Гиперпаратиреоз
| Гиперпаратиреоз | |
|---|---|
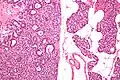
![]() Микропрепарат: аденома паращитовидной железы слева, справа — неизменённая ткань паращитовидной железы. | |
| МКБ-11 | 5A51 |
| МКБ-10 | E21 |
| МКБ-10-КМ | E21.3 |
| МКБ-9 | 252.0 |
| МКБ-9-КМ | 252.00[1][2] и 252.0[1][2] |
| OMIM | 145000, 145001 и 610071 |
| DiseasesDB | 20710 |
| MedlinePlus | 001215 |
| eMedicine | emerg/265 med/3200 |
| MeSH | D006961 |
Ги́перпаратирео́з (Бернета синдром, фиброзная генерализованная остеодистрофия, фиброзно-кистозный остит) — заболевание эндокринной системы, обусловленное избыточной продукцией паратгормона вследствие гиперплазии паращитовидных (околощитовидных) желез или их опухолевого поражения[3][4] и характеризующееся выраженным нарушением обмена кальция и фосфора.
История
Термин «паращитовидная железа» впервые ввёл шведский профессор Ивар Сандстром из города Висбю. В 1891 г. Фон Реклингхаузен, изучая на аутопсийном материале различные поражения костной системы,своеобразное сочетание признаков и назвал его «osteitis fibrosa cystica generalisata». Патогенетическая связь специфического костного поражения, обнаруженного Реклингхаузеном, с опухолью паращитовидных желез была окончательно установлена к 1925 г., тогда же была выполнена первая операция по удалению паращитовидных желез. Её автор Юлиус фон Хоченег Феликс Мандл стал родоначальником хирургии паращитовидных желез. Успех операции вызвал во всём мире большой интерес к проблеме первичного гиперпаратиреоза. Было описано множество клинических форм этого заболевания, проведены фундаментальные исследования, но первичный гиперпаратиреоз ещё долгое время считали сравнительно редкой болезнью, для которой характерны высокие показатели инвалидизации и смертности, а диагностика возможна лишь при появлении тяжёлых осложнений.
В 70-х годах стало доступно рутинное скрининговое исследование сывороточной концентрации ионизированного кальция. Это способствовало бурному развитию диагностики первичного гиперпаратиреоза и позволило некоторым авторам ввести термин «эпидемия гиперпаратиреоза» — большую часть пациентов с первичным гиперпаратиреозом ранее не выявляли, и лечение получали только пациенты с яркими симптомами заболевания. Разработка и внедрение в диагностический алгоритм радиоиммунологического метода определения паратгормона крови позволили дифференцировать между собой заболевания, протекающие с синдромом гиперкальциемии. Активное повсеместное внедрение лабораторной диагностики позволяет выявить пациентов, страдающих первичным гиперпаратиреозом, на стадии минимальных признаков, малодоступных клиническому распознаванию.
Эпидемиология
В настоящее время первичный гиперпаратиреоз — одна из самых распространённых эндокринопатий, занимающая третье место после сахарного диабета и заболеваний щитовидной железы. Первичным гиперпаратиреозом страдает примерно 1% взрослого населения. Риск его возникновения превышает 2% в возрасте старше 55 лет, женщины страдают этим заболеванием в 2—3 раза чаще мужчин (мужчины 1:2 000, женщины постменопаузального возраста 1:500). Заболеваемость первичным гиперпаратиреозом составляет 20—200 новых наблюдений на 100 000 населения. В США ежегодно регистрируют около 100 000 случаев, это составляет 15,4 на 100 000, а среди пожилых людей — 150 случаев на 100 000 человек. В Европе этот показатель выше, в среднем 300 случаев на 100 000 человек. Согласно докладу отдела народонаселения Организации Объединённых Наций от 2001 г., старение населения практически необратимо. Доля пожилых людей в 1950 г. составляла 8%, в 2000 г. — 10% и, по прогнозам, к 2050 г. достигнет 21%. Таким образом, по мере старения населения частота первичного гиперпаратиреоза будет неуклонно возрастать.
Классификация
Различают гиперпаратиреоз[5]:
- первичный (болезнь Реклингхаузена),
- вторичный (вторичная гиперфункция и гиперплазия паращитовидных желез при длительной гипокальциемии и гиперфосфатемии),
- третичный (автономно функционирующая аденома (аденомы) паращитовидной железы, развивающаяся на фоне длительно существующего вторичного гиперпаратиреоза).
Кроме того, выделяют формы гиперпаратиреоза[4]:
- костную,
- висцеральную и
- смешанную.
Этиология
В зависимости от причины развития гиперпаратиреоз подразделяют на[3]:
Первичный гиперпаратиреоз — патология собственно паращитовидных желез. Вызывается:
- солита́рной аденомой (80—85%),
- множественной аденомой (2—3%),
- гиперплазией желез (2—12%),
- карциномой паращитовидной железы (менее 5%).
