Рентгеновское излучение

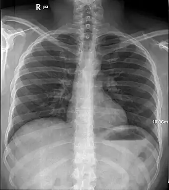
Рентген легких человека
Рентгенограмма грудной клетки человека (прямая передняя проекция).

Рентге́новское излуче́ние — электромагнитные волны, энергия фотонов которых лежит на шкале электромагнитных волн между ультрафиолетовым излучением и гамма-излучением (от ~10 эВ до нескольких МэВ), что соответствует длинам волн от ~103 до ~10−2 Å (от ~102 до ~10−3 нм)[1].

Положение на шкале электромагнитных волн

Энергетические диапазоны рентгеновского излучения и гамма-излучения перекрываются в широкой области энергий. Оба типа излучения являются электромагнитным излучением и при одинаковой энергии фотонов — эквивалентны. Терминологическое различие лежит в способе возникновения — рентгеновские лучи испускаются при участии электронов (либо связанных в атомах, либо свободных) в то время как гамма-излучение испускается в процессах девозбуждения атомных ядер. Фотоны характеристического (то есть испускаемого при переходах в электронных оболочках атомов) рентгеновского излучения имеют энергию от 10 эВ до 250 кэВ, что соответствует излучению с частотой от 3⋅1016 до 3⋅1019 Гц и длиной волны 0,005—100 нм (общепризнанного определения нижней границы диапазона рентгеновских лучей в шкале длин волн не существует). Мягкое рентгеновское излучение характеризуется наименьшей энергией фотона и частотой излучения (и наибольшей длиной волны), а жёсткое рентгеновское излучение обладает наибольшей энергией фотона и частотой излучения (и наименьшей длиной волны). Жёсткое рентгеновское излучение используется преимущественно в промышленных целях. Условная граница между мягким и жёстким рентгеновским излучением на шкале длин волн находится около 2 Å (≈6 кэВ)[1].

Лабораторные источники

Рентгеновские трубки

Схематическое изображение рентгеновской трубки. X — рентгеновские лучи, K — катод, А — анод (иногда называемый антикатодом), С — теплоотвод, Uh — напряжение накала катода, Ua — ускоряющее напряжение, Win — впуск водяного охлаждения, Wout — выпуск водяного охлаждения

Рентгеновские лучи возникают при сильном ускорении заряженных частиц (тормозное излучение), либо при высокоэнергетических переходах в электронных оболочках атомов или молекул. Оба эффекта используются в рентгеновских трубках. Основными конструктивными элементами таких трубок являются металлические катод и анод (ранее называвшийся также антикатодом). В рентгеновских трубках электроны, испущенные катодом, ускоряются под действием разности электрических потенциалов между анодом и катодом (при этом рентгеновские лучи не испускаются, так как ускорение слишком мало) и ударяются об анод, где происходит их резкое торможение. При этом генерируется тормозное излучение в рентгеновском диапазоне с непрерывным спектром и одновременно выбиваются электроны из внутренних электронных оболочек атомов анода. На пустые места (вакансии) в оболочках переходят другие электроны атома из его внешних оболочек, что приводит к испусканию рентгеновского излучения с характерным для материала анода линейчатым спектром энергий (характеристическое излучение, чьи частоты определяются законом Мозли: где Z — атомный номер элемента анода, A и B — константы для определённого значения главного квантового числа n электронной оболочки). В настоящее время аноды изготавливаются главным образом из керамики, причём та их часть, куда ударяют электроны, — из молибдена или меди.

Трубка Крукса

В процессе ускорения-торможения лишь около 1% кинетической энергии электрона идёт на рентгеновское излучение, 99 % энергии превращается в тепло.

Ускорители частиц

Рентгеновское излучение можно получать также и на ускорителях заряженных частиц. Так называемое синхротронное излучение возникает при отклонении пучка частиц в магнитном поле, в результате чего они испытывают ускорение в направлении, перпендикулярном их движению. Синхротронное излучение имеет сплошной спектр с верхней границей. При соответствующим образом выбранных параметрах (величина магнитного поля и энергия частиц) в спектре синхротронного излучения можно получить и рентгеновские лучи.

