Тестирование на COVID-19

Тестирование на респираторное заболевание (коронавирусная болезнь 2019 (COVID-19) и связанный с ней вирус SARS-CoV-2 возможно двумя основными методами: молекулярное распознавание и серологическое тестирование. Молекулярные методы используют полимеразную цепную реакцию (ПЦР) наряду с тестами на нуклеиновые кислоты и другими передовыми аналитическими методами для обнаружения генома вируса. Например, Центр контроля заболеваний (CDC) разработал полимеразную цепную реакцию с обратной транскрипцией в реальном времени для диагностических целей. Серологическое тестирование использует ELISA антитела тест — наборы для обнаружения присутствия антител иммунной системы против вируса. CDC проводит два теста ELISA против двух разных белков, продуцируемых вирусом. Если какой-либо из тестов является положительным, для подтверждения положительного результата проводится тест на микронейтрализацию. Анализ микронейтрализации является высокоспецифичным, но значительно более трудоёмким и длительным. Поскольку антитела продолжают циркулировать даже после того, как инфекция устранена, серологические тесты продолжают быть положительными для людей, которые ранее подвергались воздействию и развили иммунный ответ, что означает, что положительный тест может не указывать на активную инфекцию. Таким образом, CDC использует тестирование серологических антител только для наблюдения и в исследовательских целях, в то время как методологии молекулярных тестов используются для диагностики активных инфекций.
Методы испытаний
| Страна | Учреждение | Гены-мишени |
|---|---|---|
| Китай | China CDC | ORF1ab and Nucleoprotein (N) |
| Германия | Charité | RdRP, E, N |
| Гонконг | HKU | ORF1b-nsp14, N |
| Япония | National Institute of Infectious Diseases, Department of Virology III |
Pancorona and multiple targets, Spike protein (Peplomer) |
| Таиланд | National Institute of Health | N |
| США | US CDC | Three targets in N gene |
| Франция | Pasteur Institute | Two targets in RdRP |
ПЦР
Один из ранних тестов ПЦР был разработан в Шарите в Берлине в январе 2020 года с использованием полимеразной цепной реакции с обратной транскрипцией в реальном времени (ОТ-ПЦР, RT-PCR) и лег в основу 250 000 наборов для распространения Всемирной организацией здравоохранения (ВОЗ).[2]
Южнокорейская компания Kogenebiotech разработала клинический комплект для обнаружения SARS-CoV-2 на основе ПЦР (PowerChek Coronavirus) 28 января 2020 года.[3][4] Он ищет ген «E», общий для всех бета-коронавирусов, и ген RdRp, специфичный для SARS-CoV-2.[5] Другие компании в стране, такие как Solgent и Seegene, тоже разработали версии наборов для определения клинического уровня, названные DiaPlexQ и Allplex 2019-nCoV Assay, соответственно, в феврале 2020 года.
Китайская BGI Group была одной из первых компаний, получивших разрешение на экстренное использование от Национального управления медицинской продукции Китая на комплект обнаружения SARS-CoV-2 на основе ПЦР.[6]
В США Центры по контролю и профилактике заболеваний распространяют диагностическую панель ОТ-ПЦР в реальном времени CDC 2019-Новый коронавирус (2019-nCoV) среди лабораторий общественного здравоохранения через Международный ресурс по реагентам.[7] Один из трёх генетических тестов в более старых версиях тестовых наборов вызвал неубедительные результаты и узкое место тестирования в CDC в Атланте; испытания с использованием двух компонентов были признаны надёжными 28 февраля 2020 года, что позволило государственным и местным лабораториям быстро завершить испытания.[8] Тест был одобрен Управлением по санитарному надзору за качеством пищевых продуктов и медикаментов на основании разрешения на экстренное использование .
Коммерческие лаборатории США начали испытания в начале марта 2020 года. С 5 марта 2020 года LabCorp объявил о доступности тестирования COVID-19 на основе ОТ-ПЦР по всей стране.[9] Quest Diagnostics также сделал общенациональное тестирование COVID-19 доступным с 9 марта 2020 года.[10] Сбор и обработка образцов должны выполняться в соответствии с требованиями CDC.
Сообщалось, что 12 марта 2020 года в клинике Майо был разработан тест для выявления инфекции COVID-19.[11]
13 марта 2020 года Roche Diagnostics получила одобрение FDA на проведение теста, который может быть проведён в течение 3,5 часов, что позволило одной машине выполнить приблизительно 4128 тестов в течение 24 часов.[12]
Ещё 21 февраля 2020 года и лабораторные тесты на антитела к COVID-19, и тесты экспресс диагностики (ТЭД), позволяющие произвести иммуноанализ на месте, без отправки в лабораторию, были недоступны[13]. Хотя до сегодняшнего дня многие серологические тесты все ещё находятся на стадии исследования, некоторые из них были одобрены к применению. Так, тест экспресс диагностики (ТЭД) DNK-1419-1, разработанный китайской компанией Dynamiker был одобрен для применения и включён в 7-й выпуск Протокола диагностики и лечения Covid-19 Государственной службы по регулированию медицинской продукции Китая (NMPA). Тест позволяет с 92 % точностью определить наличие у пациента антител IgG и IgM и применяется в КНР. Также NMPA одобрила для применения в КНР ТЭД китайской компании Guangdong Hecin-Scientific, который позволяет определять наличие IgM. Тест начал применяться с 22 февраля 2020. ТЭД другой китайской компании Aytu Biosciences/Orient Gene Biotech с чувствительностью 87,9 % к IgG и 97,2 % к IgM и специфичностью соответственно 100 % для обеих групп антител, получил одобрение для использования в Китае и был применён в клинических условиях. В настоящее время тест ожидает одобрения FDA для применения в США[14].
В США тест, разработанный компанией Cellex Inc. совместно в США и КНР получил одобрение FDA и CE на соответствие европейским стандартам и может быть использован для диагностики коронавируса начиная с 1 апреля 2020 года.
28 февраля 2020 года южнокорейская компания PCL подала запрос в Министерство продовольственной и лекарственной безопасности Южной Кореи на их набор для обнаружения на основе антител COVID-19 Ag GICA Rapid . В отличие от набора для определения на основе ОТ-ПЦР, PCL утверждает, что их набор на основе антител может поставить диагноз в течение 10 минут.
8 марта 2020 года тайваньская Academia Sinica объявила, что моноклональное антитело, специфически связывающее белок нуклеокапсида (N-белок) нового коронавируса, было успешно создано и протестировано за 19 дней. Если может быть разработан набор для быстрого иммунологического тестирования, он может обнаружить заболевание в течение 15-20 минут, аналогично быстрому тесту на грипп[15].
Компания BioMedomics из Северной Каролины, США, утверждает, что разработала экспресс-тест на антитела, который даст результаты через 15 минут[16]. Он обнаруживает антитела как IgM, так и IgG, используя кровь, взятую из вен или пальца[17]. В Китае было использовано полмиллиона тестов, и в настоящее время BioMedomics ожидает одобрения FDA[18].
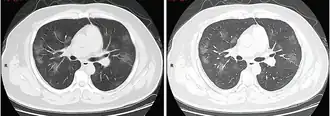
Компьютерная томография грудной клетки
КТ грудной клетки иногда может помочь идентифицировать и охарактеризовать патологию лёгких и дать неспецифические результаты при инфекции COVID-19. Систематический обзор результатов компьютерной томографии грудной клетки у 919 пациентов описал типичное раннее проявление COVID-19 как «двустороннее мультилобарное помутнение матового стекла (GGO) с периферическим или задним распределением».[19] Одно исследование показало, что чувствительность КТ к инфекции COVID-19 составила 98 % по сравнению с чувствительностью ОТ-ПЦР на 71 %; однако это было сделано в китайской провинции Ухань и не подлежит обобщению.[20] Наиболее распространёнными результатами компьютерной томографии были двустороннее затухание матового стекла (пятнистое или рассеянное) с субплевральным доминированием, сумасшедшей укладкой и консолидацией на более поздних стадиях.[21] Эти данные являются неспецифичными и обнаруживаются также при других типах пневмонии. Небольшое исследование показало, что китайские рентгенологи продемонстрировали чувствительность 72-94 % и 24-94 % в дифференцировании COVID-19 от других типов вирусной пневмонии с использованием компьютерной томографии.[22] Ни одно исследование ещё не подтвердило точность и дискриминационную ценность компьютерных томографий, чтобы отличить COVID-19 от других вирусных пневмоний. Поэтому CDC не рекомендует КТ для первоначального скрининга, как подчёркивалось в звонке COCA в четверг, 5 марта. Люди с подозрением на COVID-19 должны проходить ОТ-ПЦР, которая является наиболее специфическим тестом.[23]
Типичные результаты компьютерной томографии
Компьютерная томография стадии быстрого прогрессирования
Бумажные полоски на основе CRISPR
Исследуется метод, основанный на активности расщепления коллатеральной одноцепочечной ДНК (ssDNA) CRISPR.[24][25] Другими словами, образец РНК ретранскрибируется в кДНК и амплифицируется с использованием амплификации рекомбиназной полимеразы в сочетании с ферментом обратной транскриптазы. Это усиление является изотермическим и, следовательно, требует гораздо более простого оборудования, чем ПЦР. Если в образце присутствует целевая РНК из SARS-CoV-2, соответствующая кДНК связывается с Cas12a и запускает коллатеральное расщепление меченного флуоресцеином одноцепочечного зонда ДНК. Это расщепление испускает флуоресцентный сигнал, который может быть интерпретирован на считывающем устройстве для планшетов или обнаружен на бумажной полосе (посредством бокового потока) портативным способом. Этот метод был протестирован на смоделированных клинических образцах (протестировано добавление синтетических фрагментов РНК SARS-CoV-2 к образцам слюны от здорового донора), но не был протестирован на образцах пациентов.