Вторичный гиперпаратиреоз — патология, обусловленная компенсаторным повышением продукции паратгормона в ответ на длительную гипокальциемию.
Причины:
- недостаточность кальция в пище,
- синдром мальабсорбции,
- хроническая почечная недостаточность,
- патология костной системы (остеомаляция, деформирующая остеодистрофия),
- гиповитаминоз D.
Третичный гиперпаратиреоз — состояние, возникающее с развитием автономно функционирующей аденомы паращитовидной железы на фоне длительно существующего вторичного гиперпаратиреоза.
Псевдогиперпаратиреоз — состояние, возникающее при гиперпродукции паратгормона эктопическими опухолями.
Патогенез
Механизм формирования гиперпаратиреоза заключается в избыточной продукции паратгормона, нарушении кальций-фософорного гомеостаза. Избыток паратгормона повышает резорбцию костей и мобилизацию из них кальция и фосфора, снижает реабсорбцию фосфата в почках, что ведёт к гиперкальциемии (увеличение концентрации кальция в крови выше 2,57 ммоль/л), гипофосфатемии, гиперкальциурии и фосфатурии. Избыточная секреция паратгормона вызывает высвобождение кальция из депо в кровь, что приводит к гиперкальциемии. Эти изменения способствуют нарушению функции почек, образованию камней и кальцификатов в почечной паренхиме. Гиперпаратиреоз провоцирует повышенное образование 1, 25(OH)2D3, что усиливает всасывание кальция в просвете кишечника, усугубляя гиперкальциемию, располагает к развитию язвенной болезни желудка и 12-перстной кишки, панкреатита[3].
Остеопороз
Паратгормон высвобождает кальций из основного депо — костей, что приводит к дистрофии костной ткани с уменьшением её плотности. Декальцификация костей нередко сопровождается болями и переломами. Это явление называют паратиреоидной остеодистрофией.
Нефро- и уролитиаз
Кальций выводится из организма почками. При его избытке образуются камни в мочевыводящих путях. Сопровождается клинической картиной мочекаменной болезни.
Желудочно-кишечные расстройства
Увеличение кальция во внеклеточной жидкости приводит к трансмембранному дисбалансу ионов, развитию дистрофических процессов в тканях, повышения активности симпато-адреналовых влияний на желудочно-кишечный тракт. Что приводит к тошноте, рвоте, ослаблению перистальтики желудка и кишечника, запорам, болям в животе, часто выявляются пептические язвы, анорексия.
Повышение концентрации кальция также приводят к образованию камней в жёлчном пузыре и протоках поджелудочной железы.
Психоневрологические расстройства
Снижение содержания внутриклеточного кальция приводит к нарушению формирования мембранного потенциала покоя, нарушению клеточного метаболизма и пластических процессов. Это проявляется снижением интеллектуальной деятельности, быстрой утомляемостью, летаргией, ступором, комой.
Кардио- и миопатии
Снижение уровня внутриклеточного кальция приводит к нарушению образования потенциала покоя, что сопровождается гипотонией мышц. Возможно развитие аритмии и сердечной недостаточности.
Васкулярные расстройства
Увеличение внеклеточной концентрации кальция приводит к повышению жёсткости мембран эритроцитов, уменьшает их способность к деформации при прохождении через капилляры, что ведёт к их повреждению. Кроме того, в кровотоке увеличивается агрегационная способность тромбоцитов, возрастает тонус сосудов.
Клиническая картина
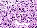
Микропрепарат аденомы паращитовидной железы.
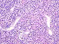
Микропрепарат аденомы паращитовидной железы.
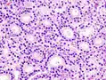
Микропрепарат аденомы паращитовидной железы.
Микропрепарат аденомы паращитовидной железы.
Микропрепарат аденомы паращитовидной железы.
Зачастую гиперпаратиреоз длительно протекает без выраженной клинической симптоматики. Существует пять основных признаков первичного гиперпаратиреоза, разные сочетания которых формируют его многоликую клиническую картину.
- Остеопатия (остеопороз).
- Нефропатия (нефрокальциноз и нефрокалькулёз).
- Висцеропатия (желчекаменная болезнь, калькулёзный панкреатит, язвенная болезнь желудка).
- Нарушения психики.
- Миопатия.
Поскольку специфических признаков заболевания не существует, диагностический поиск базируется на комплексной оценке жалоб, анамнеза и данных объективного обследования.
- Общие симптомы
- Признаки поражения почек
- Полиурия
- Нефролитиаз и/или нефрокальциноз
- Снижение выделительной функции почек
- признаки поражения ЖКТ
- признаки поражения ЦНС
- Депрессия
- Снижение когнитивных функций
- Изменения психоэмоционального статуса
- Психоз
- Признаки поражения сердечно-сосудистой системы
- Артериальная гипертензия
- Укорочение интервала QT
- Повышенная чувствительность к препаратам наперстянки
Наиболее ярким примером клинической картины первичного гиперпаратиреоза служит гиперкальциемический криз, при котором вышеперечисленные признаки гиперкальциемии принимают жизнеугрожающий характер. Это осложнение обычно развивается при подъёме сывороточной концентрации кальция выше 14 мг/дл.