Длины волн (нм, в числителе) и энергии (эВ, в знаменателе) спектральных линий K-серий для ряда анодных материалов[2]
Обозначения линии
нотации Сигбана)
Kα₁
(переход L3→K)
Kα₂
(переход L2→K)
Kβ₁
(переход M3→K)
5
(переход M5→K)
K (край)
Cr 0,22897260(30)/5414,8045(71) 0,22936510(30)/5405,5384(71) 0,20848810(40)/5946,823(11) 0,2070901(89)/5986,97(26) 0,2070193(14)/5989,017(40)
Fe 0,1936041(3)/6404,0062(99) 0,1939973(3)/6391,0264(99) 0,1756604(4)/7058,175(16) 0,174423(15)/7108,26(60) 0,1743617(5)/7110,747(20)
Co 0,17889960(10)/6930,3780(39) 0,17928350(10)/6915,5380(39) 0,16208260(30)/7649,445(14) 0,1608934(44)/7705,98(21) 0,16083510(42)/7708,776(20)
Ni 0,16579300(10)/7478,2521(45) 0,16617560(10)/7461,0343(45) 0,15001520(30)/8264,775(17) 0,1488642(59)/8328,68(33) 0,14881401(36)/8331,486(20)
Cu 0,154059290(50)/8047,8227(26) 0,154442740(50)/8027,8416(26) 0,13922340(60)/8905,413(38) 0,1381111(44)/8977,14(29) 0,13805971(31)/8980,476(20)
Zr 0,07859579(27)/15774,914(54) 0,07901790(25)/15690,645(50) 0,07018008(30)/17666,578(76) 0,069591(15)/17816,1(38) 0,06889591(31)/17995,872(80)
Mo 0,070931715(41)/17479,372(10) 0,0713607(12)/17374,29(29) 0,0632303(13)/19608,34(42) 0,0626929(74)/19776,4(23) 0,061991006(62)/20000,351(20)
Ag 0,055942178(76)/22162,917(30) 0,05638131(26)/21990,30(10) 0,04970817(60)/24942,42(30) 0,0493067(30)/25145,5(15) 0,04859155(57)/25515,59(30)
W 0,020901314(18)/59318,847(50) 0,021383304(50)/57981,77(14) 0,01843768(30)/67245,0(11) 0,0183095(10)/67715,9(38) 0,0178373(15)/69508,5(58)

Взаимодействие с веществом

Длина волны рентгеновских лучей сравнима с размерами атомов, поэтому не существует материала, из которого можно было бы изготовить линзу для рентгеновских лучей. Кроме того, при перпендикулярном падении на поверхность рентгеновские лучи почти не отражаются. Несмотря на это, в рентгеновской оптике были найдены способы построения оптических элементов для рентгеновских лучей. В частности, было обнаружено, что их хорошо отражает алмаз[3].

Рентгеновские лучи могут проникать сквозь вещество, причём различные вещества по-разному их поглощают. Поглощение рентгеновских лучей является важнейшим их свойством в рентгеновской съёмке. Интенсивность рентгеновских лучей экспоненциально убывает в зависимости от пройденного пути в поглощающем слое (I = I0e-kd, где d — толщина слоя, коэффициент k пропорционален Z³λ³, Z — атомный номер элемента, λ — длина волны).

