Симптом серпа
| Симптом серпа | |
|---|---|
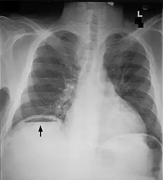
«Симптом серпа» под правым куполом диафрагмы | |
| Вид исследования | рентгенография, компьютерная томография |
| Область исследования | грудная клетка, брюшная полость |
| Заболевания | инвазивный аспергиллёз лёгких, перфорация полого органа брюшной полости |
Симптом серпа (симптом полумесяца) — радиологический признак некоторых заболеваний, выявляемый при рентгенографии и компьютерной томографии. Представляет собой серповидный участок просветления, являющийся отражением скопления газа вокруг органа или патологического образования[1].
Серповидный участок просветления по периферии фокуса уплотнения лёгочной ткани является классическим симптомом аспергиллёза лёгких на поздней стадии его развития, отражает формирование некроза в очаге грибкового поражения[2].
Симптом серпа, выявляемый между правым куполом диафрагмы и печенью при исследовании органов брюшной полости — признак перфорации полого органа брюшной полости (желудка или кишки), связан с поступлением газа в брюшную полость.
Примечания
- ↑ Abramson S. The air crescent sign (неопр.) // Radiology. — 2001. — January (т. 218, № 1). — С. 230—232. — PMID 11152807.
- ↑ Curtis A.M., Smith G.J., Ravin C.E. Air crescent sign of invasive aspergillosis (неопр.) // Radiology. — 1979. — October (т. 133, № 1). — С. 17—21. — doi:10.1148/133.1.17. — PMID 472287.