Гиперкальциемический криз
Проявляется тошнотой, неукротимой рвотой, паралитической кишечной непроходимостью, болями в животе, анурией, обезвоживанием организма. Кожа становится сухой, её тургор снижается, отмечается резкая мышечная слабость, пациенты не в состоянии обслуживать себя. Постоянная боль в костях становится изнуряющей, в первые часы криза появляется артериальная гипертензия. Сухожильные рефлексы снижаются. Иногда возникают внутрисосудистые тромбозы, синдром диссеминированного внутрисосудистого свёртывания.
Нейропсихические расстройства при гиперкальциемическом кризе проявляются спутанностью сознания, депрессией, психозами или психомоторным возбуждением. При достижении сывороточной концентрации кальция 15—18 мг/дл возможно угнетение деятельности ЦНС с торможением функции дыхательного и сосудодвигательного центров и развитием необратимого шока. Больные в состоянии гиперкальциемического криза нуждаются в экстренной госпитализации и интенсивной терапии.
Диагностика
- Лабораторная диагностика:
- Рутинные методы:
- Повышение сывороточной концентрации кальция и его ионизированной формы.
- Гиперкальциемия в сочетании со снижением уровня неорганических фосфатов.
- Резко положительная проба Сулковича (экскреция кальция с мочой превышает 200 мг/сут), однако при нарушении функции почек этого может не наблюдаться[4].
- Дифференциальная диагностика гиперкальциемии:
- Положительная проба с тиазидными диуретиками.
- Отрицательная проба с гидрокортизоном.
- Инструментальная диагностика:
- Ультразвуковое исследование — начальный метод лучевой диагностики образований паращитовидных желез — УЗИ может применяться интраоперационно для поиска желёз. Обладает высокой чувствительностью, но, к сожалению, не высокой специфичностью. Поэтому выявленные на УЗИ образования требуют дальнейшей верификации другими методами диагностики.
- Компьютерная томография с внутривенным контрастированием — очень чувствительный метод исследования, его преимущество заключается в том, что можно выявлять загрудинные паращитовидные железы.
- Радионуклидная диагностика — оценка функциональной активности образований паращитовидных желёз.
Лечение
На сегодняшний день консервативные методы лечения (форсированный диурез, инфузия растворов хлорида или сульфата натрия, введение бифосфонатов и глюкокортикостероидов) не показали эффективности в качестве самостоятельного метода лечения гиперпаратиреоза.
«Золотым стандартом» в лечении гиперпаратиреоза является хирургический метод. В руках опытных хирургов его эффективность достигает 95—98%.
Оперативное вмешательство осуществляется под наркозом (общей анестезией). Для осуществления доступа к паращитовидным железам выполняется разрез передней поверхности шеи длиной 5—7 см. Поиск паращитовидных желез чаще всего затруднён, в связи с чем для топической диагностики паращитовидных желез и контроля эффективности проведенного оперативного вмешательства интраоперационно выполняют: исследование уровня кальция и паратгормона в крови, УЗИ и гамма-детекцию паращитовидных желез. Серьёзным и редким осложнением паратиреодэктомии является — повреждение возвратного гортанного нерва (одно- или двустороннее). Клиническими проявлениями повреждения возвратного гортанного нерва являются: осиплость или отсутствие голоса, стридорозное дыхание. Немаловажно, чтобы оперативное вмешательство осуществлялось в специализированной клинике опытным эндокринным хирургом.
См. также
- Аденома паращитовидной железы
- Псевдогиперпаратиреоз
- Гипопаратиреоз
- Псевдогипопаратиреоз
- Псевдопсевдогипопаратиреоз
Примечания
- 1 2 Disease Ontology (англ.) — 2016.
- 1 2 Monarch Disease Ontology release 2018-06-29 — 2018-06-29 — 2018.
- 1 2 3 Ефимов А. С. Малая энциклопедия врача-эндокринолога. — 1-е изд. — Киев: Медкнига, ДСГ Лтд, Киев, 2007. — С. 78-81. — 360 с. — («Библиотечка практикующего врача»). — 5000 экз. — ISBN 966-7013-23-5.
- 1 2 3 Справочник педиатра-эндокринолога / Под ред. М. А. Жуковского. — 1-е изд. — М.: Медицина, 1992. — С. 42—45. — 304 с. — 20 000 экз. — ISBN 5-225-02616-8.
- ↑ Клиническая эндокринология. Руководство / Под ред. Н. Т. Старковой. — 3-е изд., перераб. и доп. — СПб.: Питер, 2002. — С. 187—200. — 576 с. — («Спутник Врача»). — 4000 экз. — ISBN 5-272-00314-4.
