Описторхоз
| Описторхоз | |
|---|---|
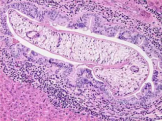
![]() Микрофотография O. viverrini в жёлчном протоке экспериментально заражённого хомяка | |
| МКБ-11 | 1F84 |
| МКБ-10 | B66.0 |
| МКБ-10-КМ | B66.0 |
| МКБ-9 | 121.0 |
| МКБ-9-КМ | 121.0[1][2] |
| DiseasesDB | 29303 |
| MeSH | D009889 |
Описторхо́з (лат. opisthorchiasis) — заболевание из группы трематодозов, вызываемое паразитическими плоскими червями из рода Opisthorchis — Opisthorchis felineus и Opisthorchis viverrini. Описторхоз распространён на территории России, Украины, Казахстана и стран Юго-Восточной Азии. Заражению подвержен человек и рыбоядные животные, в том числе медведи. Заражение происходит при приёме в пищу сырой, слабосолёной или недостаточно термически обработанной речной рыбы семейства карповых. Заболевание характеризуется поражением внутрипечёночных жёлчных протоков, жёлчного пузыря и протоков поджелудочной железы.
Краткая историческая справка
3 апреля 1891 года профессор Томского университета К. Н. Виноградов при патологоанатомическом вскрытии впервые обнаружил в печени человека сосальщика, которому дал название сибирской двуустки. Правильное систематическое описание паразита было составлено в 1885 году Р. Бланшаром[3]. Он же дал ему название кошачья двуустка — Opisthorchis felineus. Заболевание получило название описторхоз[4].
Основываясь на том, что описторхоз встречается не повсеместно, а вблизи пресных водоёмов, Браун в 1893 году высказал предположение, а Асканази в 1904 году экспериментально подтвердил, что заражение описторхозом происходит при поедании рыбы. В 1891 году К. Н. Виноградовым было сделано предположение о том, что первым промежуточным хозяином сибирской двуустки может быть пресноводный моллюск. Исследования немецкого учёного Ганса Фогеля подтвердили это: в 1932 году он экспериментально доказал, что в жизненный цикл O. felineus входит моллюск Bithynia leachi. До 1967 года, когда Я. И. Старобогатов установил, что этот вид является сборным, считалось, что B. leachi — единственный вид моллюсков, участвующий в развитии паразита[5]. В настоящее время, говоря о первом промежуточном хозяине сибирской двуустки, лучше использовать термин битинииды рода Codiella[6].
Распространение

Описторхоз, вызываемый трематодой Opisthorchis viverrini, распространён в Юго-Восточной Азии на территории таких стран, как Таиланд, Лаос, Вьетнам и Камбоджа[7]. Редкие случаи заболевания, связываемые с завозом заражённой рыбы, регистрируются в Европе и Северной Америке[8].
Описторхоз, вызываемый трематодой Opisthorchis felineus, распространён на территории России, Украины, Казахстана. Его очаги приурочены к бассейнам рек: Обь, Иртыш, Урал, Волга, Кама, Дон, Днепр, Северная Двина[9], Бирюса[10]. Максимальный уровень поражённости населения регистрируется в среднем и нижнем течении Оби и Иртыша[9].
В структуре биогельминтозов (см. гельминтозы) на территории Российской Федерации на долю описторхоза приходится 74,4 % заболеваемости. Наиболее неблагополучными являются Ханты-Мансийский и Ямало-Ненецкий автономные округа, Тюменская, Томская, Омская, Новосибирская области, Республика Алтай. В 2010 году было зарегистрировано 33 657 случаев заболевания описторхозом среди взрослого населения, среди детей до 17 лет — 4 571 случай[11].
В Западной Сибири значительная часть трематодозов вызвана микст-инвазией Opisthorchis felineus и меторхов (Metorchis bilis") [12].
