Мочевой пузырь
| Мочевыделительная система | |
|---|---|
| лат. vesica urinaria | |
![]() 1. Мочевыделительная система человека: 2. почка 3. почечная лоханка 4. мочеточник 5. мочевой пузырь 6. мочеиспускательный канал. | |
| Кровоснабжение |
верхняя пузырная нижняя пузырная пупочная влагалищная артерии |
| Венозный отток | пузырное венозное сплетение |
| Иннервация | пузырное нервное сплетение |
| Лимфа | наружный и внутренний подвздошный лимфоузел |
| Прекурсор | мочеполовой синус |
| Каталоги | |
Мочево́й пузы́рь (лат. vesica urinaria, др.-греч. κύστις, мочеви́к[1]) — непарный полый орган выделительной системы человека, расположенный в малом тазу.
Мочевой пузырь выполняет функцию резервуара мочи, из которого она выводится наружу; иными словами, он служит для накопления оттекающей из почек мочи и периодического её выведения через мочеиспускательный канал, регулируемого с помощью детрузора.
Мочевой пузырь позвоночных
Мочевой пузырь имеется у большинства позвоночных животных[2]. Среди рыб он отсутствует у хрящевых, но присутствует у большинства костных, у которых его образуют мочеточники, сливающиеся друг с другом перед выходом наружу[3].
Имеется мочевой пузырь у большинства современных земноводных (тех, которые относятся к отряду Бесхвостые) и у части пресмыкающихся (черепахи и бо́льшая часть лепидозавров). У них мочеточники впадают не в мочевой пузырь, а в клоаку, и в неё же открывается мочевой пузырь, но самостоятельным отверстием. У крокодилов, змей и некоторых ящериц мочевой пузырь недоразвит, а у птиц он отсутствует[4][5].
Напротив, у млекопитающих мочевой пузырь имеется, причём мочеточники впадают в него (исключение составляют однопроходные: у них мочеточники открываются в мочеполовой синус, и уже из него моча попадает в мочевой пузырь)[6][7].
Мочевой пузырь человека
Анатомия и физиология


Мочевой пузырь у человека один, он располагается в малом тазу за лобком позади от лобкового симфиза, к задней поверхности которого прикрепляется лобково-пузырными связками (лат. ligg. pubovesicalia) у мужчин и латеральными лобково-пузырными связками (лат. ligg. lateralia pubovesicalia) у женщин. У мужчин дно мочевого пузыря срастается с передне-верхней частью предстательной железы, у женщин сзади-сверху прилежит передняя поверхность матки, разделённая покрывающим их листком брюшины, образующим пузырно-маточное углубление (лат. excavatio vesicouterina) в области тела матки и прикрепляющаяся соединительной тканью в области шейки матки, сзади срастается с передней поверхностью верхней части влагалища[8]. В зависимости от количества содержащейся в нём мочи мочевой пузырь может растягиваться и сжиматься. Вместимость мочевого пузыря составляет примерно 0,5 л[9]. По другим данным, у мужчин в норме она составляет 350—750 мл, у женщин — 250—550 мл[10]. Человек ощущает позыв к мочеиспусканию, когда объём мочи в мочевом пузыре достигает 150—200 мл. Если последний наполняется быстро, то позывы к мочеиспусканию следуют чаще, поскольку при быстром растягивании гладких мышц, образующих стенку мочевого пузыря, происходит более сильное раздражение присутствующих в этих мышцах барорецепторов[11].
Верхушка мочевого пузыря (лат. apex vesicae) сверху переходит в срединную пупочную связку (остаток урахуса). Нижняя часть пузыря, суживаясь, образует шейку мочевого пузыря (лат. cervix vesicae), а последняя переходит в мочеиспускательный канал. Дно мочевого пузыря (лат. fundus vesicae) обращено вниз и кзади, а между верхушкой и дном располагается тело мочевого пузыря (лат. corpus vesicae). Когда пузырь наполняется мочой, его верхушка, приподнимаясь над лонным сочленением, касается передней брюшной стенки. У наполненного мочевого пузыря толщина растянутой стенки не превышает 2-3 мм, в то время как после опорожнения пузыря толщина стенки возрастает до 12-15 мм[12].
