Полип толстой кишки
| Полип толстой кишки | |
|---|---|
![]() Полип аденоматозной структуры сигмовидной кишки, выявленный во время колоноскопии. Диаметр около 1 см. Удалён диатермической петлей | |
| МКБ-10 | K63.5 & various |
| МКБ-10-КМ | K63.5 |
| MedlinePlus | 000266 |
| eMedicine | med/414 |
| MeSH | D003111 |
Полип толстой кишки, или колоректальный полип, — это полип (нарост), образующийся на внутренней поверхности ободочной или прямой кишок. Полипы толстой кишки обычно не ассоциируются с какими-либо симптомами. Иногда могут становиться причиной выделения крови с калом. Полипы толстой кишки требуют повышенного внимания из-за вероятности наличия в них злокачественных сегментов и риска перерождения доброкачественных полипов толстой кишки (аденом) через некоторое время в злокачественные новообразования.
Так как большинство полипов не вызывают каких-либо симптомов, то их, как правило, обнаруживают во время медицинского обследования: ректороманоскопии, колоноскопии, ирригоскопии.
По установившейся практике обнаруженные полипы размером до 5 мм удаляются во время колоноскопии при помощи щипцов или петли. В случае, если во время ректороманоскопии или во время какой-либо другой диагностической процедуры были обнаружены аденоматозные полипы, то пациенту придётся пройти и процедуру колоноскопии с последующим удалением аденом в условиях хирургического стационара. Несмотря на то что злокачественные сегменты, как правило, не выявляются в полипах размером менее 2,5 см, удалению подлежат все обнаруженные аденоматозные полипы, чтобы снизить в будущем вероятность образования рака толстой кишки.
Российских стандартов регулярности осмотров после удаления доброкачественных неоплазий (аденом) в толстой кишке не существует. Если обратиться к иностранным рекомендациям, то при удалении тубулярных аденом срок контрольного осмотра — 10 лет, при удалении ворсинчатых — 5лет. Такие длительные сроки связаны с экономическими причинами, российские врачи рекомендуют период 3—5 лет.
Полипы прямой и сигмовидной кишок, которые представляют собой плоские очаги гиперплазии (что выявляется либо при изучении биопсийного материала либо при эндоскопии высокого разрешения с использованием узкоспектрального режима) удалению не подлежат.
| Синдромы наследственного полипоза | Синдромы ненаследственного полипоза | Общая типология полипов |
|---|---|---|
| Семейный аденоматозный полипоз (англ.) | Синдром Кронкайта-Канады (англ.) | Неопластический (аденоматозный и злокачественный) |
| Синдром Пейца-Джигерса (англ.) | Eversmeyerous Polypius | Гамартомный (англ.) |
| Синдром Турко (англ.) | Гиперпластический | |
| Синдром ювенильного полипоза (англ.) | Воспалительный | |
| Синдром Каудена (англ.) | ||
| Синдром Баньяна-Рили-Рувалкаба (англ.) | ||
| Синдром Гарднера (англ.) |
Таблица полипов толстой кишки
В таблице представлена типология полипов на основе специфики их гистологического строения [1][2]
| Тип полипа | Гистологическое строение | Риск злокачественного развития | Микроснимок[3] | Синдром |
|---|---|---|---|---|
| Гиперпластический полип | Зазубренные неветвистые крипты | Нет | ![]() |
Синдром гиперпластического полипоза (множественные полипы) |
| Традиционная зазубренная аденома | Зазубренные крипты, структура обычно напоминает ворсинчатую аденому с цитологической атипией и эозинофильными клетками | Да | ![]() |
|
| Зазубренная аденома на широком основании | Напоминает гиперпластический полип с гиперзазубренностью, расширенное/ветвистое основание крипта, выступающие клетки муцина (англ. prominent mucin cells) в основании крипта | Да[4][5] | ![]() |