В 2016 году заболевание обнаружили в Шатурском районе Московской области.[13]
Возбудитель и заражение

Возбудителями описторхоза являются печёночные сосальщики, в том числе Opisthorchis felineus (кошачья или сибирская двуустка), мелкий паразит ланцетовидной формы длиной 8—18 мм и шириной 1,2—2 мм. Развитие паразита происходит с участием двух промежуточных хозяев: моллюсков и карповых рыб. Конечными хозяевами являются человек и плотоядные животные[14].
Первые промежуточные хозяева — пресноводные моллюски битинииды рода Codiella, обитающие в пересыхающих мелководных пойменных водоёмах. Их заражение происходит путём заглатывания яйца описторха, попадающих в водоём с фекалиями конечных хозяев, вместе с илом со дна водоёма. В теле моллюска паразит претерпевает метаморфоз. Эта стадия развития паразита длится в течение 2 месяцев. Образовавшиеся в результате церкарии покидают моллюска и активно внедряются в тело карповых рыб[15].
В теле рыбы паразит располагается в мышцах и подкожной клетчатке. Здесь он переходит к следующей стадии развития и превращается в метацеркарий, который лежит в округлой цисте серого цвета размером 0,17—0,21 мм. Личинка внутри очень подвижная. У освобождённого метацеркария (длина 0,44—1,36 мм, ширина 0,15—0,30 мм) хорошо видны две присоски и экскреторный пузырёк, заполненный чёрными гранулами. Через 6 недель после заражения рыбы паразит становится инвазионным, то есть способным заражать конечного хозяина. Из всех жизненных стадий описторхиса только метацеркарий способен приживаться и размножаться в организме человека и хищных млекопитающих. Потенциальными носителями личинок описторхиса являются язь, елец, плотва, краснопёрка, лещ, голавль, синец, белоглазка, чехонь, жерех, линь, пескарь, уклея, гольян, верховка, шиповка. В бассейне Оби наибольшая заражённость отмечается у язя, чуть меньшая — у ельца и плотвы[15].
Конечные хозяева паразитов (человек, кошки, собаки, лисицы, песцы, хорьки и другие плотоядные животные) заражаются после поедания инвазированной рыбы. В желудке и начальном отделе тонкого кишечника конечного хозяина метацеркарии освобождаются от цист, после чего проникают через жёлчные протоки в жёлчный пузырь и жёлчные ходы печени. Здесь они через 10—12 дней достигают половой зрелости и начинают откладывать яйца. Яйца паразита, попавшие на почву, погибают в течение 8—10 дней, при попадании же в воду сохраняют жизнеспособность до года. В теле конечного хозяина паразит может обитать в течение 10—20 лет[14][15].
Патогенез

Патогенез складывается на основе механического и токсического воздействия паразитов на организм хозяина[5].
Большой ущерб стенкам жёлчных ходов наносят описторхи при фиксации и передвижении. С помощью присосок они втягивают в полость слизистую и защемляют её, что приводит к нарушению кровообращения, иногда и целостности ткани. Молодые паразиты наносят дополнительный ущерб кутикулярными шипами. Кроме того, большие скопления паразитов, их яиц и слущенного эпителия создают препятствия для тока жёлчи и секрета поджелудочной железы, что приводит к замедлению и прекращению тока жидкости. Это может послужить причиной кистозного расширения жёлчных ходов[5]. Провоцируемый паразитом застой жёлчи является благоприятным условием для развития инфекции. Инфекционные агенты могут проникать в жёлчные пути из кишечника, чему способствует заселение верхних его отделов бактериями в результате ахолии, часто развивающейся при описторхозе. Кроме того, при повторных заражениях описторхозом молодые описторхисы, проникая через общий жёлчный проход в жёлчные пути, заносят в них инфекцию. Наконец, инфекционное начало может попадать в жёлчные пути и гематогенным путём. В результате описанных процессов при описторхозе иногда наблюдаются гнойные холангиты[5].