В средней части мочевого пузыря в него сзади под углом впадают два мочеточника. Благодаря тому, что они входят в мочевой пузырь в косом направлении, возникает своеобразный клапанный аппарат, который во время мочеиспускания, когда в мочевом пузыре повышается давление мочи, препятствует обратному затеканию мочи в мочеточники[11]. На слизистой оболочке основания пузыря выделяют мочепузырный треугольник (лат. trigonum vesicae), вершинами которого служат устья мочеточников и внутреннее отверстие мочеиспускательного канала. В области этого отверстия располагается толстая круговая мышца — внутренний сфинктер (лат. musculus sphincter urethae); он предотвращает непроизвольное мочеиспускание[13]. Мочеиспускание у мужчин блокируется также простатой физиологически временно в состоянии эрекции полового члена, или постоянно при некоторых его патологиях, к примеру при аденоме простаты.
- Иннервация
Иннервация мочевого пузыря обеспечивается симпатическими и парасимпатическими, а также спинальными нервами. В стенках его обнаружено также большое число нервных ганглиев и рассеянных нейронов вегетативной нервной системы, а также рецепторных нервных окончаний[14].
- Кровоснабжение
Кровоснабжение мочевого пузыря осуществляется верхними и нижними мочепузырными артериями (лат. aa. vesicales superiores et inferiores).
Верхние мочепузырные артерии отходят от пупочной артерии (лат. a. umbilicalis), ветви внутренней подвздошной артерии, и снабжают кровью верхушку и боковые стенки мочевого пузыря. Нижние мочепузырные артерии отходят от внутренних подвздошных артерий и питают основание, мочепузырный треугольник и шейку мочевого пузыря.
Гистология

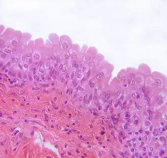
Слизистая оболочка (лат. tunica mucosa) мочевого пузыря состоит из переходного эпителия (уротелия) и собственной пластинки (лат. lamina propria); последняя образована рыхлой соединительной тканью, которую пронизывают мелкие кровеносные сосуды. Когда слизистая оболочка пузыря не растянута (или растянута умеренно), она имеет множество складок, которые, однако, отсутствуют в области мочепузырного треугольника[14].
Уротелий, в зависимости от локализации, содержит от трёх до шести слоёв клеток. Поверхностный слой уротелия образован крупными зонтичными клетками с эозинофильной цитоплазмой, клетки других слоёв значительно меньше по размерам[15].
Мышечная оболочка мочевого пузыря (детрузор) образована тремя слоями, состоящими из пересекающихся пучков гладкомышечных клеток: продольным наружным, круговым средним и сетевидным внутренним. Волокна всех этих слоёв проходят к шейке мочевого пузыря (так называют заднюю часть мочеиспускательного канала), где переплетаются с поперечно-полосатыми мышцами промежности[14][15].
Патологии
К болезням мочевого пузыря относятся: воспаление мочевого пузыря (цистит), разрыв мочевого пузыря и непроходимость мочевого пузыря (тампонада). Цистит — обычное явление, иногда называемое инфекцией мочевыводящих путей (ИМП), вызванное бактериями; разрыв мочевого пузыря происходит, когда мочевой пузырь переполняется и не опорожняется, тогда как тампонада мочевого пузыря является результатом образования тромба возле выхода из мочевого пузыря[16]. Разрыв мочевого пузыря делится на внутрибрюшной и внебрюшной, причем последний составляет 85 % посттравматических разрывов мочевого пузыря. При тампонаде мочевого пузыря обычно требуется хирургическое вмешательство[17].
![Цистоцеле[англ.] у женщины при опущении влагалища](./Cystocele.jpg)
Надлобковая цистостома у мужчины[19]
Уролит в полости мочевого пузыря женщины с мочекаменной болезнью_(14579546649).jpg)
Хирургическая реабилитация при цистэктомии
При ряде заболеваний (рак мочевого пузыря, распространённые злокачественные опухоли дистальных отделов толстой кишки и внутренних половых органов и др.) выполняют операцию цистэктомии — хирургического удаления мочевого пузыря. Для организации оттока мочи из организма пациента после такой операции применяют несколько способов[20][21].
