Центральная серозная ретинопатия
| Центральная серозная ретинопатия | |
|---|---|
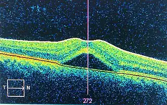
![]() Возникновение центральной серозной ретинопатии в центральной ямке показанное с помощью оптической когерентной томографии. | |
| МКБ-11 | 9B75.2 |
| МКБ-10 | H35.7 |
| МКБ-10-КМ | H35.7 |
| МКБ-9 | 362.41 |
| МКБ-9-КМ | 362.41[1] |
| DiseasesDB | 31277 |
| MedlinePlus | 001612 |
| eMedicine | oph/689 |
| MeSH | D056833 |
Центральная серозная ретинопатия (ЦСР), также известная как центральная серозная хориоретинопатия (англ. CSC, central serous chorioretinopathy) — заболевание глаз, которое вызывает ухудшение зрения, часто временное. Как правило страдает один глаз.[2][3] Активность заболевания характеризуется просачиванием жидкости под сетчатку, которая нередко скапливается под центром макулы. Это приводит к смазыванию и, иногда, искажению изображения (Метаморфопсия). Размытое или серое пятно в центральном поле зрения становится более заметным при отслоении сетчатки. Снижение остроты зрения может сохраняться и после ухода жидкости при длительном существовании отека сетчатки.[2]
Болезнь считается идиопатической, но главным образом влияет на белых мужчин в возрастной группе от 20 до 50 лет и старше, и иногда диагностируется и в более старшем возрасте. Состояние, как полагают, усугубляется стрессом или использованием кортикостероидов.[4]
Диагностика
Диагноз подтверждается при биомикроскопии, а также по результатам оптической когерентной томографии и флюоресцентной ангиографии, которая в типичных случаях показывает один или несколько флюоресцирующих точек просачивания. В типичных случаях они появятся в виде «дымка» или «фары в тумане». Сетка Амслера может быть полезна для выявления момента появления осложнения центральной серозной ретинопатии — развития хориоидальной неоваскуляризации (в 3-5 % случаев заболевания). В этом случае неравномерное растягивание сетчатки патологическим транссудатом приводит к появлению метаморфопсий, которые хорошо выявляются при рассматривании теста Амслера пораженным глазом.
Причины
При ЦСР происходит локальное отслоение сетчатки в результате просачивания жидкости под сетчатку из-за очаговой несостоятельности пигментного эпителия сетчатки.
ЦСР иногда называют идиопатической ЦСР, что означает, что её причина неизвестна. Тем не менее, стресс по-видимому, играет важную роль. Часто цитируемый, но потенциально неточный вывод, что люди стрессовых профессий, таких как пилоты самолетов, имеют более высокий уровень риска ЦСР.
ЦСР также связана с кортизолом и кортикостероидами. Лица с ЦСР имеют более высокие уровни кортизола.[5] Кортизол является гормоном, выделяемым корой надпочечников, который позволяет организму справиться со стрессом, что может объяснить связь ЦСР и стресса. Существует множество доказательств того, что кортикостероиды (например, кортизон) — обычно используемые для лечения воспаления, аллергии, кожных заболеваний, и даже определенных глазных проблем — может вызвать ЦСР, усугубить её и вызвать рецидивы.[6][7][8] Обследование 60 людей с синдромом Кушинга показало наличие ЦСР у 3 больных (5 %).[9] Синдром Кушинга характеризуется очень высокими уровнями кортизола. Некоторые симпатомиметические препараты также связывались с причиной заболевания.[10]
В последнее время появились доказательства того, что Helicobacter pylori (см. гастрит) также играет роль в развитии заболевания.[11][12][13] Предполагается, что присутствие бактерий хорошо коррелирует с остротой зрения и появлением атрофических изменений пигментного эпителия при длительном существовании отека сетчатки.
Последние данные также показывают, что у страдающих болезнью почек MPGN типа II может развиться аномалия сетчатки, включая ЦСР в результате отложений из того же материала, что изначально повредил клубочковую базальную мембрану в почках.[14]
Прогноз
Прогноз для ЦСР, как правило, хороший.[2] В большинстве случаев острота зрения восстанавливается до 1,0 в течение 1-6 месяцев. Однако у некоторых пациентов болезнь приобретает хроническое течение и острота зрения необратимо снижается до 0,1 и ниже (5-15 % случаев). Хроническая форма ЦСР характеризуется медленным прогрессированием атрофии пигментного эпителия вследствие длительного существования отслойки нейроэпителия, которая обычно имеет щелевидный характер. В таких ситуациях прогноз для центрального зрения неблагоприятный, рекомендуются обследование и лечение у ретинолога (офтальмолога, специализирующегося в патологии сетчатки).