Продукты обмена веществ паразитов, выделяемые непосредственно в организм хозяина, вызывают его сенсибилизацию и развитие аллергии[5], например при заболевании описторхозом периодически может проявляться кожный дерматит, поражающий лицо. При отсутствии лечения длительное заболевание описторхозом может привести к возникновению холангиокарциномы, что связано с мутагенным эффектом возбудителя, его способностью вызывать пролиферацию эпителия жёлчных протоков и овальных клеток (см. печень)[16][17][18]. O. viverrini внесён в список канцерогенов первой категории МАИР[19].
На течение болезни существенное влияние оказывают генетические факторы. Например, у людей с третьей группой крови часто выявляется диффузное поражение печени, а с первой — эрозивно-язвенный гастродуоденит[16].
Симптомы
Описторхоз у разных людей проявляется по-разному, иногда человек может даже не подозревать, что заражён. Общие симптомы выглядят следующе:
- ухудшение общего состояния, характеризующееся слабостью, повышенной утомляемостью, плохим самочувствием;
- аллергическая реакция на выделяемые описторхами вещества, зачастую проявляется на лице в "зоне Т";
- лихорадка;
- повышенная потливость;
- воспалительные процессы в верхних дыхательных путях;
- диарея;
- рвота;
- метеоризм;
- боли в желудке;
- отсутствие аппетита[20].
Примечание: Иногда симптомы могут отсутствовать вовсе как таковые. Человек может не подозревать о наличии описторхоза на протяжении месяцев даже нескольких лет, не испытывая какого-либо дискомфорта. Обычно аллергическая реакция в виде дерматита может служить признаком наличия у человека паразитоза.
Клиническая картина
Инкубационный период заболевания составляет от 2 до 4 недель. В клиническом течении различают две фазы: острую и хроническую[16].
Острая фаза чётко выявляется у впервые заболевших людей, недавно попавших в зону распространения описторхоза. При лёгком течении характерны такие признаки, как внезапное начало, температура до 38°С в течение 1—2 недель, жалобы на небольшую слабость и повышенную утомляемость. Среднетяжёлому течению присущи повышение температуры до 39°С и выше в течение 2—3 недель, уртикарные высыпания, боль в мышцах и суставах, у некоторых заболевших возникают рвота, диарея. При тяжёлом течении помимо высокой температуры тела, высыпаний, головной боли, заторможенности или возбуждения, бессонницы, отчётливо проявляются признаки, характерные для поражения внутренних органов. При поражении печени — желтуха различной интенсивности, боли в области печени, возможно увеличение лимфатических узлов. При поражении пищеварительного тракта — упорная приступообразная боль в правом подреберье, тошнота, рвота, вздутие живота, расстройства стула. У некоторых больных возможно возникновение кашля, болей в грудной клетке при дыхании[16].
Хронический описторхоз характерен для жителей эндемических районов и отличается большим разнообразием проявлений. Может протекать годами без выраженной острой стадии, возможно проявление клинических симптомов через 10—20 лет после заражения. Больные жалуются на чувство тяжести, распирания в надчревной области, снижение аппетита, рвоту, боль в правом подреберье. Постепенно формируется хронический гепатит. Хронический описторхоз может сопровождаться развитием цирроза печени и гепатоцеллюлярной карциномы[16].
Если паразиты локализуются в поджелудочной железе, то возникают боли опоясывающего характера с отдачей в левую половину грудной клетки, спину, левое плечо. Поражения нервной системы проявляются головной болью, головокружением, нарушением сна, эмоциональной неустойчивостью, депрессией, раздражительностью, частой сменой настроения и др. При хроническом описторхозе нередко возникают признаки поражения сердца: больные жалуются на боль или неприятные ощущения в области сердца, сердцебиение[16].
При хроническом описторхозе часто выявляются нарушения желудочной секреции, признаки хронического гастрита, дуоденита, гастродуоденита, язвы желудка или двенадцатиперстной кишки. Симптоматика часто бывает не ярко выраженной. У отдельных больных хронический описторхоз может проявляться только симптомами холецистита, холангита, у других — преимущественно признаками недостаточности пищеварительных ферментов, у третьих — общетоксическими и аллергическими реакциями. Возможно также бессимптомное течение[16].