Простейший из них — установка внешней стомы, т. e. искусственного отверстия, обеспечивающего вывод мочи из мочеточников наружу, где она стекает в пластиковый мешочек, закреплённый на теле пациента; накапливаемую в мешочке мочу периодически сливают[22].
Альтернативой является хирургическое создание искусственного резервуара для мочи из секции толстой или подвздошной кишки пациента, помещаемого обычно в место расположения удалённого мочевого пузыря. Существует несколько методик создания такого резервуара; опорожнение его при этом происходит либо через мочеиспускательный канал, либо через кишечную стому. Данное решение имеет ряд побочных эффектов; большинства из них удаётся избежать, обеспечивая удовлетворительное качество жизни больного, в случае применения метода Широкорада — предложенного В. И. Широкорадом метода, который предусматривает хирургическое создание изолированного илеоцекального угла с разворотом в малый таз и обеспечивает выведение мочи через кишечник[20][23].
В 2006 году группа исследователей во главе с профессором Э. Аталой впервые осуществила успешную пересадку пациентам искусственного мочевого пузыря, выращенного в лаборатории методами тканевой инженерии из их собственных клеток (данное обстоятельство исключает реакцию отторжения)[24]. Дальнейшее совершенствование предложенной ими технологии открывает новые перспективы хирургической реабилитации пациентов, перенёсших цистэктомию, хотя и спустя десять лет после публикации результатов этой группы работы в данной области не вышли за пределы лабораторий[25].
В мае 2025 года хирурги Индербир Гилл и Нима Нассири провели в медицинском центре Рональда Рейгана при Калифорнийском университете в Лос-Анджелесе первую в мире пересадку донорского мочевого пузыря человеку. Во время восьмичасовой операции пациенту также пересадили почку. Методика трансплантации мочевого пузыря разрабатывалась врачами с 2020 года[26].
См. также
Примечания
- ↑ Crezee, Ineke H.M. Introduction to Healthcare for Russian-speaking Interpreters and Translators : [англ.] / Ineke H.M. Crezee, Johanna Hautekiet, Lidia Rura. — 2021. — P. 408. Архивная копия от 22 января 2022 на Wayback Machine
- ↑ Константинов, Наумов, Шаталова, 2012, с. 38.
- ↑ Дзержинский, Васильев, Малахов, 2014, с. 125, 139.
- ↑ Константинов, Наумов, Шаталова, 2012, с. 131, 167, 232.
- ↑ Дзержинский, Васильев, Малахов, 2014, с. 212, 326.
- ↑ Константинов, Наумов, Шаталова, 2012, с. 339.
- ↑ Дзержинский, Васильев, Малахов, 2014, с. 406.
- ↑ Синельников Р. Д., Синельников Я. Р., Синельников А. Я. Атлас анатомии человека. Том 2: Учение о внутренностях и эндокринных железах / Изд. 7-е, перераб. В 4-х томах // М.: Новая волна, 2009. — 248 с. ISBN 978-5-7864-0200-2. С. 186, 193, 196—197, 199, 214.
- ↑ Сапин и Билич, т. 2, 2009, с. 175.
- ↑ Manski, Dirk. Urodynamik (Harnblasendruckmessung): Zystometrie. // Website www.urologielehrbuch.de (23 октября 2015). Дата обращения: 23 июня 2016. Архивировано 29 июня 2016 года.
- 1 2 Агаджанян Н. А., Смирнов В. М. . Нормальная физиология. — М.: Медицинское информационное агентство, 2009. — 520 с. — ISBN 978-5-9986-0001-2. — С. 387.
- ↑ Сапин и Билич, т. 2, 2009, с. 175—176.
- ↑ Сапин и Билич, т. 2, 2009, с. 177.
- 1 2 3 Гистология, цитология и эмбриология, 2004, с. 693.
- 1 2 MacLennan G. T. . Hinman’s Atlas of Urosurgical Anatomy. 2nd ed. — Philadelphia: Elsevier Health Sciences, 2012. — xi + 368 p. — ISBN 978-1-4160-4089-7. — P. 240—241.