По запаху пота собакой
Есть предположение, что инфицированного человека может установить специально обученная собака по запаху пота. Соответствующий четырёхмесячный эксперимент с участием четырёх собак начался в аэропорту Хельсинки-Вантаа в сентябре 2020 года[26].
Сбор образцов
Используя обратную транскрипционную полимеразную цепную реакцию в реальном времени (ОТ-ПЦР)[27], тест может быть проведён на образцах дыхательных путей, полученных различными методами, включая мазок из носоглотки или образец мокроты[28]. Результаты получают от нескольких часов до 2 дней.[29].
Гонконг разработал схему, в которой подозреваемые пациенты могут оставаться дома: «отделение неотложной помощи передаст пациенту пробирку с образцом», они плюют в неё, отправляют обратно, а потом через некоторое время получают результат теста[30].
Британская NHS объявила, что начнёт проверять подозрительные случаи дома, что устраняет риск заражения пациента больными, которых они могут встретить в больнице.[31].
В ходе сквозного тестирования на COVID-19 для подозрительных случаев медицинский работник берет образец с соблюдением соответствующих мер предосторожности.[32][33] Передвижные центры помогли Южной Корее провести одно из самых быстрых и масштабных тестирований на коронавирус в мире.[34]
Производство и объём тестирования
Китай[35], США[36] и Австралия[37] имели проблемы с надёжностью тест-наборов в начале вспышки, а также не смогли предоставить достаточного количества наборов для удовлетворения спроса и рекомендаций для тестирования экспертами здравоохранения. В отличие от этого, широкая доступность тестирования в Южной Корее помогла снизить распространение нового коронавируса, по заявлению экспертов. В течение нескольких лет правительство Южной Кореи создавало возможности для проведения испытаний, в основном в лабораториях частного сектора.[38] 16 марта Всемирная организация здравоохранения призвала активизировать программы тестирования как лучший способ замедлить развитие пандемии Covid-19.[39][40]
Диагностика по странам
По состоянию на 24 марта в России зарегистрировано четыре теста на коронавирус, из них три созданы государственными структурами: два — научным центром «Вектор»" Роспотребнадзора (зарегистрирована Росздравнадзором 11 февраля 2020 года, регистрационный номер РЗН 2020/9677)[41] и один — «Центром стратегического планирования и управления рисками» («ЦСП») Минздрава России (РЗН 2020/9765)[42]. 25 марта Росздравнадзор зарегистрировал ещё один набор реагентов для выявления коронавируса от ЦНИИ эпидемиологии Роспотребнадзора[43]. По данным BBC, разные стадии подготовки к регистрации проходят тесты до десяти компаний[43].
На 5 марта 2020 проведено 51366 тестов[44]. На 20 марта проведено 143 тыс. тестов на коронавирус[45][46]. Эти цифры делали Россию одним из мировых лидеров по тестированию населения — на 20-е марта страна занимала 5-е место в мире по числу проведённых тестов на коронавирус[47]. По информации Роспотребнадзора, 26 марта было проведено 26 тысяч тестов на коронавирусную инфекцию[43].
12 марта стало известно что около 80 тысяч тестов было передано другим государствам, в частности российские тесты получили Иран, Азербайджан, Узбекистан, Таджикистан, Туркменистан, Монголия и КНДР[48].
16 марта вице-премьер России Татьяна Голикова заявила, что Россия начала производить до 100 тысяч тест-систем по выявлению коронавирусной инфекции COVID-19 в сутки[49].
26 марта заммэра Москвы по вопросам социального развития Анастасия Ракова рассказала, что в 9 столичных городских лабораториях делают около 4 тысяч анализов на коронавирус в сутки[50].
С 6 апреля 2020 года Центр молекулярной диагностики Роспотребнадзора начинает проводить тесты на СОVID-19 на дому в Москве и Московской области. В дальнейшем тестирование охватит и другие регионы[51]. В этот же день премьер-министр Михаил Мишустин заявил, что сам анализ на COVID-19 и последующие лабораторные исследования будут оплачиваться из фонда ОМС[52].
6 апреля 2020 года в России был запатентован 40-минутный экспресс-тест на COVID-19 с точностью до 94 %[53].
10 апреля государственный научный центр «Вектор» зарегистрировал тест-систему для обнаружения антител к коронавирусу. При помощи теста на антитела врачи смогут выявлять переболевших коронавирусом[54].
На 17 марта число проведённых исследований биоматериалов на коронавирус достигло 122 854[55]; на 17 апреля 2020 года официально объявлено о более чем 1,71 млн тестов за весь срок проведения и 104,6 тыс. тестов за сутки[46].
20 апреля 2020 сервис тестирования на дому «Яндекс», был бесплатными для людей старше 65 лет. Теперь собранный за неделю объем пожертвований позволил сделать тесты бесплатными для всех, говорится в сообщении «Яндекса»[56].
Для проведения массового тестирования в Москве с 15 мая 2020 года подготовлены автоматические анализаторы крови для выявления антител к коронавирусу по методу ИФА (иммуноферментный анализ)[57]
Сдача анализа на COVID-19
До 16 марта самостоятельная сдача анализов на COVID-19 не предусматривалась[46][58], в частные медицинские организации тесты не поступали[59]. Обследование на COVID-19 назначалось медицинскими работниками в случае:
- прибытия из эпидемиологически неблагополучных по COVID-19 стран и регионов за 14 дней до появления симптомов;
- наличия тесных контактов за последние 14 дней с лицами, находящимися под наблюдением по COVID-19, которые в последующем заболели;
- наличия тесных контактов за последние 14 дней с лицами, у которых лабораторно подтверждён диагноз COVID-19;
- по медицинским показаниям, в частности с 24 февраля обязательной является диагностика на COVID-19 в случае пневмонии[60].
16 марта вице-премьер РФ Татьяна Голикова сообщила, что россияне смогут свободно провериться на наличие у себя этого вируса в специализированных лабораториях[61]. В тот же день администрация Санкт-Петербурга опубликовала список клиник в которых можно свободно пройти тестирование[62]. С 20 марта в Ленобласти работают мобильные лаборатории[63].
27 мая на официальном сайте Мэра Москвы было объявлено о возможности сдачи теста на антитела к коронавирусу всеми желающими. Вскоре, в Сети появилась сводная информация о клиниках, с бесплатным платным вариантом сдачи теста[64].