Хроническая форма заболевания может приводить к возникновению различных патологических процессов, причинами которых чаще всего становятся токсическое и раздражающее влияние присосок и щипцов особей гельминтов на слизистую жёлчного пузыря и его протоков; формирование препятствий в полости жёлчного пузыря и его протоках в результате скопления большого количества паразитов; раздражение нервов (симпатического и блуждающего), которые появляются вследствие негативного влияния гельминтов (в местах их локализации) и продуктов их существования.
Диагностика
Диагноз описторхоз может быть предположен на основании характерной клинической картины, а также эпидемиологических данных. Факторами риска являются проживание в эндемичном районе, употребление в пищу недостаточно хорошо обеззараженной рыбы, а также принадлежность к определённым этническим группам (коренные народности Севера)[21].
Поскольку описторхозу свойственны симптомы, характерные для заболеваний печени различной этиологии, то диагноз не может быть поставлен на основании только клинической картины. Для подтверждения диагноза необходимо обнаружение яиц паразита в кале и/или дуоденальном соке (сок двенадцатиперстной кишки). При этом следует учитывать, что яйца паразита появляются в кале не раньше чем через 4 недели после заражения. Кроме того, может потребоваться анализ нескольких образцов, так как продукция яиц может быть непостоянной или же их количество может быть небольшим[22]. Присутствие менее чем 100 яиц на 1 грамм кала указывает на лёгкую степень заражения, а более чем 30 000 — на крайне тяжёлую[23].
Взрослые черви могут быть обнаружены с помощью эндоскопии или эндоскопической ретроградной панкреатохолангиографии. Ультразвуковое исследование, компьютерная томография, магнитно-резонансная томография и радиография печени и жёлчных протоков позволяют выявить такие непрямые признаки описторхоза, как увеличение или изменение структуры жёлчного пузыря и печени, воспаление и фиброз жёлчных протоков. В отдельных случаях удаётся наблюдать скопления паразитов[22][23]. К другим неспецифическим признакам описторхоза относятся эозинофилия (особенно на ранней стадии заражения), повышение уровня билирубина, щелочной фосфатазы и сывороточной трансаминазы в сочетании с низким уровнем сывороточного альбумина[5][23].
Хотя золотым стандартом диагностики описторхоза до сих пор остаётся обнаружение яиц паразита, всё более распространёнными становятся методы иммунологической и молекулярной диагностики. Методы, основанные на обнаружении в организме больного антител против антигенных детерминант паразита, дают хорошие результаты. Наиболее распространённым из этих методов является иммуноферментный анализ, который, вероятно, заменит в будущем микроскопический метод диагностики. Обнаружение антигенов паразита в крови также является перспективным направлением, потому что позволяет судить о стадии развития заболевания. Однако соответствующие диагностические методы ещё недостаточно развиты для широкого их применения. К молекулярным методам диагностики относится обнаружение в кале фрагментов ДНК, специфичных для паразита, с помощью полимеразной цепной реакции. Этот метод даёт хорошие результаты при среднем и сильном уровне заражения, однако оказывается менее чувствительным при слабом заражении[24].
Кроме того, врачом-инфекционистом при подозрении на описторхоз обычно назначается обычное дуоденальное зондирование. Правда, данный способ диагностики сложен, так как требует от пациента длительной подготовки (особый режим питания за сутки до процедуры и приём жёлчегонных препаратов для облегчения взятия образцов жёлчи). Если же взять пробу жёлчи не удалось, то описторхоз можно и не обнаружить. Впрочем, при особо тяжёлых формах описторхоза яйца паразитов могут быть обнаружены даже в желудочном соке, поэтому будет достаточно и первой пробы.
Лечение
Терапия описторхоза, как правило, является комплексной и включает наряду с применением специфических противогельминтных препаратов также более общие меры, направленные на восстановление нарушенной функции желудочно-кишечного тракта[21], как, например, назначение энтеросорбентов.[25]
Лечение проводится препаратами празиквантел[26](Бильтрицид), хлоксил,(не используется из за малой эффективности и токсичности), альбендазол (мало эффективен) только по указанию врача.