|
| Воспалительный полип | Выпуклая слизистая/подслизистая с воспалением | Да, если имеет место дисплазия | См.: Архивная копия от 28 октября 2012 на Wayback Machine, Архивная копия от 28 октября 2012 на Wayback Machine, Архивная копия от 28 октября 2012 на Wayback Machine, Архивная копия от 28 октября 2012 на Wayback Machine | Воспалительные заболевания кишечника, язвы, инфекции, пролапс (выпадение слизистой) |
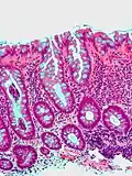
| Трубчатая аденома | Трубчатые железы с удлинёнными ядрами (как минимум незначительная атипия) | Да | ![]() |
|
| Ворсинчатая аденома | Пальцеобразные выступы, вытянутые от поверхности полипа с минимальным ответвлением, незначительная дисплазия с потерей муцина, удлиненные ядра с гиперхроматизмом.[6] | Да | ![]() |
|
| Трубчато-ворсинчатая аденома | Смешанный тип: различная степень клеточной дисплазии и преобладания трубчатого и ворсинчатого компонентов (на снимке: трубчатый компонент — слева, ворсинчатый — справа). | Да | ![]() |
|
| Полип Пейца-Джигерса | Связки гладкой мышцы посреди неопухолевого эпителия, тип строения — «новогодняя ёлка»[7] | Да | ![]() |
Синдром Пейца-Джигерса |
| Ювенильный полип | Увеличенные гланды с увеличенной базальной пластиной (лат. lamina propria) | По своей природе нет, но возможна дисплазия | ![]() |
Синдром ювенильного полипоза, идентичные полипы в синдроме Кронкайта-Канады |
| Гамартомный полип (синдром Каудена) | Строение разнообразное: как правило, это мягко фиброзный полип (англ. mildly fibrotic polyp) с дезорганизованной слизистой и расширением мышечной пластинки слизистой оболочки (англ. splaying of muscularis mucosae), но бывает похож на воспалительный и ювенильный полипы, липому, ганглионеврому, лимфоидный полип | Нет | Синдром Каудена |
Таблица соответствия медицинских терминов
| Термин, используемой в англоязычной литературе | Русский перевод, принятый в данной статье | Термины, встречающиеся в русскоязычных текстах |
|---|---|---|
| Serrated adenoma | Зазубренная аденома | Зубчатая аденома Пилообразная аденома |
| Tubular adenoma | Трубчатая аденома | Тубулярная аденома |
| Villous adenoma | Ворсинчатая аденома | Виллёзная аденома Папиллярный полип |
| Tubulovillous adenoma | Трубчато-ворсинчатая аденома | Тубулярно-ворсинчатая аденома Тубуло-ворсинчатая аденома Тубуловиллёзная аденома Тубулярно-папиллярный полип |
| Juvenile polyp | Ювенильный полип | Ювенильная аденома Юношеский полип |
| Peutz-Jeghers Polyp | Полип Пейца-Джигерса | Полип Пейтца-Егерса Архивная копия от 3 июля 2013 на Wayback Machine Полип Пейтца-Йегерса |
Примечания
- ↑ Fletcher’s Diagnostic Histopathology of Tumors, Third Edition.
- ↑ Sternberg’s Diagnostic Surgical Pathology, 4th Edition. Volume 1/ Senior editor Stacey E. Mills. — Philadelphia: Lippincott Williams & Wilkins, 2004. — («Диагностическая хирургическая патология Штернберга»)
- ↑ Окраска гематоксилином и эозином.
- ↑ Rüschoff J., Aust D., Hartmann A. [Colorectal serrated adenoma: diagnostic criteria and clinical implications] (нем.) // Verh Dtsch Ges Pathol. — 2007. — Т. 91. — С. 119—125. — PMID 18314605.
- ↑ Mäkinen M.J. Colorectal serrated adenocarcinoma (англ.) // Histopathology. — Wiley-Blackwell, 2007. — January (vol. 50, no. 1). — P. 131—150. — doi:10.1111/j.1365-2559.2006.02548.x. — PMID 17204027.
- ↑ Medscape: Medscape Access. Дата обращения: 2 марта 2013. Архивировано 24 марта 2009 года.
- ↑ Sternberg’s diagnostic surgical … — Google Книги