Статистика выполненных тестов по странам

Синий: лаборатория CDC
Оранжевый: Лаборатория общественного здравоохранения
Серый: неполные данные из-за задержки отчётности
| Страна | Общее число тестов |
Число тестов на 1000 чел.[65][66] |
Население[65] | Дата | Ссылка |
|---|---|---|---|---|---|
| Австралия | 28 776 897 | 1128,51 | 25 499 881 | 19 августа 2021 | [67] |
| Австрия | 15 871 248 | 1762,21 | 9 006 400 | 22 августа 2021 | [68] |
| Азербайджан | 4 304 865 | 424,57 | 10 139 175 | 22 августа 2021 | [69] |
| Албания | 998 817 | 347,07 | 2 877 800 | 22 августа 2021 | [70] |
| Андорра | 19 166 | 248,05 | 77 265 | 18 августа 2021 | [71] |
| Аргентина | 21 278 831 | 470,81 | 45 195 777 | 21 августа 2021 | [72] |
| Армения | 1 483 890 | 500,76 | 2 963 234 | 22 августа 2021 | [73] |
| Аруба | 89 939 | 842,39 | 106 766 | 6 февраля 2021 | [74] |
| Афганистан | 748 284 | 19,20 | 38 928 341 | 21 августа 2021 | [75] |
| Багамские Острова | 61 212 | 155,65 | 393 248 | 7 февраля 2021 | [76] |
| Бангладеш | 5 444 255 | 33,05 | 164 689 383 | 29 апреля 2021 | [77] |
| Барбадос | 247 193 | 860,18 | 287 371 | 22 августа 2021 | [78] |
| Бахрейн | 5 763 404 | 3387,08 | 1 701 583 | 22 августа 2021 | [79] |
| Белиз | 30 881 | 77,66 | 397 621 | 30 ноября 2020 | [80] |
| Белоруссия | 7 623 360 | 806,76 | 9 449 321 | 20 августа 2021 | [81] |
| Бельгия | 18 240 201 | 1573,83 | 11 589 616 | 20 августа 2021 | [82][83] |
| Бенин | 434 422 | 35,83 | 12 123 198 | 6 февраля 2021 | [84] |
| Бермудские Острова | 436 268 | 7005,73 | 62 273 | 22 августа 2021 | [85] |
| Болгария | 4 008 332 | 576,86 | 6 948 445 | 22 августа 2021 | [86] |
| Боливия | 1 142 192 | 97,84 | 11 673 029 | 28 апреля 2021 | [87] |
| Босния и Герцеговина | 1 113 991 | 339,54 | 3 280 815 | 20 августа 2021 | [88] |
| Бразилия | 13 486 924 | 63,45 | 212 559 409 | 7 февраля 2021 | [89][90] |
| Великобритания | 256 319 014 | 3775,72 | 67 886 004 | 21 августа 2021 | [91][92] |
| Венгрия | 6 467 683 | 669,50 | 9 660 350 | 20 августа 2021 | [93] |
| Венесуэла | 2 614 278 | 91,93 | 28 435 943 | 28 января 2021 | [94][95] |
| Вьетнам | 2 482 302 | 25,50 | 97 338 583 | 15 марта 2021 | [96][97] |
| Гана | 1 087 417 | 34,99 | 31 072 945 | 26 апреля 2021 | [98] |
| Гватемала | 1 251 067 | 69,83 | 17 915 567 | 28 апреля 2021 | [99] |
| Германия | 68 859 676 | 821,87 | 83 783 945 | 19 августа 2021 | [100] |
| Гибралтар | 330 131 | 9798,78 | 33 691 | 22 августа 2021 | [101] |
| Гонконг | 11 193 673 | 1493,08 | 7 496 988 | 23 марта 2021 | [102] |
| Гренландия | 18 515 | 326,12 | 56 772 | 12 февраля 2021 | [103] |
| Греция | 8 079 691 | 775,17 | 10 423 056 | 29 апреля 2021 | [104] |
| Дания | 39 997 828 | 6905,46 | 5 792 203 | 22 августа 2021 | [105][106] |
| Джибути | 202 567 | 205,02 | 988 002 | 21 августа 2021 | [107] |
| Доминиканская Республика | 1 925 367 | 177,48 | 10 847 904 | 11 августа 2021 | [108] |
| Зимбабве | 516 100 | 34,72 | 14 862 927 | 12 мая 2021 | [109] |
| Замбия | 2 216 799 | 120,58 | 18 383 956 | 21 августа 2021 | [110] |
| Израиль | 16 213 910 | 1873,24 | 8 655 541 | 3 мая 2021 | [111] |
| Индия | 506 256 239 | 366,85 | 1 380 004 385 | 21 августа 2021 | [112] |
| Индонезия | 20 415 957 | 74,64 | 273 523 621 | 22 августа 2021 | [113] |
| Иордания | 6 704 884 | 657,13 | 10 203 140 | 1 мая 2021 | [114] |
| Ирак | 9 408 134 | 233,90 | 40 222 503 | 2 мая 2021 | [115] |
| Иран | 27 755 618 | 330,45 | 83 992 953 | 21 августа 2021 | [116] |
| Ирландия | 6 416 079 | 1299,38 | 4 937 796 | 22 августа 2021 | [117] |
| Исландия | 353 467 | 1035,80 | 341 250 | 3 мая 2021 | [118] |
| Испания | 53 892 999 | 1152,67 | 46 754 783 | 12 августа 2021 | [119][120] |
| Италия | 56 252 852 | 930,38 | 60 461 828 | 21 августа 2021 | [121][122] |
| Казахстан | 10 307 341 | 548,94 | 18 776 707 | 2 мая 2021 | [123] |
| Каймановы Острова | 124 033 | 1887,29 | 65 720 | 20 августа 2021 | [124] |
| Канада | 39 731 231 | 1052,70 | 37 742 157 | 20 августа 2021 | [125] |
| Катар | 1 937 204 | 672,39 | 2 881 060 | 7 мая 2021 | [126] |
| Кения | 1 675 310 | 31,15 | 53 771 300 | 4 мая 2021 | [127] |
| Кипр | 5 142 725 | 5871,36 | 875 899 | 28 апреля 2021 | [128] |
| Киргизия | 267 718 | 40,99 | 6 524 191 | 25 июля 2020 | [129] |
| Китайская Народная Республика | 160 000 000 | 111,16 | 1 439 323 774 | 1 августа 2020 | [130][131][132][133] |
| Китайская Республика | 224 617 | 9,43 | 23 816 775 | 13 мая 2021 | [134] |
| Колумбия | 14 675 095 | 288,40 | 50 882 884 | 29 апреля 2021 | [135] |
| Коста-Рика | 798 469 | 156,74 | 5 094 114 | 27 апреля 2021 | [136] |
| Кот-д’Ивуар | 590 207 | 22,37 | 26 378 275 | 28 апреля 2021 | [137] |
| Республика Корея | 9 186 083 | 179,17 | 51 269 183 | 14 мая 2021 | [138] |
| Куба | 3 923 413 | 346,38 | 11 326 616 | 12 мая 2021 | [139] |
| Кувейт | 2 343 069 | 548,65 | 4 270 563 | 2 мая 2021 | [140][141] |
| Латвия | 2 270 202 | 1203,58 | 1 886 202 | 4 мая 2021 | [142] |
| Ливия | 197 575 | 28,75 | 6 871 287 | 19 сентября 2020 | [143] |
| Литва | 2 859 711 | 1050,48 | 2 722 291 | 1 мая 2021 | [144][145] |
| Люксембург | 2 675 294 | 4273,79 | 625 976 | 1 мая 2021 | [146] |
| Мавритания | 254 282 | 54,68 | 4 649 660 | 4 апреля 2021 | [147] |
| Мадагаскар | 194 234 | 7,01 | 27 691 019 | 13 мая 2021 | [148] |
| Малави | 183 239 | 9,57 | 19 129 955 | 22 февраля 2021 | [149] |
| Малайзия | 10 341 089 | 319,50 | 32 365 998 | 13 мая 2021 | [150] |
| Мальдивы | 795 204 | 1471,12 | 540 542 | 13 мая 2021 | [151] |
| Мальта | 891 075 | 2018,11 | 441 539 | 13 мая 2021 | [152] |
| Марокко | 5 852 501 | 158,55 | 36 910 558 | 13 мая 2021 | [153] |
| Мексика | 6 374 398 | 49,44 | 128 932 753 | 12 мая 2021 | [154] |
| Мозамбик | 530 868 | 16,98 | 31 255 435 | 12 мая 2021 | [155] |
| Монголия | 2 800 505 | 854,25 | 3 278 292 | 12 мая 2021 | [156] |
| Мьянма | 2 597 378 | 47,73 | 54 409 794 | 13 мая 2021 | [157][158] |
| Намибия | 406 093 | 159,82 | 2 540 916 | 13 мая 2021 | [159] |
| Непал | 2 712 562 | 93,09 | 29 136 808 | 13 мая 2021 | [160] |
| Нидерланды | 9 274 494 | 541,26 | 17 134 873 | 10 мая 2021 | [161] |
| Нигерия | 1 977 479 | 9,59 | 206 139 587 | 10 мая 2021 | [162] |
| Новая Зеландия | 2 073 522 | 429,99 | 4 822 233 | 14 мая 2021 | [163] |
| Норвегия | 5 336 002 | 984,27 | 5 421 242 | 11 мая 2021 | [164] |
| ОАЭ | 46 559 437 | 4707,53 | 9 890 400 | 13 мая 2021 | [165][166][167] |