Большинство пациентов могут проходить лечение амбулаторно. Стационарное лечение рекомендуется больным с декомпенсацией функций органов, лицам, имеющим нервно-психологические заболевания, больным в острой стадии описторхоза. При острой стадии заболевания этиотропную терапию проводят после купирования приступов лихорадки, устранения интоксикации и аллергических проявлений. Для пациентов с хронической стадией рекомендуется проведение комплексной терапии, направленной на купирование острых состояний и достижение достаточной ремиссии сопутствующих заболеваний, после чего проводится специфическое лечение[26].
Прогноз обычно благоприятный. Случаи летального исхода из-за развития печёночной недостаточности регистрируются крайне редко. Прогноз серьёзен при развитии гнойных процессов в жёлчевыделительной системе, жёлчных перитонитах и остром панкреатите. Прогноз неблагоприятен при развитии первичного рака печени[26].
Переболевшие нуждаются в диспансерном наблюдении не менее 6 месяцев[26].
Профилактика
В целях личной профилактики следует употреблять в пищу только хорошо проваренную и прожаренную, тщательно просоленную рыбу. Избегать сырой, слабо проваренной или прожаренной, малосольной рыбы, строганины. Следует следить за тем, чтобы в водоёмы не попадали фекалии. Для обеззараживания рыбы необходимо соблюдать следующие режимы заморозки:
| Температура в теле рыбы | Время, необходимое для обеззараживания |
| Минус 40 °С | 7 часов |
| Минус 35 °С | 14 часов |
| Минус 28 °С | 32 часа |
При этом важно, чтобы температура была одинаково низка во всех участках тела, иначе могут погибнуть не все личинки паразита. Личинки описторхиса очень устойчивы к низким температурам, поэтому замораживание рыбы при более высоких температурах не может гарантировать её обеззараживания[9]. В бытовом холодильнике метацеркарии сохраняют жизнеспособность в течение месяца[27]
При засолке рыбы для её обеззараживания необходимо применять смешанный крепкий и средний посол. При этом продолжительность посола должна быть:
- пескаря, уклейки, гольяна, верховки — 10 суток;
- плотвы, ельца, краснопёрки, голавля, синца, белоглазки, подуста, чехони, жереха, шиповки, мелких (до 25 см) язей, лещей, линей — 21 сутки;
- крупных (свыше 25 см) язей, лещей, линей — 40 суток.
Вяление необходимо проводить с соблюдением следующих условий:
- предварительный посол в течение 2 недель из расчёта 2 кг соли на 10 кг рыбы, затем вымачивание и вяление по вкусу;
- предварительный посол в течение 3 дней из расчёта 2 кг соли на 10 кг рыбы, затем, без вымачивания, вяление в течение 3 недель[27].
Варить рыбу следует порционными кусками не менее 20 минут с момента закипания, рыбные пельмени — не менее 5 минут с момента закипания. Рыбу (рыбные котлеты) необходимо жарить порционными кусками в жире 15 минут. Крупные куски рыбы весом до 100 г следует жарить в распластанном виде не менее 20 минут. Мелкую рыбу можно жарить целиком в течение 15—20 минут[9]. Рыбные пироги необходимо выпекать не менее 60 минут[27].
Горячее копчение при температуре +70-80 °С в течение 2-2.5 часов уничтожает метацеркариев. При холодном копчении рекомендуется предварительный посол в течение 2 недель (из расчёта 2 кг соли на 10 кг рыбы) или замораживание (при температуре −28 °С в течение 41 часа, при температуре −35 °С в течение 10 часов)[27].
Для предотвращения дальнейшего распространения паразита не следует сбрасывать в водоёмы и на мусорные свалки отходы переработки рыбной продукции, а также скармливать животным без предварительного обеззараживания[9][28].
