскую трубку, силой тока и выдержкой (длительностью рентгеновского излучения). В зависимости от исследуемых анатомических образований и антропометрии пациента эти параметры могут существенно изменяться. Существуют средние значения для разных органов и тканей, но следует учитывать, что фактические значения будут отличаться в зависимости от аппарата, где проводится исследование и пациента, которому проводится рентгенография. Для каждого аппарата составляется индивидуальная таблица значений. Значения эти не абсолютные и корректируются по мере выполнения исследования. Качество выполняемых снимков во многом зависит от способности рентгенолаборанта адекватно адаптировать таблицу средних значений к конкретному пациенту.[7] Для снижения динамической нерезкости снимков, вызванной не абсолютной неподвижностью исследуемого органа или самого пациента, требуемая экспозиция должна создаваться при короткой выдержке и большой пиковой мощности рентгеновской трубки.

Запись изображения

В России наиболее распространённым способом записи рентгеновского изображения является фиксация его на рентгеночувствительной плёнке с последующей его проявкой. В настоящее время также существуют системы, обеспечивающие регистрацию данных в цифровом виде. В большинстве развитых стран этот способ уже вытеснил аналоговый. В России в связи с высокой стоимостью и сложностью изготовления данный вид оборудования по распространённости уступает аналоговому.

Аналоговая

Существуют следующие варианты получения изображения с помощью рентгеночувствительной плёнки.

Одним из ранее применяемых методов получения снимков пригодной к использованию плотности является переэкспозиция с последующей недопроявкой, сделанной при визуальном контроле. В настоящее время данный метод считается устаревшим и в мире широко не используется.

Другой способ — адекватная экспозиция (что сложнее) и полная проявка. При первом методе рентгеновская нагрузка на пациента получается завышенной, однако при втором возможно появление необходимости проведения повторной съёмки. Появление возможности предпросмотра на экране компьютеризированной рентгеновской установки с цифровой матрицей и автоматических проявочных машин снижают потребности и возможности использования первого метода.

Качество снимка снижает динамическая нерезкость. То есть размытие снимка связано с движением пациента во время облучения. Определённую проблему представляет собой вторичное излучение, оно формируется в результате отражения рентгеновского излучения от различных объектов. Для фильтрации рассеянного излучения применяют фильтрационные решётки, состоящие из чередующихся полос рентгенпрозрачного и рентгеннепрозрачного материала. Данный фильтр отсеивает вторичное излучение, но он так же ослабляет центральный пучок, в связи с чем требуется большая доза облучения для получения адекватного снимка. Вопрос о необходимости использования фильтрующих решёток решается в зависимости от размеров пациента и органа, подвергающегося рентгенографии.[8]

Многие современные рентгеновские плёнки имеют очень низкую собственную рентгеновскую чувствительность и рассчитаны на применение с усиливающими флуоресцентными экранами, светящимися голубым или зелёным видимым светом при облучении рентгеновским излучением. Такие экраны вместе с плёнкой помещаются в кассету, которая после снимка извлекается из рентгеновского аппарата и затем производится проявка плёнки. Проявка плёнки может производиться несколькими способами.

  • Полностью автоматически, когда в аппарат закладывается кассета, после чего проявочная машина извлекает плёнку, проявляет, сушит и заправляет новую.
  • Полуавтоматически, когда плёнка извлекается и загружается вручную, а проявочная машина только проявляет и сушит плёнку.
  • Полностью вручную, когда проявка происходит в баках-танках, извлечение, заправку, проявку плёнки осуществляет рентген лаборант.

Для рентгенологического анализа изображения аналоговый рентгеновский снимок фиксируется на подсвечивающем устройстве с ярким экраном — негатоскопе.

Цифровая

Разрешающая способность

Разрешающая способность достигает 0,5 мм (1 пара линий на миллиметр соответствует 2 пикселям/мм).

Одним из самых высоких разрешений плёнки считается «26 пар линий на мм», что примерно соответствует разрешающей способности 0,02 мм.