| Оман | 308 333 | 60,37 | 5 106 622 | 5 августа 2020 | [168] |
| Пакистан | 12 380 676 | 56,04 | 220 892 331 | 14 мая 2021 | [169] |
| Государство Палестина | 1 046 476 | 205,13 | 5 101 416 | 7 февраля 2021 | [170] |
| Панама | 2 483 460 | 575,57 | 4 314 768 | 12 мая 2021 | [171] |
| Парагвай | 1 163 633 | 163,14 | 7 132 530 | 12 мая 2021 | [172] |
| Перу | 6 176 497 | 187,32 | 32 971 846 | 27 января 2021 | [173][174] |
| Польша | 15 017 415 | 396,79 | 37 846 605 | 13 мая 2021 | [175] |
| Португалия | 11 052 822 | 1083,96 | 10 196 707 | 12 мая 2021 | [176] |
| Россия | 132 774 924 | 909,82 | 145 934 460 | 13 мая 2021 | [177] |
| Руанда | 1 354 868 | 104,60 | 12 952 209 | 13 мая 2021 | [178] |
| Румыния | 7 587 984 | 394,43 | 19 237 682 | 13 мая 2021 | [179] |
| Сальвадор | 892 564 | 137,61 | 6 486 201 | 22 апреля 2021 | [180] |
| Сан-Марино | 32 314 | 952,14 | 33 938 | 23 января 2021 | [181] |
| Саудовская Аравия | 17 812 376 | 511,64 | 34 813 867 | 12 мая 2021 | [182] |
| Северная Македония | 728 726 | 349,78 | 2 083 380 | 4 мая 2021 | [183] |
| Сенегал | 506 181 | 30,23 | 16 743 930 | 13 мая 2021 | [184] |
| Сен-Бартелеми | 12 422 | 1317,70 | 9427[185] | 6 января 2021 | [186] |
| Сен-Мартен | 15 427 | 439,42 | 35 107[185] | 28 января 2021 | [186] |
| Сен-Пьер и Микелон | 4148 | 687,43 | 6034[185] | 1 февраля 2021 | [187] |
| Сербия | 3 977 053 | 584,46 | 6 804 596 | 13 мая 2021 | [188] |
| Сингапур | 10 441 802 | 1784,81 | 5 850 343 | 10 мая 2021 | [189] |
| Словакия | 2 752 948 | 504,23 | 5 459 643 | 13 мая 2021 | [190] |
| Словения | 1 224 095 | 588,81 | 2 078 932 | 13 мая 2021 | [191] |
| Южный Судан | 158 678 | 14,17 | 11 193 729 | 13 мая 2021 | [192] |
| США | 429 959 899 | 1298,96 | 331 002 647 | 11 мая 2021 | [193][194] |
| Таиланд | 4 351 770 | 62,34 | 69 799 978 | 24 апреля 2021 | [195] |
| Того | 320 455 | 38,70 | 8 278 737 | 13 мая 2021 | [196] |
| Тринидад и Тобаго | 147 470 | 105,37 | 1 399 491 | 11 мая 2021 | [197] |
| Тунис | 1 376 013 | 116,42 | 11 818 618 | 13 мая 2021 | [198] |
| Турция | 50 259 943 | 595,92 | 84 339 067 | 13 мая 2021 | [199] |
| Уганда | 1 052 657 | 23,01 | 45 741 000 | 11 мая 2021 | [200] |
| Украина | 9 790 291 | 223,86 | 43 733 759 | 14 мая 2021 | [201] |
| Уругвай | 1 934 871 | 557,00 | 3 473 727 | 11 мая 2021 | [202] |
| Фарерские острова | 214 876 | 4397,33 | 48 865 | 18 января 2021 | [203] |
| Фиджи | 49 632 | 55,36 | 896 444 | 27 апреля 2021 | [204] |
| Филиппины | 11 710 535 | 106,86 | 109 581 085 | 12 мая 2021 | [205] |
| Финляндия | 4 471 333 | 806,99 | 5 540 718 | 29 апреля 2021 | [206] |
| Франция | 55 656 279 | 852,66 | 65 273 512 | 10 марта 2021 | [207][208] |
| Хорватия | 1 804 187 | 439,48 | 4 105 268 | 30 апреля 2021 | [209] |
| Черногория | 28 912 | 46,03 | 628 062 | 18 июля 2020 | [210] |
| Чехия | 4 178 444 | 390,18 | 10 708 982 | 14 января 2021 | [211] |
| Чили | 12 979 820 | 678,99 | 19 116 209 | 29 апреля 2021 | [212] |
| Швейцария и Лихтенштейн | 5 891 014 | 680,67 | 8 654 618 | 14 мая 2021 | [213] |
| Швеция | 1 661 484 | 164,51 | 10 099 270 | 1 октября 2020 | [214][215] |
| Шри-Ланка | 3 089 491 | 144,27 | 21 413 250 | 13 мая 2021 | [216] |
| Эквадор | 1 217 273 | 68,99 | 17 643 060 | 28 апреля 2021 | [217] |
| Эстония | 1 283 679 | 967,69 | 1 326 539 | 29 апреля 2021 | [218] |
| Эфиопия | 2 574 544 | 22,39 | 114 963 583 | 29 апреля 2021 | [219] |
| ЮАР | 11 010 999 | 185,65 | 59 308 690 | 13 мая 2021 | [220] |
| Ямайка | 333 911 | 112,76 | 2 961 161 | 1 мая 2021 | [221] |
| Япония | 11 368 154 | 89,88 | 126 476 458 | 3 мая 2021 | [222] |
Примечания
- ↑ Coronavirus disease (COVID-19) technical guidance: Laboratory testing for 2019-nCoV in humans. www.who.int. Дата обращения: 6 марта 2020. Архивировано 31 января 2020 года.
- ↑ Sheridan, Cormac. Coronavirus and the race to distribute reliable diagnostics (англ.) // Nature Biotechnology : journal. — Nature Publishing Group, 2020. — 19 February. — doi:10.1038/d41587-020-00002-2. Архивировано 25 апреля 2020 года.
- ↑ 접속하신 사이트는허용 접속량을 초과하였습니다. (Homepage). Kogene.co.kr. Дата обращения: 16 марта 2020. Архивировано из оригинала 1 декабря 2013 года.
- ↑ Jeong, Sei-im (28 февраля 2020). Korea approves 2 more COVID-19 detection kits for urgent use - Korea Biomedical Review. www.koreabiomed.com (кор.). Архивировано 18 апреля 2020. Дата обращения: 12 марта 2020.
- ↑ ABOUT US | NEWS. Дата обращения: 17 марта 2020. Архивировано из оригинала 7 июня 2020 года.
- ↑ BGI Sequencer, Coronavirus Molecular Assays Granted Emergency Use Approval in China (англ.). GenomeWeb. Дата обращения: 9 марта 2020. Архивировано 18 апреля 2020 года.
- ↑ International Reagent Resource > Home. www.internationalreagentresource.org. Дата обращения: 17 марта 2020. Архивировано 13 февраля 2017 года.
- ↑ Transcript for the CDC Telebriefing Update on COVID-19 Архивная копия от 14 апреля 2020 на Wayback Machine, Feb 282020
- ↑ LabCorp Launches Test for Coronavirus Disease 2019 (COVID-19). Дата обращения: 17 марта 2020. Архивировано 19 апреля 2020 года.
- ↑ Covid19 : COVID-19. www.questdiagnostics.com. Дата обращения: 17 марта 2020. Архивировано 28 апреля 2020 года.
- ↑ Plumbo, Ginger. Mayo Clinic develops test to detect COVID-19 infection (англ.). Mayo Clinic. Дата обращения: 13 марта 2020. Архивировано 1 мая 2020 года.
- ↑ www.ETHealthworld.com. US regulators approve Roche's new and faster COVID-19 test - ET HealthWorld (англ.). ETHealthworld.com. Дата обращения: 14 марта 2020. Архивировано 16 марта 2020 года.
- ↑ Pang, Junxiong. Potential Rapid Diagnostics, Vaccine and Therapeutics for 2019 Novel Coronavirus (2019-nCoV): A Systematic Review (англ.) // Journal of Clinical Medicine : journal. — 2020. — 26 February (vol. 9, no. 3). — doi:10.3390/jcm9030623. — PMID 32110875.
- ↑ Serology-based tests for COVID-19. Дата обращения: 12 апреля 2020. Архивировано 29 мая 2020 года.
- ↑ 中央研究院網站. www.sinica.edu.tw. Sinca. Архивировано 18 апреля 2020. Дата обращения: 12 марта 2020.
- ↑ COVID-19 IgM/IgG Rapid Test. Дата обращения: 17 марта 2020. Архивировано 21 марта 2020 года.
- ↑ Development and Clinical Application of A Rapid IgM-IgG Combined Antibody Test for SARS-CoV-2 Infection Diagnosis. Дата обращения: 17 марта 2020. Архивировано 26 марта 2020 года.
- ↑ BioMedomics Seeks FDA OK for COVID-19 Rapid Diagnostic. Дата обращения: 17 марта 2020. Архивировано 21 марта 2020 года.
