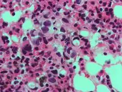
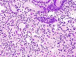
Перстневидные клетки

_PAS_stain.jpg)
.jpg)
В гистологии перстневидными клетками называют клетки с большой вакуолью. Перстневидные клетки являются злокачественными и, как правило, обнаруживаются в карциномах. Перстневидные клетки наиболее часто выявляются при раке желудка, однако могут возникать в любом типе тканей, включая простату, мочевой пузырь, жёлчный пузырь, молочные железы, толстый кишечник, строму яичников и тестикулы.