Подготовка пациента к рентгенологическому исследованию

Специальная подготовка пациентов к рентгенологическому исследованию в основном не требуется, однако для исследования органов пищеварения имеются следующие методы подготовки:

  • Раньше проводили специальные диеты, исключали из рациона продукты, способствующие метеоризму, проводили очистительную клизму, но сейчас общепринято, что для РИ желудка и двенадцатиперстной кишки пациентов с нормальной функцией кишечника не требует никаких приготовлений. Однако, при резком выраженном метеоризме и упорных запорах проводят очистительную клизму за 2 часа до исследования. При наличии в желудке пациента большого количества жидкости, слизи, остатков пищи проводят промывание желудка за 3 часа до исследования
  • Перед холецистографией также исключают возможность метеоризма и применяют рентгеноконтрастный йодсодержащий препарат (холевид, йопагност 1 г на 20 кг живой массы). Препарат попадает в печень и накапливается в желчном пузыре. Для определения сократительной способности желчного пузыря, пациенту дают ещё желчегонное средство — 2 сырых яичных желтка или 20 г сорбита.
  • Перед холеграфией пациенту вводят внутривенно контрастное вещество (билигност, билитраст и др.), контрастирующее желчные протоки.
  • Перед ирригографией проводят с помощью контрастной клизмы (BaSO4 из расчёта 400 г на 1600 мл воды). Накануне исследования пациенту дают 30 г касторового масла, вечером ставят очистительную клизму. Пациент не ужинает, на следующий день лёгкий завтрак, две очистительные клизмы, контрастная клизма.

Преимущества рентгенографии

  • Широкая доступность метода и лёгкость в проведении исследований.
  • Для большинства исследований не требуется специальной подготовки пациента.
  • Относительно низкая стоимость исследования.
  • Снимки могут быть использованы для консультации у другого специалиста или в другом учреждении (в отличие от УЗИ-снимков, где необходимо проведение повторного исследования, так как полученные изображения являются оператор-зависимыми).

Недостатки рентгенографии

  • Статичность изображения — сложность оценки функции органа.
  • Наличие ионизирующего излучения, способного оказать вредное воздействие на пациента.
  • Информативность классической рентгенографии значительно ниже таких современных методов медицинской визуализации, как КТ, МРТ и др. Обычные рентгеновские изображения отражают проекционное наслоение сложных анатомических структур, то есть их суммационную рентгеновскую тень, в отличие от послойных серий изображений, получаемых современными томографическими методами.
  • Без применения контрастирующих веществ рентгенография недостаточно информативна для анализа изменений в мягких тканях, мало отличающихся по плотности (например, при изучении органов брюшной полости).

См. также

Примечания

  1. История рентгенологии. Дата обращения: 23 сентября 2009. Архивировано из оригинала 22 января 2012 года.
  2. История рентгенологии в России. Дата обращения: 23 сентября 2009. Архивировано из оригинала 17 апреля 2012 года.
  3. Технологии медицинской диагностики: что нового мы узнали во время пандемии. Naked Science (5 августа 2020). Дата обращения: 31 августа 2020. Архивировано 9 августа 2020 года.
  4. Учёные смогли впервые получить трёхмерные цветные рентгеновские снимки. ТАСС (13 июля 2018). Дата обращения: 15 июля 2018. Архивировано 15 июля 2018 года.
  5. Кишковский А.Н., Тютин Л.А., Есиновская Г.Н. Атлас укладок при рентгенологических исследованиях. — Ленинград: Медицина, 1987. — С. 6—7. — 520 с. — (04567).
  6. Кацман А. Я. Медицинская рентгенотехника. — МЕДГИЗ, 1957. — С. 319. — 647 с. Архивировано 9 октября 2022 года.
  7. Кишковский А.Н., Тютин Л.А., Есиновская Г.Н. Атлас укладок при рентгенологических исследованиях. — Ленинград: Медицина, 1987. — С. 32—46. — 520 с.
  8. Кишковский А.Н., Тютин Л.А., Есиновская Г.Н. Атлас укладок при рентгенологических исследованиях. — Ленинград: Медицина, 1987. — С. 21—24. — 520 с.

Литература

Ссылки

Производители медицинских решений в области рентгенографии