- ↑ Salehi, Sana. Coronavirus Disease 2019 (COVID-19): A Systematic Review of Imaging Findings in 919 Patients (англ.) // American Journal of Roentgenology : journal. — 2020. — 14 March. — P. 1—7. — ISSN 0361-803X. — doi:10.2214/AJR.20.23034.
- ↑ Ai, Tao. Correlation of Chest CT and RT-PCR Testing in Coronavirus Disease 2019 (COVID-19) in China: A Report of 1014 Cases (англ.) // Radiology : journal. — Radiological Society of North America, 2020. — 26 February. — doi:10.1148/radiol.2020200642. — PMID 32101510.
- ↑ Lee, Elaine Y. P. COVID-19 pneumonia: what has CT taught us? (англ.) // The Lancet Infectious Diseases : journal. — Elsevier, 2020. — 24 February (vol. 0). — ISSN 1473-3099. — doi:10.1016/S1473-3099(20)30134-1. — PMID 32105641. Архивировано 8 марта 2020 года.
- ↑ Bai, Harrison X. Performance of radiologists in differentiating COVID-19 from viral pneumonia on chest CT (англ.) // Radiology : journal. — 2020. — 10 March. — P. 200823. — ISSN 0033-8419. — doi:10.1148/radiol.2020200823. Архивировано 3 апреля 2020 года.
- ↑ Robin Patel, Esther Babady, Elitza S. Theel, Gregory A. Storch, Benjamin A. Pinsky. Report from the American Society for Microbiology COVID-19 International Summit, 23 March 2020: Value of Diagnostic Testing for SARS–CoV-2/COVID-19 (англ.) // mBio. — 2020-04-28. — Vol. 11, iss. 2. — P. mBio.00722–20, e00722–20. — ISSN 2150-7511. — doi:10.1128/mBio.00722-20. Архивировано 26 мая 2020 года.
- ↑ Chen, Janice S. CRISPR-Cas12a target binding unleashes indiscriminate single-stranded DNase activity (англ.) // Science : journal. — 2018. — 27 April (vol. 360, no. 6387). — P. 436—439. — ISSN 0036-8075. — doi:10.1126/science.aar6245. — . — PMID 29449511.
- ↑ Lucia, Curti. An ultrasensitive, rapid, and portable coronavirus SARS-CoV-2 sequence detection method based on CRISPR-Cas12 (англ.) // bioRxiv : journal. — 2020. — 2 March. — P. 2020.02.29.971127. — doi:10.1101/2020.02.29.971127. Архивировано 24 марта 2020 года.
- ↑ Пассажиров в аэропорту Хельсинки начали тестировать на коронавирус с помощью собак Архивная копия от 6 июля 2022 на Wayback Machine — spbdnevnik.ru
- ↑ [https://www.cdc.gov/coronavirus/2019-ncov/summary.html 2019 Novel Coronavirus (2019-nCoV) Situation Summary]. Centers for Disease Control and Prevention (30 января 2020). Дата обращения: 30 января 2020. Архивировано 26 января 2020 года.
- ↑ Real-Time RT-PCR Panel for Detection 2019-nCoV. Centers for Disease Control and Prevention (29 января 2020). Дата обращения: 1 февраля 2020. Архивировано 30 января 2020 года.
- ↑ Curetis Group Company Ares Genetics and BGI Group Collaborate to Offer Next-Generation Sequencing and PCR-based Coronavirus (2019-nCoV) Testing in Europe. GlobeNewswire News Room (30 января 2020). Дата обращения: 1 февраля 2020. Архивировано 31 января 2020 года.
- ↑ In Age of COVID-19, Hong Kong Innovates To Test And Quarantine Thousands (англ.). NPR.org. Дата обращения: 17 марта 2020. Архивировано 24 февраля 2020 года.
- ↑ NHS pilots home testing for coronavirus (англ.). MobiHealthNews (24 февраля 2020). Дата обращения: 17 марта 2020. Архивировано 20 марта 2020 года.
- ↑ jkiger@postbulletin.com, Jeff Kiger. Mayo Clinic starts drive-thru testing for COVID-19 (англ.). PostBulletin.com. Дата обращения: 13 марта 2020. Архивировано 12 марта 2020 года.
- ↑ Hawkins, Andrew J. Some states are offering drive-thru coronavirus testing (англ.). The Verge (11 марта 2020). Дата обращения: 13 марта 2020. Архивировано 11 марта 2020 года.
- ↑ South Korea's Drive-Through Testing For Coronavirus Is Fast — And Free (англ.). npr (11 марта 2020). Дата обращения: 16 марта 2020. Архивировано 20 марта 2020 года.
- ↑ Heartbreak in the Streets of Wuhan. Дата обращения: 17 марта 2020. Архивировано 18 апреля 2020 года.
- ↑ State figures on testing raise questions about efforts to contain outbreak - The Boston Globe. BostonGlobe.com. Дата обращения: 17 марта 2020. Архивировано 18 апреля 2020 года.
- ↑ Davey, Melissa. Australian stocks of coronavirus testing kits 'rapidly deteriorating', says chief medical officer (14 марта 2020). Дата обращения: 17 марта 2020. Архивировано 12 апреля 2020 года.
- ↑ Experts Credit South Korea's Extensive Testing For Curbing Coronavirus Spread. NPR.org. Дата обращения: 17 марта 2020. Архивировано 16 марта 2020 года.
- ↑ 'Test, Test, Test': WHO Chief's Coronavirus Message to World. The New York Times. 16 марта 2020. Архивировано 20 марта 2020. Дата обращения: 16 марта 2020.
- ↑ Reuters, Source (16 марта 2020). 'Test, test, test': WHO calls for more coronavirus testing – video. The Guardian. Архивировано 15 апреля 2020. Дата обращения: 16 марта 2020.
{{cite news}}:|author=имеет универсальное имя (справка) - ↑ В России зарегистрирована отечественная тест-система для определения коронавируса (14 февраля 2020). Дата обращения: 23 октября 2020. Архивировано 3 августа 2020 года.
- ↑ Тест-система для выявления РНК коронавируса SARS-CoV-2 тяжелого острого респираторного синдрома (COVID-19) методом полимеразной цепной реакции «АмплиТест SARS-CoV-2». Дата обращения: 14 августа 2022. Архивировано 22 января 2021 года.
- 1 2 3 Анастасия Якорева, Александр Ершов. Только одна частная компания в России может продавать тесты на коронавирус. Они дороже других — зато у компании хорошие связи. Meduza (28 марта 2020). Дата обращения: 23 октября 2020. Архивировано 9 августа 2020 года.
- ↑ В России провели более 51 тыс. тестов на коронавирус нового типа. Дата обращения: 19 марта 2020. Архивировано 20 марта 2020 года.
- ↑ В России проведено более 143 тыс. исследований на коронавирус. Дата обращения: 20 марта 2020. Архивировано 20 марта 2020 года.
- 1 2 3 Коронавирус COVID–19. Оперативные данные. Дата обращения: 23 октября 2020. Архивировано 23 октября 2020 года.
- ↑ [eadaily.com/ru/news/2020/03/20/rossiya-nahoditsya-na-5-meste-v-mire-po-chislu-sdelannyh-testov-na-koronavirus Россия находится на 5 месте в мире по числу сделанных тестов на коронавирус] Архивная копия от 27 марта 2020 на Wayback Machine // EADaily, 20.03.2020
- ↑ Иран получил от России тесты для диагностики коронавируса. Дата обращения: 19 марта 2020. Архивировано 19 марта 2020 года.
- ↑ Россия создаёт до 100 тысяч тест-систем для выявления COVID-19 в сутки. Дата обращения: 19 марта 2020. Архивировано 19 апреля 2020 года.
- ↑ Столичные лаборатории проводят около 4 тыс. анализов на коронавирус в сутки. Дата обращения: 27 марта 2020. Архивировано 27 марта 2020 года.
- ↑ В Центре молекулярной диагностики Роспотребнадзора открыто бесконтактное тестирование на коронавирус. Дата обращения: 6 апреля 2020. Архивировано 6 апреля 2020 года.
- ↑ Заседание президиума Координационного совета при Правительстве по борьбе с распространением новой коронавирусной инфекции на территории Российской Федерации 06.04.2020. Дата обращения: 6 апреля 2020. Архивировано 6 апреля 2020 года.
- ↑ ntv.ru. В России зарегистрирован 40-минутный экспресс-тест на коронавирус. НТВ. Дата обращения: 6 апреля 2020. Архивировано 8 июня 2020 года.
- ↑ В Москве начнётся тестирование на антитела к коронавирусной инфекции. Дата обращения: 13 апреля 2020. Архивировано 16 апреля 2020 года.
