Перелом Джефферсона
| Перелом Джефферсона | |
|---|---|
| |
| МКБ-10 | S12.0 |
| МКБ-9 | 805.01 |
Перелом Джефферсона — перелом передней и задней дуг первого шейного позвонка. Назван в честь британского нейрохирурга Джефри Джефферсона, который его впервые описал в 1920 году[1].
Этиология
Перелом Джефферсона может возникать при падении с высоты головой вниз, ударах тяжёлыми предметами по голове, падении и ударе затылком. Травмирующая сила приводит к расширению костного кольца атланта. Мыщелки затылочной кости сближаются с суставными отростками эпистрофея. При этом зубовидный отросток второго шейного позвонка приближается к затылочной кости. Его смещение кпереди благоприятно, кзади — может вызвать сдавление спинного и ствола головного мозга[2][3].
Эпидемиология
Практически не наблюдается у детей[4]. В структуре травматических повреждений краниовертебрального сочленения переломы атланта составляют 25 %, 10 % среди переломов шейного отдела позвоночника и 2 % среди всех травм позвоночника[3].
Клиническая симптоматика
Пациенты жалуются на боли в шее. Характерно неподвижное положение головы из-за усиления болей при малейшей попытке совершить движение. В ряде наблюдений больные поддерживают голову руками. При пальпации преимущественная локализация боли отмечена в области заднего бугорка атланта[5]. Спустя год и более после перелома больные предъявляют жалобы на приступы головных болей и головокружения, ограничение движений в руках, хруст и боли под затылком при движениях головой, боли в шее с иррадиацией в руки или голову. Это объясняется тем, что не устранённое смещение боковых масс и поперечных отростков атланта приводит к натяжению проходящих в них позвоночных артерий. Образование рубцовой ткани в области отверстия поперечных отростков в позднем периоде формирует очаг патологического раздражения позвоночных артерий и сопровождающих её нервных структур с соответствующими проявлениями[6]. Могут возникать нарушения кровоснабжения в ветви позвоночной — задней нижней мозжечковой артерии с развитием синдрома Валленберга-Захарченко. Повреждение симпатического сплетения, которое окутывает позвоночную артерию приводит к формированию синдрома Горнера[3].
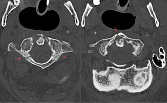
Диагностика
В диагностике переломов Джефферсона используют рентгенографию, компьютерную и магнитно-резонансную томографии. На рентгенограммах определяется смещение боковых масс атланта кнаружи[7]. Компьютерная томография даёт возможность оценить изменения костных структур, в то время как магнитно-резонансная томография — мягкотканных[8].
Лечение
В научной литературе существуют различные мнения относительно предпочтительного метода лечения перелома Джефферсона[9]. Во многом это зависит от стабильности или нестабильности повреждения. При повреждении поперечной связки атланта перелом будет нестабильным[10]. При стабильных повреждениях необходимо наложение шейного воротника, в то время как нестабильные могут потребовать проведения дополнительной тракции и хирургического вмешательства. Хирургическое лечение включает проведение фиксации верхних шейных позвонков и затылочной кости с помощью специальных систем[9].
Примечания
- ↑ Jefferson G. Fracture of the atlas vertebra: report of four cases, and a review of those previously recorded (англ.) // Br J Surg. — Vol. 7, no. 27. — P. 407—422. — doi:10.1002/bjs.1800072713. Архивировано 16 марта 2016 года.
- ↑ Полищук Н. Е., Луцик А. А., Раткин И. К., Никитин М. Н. Часть II. Повреждения позвоночника и спинного мозга. Глава 1. Повреждения краниовертебральной области // Повреждения позвоночника и спинного мозга / Под ред. Н. Е. Полищука, Н. А. Коржа, В. Я. Фищенко. — Киев: КНИГА плюс, 2001.
- 1 2 3 Foster M. R. C1 Fractures (англ.). Medscape. Дата обращения: 22 июня 2015. Архивировано 21 июня 2015 года.
- ↑ Korinth M.C., Kapser A.B, Weinzierl M.R. Jefferson Fracture in a Child – Illustrative Case Report (англ.) // Pediatric Neurosurgery. — 2007. — Vol. 43, no. 6. — P. 526—530. — ISSN 1423–0305. Архивировано 4 мая 2018 года.
- ↑ Луцик, 1998, с. 143—144.
- ↑ Луцик, 1998, с. 158—157.
- ↑ Луцик, 1998, с. 144.
- ↑ Roy A. K., Miller B. A., Holland C. M. et al. Magnetic resonance imaging of traumatic injury to the craniovertebral junction: a case-based review // Neurosurgical Focus. — 2015. — Vol. 38, № 4.
- 1 2 Hein C., Richter H.-P., Rath S. A. Atlantoaxial Screw Fixation for the Treatment of Isolated and Combined Unstable Jefferson Fractures — Experiences with 8 Patients // Acta Neurochir (Wien). — 2002. — Vol. 144, № 11. — P. 1187—1192. — doi:10.1007/s00701-002-0998-2. — PMID 12434175.
- ↑ Lee C., Woodring J. H. Unstable Jefferson Variant Atlas Fractures: An Unrecognized Cervical Injury (англ.) // Am J Neuroradiol. — 1991. — Vol. 12. — P. 1105—1110. — PMID 1763734.
Литература
- Луцик А. А., Раткин И. К., Никитин М. Н. Краниовертебральные повреждения и заболевания. — Новосибирск: Издатель, 1998. — 557 с. — ISBN 588399—003—7.