Осложнения ЦСР включают субретинальную неоваскуляризацию, отслоение и атрофию пигментного эпителия сетчатки.[15]
Лечение
При отсутствии быстро прогрессирующего снижения зрения, особенно сопровождающегося появлением метаморфопсий, необходимости в срочном обследовании нет, слепота не грозит. Однако следует помнить, что при затяжном течении заболевания возможна необратимая утрата способности к чтению.
Поскольку при естественном течении ЦСР обычно наступает самопроизвольное рассасывание отека сетчатки[2], при первых признаках заболевания торопиться с лечением не принято. При существовании отслойки нейроэпителия более 4 мес.[16], появлении вторичных изменений пигментного эпителия сетчатки или их наличии на момент первичного обследования офтальмологом показано проведение лечения.
Любое лечение кортикостероидами должно быть регрессирующим и прекращено по мере возможности. Важно проверить все лекарства, в том числе глазные капли, назальные спреи и кремы, на наличие ингредиентов кортикостероидов; при обнаружении посоветуйтесь с врачом для поиска альтернативы.
Пациенты иногда представляют явные истории психосоциального стресса, в этом случае консультации и обнадёживание вполне уместны.
Применение лазерной коагуляции, которая эффективно блокирует место просачивания жидкости под сетчатку, может быть показано в случаях, когда отслойка нейроэпителия сохраняется более 4 мес. или имеют место вторичные изменения пигментного эпителия сетчатки. Однако лазерная коагуляция может применяться только на безопасном удалении точки просачивания от центральной ямки, ответственной за способность глаза человека различать мельчайшие предметы[2][17].
_%D1%81%D0%B5%D1%82%D1%87%D0%B0%D1%82%D0%BA%D0%B8.jpg)
При локализации точки просачивания близко от центральной ямки или хронической ЦСР Фотодинамическая терапия (ФДТ) с вертепорфином или фотолоном — эффективный и безопасный метод лечения.[18][19] Индоцианиновая зеленая ангиография может быть использована для прогнозирования, как пациент будет реагировать на ФДТ.[16][20]
Эффективность микрофотокоагуляции (MicroPulse) диодным (0,81 мкм) или желтым (0,577 мкм) лазерами доказана многими международными и отечественными исследованиями[21], в том числе несколькими проспективными исследованиями с контрольной группой[22][23][24]. Сравнительное исследование с ФДТ показало сопоставимые клинические результаты микрофотокоагуляции и ФДТ, наилучшие результаты были в группе ФДТ[23] однако, в то же время сравнение ФДТ с навигационной (Navilas) микрофотокоагуляцией показало явное преимущество навигационной микрофотокоагуляции по таким параметрам как: толщина сетчатки, острота зрения и анатомические результаты[25].
Введение в полость анти-VEGF при ЦСР не улучшает функциональные исходы лечения. Однако анти-VEGF терапия показана при появлении осложнения ЦСР — хориоидальной неоваскуляризации.
Эффективной консервативной терапии ЦСР не существует, проводятся исследования нескольких оральных препаратов[26]]
Примечания
- ↑ Monarch Disease Ontology release 2018-06-29 — 2018-06-29 — 2018.
- 1 2 3 4 5 Wang, Maria; Munch, Inger Christine; Hasler, Pascal W.; Prünte, Christian; Larsen, Michael. Central serous chorioretinopathy (англ.) // Acta Ophthalmologica. — Wiley-Liss, 2008. — Vol. 86, no. 2. — P. 126—145. — doi:10.1111/j.1600-0420.2007.00889.x. — PMID 17662099.
- ↑ Quillen, DA; Gass, DM; Brod, RD; Gardner, TW; Blankenship, GW; Gottlieb, J.L. Central serous chorioretinopathy in women (англ.) // Ophthalmology. — 1996. — Vol. 103, no. 1. — P. 72—9. — doi:10.1016/s0161-6420(96)30730-6. — PMID 8628563.
- ↑ André Maia. A New Treatment for Chronic Central Serous Retinopathy (англ.) : journal. — Retina Today, 2010. — February. Архивировано 9 августа 2012 года.