- ↑ Информационный бюллетень о ситуации и принимаемых мерах по недопущению распространения заболеваний, вызванных новым коронавирусом. Федеральная служба по надзору в сфере защиты прав потребителей и благополучия человека (18 марта 2020). Дата обращения: 6 апреля 2020. Архивировано 19 марта 2020 года.
- ↑ Валерия Позычанюк. «Яндекс» сделал тесты на коронавирус бесплатными для всех. Дата обращения: 20 апреля 2020. Архивировано 23 апреля 2020 года.
- ↑ Собянин объявил о массовом бесплатном тестировании москвичей на антитела к COVID-19. Дата обращения: 14 мая 2020. Архивировано 14 мая 2020 года.
- ↑ Игра в анализы на COVID-19: как провериться? Дата обращения: 19 марта 2020. Архивировано 19 марта 2020 года.
- ↑ Часто задаваемые вопросы про коронавирус COVID–19. Coronavirus (Covid-19) карта. Дата обращения: 17 марта 2020. Архивировано 17 марта 2020 года.
- ↑ Тест на коронавирус заставят пройти всех россиян с пневмонией. Дата обращения: 19 марта 2020. Архивировано 19 марта 2020 года.
- ↑ Здоровые россияне смогут пройти тест на коронавирус. Дата обращения: 19 марта 2020. Архивировано 19 марта 2020 года.
- ↑ В Петербурге можно сдать тест на коронавирус. Дата обращения: 19 марта 2020. Архивировано 19 марта 2020 года.
- ↑ В Ленобласти на коронавирус «охотятся» восемь мобильных лабораторий. Дата обращения: 20 марта 2020. Архивировано 20 марта 2020 года.
- ↑ Тест на антитела к коронавирусу — что это и где сдать. Coronavirus-Control.ru. Дата обращения: 25 июня 2020. Архивировано 27 июня 2020 года.
- 1 2 covid-testing-all-observations.xlsx (англ.) (Office Open XML). Дата обращения: 14 мая 2021. Архивировано 28 мая 2020 года.
- ↑ Source information country by country (англ.). Дата обращения: 21 мая 2020. Архивировано 14 марта 2020 года.
- ↑ Coronavirus (COVID-19) at a glance infographic (англ.) (PDF; 1,3 MB). Дата обращения: 22 августа 2021. Архивировано 21 августа 2021 года.
- ↑ Coronavirus (нем.). Дата обращения: 22 августа 2021. Архивировано 22 марта 2020 года.
- ↑ Azərbaycanda cari vəziyyət (азерб.). Дата обращения: 22 августа 2021. Архивировано 13 августа 2021 года.
- ↑ coronavirus albania (алб.). Дата обращения: 22 августа 2021. Архивировано 28 апреля 2020 года.
- ↑ Tests PCR (исп.). Дата обращения: 22 августа 2021. Архивировано 15 марта 2021 года.
- ↑ SITUACIÓN DE COVID-19 EN ARGENTINA (исп.). Дата обращения: 22 августа 2021. Архивировано 8 июля 2020 года.
- ↑ Covid-19 (арм.). Дата обращения: 22 августа 2021. Архивировано 24 июля 2020 года.
- ↑ Casonan di Corona Virus na Aruba (англ.). Дата обращения: 7 февраля 2021. Архивировано 20 марта 2020 года.
- ↑ Afghanistan Covid-19 CasesOnline Dashboard (англ.). Дата обращения: 22 августа 2021. Архивировано 14 июля 2020 года.
- ↑ The Bahamas Ministry of Health (англ.). Дата обращения: 7 февраля 2021.
- ↑ Covid-19 Status Bangladesh (англ.). Дата обращения: 1 мая 2021. Архивировано 10 апреля 2020 года.
- ↑ COVID-19 Update: No New Cases & No Recoveries (англ.). Дата обращения: 22 августа 2021. Архивировано 14 августа 2021 года.
- ↑ COVID-19 (араб.). Дата обращения: 22 августа 2021. Архивировано 26 марта 2020 года.
- ↑ Office of Director of Health Services (англ.). Дата обращения: 5 декабря 2020. Архивировано 8 марта 2021 года.
- ↑ СтопCOVID. Дата обращения: 22 августа 2021. Архивировано 7 апреля 2020 года.
- ↑ COVID-19 (англ.). Дата обращения: 22 августа 2021. Архивировано 4 апреля 2020 года.
- ↑ COVID-19 - Epidemiologische situatie (нидерл.). Дата обращения: 22 августа 2021. Архивировано 1 августа 2021 года.
- ↑ Informations coronavirus (covid-19) (фр.). Дата обращения: 7 февраля 2021. Архивировано 8 февраля 2021 года.
- ↑ Coronavirus (COVID-19) update (англ.). Дата обращения: 22 августа 2021. Архивировано 20 августа 2021 года.
- ↑ Актуални новини (болг.). Дата обращения: 22 августа 2021. Архивировано 21 августа 2021 года.
- ↑ COVID-19 (исп.). Дата обращения: 1 мая 2021. Архивировано 30 апреля 2021 года.
- ↑ Službene informacije o koronavirusu u BiH (босн.). Дата обращения: 22 августа 2021. Архивировано 20 августа 2021 года.
- ↑ Coronavírus (COVID-19) (порт.). Дата обращения: 2 июня 2020. Архивировано 1 июня 2020 года.
- ↑ Brasil Teste PCR (порт.). Дата обращения: 7 февраля 2021. Архивировано 20 января 2021 года.
- ↑ Number of coronavirus (COVID-19) cases and risk in the UK (англ.). Дата обращения: 19 августа 2020. Архивировано 8 марта 2020 года.
- ↑ Testing in UK (англ.). Дата обращения: 22 августа 2021. Архивировано 21 августа 2021 года.
- ↑ Tájékoztató oldal a koronavírusról (венг.). Дата обращения: 22 августа 2021. Архивировано 17 марта 2020 года.
- ↑ Covid-19 (исп.). Дата обращения: 16 июля 2020. Архивировано 16 июля 2020 года.
- ↑ Covid-19 (исп.). Дата обращения: 30 января 2021. Архивировано 30 января 2021 года.
- ↑ COVID-19 (вьет.). Дата обращения: 15 января 2021. Архивировано 13 февраля 2020 года.
- ↑ Bản tin cập nhật dịch bệnh Covid-19 (вьет.). Дата обращения: 17 октября 2020. Архивировано 20 октября 2020 года.
- ↑ COVID-19 (англ.). Дата обращения: 1 мая 2021. Архивировано 17 марта 2020 года.
- ↑ COVID-19. Дата обращения: 1 мая 2021. Архивировано 1 мая 2021 года.
- ↑ Anzahl der Testungen in Deutschland (нем.) (PDF). Дата обращения: 22 августа 2021. Архивировано 21 августа 2021 года.
- ↑ HM Govt of Gibraltar (англ.). Дата обращения: 22 августа 2021. Архивировано 16 июля 2021 года.
- ↑ PCR (англ.). Дата обращения: 9 апреля 2021. Архивировано 17 апреля 2020 года.
- ↑ COVID-19 test i Grønland (дат.). Дата обращения: 14 февраля 2021. Архивировано из оригинала 26 марта 2020 года.
- ↑ Ημερήσιες Εκθέσεις COVID-19 – Οδηγίες (греч.). Дата обращения: 1 мая 2021. Архивировано 18 января 2021 года.
- ↑ Antal testede, smittede og dødsfald blandt personer med COVID-19 i Danmark (дат.). Дата обращения: 22 января 2021. Архивировано 16 марта 2020 года.
- ↑ Statens Serum Institut - COVID-19 - Danmark (дат.). Дата обращения: 22 августа 2021. Архивировано 28 ноября 2020 года.
- ↑ COVID19DJ (англ.). Дата обращения: 22 августа 2021.
- ↑ COVID-19 dice reporte del Ministerio de Salud (исп.). Дата обращения: 22 августа 2021.
- ↑ Covid 19 Daily Updates (англ.). Дата обращения: 14 мая 2021. Архивировано 13 мая 2021 года.
- ↑ Zambia COVID-19 (англ.). Дата обращения: 22 августа 2021. Архивировано 1 сентября 2021 года.
- ↑ COVID-19 (ивр.). Дата обращения: 4 мая 2021. Архивировано 27 февраля 2021 года.
- ↑ SARS-CoV-2 (COVID-19) Testing Status (англ.). Дата обращения: 22 августа 2021. Архивировано 23 августа 2021 года.
- ↑ COVID-19 (индон.). Дата обращения: 22 августа 2021. Архивировано 27 июля 2021 года.
- ↑ COVID-19 (араб.). Дата обращения: 4 мая 2021. Архивировано 27 марта 2020 года.