Болезнь у животных
У плотоядных хищников заражение происходит при поедании рыбы, инвазированной метацеркариями. После инкубационного периода, длящегося от 5 до 21 дня, у животных повышается температура, проявляется общая слабость, возникает эозинофилия. При тяжёлом течении болезни у животных могут возникнуть лихорадка, желтуха, гепатоспленомегалия. Печень на ощупь становится бугристой. Также могут возникать рвота, диарея, запоры, выпадение шерсти, асцит. Спустя некоторое время состояние животного улучшается, болезнь из острой стадии переходит в хроническую и проявляется дискинезией жёлчных путей, хроническим холангиохолециститом, хроническим панкреатитом[29].
Продукты обмена веществ описторхисов способны сенсибилизировать организм хозяина с развитием в последующем аллергии.[30]
Диагноз ставится на основании обнаружения яиц описторхов в фекалиях. Для лечения используется празиквантел. Гексахлорпараксилол, гексихол и политрем можно отнести к устаревшим препаратам[29].
Поскольку домашние животные (кошки, собаки) играют важную роль в распространении заболевания, то в целях профилактики в очагах описторхоза необходимо кормить их только тщательно проваренной рыбой[9].
Установлено, что животные и человек могут несколько лет быть носителями паразита и выделять с фекалиями яйца гельминта в окружающую среду. Поэтому точная и своевременная диагностика, выявление носителей, адекватное качественное лечение больных, а также охрана и обеззараживание воды водоёмов являются важными профилактическими мерами в отношении описторхоза. Однако основное значение в профилактике заражения описторхозом имеет исключение из питания сырой, недостаточно просоленной или недостаточно термически обработанной рыбы. В хозяйствах, питомниках, клубах, расположенных в неблагополучной по описторхозу зоне, осуществляют мероприятия по предупреждению заражения животных: санитарно-эпизоотологические, лечебно-профилактические и санитарно-просветительная работа. Рыбу из неблагополучных по описторхозу водоёмов скармливают животным только в кусках массой не более 100 г, проваренных 30 мин после закипания воды или промороженных при температуре −10 ºС в течение четырёх недель, при −20 ºС — 72 ч, −28 ºС — 32, −35 ºС — 14, −40 ºС — 7 ч. При засоле рыбы температура рассола должна быть 16-20 °С, а рыба должна находиться в нём не менее 14 сут. Для засола на 10 кг рыбы следует использовать 2,7-2,9 кг поваренной соли. Особенно тщательно эти мероприятия следует соблюдать в Западной Сибири в бассейне рек Обь, Иртыш и их притоков. В этих районах из рациона плотоядных животных необходимо полностью исключить не обезвреженную пресноводную рыбу. Профилактические дегельминтизации взрослых лисиц и песцов проводят за 1 мес до гона и после отсадки приплода, щенков — с 3-месячного возраста; лечебную дегельминтизацию — при наличии показаний. Беременных самок дегельминтизируют не позднее, чем за 1 мес до щенения. Начиная с месячного возраста плотоядных животных приучают к специально приготовленным готовым рационам для мелких животных (сухие, влажные), а также следует переводить взрослых животных на готовые рационы. Необходимо организовать утилизацию трупов плотоядных животных, периодически проводить диагностические исследования пушных зверей, собак, кошек и при необходимости их дегельминтизировать.[31]
Примечания
- ↑ Disease Ontology (англ.) — 2016.
- ↑ Monarch Disease Ontology release 2018-06-29 — 2018-06-29 — 2018.
- ↑ Ильинских Е. Н. «Актуальные вопросы изучения проблемы описторхоза в Сибири» // «Бюллетень сибирской медицины». — 2002. — Вып. 1. — С. 63-70
- ↑ Бочарова Т. А. «Возбудитель описторхоза и другие мышечные паразиты карповых рыб бассейна нижней Томи» / Томск: Изд-во Томского государственного университета, 2007. — 66 с.
- 1 2 3 4 5 6 В. В. Подъяпольская, В. Ф. Капустин. «Глистные болезни человека». — М.: «Медгиз». 1958. — 663 с.