- ↑ Garg, S P; Dada, T.; Talwar, D.; Biswas, N R. Endogenous cortisol profile in patients with central serous chorioretinopathy (англ.) // British Journal of Ophthalmology : journal. — 1997. — Vol. 81, no. 11. — P. 962—964. — doi:10.1136/bjo.81.11.962. — PMID 9505819. — PMC 1722041.
- ↑ Pizzimenti, Joseph J.; Daniel, Karen P. Central Serous Chorioretinopathy After Epidural Steroid Injection (англ.) // Pharmacotherapy : journal. — 2005. — Vol. 25, no. 8. — P. 1141—1146. — doi:10.1592/phco.2005.25.8.1141. — PMID 16207106.
- ↑ Bevis, Timothy; Ratnakaram, Ramakrishna; Smith, M Fran; Bhatti, M Tariq. Visual loss due to central serous chorioretinopathy during corticosteroid treatment for giant cell arteritis (неопр.) // Clinical and Experimental Ophthalmology. — 2005. — Т. 33, № 4. — С. 437—439. — doi:10.1111/j.1442-9071.2005.01017.x. — PMID 16033370.
- ↑ Fernández Hortelano, A; Sádaba, LM; Heras Mulero, H; García Layana, A. Coroidopatía serosa central como complicación de epitelitis en tratamiento con corticoides (исп.) // Archivos de la Sociedad Española de Oftalmología. — 2005. — Т. 80, № 4. — С. 255—258. — doi:10.4321/S0365-66912005000400010. — PMID 15852168.
- ↑ Bouzas, Evrydiki A.; Scott, MH; Mastorakos, G; Chrousos, GP; Kaiser-Kupfer, M.I. Central Serous Chorioretinopathy in Endogenous Hypercortisolism (англ.) // Archives of Ophthalmology : journal. — 1993. — Vol. 111, no. 9. — P. 1229—1233. — doi:10.1001/archopht.1993.01090090081024. — PMID 8363466.
- ↑ Michael, John C; Pak, John; Pulido, Jose; De Venecia, Guillermo. Central serous chorioretinopathy associated with administration of sympathomimetic agents (англ.) // American Journal of Ophthalmology : journal. — 2003. — Vol. 136, no. 1. — P. 182—185. — doi:10.1016/S0002-9394(03)00076-X. — PMID 12834690.
- ↑ Giusti, Cristiano. Association of Helicobacter pylori with central serous chorioretinopathy: Hypotheses regarding pathogenesis (англ.) // Medical Hypotheses : journal. — 2004. — Vol. 63, no. 3. — P. 524—527. — doi:10.1016/j.mehy.2004.02.020. — PMID 15288381.
- ↑ Ahnoux-Zabsonre, A.; Quaranta, M.; Mauget-Faÿsse, M. Prévalence de l'Helicobacter pylori dans la choriorétinopathie séreuse centrale et l'épithéliopathie rétinienne diffuse (фр.) // Journal Français d'Ophtalmologie. — 2004. — Т. 27, № 10. — С. 1129—1133. — doi:10.1016/S0181-5512(04)96281-X. — PMID 15687922.
- ↑ Cotticelli, L; Borrelli, M; d'Alessio, AC; Menzione, M; Villani, A; Piccolo, G; Montella, F; Iovene, MR; Romano, M. Central serous chorioretinopathy and Helicobacter pylori (англ.) // European journal of ophthalmology : journal. — 2006. — Vol. 16, no. 2. — P. 274—278. — PMID 16703546.
- ↑ Colville, Deb; Guymer, Robyn; Sinclair, Roger A; Savige, Judy. Visual impairment caused by retinal abnormalities in mesangiocapillary (membranoproliferative) glomerulonephritis type II ('dense deposit disease') (англ.) // American Journal of Kidney Diseases : journal. — 2003. — Vol. 42, no. 2. — P. E2—5. — doi:10.1016/S0272-6386(03)00665-6. — PMID 12900843.
- ↑ Kanyange, ML; De Laey, J.J. Long-term follow-up of central serous chorioretinopathy (CSCR) (англ.) // Bulletin de la Societe belge d'ophtalmologie : journal. — 2002. — No. 284. — P. 39—44. — PMID 12161989.
- 1 2 Boscia, Francesco. When to Treat and Not to Treat Patients With Central Serous Retinopathy (англ.) // Retina Today : journal. — 2010. — April. Архивировано 17 октября 2012 года.