- ↑ الموقف الوبائي اليومي لجائحة كورونا المستجد في العراق (араб.). Дата обращения: 4 мая 2021.
- ↑ Daily Death Toll from COVID-19 Continues to Decline (англ.). Дата обращения: 22 августа 2021. Архивировано 15 августа 2021 года.
- ↑ Ireland's COVID-19 Data Hub (англ.). Дата обращения: 22 августа 2021. Архивировано 18 августа 2021 года.
- ↑ COVID-19 in Iceland – Statistics (исл.). Дата обращения: 4 мая 2021. Архивировано 3 апреля 2020 года.
- ↑ Situación actual (исп.). Дата обращения: 22 августа 2021. Архивировано 16 августа 2021 года.
- ↑ Resumen de la situación (исп.). Дата обращения: 22 августа 2021. Архивировано 18 мая 2020 года.
- ↑ Covid-19 - Situazione in Italia (итал.). Дата обращения: 22 августа 2021. Архивировано 2 марта 2020 года.
- ↑ Aggiornamento casi Covid-19 (итал.). Дата обращения: 22 августа 2021. Архивировано 20 августа 2021 года.
- ↑ Данные по COVID-19 в Казахстане. Дата обращения: 4 мая 2021. Архивировано 2 мая 2021 года.
- ↑ COVID-19 Statistics For The Cayman Islands (англ.). Дата обращения: 22 августа 2021. Архивировано 23 августа 2021 года.
- ↑ Coronavirus disease (COVID-19): Outbreak update (англ.). Дата обращения: 22 августа 2021. Архивировано 22 августа 2020 года.
- ↑ Qatar Ministry of Public Health (араб.). Дата обращения: 14 мая 2021. Архивировано 14 мая 2021 года.
- ↑ Ministry of Health (англ.). Дата обращения: 4 мая 2021. Архивировано 5 мая 2021 года.
- ↑ Η εξάπλωση του COVID-19 στην Κύπρο (греч.). Дата обращения: 1 мая 2021. Архивировано 30 апреля 2021 года.
- ↑ Эпидситуация по COVID-19 в Кыргызстане. Дата обращения: 25 июля 2020. Архивировано 28 января 2021 года.
- ↑ COVID-19 Worldmeters (англ.). Дата обращения: 6 августа 2020. Архивировано 22 марта 2020 года.
- ↑ 我国核酸日检测能力达484万份 (англ.). Дата обращения: 8 сентября 2020. Архивировано 1 октября 2020 года.
- ↑ Officials: Testing key to virus control (англ.). Дата обращения: 29 июня 2020. Архивировано 24 февраля 2021 года.
- ↑ China's daily nucleic acid testing capacity tops 3m: official (англ.). Дата обращения: 26 августа 2020.
- ↑ COVID-19 (англ.). Дата обращения: 14 мая 2021. Архивировано 20 февраля 2020 года.
- ↑ COVID-19 Colombia (исп.). Дата обращения: 1 мая 2021. Архивировано 23 апреля 2021 года.
- ↑ Lineamientos Nacionales para la Vigilancia de la infección por Coronavirus (COVID-19) (исп.). Дата обращения: 1 мая 2021. Архивировано 29 апреля 2021 года.
- ↑ Point général COVID-19 avec les données détaillées (фр.). Дата обращения: 1 мая 2021. Архивировано 1 мая 2021 года.
- ↑ Updates on COVID-19 in Republic of Korea (англ.). Дата обращения: 14 мая 2021. Архивировано 8 января 2021 года.
- ↑ Relación de tests (PCR) realizados (исп.). Дата обращения: 14 мая 2021. Архивировано 4 января 2021 года.
- ↑ COVID 19 (англ.). Дата обращения: 4 мая 2021. Архивировано 17 июня 2020 года.
- ↑ Kuwait - tests performed (англ.). Дата обращения: 4 мая 2021. Архивировано 1 мая 2021 года.
- ↑ Aktualitātes par COVID-19 (латыш.). Дата обращения: 4 мая 2021. Архивировано 19 марта 2020 года.
- ↑ البوابة الجغرافية لمراقبة انتشار فيروس كورونا في ليبيا (араб.). Дата обращения: 25 сентября 2020. Архивировано 8 октября 2020 года.
- ↑ Koronavirusas (COVID-19) (лит.). Дата обращения: 27 ноября 2020. Архивировано 27 ноября 2020 года.
- ↑ COVID-19 tyrimų apžvalga Lietuvoje (лит.). Дата обращения: 4 мая 2021. Архивировано 30 апреля 2021 года.
- ↑ Current situation COVID-19 (англ.). Дата обращения: 4 мая 2021. Архивировано 8 октября 2020 года.
- ↑ COVID-19 Rapport de Situation (араб.). Дата обращения: 14 мая 2021. Архивировано 13 мая 2021 года.
- ↑ Ministeran'ny Fahasalamam-bahoaka (малаг.). Дата обращения: 14 мая 2021.
- ↑ Ministry Of Health - Malawi (англ.). Дата обращения: 24 февраля 2021.
- ↑ Ringkasan Kes COVID-19 Di Malaysia (малайск.). Дата обращения: 14 мая 2021. Архивировано 2 мая 2020 года.
- ↑ Maldives COVID-19 Case Updates (англ.). Дата обращения: 14 мая 2021. Архивировано 21 мая 2021 года.
- ↑ COVID-19 Malta (англ.). Дата обращения: 14 мая 2021. Архивировано 9 мая 2021 года.
- ↑ Morocco Ministry of Health (фр.). Дата обращения: 14 мая 2021. Архивировано 12 мая 2021 года.
- ↑ REPORTE DIARIO (исп.). Дата обращения: 14 мая 2021. Архивировано 13 мая 2021 года.
- ↑ COVID-19 Moçambique (порт.). Дата обращения: 14 мая 2021. Архивировано 24 мая 2021 года.
- ↑ PCR (монг.). Дата обращения: 14 мая 2021. Архивировано 31 января 2021 года.
- ↑ COVID-19 ရောဂါစောင့်ကြပ်ကြည့်ရှုမှုနှင့်ပတ်သက်၍ သတင်းထုတ်ပြန်ခြင်း (бирм.). Дата обращения: 21 июля 2020. Архивировано 3 июня 2020 года.
- ↑ Coronavirus Disease 2019 (COVID-19) Surveillance Dashboard (Myanmar) (англ.). Дата обращения: 14 мая 2021. Архивировано 19 июля 2021 года.
- ↑ Ministry of Health and Social Services-Namibia (англ.). Дата обращения: 14 мая 2021.
- ↑ नेपालको पछिल्लो तथ्यांक (непальск.). Дата обращения: 14 мая 2021. Архивировано 23 апреля 2020 года.
- ↑ Epidemiologische situatie COVID-19 in Nederland (нидерл.). Дата обращения: 14 мая 2021. Архивировано 13 мая 2021 года.
- ↑ An update of COVID-19 outbreak in Nigeria (англ.). Дата обращения: 14 мая 2021. Архивировано 5 мая 2021 года.
- ↑ COVID-19 - current cases (англ.). Дата обращения: 14 мая 2021. Архивировано 8 июня 2020 года.
- ↑ Daily reports about coronavirus disease (COVID-19) (англ.). Дата обращения: 14 мая 2021. Архивировано 17 марта 2020 года.
- ↑ COVID-19 tests (англ.). Дата обращения: 22 января 2021. Архивировано 18 мая 2020 года.
- ↑ UAE conducts over four million COVID-19 tests (англ.). Дата обращения: 14 июля 2020. Архивировано 17 июля 2020 года.
- ↑ UAE Government: Over two million COVID-19 tests conducted (англ.). Дата обращения: 14 мая 2021. Архивировано 8 марта 2021 года.
- ↑ OmanToRecovery (англ.). Дата обращения: 5 августа 2020. Архивировано 28 июля 2020 года.
- ↑ Coronavirus in Pakistan (англ.). Дата обращения: 14 мая 2021. Архивировано 26 апреля 2020 года.
- ↑ فايروس كورونا (COVID-19) في فلسطين (араб.). Дата обращения: 7 февраля 2021. Архивировано 6 февраля 2021 года.
- ↑ Casos de Coronavirus COVID-19 en Panamá (исп.). Дата обращения: 14 мая 2021. Архивировано 24 марта 2020 года.
- ↑ Reportes - COVID19 (исп.). Дата обращения: 14 мая 2021. Архивировано 14 мая 2021 года.
- ↑ Coronavirus (COVID-19) en el Perú (исп.). Дата обращения: 9 июня 2020. Архивировано 8 июня 2020 года.
- ↑ Sala Situacional COVID-19 Perú (исп.). Дата обращения: 30 января 2021. Архивировано 16 июня 2020 года.