- ↑ Беэр С. А. «Биология возбудителя описторхоза». — М.: «Товарищество научных изданий КМК», 2005. 336 с.
- ↑ Young ND, Campbell BE, Hall RS, Jex AR, Cantacessi C, et al. (2010) Unlocking the Transcriptomes of Two Carcinogenic Parasites, Clonorchis sinensis and Opisthorchis viverrini Архивная копия от 23 января 2013 на Wayback Machine. PLoS Negl Trop Dis 4(6): e719. doi:10.1371/journal.pntd.0000719
- ↑ King S, Scholz T. Trematodes of the family Opisthorchiidae: a minireview Архивная копия от 9 августа 2021 на Wayback Machine // The Korean journal of parasitology. — 2001. — Vol. 39. — № 3. — С. 209—221
- 1 2 3 4 5 6 СанПин 3.2.569-96 «Профилактика паразитарных болезней на территории Российской Федерации» (утв. постановлением Госкомсанэпиднадзора России от 31 октября 1996 г. № 43). Дата обращения: 19 июля 2012. Архивировано из оригинала 25 декабря 2012 года.
- ↑ Русинек О. Т., Кондратистов Ю. Л. Изучение зараженности метацеркариями трематод в очаге описторхоза (Тайшетский район, Иркутская область, Россия) // Известия Иркутского государственного университета. Серия «Науки о Земле». — 2010. — Т.3 — № 1. — С. 132—142
- ↑ О санитарно-эпидемиологической обстановке в Российской Федерации в 2010 году: Государственный доклад. Архивная копия от 9 октября 2014 на Wayback Machine М.: Фед.центр гигиены и эпидемиологии Роспотребнадзора, 2011. — 431 с.
- ↑ Ильинских et al, 2007.
- ↑ Жители Подмосковья пострадали от зараженной описторхозом рыбы Архивная копия от 5 июля 2017 на Wayback Machine / Московский комсомолец. 24 февраля 2016.
- 1 2 Васильков Г. В. Паразитарные болезни рыб и санитарная оценка рыбной продукции. — М.: Изд-во ВНИРО, 1999. — 191 с.
- 1 2 3 Ихтиопаталогия / Н. А. Головина, Ю. А. Стрелков, П. П. Головин и др. — М.: Мир, 2007. — 448 с.
- 1 2 3 4 5 6 7 Возианова Ж. И. Инфекционные и паразитарные болезни. Т.1. Киев: Здоровье, 2001. 904 с.
- ↑ Чемич Н. Д., Ильина, Н. И., Захлебаева В. В. и др. Описторхоз в Украине: эпидемиологические и клинические особенности // Журнал инфектологии — 2011. — Т. 2, вып. 2. — С. 56-62
- ↑ Мартынова Н. А., Одинцова И. Н. Рак печени в регионе Сибири и Дальнего Востока // Сибирский онкологический журнал — 2003. — Вып. 2. — С. 77-78.
- ↑ IARC Monographs — Classifications — Group1. Дата обращения: 8 сентября 2012. Архивировано из оригинала 25 октября 2011 года.
- ↑ Описторхоз у взрослых: симптомы и лечение. Дата обращения: 9 сентября 2017. Архивировано из оригинала 10 сентября 2017 года.
- 1 2 Бронштейн А. М., Лучшев В. И. Трематодозы печени: описторхоз, клонорхоз // Русский медицинский журнал. — 1998. — Т. 6, вып. 3. Архивировано 10 ноября 2012 года.
- 1 2 Edited by Eli Schwartz. Chapter 31. Intestinal Helminths // Tropical diseases in travelers. — Blackwell Publishing, 2009. — P. 313. — ISBN 978-1-4051-8441-0.
- 1 2 3 Lippincott's Guide to Infectious Disease. — Lippincott William&Wilkins, 2011. — P. 222—223. — ISBN 978-1-60547-975-0.