Поглощение происходит в результате фотопоглощения (фотоэффекта) и комптоновского рассеяния:

  • Под фотопоглощением понимается процесс выбивания фотоном электрона из оболочки атома, для чего требуется, чтобы энергия фотона была больше некоторого минимального значения. Если рассматривать вероятность акта поглощения в зависимости от энергии фотона, то при достижении определённой энергии она (вероятность) резко возрастает до своего максимального значения. Для более высоких значений энергии вероятность непрерывно уменьшается. По причине такой зависимости говорят, что существует граница поглощения. Место выбитого при акте поглощения электрона занимает другой электрон, при этом испускается излучение с меньшей энергией фотона, происходит т. н. процесс флуоресценции.
  • Рентгеновский фотон может взаимодействовать не только со связанными электронами, но и со свободными, а также слабосвязанными электронами. Происходит рассеяние фотонов на электронах — т. н. комптоновское рассеяние. В зависимости от угла рассеяния, длина волны фотона увеличивается на определённую величину и, соответственно, энергия уменьшается. Комптоновское рассеяние, по сравнению с фотопоглощением, становится преобладающим при более высоких энергиях фотона[4].

Биологическое воздействие

Рентгеновское излучение является ионизирующим. Оно воздействует на ткани живых организмов и может быть причиной лучевой болезни, лучевых ожогов и злокачественных опухолей. По причине этого при работе с рентгеновским излучением необходимо соблюдать меры защиты. Считается, что поражение прямо пропорционально поглощённой дозе излучения. Рентгеновское излучение является мутагенным фактором.

Регистрация

  • Эффект люминесценции. Рентгеновские лучи способны вызывать у некоторых веществ свечение (флюоресценцию). Этот эффект используется в медицинской диагностике при рентгеноскопии (наблюдение изображения на флюоресцирующем экране) и рентгеновской съёмке (рентгенографии). Медицинские фотоплёнки, как правило, применяются в комбинации с усиливающими экранами, в состав которых входят рентгенолюминофоры, которые светятся под действием рентгеновского излучения и засвечивают светочувствительную фотоэмульсию. Метод получения изображения в натуральную величину называется рентгенографией. При флюорографии изображение получается в уменьшенном масштабе. Люминесцирующее вещество (сцинтиллятор) можно оптически соединить с электронным детектором светового излучения (фотоэлектронный умножитель, фотодиод и т. п.), полученный прибор называется сцинтилляционным детектором. Он позволяет регистрировать отдельные фотоны и измерять их энергию, поскольку энергия сцинтилляционной вспышки пропорциональна энергии поглощённого фотона.
  • Фотографический эффект. Рентгеновские лучи, так же как и обычный свет, способны напрямую засвечивать фотографическую эмульсию. Однако без флюоресцирующего слоя для этого требуется в 30—100 раз бо́льшая экспозиция (то есть доза). Преимуществом этого метода (известного под названием безэкранная рентгенография) является бо́льшая резкость изображения.
  • В полупроводниковых детекторах рентгеновские лучи создают пары электрон-дырка в p-n-переходе диода, включённого в запирающем направлении. При этом протекает небольшой ток, амплитуда которого пропорциональна энергии и интенсивности падающего рентгеновского излучения. В импульсном режиме возможна регистрация отдельных рентгеновских фотонов и измерение их энергии.
  • Отдельные фотоны рентгеновского излучения могут быть также зарегистрированы при помощи газонаполненных детекторов ионизирующего излучения (счётчик Гейгера, пропорциональная камера и др.).

