Абсцесс лёгкого
| Абсцесс лёгкого | |
|---|---|
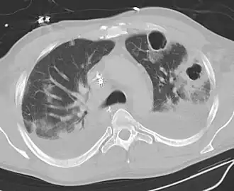
![]() Картина абсцесса лёгкого при компьютерной томографии. Видна полость в ткани лёгкого. | |
| МКБ-11 | CA43.2 |
| МКБ-10 | J85 |
| МКБ-10-КМ | J85.2 |
| МКБ-9 | 513.0 |
| МКБ-9-КМ | 513.0[1][2] |
| DiseasesDB | 7607 |
| eMedicine | med/1332 |
| MeSH | D008169 |
Абсцесс лёгкого (абсцедирующая пневмония) —это гнойно-деструктивный ограниченный процесс в лёгких. Характеризуется образованием одной или нескольких полостей с гнойным содержимым в лёгочной паренхиме, окружённых грануляционной тканью, зоной перифокальной воспалительной инфильтрации; протекает с выраженной интоксикацией и лихорадкой. Возбудитель — различные микроорганизмы (чаще всего золотистый стафилококк). Характерно снижение общих и местных защитных функций организма из-за попадания в лёгкие и бронхи инородных тел, слизи, рвотных масс — при алкогольном опьянении, после судорожного припадка или в бессознательном состоянии. Способствуют хронические заболевания и инфекции (сахарный диабет, болезни крови), нарушение дренажной функции бронхов, длительный приём глюкокортикоидов, цитостатиков и иммунодепрессантов.
Этиология
Причиной чаще всего является:
- пневмония, вызванная стафилококком, клебсиэллой, анаэробами, а также контактная инфекция при эмпиеме плевры, поддиафрагмальном абсцессе;
- аспирация инородных тел, инфицированного содержимого придаточных пазух носа и миндалин.
К непрямым причинам относятся
- септические эмболы, попадающие гематогенным путём из очагов остеомиелита, гонита, простатита, реже отмечается лимфогенный путь — занос при фурункулах верхней губы, флегмонах дна полости рта.
- Множественные абсцессы, чаще двусторонние, возникают в результате септикопиемии.
Абсцесс лёгкого может быть
- осложнением инфаркта лёгкого
- распадом раковой опухоли в лёгком
Острый абсцесс с перифокальной воспалительной инфильтрацией лёгочной ткани может перейти в хроническую форму с образованием плотной пиогенной оболочки.
Чаще встречается у мужчин среднего возраста, 2/3 больных злоупотребляют алкоголем. Болезнь начинается остро: озноб, повышение температуры, боли в груди. После прорыва гноя в бронх выделяется большое количество гнойной мокроты, иногда с примесью крови и неприятным запахом. Над зоной поражения лёгких вначале выслушивается ослабленное дыхание, после прорыва абсцесса - бронхиальное дыхание и влажные хрипы. В течение 1-3 месяцев может наступить благополучный исход: тонкостенная киста в лёгком или очаговый пневмосклероз; неблагоприятный исход — абсцесс становится хроническим.
Диагностика
При рентгенографии лёгких выявляется в начальной стадии массивное затемнение, после прорыва абсцесса — полость с уровнем жидкости в ней. Бронхоскопия чаще всего показывает воспалительные изменения стенки бронха, связанного с абсцессом. В анализе крови — лейкоцитоз, сдвиг лейкоцитарной формулы влево, увеличение СОЭ.
Варианты течения
Абсцесс лёгкого, гангрена лёгкого
Абсцесс лёгкого представляет собой гнойное расплавление участка лёгкого с последующим образованием одной или нескольких полостей, часто отграниченных от окружающей лёгочной ткани фиброзной стенкой. Гангрена лёгкого характеризуется омертвением и гнилостным распадом лёгочной ткани. Она вызывается анаэробной (гнилостной) инфекцией. Нагноение лёгкого чаще всего возникают как осложнение острой пневмонии, бронхоэктазов, а также при попадании в бронхи инородного тела, при ранении лёгкого или при опухоли. Реже инфекция попадает в лёгкое из отдалённых очагов воспаления гематогенно или по лимфатическим сосудам.