- ↑ Ministerstwo Zdrowia (пол.). Дата обращения: 14 мая 2021. Архивировано 20 марта 2020 года.
- ↑ Ponto de Situação Atual em Portugal (порт.). Дата обращения: 14 мая 2021. Архивировано 17 марта 2020 года.
- ↑ Информационный бюллетень о ситуации и принимаемых мерах по недопущению распространения заболеваний, вызванных новым коронавирусом. Дата обращения: 14 мая 2021. Архивировано 23 апреля 2021 года.
- ↑ COVID-19 (англ.). Дата обращения: 14 мая 2021. Архивировано 10 октября 2020 года.
- ↑ Comunicate de presa (рум.). Дата обращения: 14 мая 2021. Архивировано 28 января 2021 года.
- ↑ SITUACIÓN NACIONAL COVID-19 (исп.). Дата обращения: 1 мая 2021. Архивировано 22 сентября 2020 года.
- ↑ Aggiornamento Dati Epidemia COVID-19 a San Marino (итал.). Дата обращения: 24 января 2021. Архивировано 24 января 2021 года.
- ↑ COVID 19 Dashboard: Saudi Arabia (англ.). Дата обращения: 14 мая 2021. Архивировано 27 февраля 2021 года.
- ↑ Министерство за здравство (макед.). Дата обращения: 14 мая 2021. Архивировано 15 мая 2021 года.
- ↑ Situation du Covid-19 au Sénégal (фр.). Дата обращения: 14 мая 2021. Архивировано 15 июня 2021 года.
- 1 2 3 Populations légales 2014 (фр.). Дата обращения: 28 января 2021. Архивировано 2 апреля 2018 года.
- 1 2 Préfet de Saint-Barthélemy et de Saint-Martin (фр.). Дата обращения: 7 февраля 2021.
- ↑ Bulletin de veille sanitaire (фр.). Дата обращения: 7 февраля 2021. Архивировано 20 января 2021 года.
- ↑ Информација о новом корона вирусу (серб.). Дата обращения: 14 мая 2021. Архивировано 13 мая 2021 года.
- ↑ Number of Swabs Tested (англ.). Дата обращения: 14 мая 2021. Архивировано 3 марта 2020 года.
- ↑ Coronavirus in Slovakia (словац.). Дата обращения: 14 мая 2021. Архивировано 12 мая 2021 года.
- ↑ Dnevno spremljanje okužb s SARS-CoV-2 (COVID-19) (словен.). Дата обращения: 14 мая 2021. Архивировано 13 мая 2021 года.
- ↑ Overall COVID-19 cases status (англ.). Дата обращения: 14 мая 2021. Архивировано 3 мая 2021 года.
- ↑ Testing Data in the U.S. (англ.). Дата обращения: 2 декабря 2020. Архивировано 16 марта 2020 года.
- ↑ US Historical Data (англ.). Дата обращения: 14 мая 2021. Архивировано 26 мая 2020 года.
- ↑ Department of Medical Sciences (англ.). Дата обращения: 14 мая 2021. Архивировано 7 мая 2021 года.
- ↑ Courbe Epidémique COVID-19, TOGO 2020 (фр.). Дата обращения: 14 мая 2021. Архивировано 24 января 2021 года.
- ↑ COVID-19 Impact for Trinidad and Tobago (англ.). Дата обращения: 14 мая 2021. Архивировано 30 апреля 2021 года.
- ↑ Covid-19 (фр.). Дата обращения: 14 мая 2021. Архивировано 4 марта 2021 года.
- ↑ Türkiye'deki Güncel Durum (тур.). Дата обращения: 14 мая 2021. Архивировано 23 марта 2020 года.
- ↑ Coronavirus (Covid-19) (англ.). Дата обращения: 14 мая 2021. Архивировано 5 мая 2021 года.
- ↑ Коронавірус в Україні (укр.). Дата обращения: 14 мая 2021. Архивировано 12 августа 2021 года.
- ↑ Ministry of Public Health (исп.). Дата обращения: 14 мая 2021. Архивировано 23 апреля 2021 года.
- ↑ COVID-19 í Føroyum (дат.). Дата обращения: 18 января 2021. Архивировано 23 декабря 2020 года.
- ↑ COVID-19 UPDATES (англ.). Дата обращения: 1 мая 2021. Архивировано 16 ноября 2020 года.
- ↑ COVID-19 Tracker (англ.). Дата обращения: 14 мая 2021. Архивировано 26 сентября 2020 года.
- ↑ Tilannekatsaus koronaviruksesta (фин.). Дата обращения: 1 мая 2021. Архивировано 2 апреля 2020 года.
- ↑ COVID 19 point epidemiologique (фр.). Дата обращения: 18 января 2021. Архивировано 18 января 2021 года.
- ↑ COVID-19 - France Tests virologiques (PCR) (фр.). Дата обращения: 10 марта 2021. Архивировано 14 мая 2020 года.
- ↑ Ukupno dosad 1832 osobe zaražene koronavirusom (хорв.). Дата обращения: 1 мая 2021. Архивировано 3 декабря 2020 года.
- ↑ COVID19 (черногор.). Дата обращения: 18 июля 2020. Архивировано 19 июля 2020 года.
- ↑ COVID-19: Přehled aktuální situace v ČR (чеш.). Дата обращения: 14 января 2021. Архивировано 22 марта 2020 года.
- ↑ Informes COVID 19 (исп.) (PDF). Дата обращения: 1 мая 2021. Архивировано 25 февраля 2021 года.
- ↑ Situationsbericht zur epidemiologischen Lage in der Schweiz und im Fürstentum Liechtenstein (нем.). Дата обращения: 14 мая 2021. Архивировано 13 мая 2021 года.
- ↑ Covid-19 – statistik med diagram och kartor (швед.). Дата обращения: 4 октября 2020. Архивировано 14 июля 2020 года.
- ↑ Arkiv över veckorapporter (швед.). Дата обращения: 25 октября 2020. Архивировано 25 октября 2020 года.
- ↑ ශ්රී ලංකාවේ සෞඛ්ය සන්නිවේදනය සහ සෞඛ්ය ප්රවර්ධනය සඳහා වූ විශිෂ්ඨතා මධ්යස්ථානය (сингальск.). Дата обращения: 14 мая 2021. Архивировано 19 марта 2020 года.
- ↑ Informe de Situación COVID-19 Ecuador (исп.). Дата обращения: 1 мая 2021. Архивировано 30 мая 2021 года.
- ↑ Koroonakaart (эст.). Дата обращения: 1 мая 2021. Архивировано 30 апреля 2021 года.
- ↑ COVID-19 Pandemic Preparedness And Response In Ethiopia (англ.). Ethiopian Public Health Institute. Дата обращения: 1 мая 2021. Архивировано 28 февраля 2021 года.
- ↑ National Institute for Communicable Diseases (NICD) (англ.). Дата обращения: 14 мая 2021. Архивировано 23 апреля 2021 года.
- ↑ COVID-19 Update: Jamaica records Eight More Imported Cases (англ.). Дата обращения: 4 мая 2021. Архивировано 12 мая 2021 года.
- ↑ 報道発表資料 (яп.). Дата обращения: 4 мая 2021. Архивировано 16 апреля 2021 года.
Ссылки
- Региональным лабораториям разрешили делать тесты на коронавирус. www.interfax.ru. Дата обращения: 17 марта 2020.
- ФБУН ГНЦ Вирусологии и биотехнологии. www.interfax.ru. Дата обращения: 17 марта 2020.
- Тестирование COVID-19 (как минимум) — теперь бесплатно для всех? (CDC; Конгресс США; CSPAN video / 6: 00; 12 марта 2020 г.)
Ответы про коронавирус (19.03.2020) — от главврача Московской ГКБ №40 в Коммунарке Проценко Дениса Николаевича- Никифоров В. В., Суранова Т. Г., Миронов А. Ю., Забозлаев Ф. Г. Новая коронавирусная инфекция (COVID-19): этиология, эпидемиология, клиника, диагностика, лечение и профилактика. — Учебно-методическое пособие. — М.: Академия постдипломного образования ФГБУ «ФНКЦ ФМБА России», 2020-02-28. — 48 с.
- Мониторинг случаев подозрения на заболевание, вызываемое коронавирусом 2019-nCoV, а также случаев заболевания внебольничными пневмониями
- 2020-03-18 Владимир Колин. На пике эпидемии речь может идти о миллионах тестов
- 2020-03-25 В лаборатории NanoBio (Сингапур) разработали тест, выявляющий коронавирус за 5 минут
- Любовь Чижова. «Я просто сказала, что мне нужно»: где и как делают анализ на COVID-19
- Ежедневная динамика числа проведенных тестов по странам