Применение

Применения рентгеновского излучения различных длин волн. Слева направо: рентгеноструктурный анализ, маммография, компьютерная томография, рентгенотелевизионная интроскопия
  • При помощи рентгеновских лучей можно «просветить» человеческое тело, в результате чего можно получить изображение костей, а в современных приборах и внутренних органов (см. также рентгенография и рентгеноскопия). При этом используется тот факт, что у содержащегося преимущественно в костях элемента кальция (Z = 20) атомный номер гораздо больше, чем атомные номера элементов, из которых состоят мягкие ткани, а именно водорода (Z = 1), углерода (Z = 6), азота (Z = 7), кислорода (Z = 8). Кроме обычных приборов, которые дают двумерную проекцию исследуемого объекта, существуют компьютерные томографы, которые позволяют получать объёмное изображение внутренних органов.
  • В аэропортах активно применяются рентгенотелевизионные интроскопы, позволяющие просматривать содержимое ручной клади и багажа в целях визуального обнаружения на экране монитора предметов, представляющих опасность.
  • Рентгенотерапия — раздел лучевой терапии, охватывающий теорию и практику лечебного применения рентгеновских лучей, генерируемых при напряжении на рентгеновской трубке 20—60 кВ и кожно-фокусном расстоянии 3—7 см (короткодистанционная рентгенотерапия) или при напряжении 180—400 кВ и кожно-фокусном расстоянии 30—150 см (дистанционная рентгенотерапия). Рентгенотерапию проводят преимущественно при поверхностно расположенных опухолях и при некоторых других заболеваниях, в том числе заболеваниях кожи (ультрамягкие рентгеновские лучи Букки).
  • Криптография — генерация случайных последовательностей.

Естественное рентгеновское излучение

На Земле электромагнитное излучение в рентгеновском диапазоне образуется в результате ионизации атомов излучением, которое возникает при радиоактивном распаде, в результате Комптон-эффекта гамма-излучения, возникающего при ядерных реакциях, а также космическим излучением. Радиоактивный распад также приводит к непосредственному излучению рентгеновских квантов, если вызывает перестройку электронной оболочки распадающегося атома (например, при электронном захвате). Рентгеновское излучение, которое возникает на других небесных телах, не достигает поверхности Земли, так как полностью поглощается атмосферой. Оно исследуется спутниковыми рентгеновскими телескопами, такими как «Чандра» и «XMM-Ньютон».

Кроме того, в 1953 году советскими учёными было обнаружено, что рентгеновское излучение может генерироваться благодаря триболюминесценции, возникающей в вакууме в месте отлипания клейкой ленты от подложки, например, от стекла или при разматывании рулона[5][6][7]. В 2008 году американскими учёными были проведены эксперименты, которые показали, что в некоторых случаях мощности излучения достаточно, чтобы оставлять рентгеновское изображение на фотобумаге[5][8].

История открытия

«Рука с кольцами», фотография (рентгенограмма) руки Альберта фон Кёлликера, сделанная В. К. Рентгеном в 1895 году

Рентгеновское излучение было открыто Вильгельмом Конрадом Рентгеном. Изучая экспериментально катодные лучи, вечером 8 ноября 1895 года он заметил, что находившийся вблизи катодно-лучевой трубки картон, покрытый платиносинеродистым барием, начинает светиться в тёмной комнате. В течение нескольких следующих недель он изучил все основные свойства вновь открытого излучения, названного им X-лучами ("икс-лучами"). 22 декабря 1895 года Рентген сделал первое публичное сообщение о своём открытии в Физическом институте Вюрцбургского университета[9]. 28 декабря 1895 года в журнале Вюрцбургского физико-медицинского общества была опубликована статья Рентгена под названием «О новом типе лучей»[10].

В 1894 году Никола Тесла, по его позднейшему сообщению[11], обнаружил засвечивание фотопластинок рентгеновским тормозным излучением, создаваемым катодными лучами при падении на стенку разрядной трубки, однако (возможно, из-за пожара в лаборатории Теслы 13 марта 1895 года, который привёл к потере исследовательских материалов) эти исследования не привели к открытию новых лучей до Рентгена[12]. Кроме того, Тесла был одним из первых, кто отметил биологическую опасность рентгеновских аппаратов, хотя и приписал её озону и оксидам азота, возникающим в воздухе под действием рентгеновских лучей[13][12].