- ↑ Roider, Johann; Brinkmann, R; Wirbelauer, C; Laqua, H; Birngruber, R. Retinal Sparing by Selective Retinal Pigment Epithelial Photocoagulation (англ.) // Archives of Ophthalmology : journal. — 1999. — Vol. 117, no. 8. — P. 1028—1034. — doi:10.1001/archopht.117.8.1028. — PMID 10448745.
- ↑ Ober, Michael D.; Yannuzzi, Lawrence A.; Do, Diana V.; Spaide, Richard F.; Bressler, Neil M.; Jampol, Lee M.; Angelilli, Allison; Eandi, Chiara M.; Lyon, Alice T. Photodynamic Therapy for Focal Retinal Pigment Epithelial Leaks Secondary to Central Serous Chorioretinopathy (англ.) // Ophthalmology : journal. — 2005. — Vol. 112, no. 12. — P. 2088—2094. — doi:10.1016/j.ophtha.2005.06.026. — PMID 16325707.
- ↑ Karakus S.H., Basarir B., Pinarci E.Y., Kirandi E.U., Demirok A. Long-term results of half-dose photodynamic therapy for chronic central serous chorioretinopathy with contrast sensitivity changes. (англ.) : journal. — Eye, 2013. — May. — doi:10.1038/eye.2013.24. Архивировано 21 сентября 2016 года.
- ↑ Inoue, Ryo; Sawa, Miki; Tsujikawa, Motokazu; Gomi, Fumi. Association Between the Efficacy of Photodynamic Therapy and Indocyanine Green Angiography Findings for Central Serous Chorioretinopathy (англ.) // American Journal of Ophthalmology : journal. — 2010. — Vol. 149, no. 3. — P. 441—446. — doi:10.1016/j.ajo.2009.10.011. — PMID 20172070.
- ↑ Российская Офтальмология Онлайн. eyepress.ru. Дата обращения: 28 августа 2020. Архивировано 13 июня 2021 года.
- ↑ Luiz Roisman, Fernanda Pedreira Magalhães, Daniel Lavinsky, Nilva Moraes, Flávio E. Hirai. Micropulse diode laser treatment for chronic central serous chorioretinopathy: a randomized pilot trial // Ophthalmic Surgery, Lasers & Imaging Retina. — 2013-09. — Т. 44, вып. 5. — С. 465–470. — ISSN 2325-8179. — doi:10.3928/23258160-20130909-08. Архивировано 16 июня 2022 года.
- 1 2 Florian T. A. Kretz, Isabell Beger, Frank Koch, Katarrzyna Nowomiejska, Gerd U. Auffarth. Randomized Clinical Trial to Compare Micropulse Photocoagulation Versus Half-dose Verteporfin Photodynamic Therapy in the Treatment of Central Serous Chorioretinopathy // Ophthalmic Surgery, Lasers & Imaging Retina. — 2015-09. — Т. 46, вып. 8. — С. 837–843. — ISSN 2325-8179. — doi:10.3928/23258160-20150909-08.
- ↑ M. J. Koss, I. Beger, F. H. Koch. Subthreshold diode laser micropulse photocoagulation versus intravitreal injections of bevacizumab in the treatment of central serous chorioretinopathy // Eye (London, England). — 2012-02. — Т. 26, вып. 2. — С. 307–314. — ISSN 1476-5454. — doi:10.1038/eye.2011.282. Архивировано 15 июня 2022 года.
- ↑ Cyprian Gabriel Ntomoka, Bindu Rajesh, Gachago Muchai Muriithi, Abhilash Goud, Jay Chhablani. Comparison of photodynamic therapy and navigated microsecond laser for chronic central serous chorioretinopathy // Eye (London, England). — 06 2018. — Т. 32, вып. 6. — С. 1079–1086. — ISSN 1476-5454. — doi:10.1038/s41433-018-0029-z. Архивировано 25 сентября 2020 года.
- ↑ Caccavale, Antonio; Romanazzi, F; Imparato, M; Negri, A; Morano, A; Ferentini, F. Central serous chorioretinopathy: A pathogenetic model (англ.) // Clinical Ophthalmology : journal. — 2011. — Vol. 5. — P. 239—243. — doi:10.2147/OPTH.S17182. — PMID 21386917. — PMC 3046994.