Острый абсцесс лёгкого
До вскрытия в дренирующий бронх абсцесс лёгких проявляется лихорадкой с потом, ознобом, недомоганием, сухим кашлем, иногда болями в груди неопределённого характера. После прорыва полости в бронх появляется кашель, сопровождающийся выделением гнойной мокроты с неприятным запахом, иногда с примесью крови. До опорожнения абсцесса может определяться притупление перкуторного звука и ослабление дыхания в зоне поражения. После образования полости над ней выслушиваются звонкие крупнопузырчатые хрипы, бронхиальное дыхание с амфорическим оттенком. При перкуссии можно обнаружить звук с тимпаническим оттенком. До образования полости диагностика абсцесса лёгкого трудна. Лёгочное нагноение следует подозревать при затянувшейся пневмонии с длительным повышением температуры тела и стойким лейкоцитозом. При прорыве абсцесса в бронх рентгенологически в бывшем участке затемнения обнаруживается полость.
Хронический абсцесс лёгкого
Возникает как исход неблагоприятного течения острого абсцесса или бронхоэктазов. Он имеет более плотную капсулу с развитием фиброза лёгочной ткани вокруг него. У больного наряду с рентгенологическими признаками полости в лёгких обнаруживают повышение температуры, кашель с гнойной мокротой, пальцы в виде барабанных палочек, ногти в виде часовых стёкол. Болезнь течёт волнообразно, с периодическими обострениями острой лихорадкой, увеличением количества типичной трёхслойной мокроты. При длительном течении возможны осложнения: амилоидоз, кахексия, септикопиемия с абсцессом мозга и др.
Лечение
Улучшение дренирующей функции бронхов (бронхолитики, отхаркивающие, ингаляции, повторные лечебные бронхоскопии). При расположении абсцесса в нижних долях проводят дренаж положением, приподнимая ножной конец кровати на 20-30 см Антибиотики в больших дозах, стимулирование защитных сил организма (высококалорийное питание, белки, витамины, левамизол, Т-активин, антистафилококковые плазма и гаммаглобулин, гемосорбция, плазмаферез). При неэффективности через 2-3 месяца — хирургическое лечение. Своевременно начатое лечение обычно приводит к выздоровлению.
При неэффективности лечения в течение 6-8 нед. больного необходимо госпитализировать в хирургический стационар для проведения бронхоскопического дренажа или операции. Гангрена лёгких встречается редко, отличается тяжёлым течением, выраженной интоксикацией, откашливанием шоколадного цвета мокроты со зловонным запахом. Назначают антибиотики широкого спектра действия парентерально; при их неэффективности показано оперативное лечение.
Оперативное лечение абсцессов заключается в санации полости абсцесса. Возможно проведение чрескожной пункции. Производится Rg - исследование лёгких с наложением метки на область предполагаемой пункции. Затем таким же способом, как и при торакоцентезе производится пункция, в полость абсцесса заводится дренажная трубка. Далее назначается комплексная антибактериальная терапия. Ещё одним вариантом оперативного лечения является бронхоскопическая санация абсцесса (проводится при достаточно близком расположении абсцесса к главному бронху).
Профилактика
Своевременное энергичное лечение инфекции дыхательных путей, особенно пневмонии, предупреждение аспираций, особенно после травм, операции и т. д.
Прогноз
Прогноз условно благоприятный. Чаще всего пациенты с абсцессом лёгкого выздоравливают. Однако у половины больных при остром абсцессе лёгкого наблюдаются тонкостенные пространства, которые со временем исчезают. Значительно реже абсцесс лёгкого может привести к кровохарканью, эмпиеме, пиопневмотораксу, бронхо-плевральной фистуле.
Симптомы гангрены лёгких у животных
Наиболее типичным признаком в начале заболевания служит выделяющийся из носовых полостей приторный сладковатый запах, который вскоре становится зловонным. Запах этот чувствуется во всём помещении и даже сохраняется на сутки и более после удаления больного. Вслед за запахом появляется двухстороннее истечение из носа буро-серо-красноватого или зеленоватого цвета. Заболевание протекает при высокой температуре тела, сопровождается кашлем, одышкой, ослаблением сердечной деятельности и другими общими признаками.[3]
Примечания
- ↑ Disease Ontology (англ.) — 2016.
- ↑ Monarch Disease Ontology release 2018-06-29 — 2018-06-29 — 2018.
- ↑ Г.В.Домрачев и др. Патология и терапия внутренних незаразных болезней сельскохозяйственных животных. — М., 1960. — 504 с.
Литература
- Петров С. В. Общая хирургия: Учебник для вузов. — 2-е изд. — 2004. — 768 с. — ISBN 5-318-00564-0.