По некоторым сообщениям, опубликованным лишь в 1896 году[14][15], и в ссылающихся на них источниках[16], лучи, обладающие фотохимическим действием, были за 11 лет до Рентгена описаны директором и преподавателем физики Бакинского реального училища Егором Семёновичем Каменским[17] (1838—1895), председателем Бакинского кружка любителей фотографии. Секретарь этого кружка А. М. Мишон якобы также проводил опыты в области фотографии, аналогичные рентгеновым. Однако в результате рассмотрения вопроса о приоритете на заседании Комиссии по истории физико-математических наук АН СССР 22 февраля 1949 года было принято решение, «признавая имеющийся в наличии материал по вопросу об открытии Х-лучей недостаточным для обоснования приоритета Каменского, считать желательным продолжить поиски более веских и достоверных данных»[18].

Некоторые источники[16] называют первооткрывателем рентгеновских лучей украинского физика Ивана Павловича Пулюя, который начал интересоваться разрядами в вакуумных трубках за 10 лет до опубликования открытия Рентгеном. По этим утверждениям, Пулюй заметил лучи, которые проникают через непрозрачные предметы и засвечивают фотопластинки. В 1890 году им были якобы получены и даже опубликованы в европейских журналах фотографии скелета лягушки и детской руки, однако дальнейшим изучением лучей и получением патента он не занимался[16]. Это мнение опровергается в посвящённой Пулюю монографии Р. Гайды и Р. Пляцко[19], где подробно анализируются истоки и развитие этой легенды, и в других работах по истории физики[20]. Пулюй действительно сделал большой вклад в изучение физики рентгеновского излучения и в методику его применения (например, он первым обнаружил появление электропроводности в газах, облучаемых рентгеновскими лучами), но уже после открытия Рентгена[19].

Катодно-лучевая трубка, которую Рентген использовал в своих экспериментах, была разработана Й. Хитторфом и В. Круксом. При работе этой трубки возникают рентгеновские лучи. Это было показано в экспериментах Генриха Герца и его ученика Филиппа Ленарда через почернение фотопластинок. Однако никто из них не осознал значения сделанного ими открытия и не опубликовал своих результатов.

По этой причине Рентген не знал о сделанных до него открытиях и открыл лучи независимо — при наблюдении флюоресценции, возникающей при работе катодно-лучевой трубки. Рёнтген занимался Х-лучами немногим более года (с 8 ноября 1895 года по март 1897 года) и опубликовал о них три статьи, в которых было исчерпывающее описание новых лучей. Впоследствии сотни работ его последователей, опубликованных затем на протяжении 12 лет, не могли ни прибавить, ни изменить ничего существенного. Рентген, потерявший интерес к Х-лучам, говорил своим коллегам: «Я уже всё написал, не тратьте зря время». Свой вклад в известность Рёнтгена внесла также знаменитая фотография руки Альберта фон Кёлликера, которую он опубликовал в своей статье (см. изображение справа). За открытие рентгеновских лучей Рентгену в 1901 году была присуждена первая Нобелевская премия по физике, причём нобелевский комитет подчёркивал практическую важность его открытия. В других странах используется предпочитаемое Рентгеном название — X-лучи, хотя словосочетания, аналогичные русскому (англ. Roentgen rays и т. п.) также употребляются. В России лучи стали называть «рентгеновскими» по инициативе ученика В. К. Рёнтгена — Абрама Фёдоровича Иоффе.

См. также

Научно-популярная литература

  • Жданов Г.С. Рентгеновы лучи. — Москва - Ленинград: Государственное издательство технико-теоретической литературы, 1949. — 33 с.
  • Власов П.В. Беседы о рентгеновских лучах. — Москва: Молодая Гвардия, 1977. — 222 с.