- ↑ K. Darwin Murrell, Bernard Fried. Chapter 1. Liver Flukes // Food-Borne Parasitic Zoonoses. — Springer Science + Business Media, LLC, 2007. — P. 34—37. — ISBN 978-0-387-71357-1.
- ↑ Клинические рекомендации Описторхоз у взрослых / Утверждены решением Пленума правления Национального научного общества инфекционистов 30 октября 2014 года (Шестакова И.В., Малышев Н.А., Лебедев В.В. и др.).- 2014.- 53 с.
- 1 2 3 4 Завойкин В. Д., Зеля О. П. Описторхоз: клиника, диагностика, лечение Архивная копия от 16 октября 2012 на Wayback Machine / ДОКТОР.РУ. — 2007. — № 3. — С. 49-52
- 1 2 3 4 Пустовалова В. Я., Степанова Т. Ф., Шонин А. Л. Описторхоз Архивная копия от 27 сентября 2013 на Wayback Machine Тюмень: Изд-во ТГМА, 1999. 10 с.
- ↑ СанПиН 3.2.1333—03 «Профилактика паразитарных болезней на территории Российской Федерации» Архивная копия от 25 декабря 2012 на Wayback Machine (утв. 25.05.2003)
- 1 2 Коняев С. В. Описторхоз Архивная копия от 25 мая 2012 на Wayback Machine
- ↑ В.С.Ершов и др. Паразитология и инвазионные болезни сельскохозяйственных животных. — М., 1959. — 492 с.
- ↑ С. К. Шибитов, Р. Т. Сафиуллин. Рекомендации по борьбе с описторхозом плотоядных животных в условиях Западной Сибири // Российский паразитологический журнал. — 2010. — Вып. 3. — С. 115–118. — ISSN 2541-7843 1998-8435, 2541-7843.
Литература
- Беэр С. А. Биологические аспекты проблемы описторхоза Архивная копия от 26 апреля 2018 на Wayback Machine // Паразитология. 1977. Т. 11. № 4. С. 289—299.
- Беэр С. А. Описторхоз // Гельминтозы человека: Эпидемиология и борьба / Ф. Ф. Сопрунов, Е. С. Шульман, Е. С. Лейкина и др.; Под ред. Ф. Ф. Сопрунова (СССР—СРВ). — М.: Медицина, 1985. — С. 102—119. — 368 с. — 9000 экз.
- Беэр С. А., Белякова Ю. В., Сидоров Е. Г. Методы изучения промежуточных хозяев возбудителя описторхоза / АН КазССР, Ин-т зоологии. — Алма-Ата: Наука КазССР, 1987. — 88 с.
- Беэр С. А. Биология возбудителя описторхоза. — М.: Т-во научных изданий КМК, 2005. — 336 с. — 500 экз. — ISBN 5-87317-204-8.
- Бочарова Т. А. Возбудитель описторхоза и другие мышечные паразиты карповых рыб бассейна Нижней Томи. — Томск: Изд-во Томского государственного университета, 2007. — 66 с.
- Пустовалова В. Я., Степанова Т. Ф., Шонин А. Л. Описторхоз. — Тюмень: Изд-во ТГМА, 1999. — 10 с. — ISBN 5-93574-040-0.
- Сидоров Е. Г. Природная очаговость описторхоза / Отв. ред. Е. В. Гвоздев; АН КазССР, Ин-т зоологии. — Алма-Ата: Наука КазССР, 1983. — 240 с. — 1700 экз. Рецензия Архивная копия от 19 августа 2019 на Wayback Machine
- Зерчанинов Л. К., Шпилько В. Н. Описторхоз и дифиллоботриоз. — Тюмень: Кн. изд-во, 1963. — 24 с.
- Ильинских Е.Н., Новицкий В.В., Ильинских Н.Н., Лепехин А.В. [ Инвазии opisthorchis felineus (Rivolta, 1884) и metorchis bilis (Braun, 1890) у человека в различных регионах Обь-Иртышского речного бассейна] // Паразитология : журнал. — СПб.: Наука, 2007. — Т. 41, вып. 1. — С. 55-64.