- ↑ Meijlink, Jane M (April 2014). Interstitial cystitis and the painful bladder: A brief history of nomenclature, definitions and criteria: History of IC/painful bladder. International Journal of Urology. 21: 4–12. doi:10.1111/iju.12307. PMID 24807485.
- ↑ Guenter Schmidt. Differential diagnosis in ultrasound: a teaching atlas. — Stuttgart : Thieme, 2006. — P. 352. — ISBN 3-13-131891-0.
- ↑ Цистоцеле // Большая медицинская энциклопедия : в 30 т. / гл. ред. Б. В. Петровский. — 3-е изд. — М. : Советская энциклопедия, 1986. — Т. 27 : Хлоракон — Экономика здравоохранения. — 576 с. : ил.
- ↑ Цистостомия // Большая медицинская энциклопедия : в 30 т. / гл. ред. Б. В. Петровский. — 3-е изд. — М. : Советская энциклопедия, 1986. — Т. 27 : Хлоракон — Экономика здравоохранения. — 576 с. : ил.
- 1 2 Широкорад В. И., Минаев И. И., Дёмин Д. И., Долгих В. Т. Метод хирургической реабилитации больных после комбинированных операций на органах малого таза // Сибирский научный медицинский журнал. — 2003. — Т. 23, № 4. — С. 82—87. Архивировано 14 августа 2016 года.
- ↑ Clark P. E., Stein J. P., Groshen S. G., Cai Jie, Miranda G., Lieskovsky G., Skinner D. G. . Radical Cystectomy in the Elderly: Comparison of Clinical Outcomes between Younger and Older Patient // Cancer, 2005, 104 (1). — P. 36—43. — doi:10.1002/cncr.21126. — PMID 15912515.
- ↑ Manski, Dirk. Harnableitung nach Zystektomie. www.urologielehrbuch.de (23 октября 2015). Дата обращения: 23 июня 2016. Архивировано 29 июня 2016 года.
- ↑ Костюк И. П., Васильев Л. А., Крестьянинов С. С. Классификация местно-распространённых новообразований малого таза и вторичного опухолевого поражения мочевого пузыря // Онкоурология. — 2014. — Т. 10, № 1. — С. 39—43. — doi:10.17650/1726-9776-2014-10-1-39-43. Архивировано 11 августа 2016 года.
- ↑ Atala A., Bauer S. B., Soker S., Yoo J. J., Retik A. B. . Tissue-engineered Autologous Bladders for Patients needing Cystoplasty // The Lancet, 2006, 367 (9518). — P. 1241—1246. — doi:10.1016/S0140-6736(06)68438-9. — PMID 16631879.
- ↑ Alberti C. . Whyever Bladder Tissue Engineering Clinical Applications Still Remain Unusual even though many Intriguing Technological Advances have been Reached? // Il Giornale di Chirurgia, 2016, 37 (1). — P. 6—12. — doi:10.11138/gchir/2016.37.1.006. — PMID 27142819.
- ↑ Врачи впервые пересадили мочевой пузырь человеку. Naked Science]. Дата обращения: 9 июня 2025.
Литература
- Гистология, цитология и эмбриология. 6-е изд / Под ред. Ю. И. Афанасьева, С. Л. Кузнецова, H. А. Юриной. — М.: Медицина, 2004. — 768 с. — ISBN 5-225-04858-7.
- Дзержинский Ф. Я., Васильев Б. Д., Малахов В. В. . Зоология позвоночных. 2-е изд. — М.: Издат. центр «Академия», 2014. — 464 с. — ISBN 978-5-4468-0459-7.
- Константинов В. М., Наумов С. П., Шаталова С. П. . Зоология позвоночных. 7-е изд. — М.: Издат. центр «Академия», 2012. — 448 с. — ISBN 978-5-7695-9293-5.
- Сапин М. Р., Билич Г. Л. . Анатомия человека: в 3-х тт. Т. 2. 3-е изд. — М.: ГЭОТАР-Медиа, 2009. — 496 с. — ISBN 978-5-9704-1373-9.