Примечания

  1. 1 2 Блохин М.А. Рентгеновское излучение // Физическая энциклопедия : [в 5 т.] / Гл. ред. А. М. Прохоров. М.: Большая российская энциклопедия, 1994.  Т. 4: Пойнтинга — Робертсона — Стримеры. — С. 375—377. — 704 с. 40 000 экз. — ISBN 5-85270-087-8.
  2. Deslattes R. D. et al. X-Ray Transition Energies Database: NIST Standard Reference Database 128 Архивная копия от 12 февраля 2019 на Wayback Machine. September 2005. DOI:10.18434/T4859Z.
  3. Юрий Ерин. Подтверждена высокая отражательная способность алмаза в диапазоне жесткого рентгеновского излучения. Элементы — новости науки (3 марта 2010). Дата обращения: 11 мая 2010. Архивировано 27 августа 2011 года.
  4. Рассеяние рентгеновского излучения на слоистых наносистемах с шероховатыми интерфейсами Архивная копия от 29 декабря 2014 на Wayback Machine. — Наносистемы, 2012
  5. 1 2 Липкая лента оказалась источником рентгеновского излучения. Наука и техника. Lenta.ru (23 октября 2008). Дата обращения: 6 июля 2020. Архивировано 24 октября 2008 года.
  6. Карасев В. В., Кротова Н. А., Дерягин Б. В. Исследование электронной эмиссии при отрыве пленки высокополимера от стекла в вакууме // Доклады Академии Наук СССР. М., 1953. Т. 88, № 5. С. 777—780.
  7. Карасев В. В., Кротова Н. А., Дерягин Б. В. Исследование газового разряда при отрыве пленки высокополимера от твердой подкладки // Доклады Академии Наук СССР. М., 1953. Т. 89, № 1. С. 109—112.
  8. Kenneth Chang. Scotch Tape Unleashes X-Ray Power (англ.). The New York Times (23 октября 2008). Дата обращения: 6 июля 2020. Архивировано 30 сентября 2017 года.
  9. Манолов К., Тютюнник В. Биография атома. Атом — от Кембриджа до Хиросимы. — Переработанный пер. с болг.. М.: Мир, 1984. — С. 17—18. — 246 с.
  10. Röntgen W. C. Ueber eine neue Art von Strahlen : [нем.] // Sonderabbdruck aus den Sitzungsberichten der Würzburger Physik.-medic. Gesellschaft. — 1895.
  11. Tesla N. Lecture Before The New York Academy of Sciences : The Streams of Lenard and Roentgen and Novel Apparatus for Their Production — April 6, 1897 (англ.) / Ed.: Leland I. Anderson. — Twenty First Century Books,, 1994. — xix + 123 p. — (Tesla Presents series, Part 2). — ISBN 0-9636012-7-X.
  12. 1 2 Hrabak M., Padovan R.S., Kralik M., Ozretic D., Potocki K. Scenes from the past: Nikola Tesla and the discovery of X-rays (англ.) // Radiographics. — 2008. Vol. 28, iss. 4. P. 1189–1192. doi:10.1148/rg.284075206. PMID 18635636. Открытый доступ
  13. Tesla N. On the Roentgen streams (англ.) // Electrical Review New York. — 1896. Iss. 29(23). P. 277.
  14. «Природа и люди». — № 28, 1896.
  15. Каспий. — Газета. — Баку, 1896.
  16. 1 2 3 Отечественная рентгенология. Рентгенодиагностика. Дата обращения: 16 февраля 2019. Архивировано из оригинала 17 апреля 2012 года.
  17. В некоторых источниках ошибочно назван Евгением.
  18. В Комиссии по истории физико-математических наук // Вестник АН СССР. — 1949. Т. 19, вып. 4. С. 83—84. Архивировано 24 февраля 2019 года.
  19. 1 2 Гайда Р., Пляцко Р. Іван Пулюй. 1845—1918: Життєписно-бібліографічний нарис / Наукове товариство імені Шевченка у Львові / Олег Купчинський (відп. ред.). — Львів. — 1998. — 284 с. — (Визначні діячі НПШ; 7). — На обкл. автор не зазначений. — ISBN 5-7707-8500-4.
  20. Фіалков Л. Іван Пулюй ніколи не спростовував відкриття Рентгена (укр.) // Вісник НАНУ. — 1996. Вип. 9—10. С. 93—95.

Ссылки