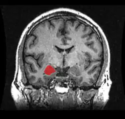
Миндалевидное тело
| Миндалевидное тело | |
|---|---|
| |
| |
| Каталоги | |
Миндалевидное тело (лат. corpus amygdaloideum), ами́гдала[1] — область мозга миндалевидной формы, находящаяся в белом веществе височной доли полушария под скорлупой, примерно на 1,5—2,0 см сзади от височного полюса. В мозге два миндалевидных тела — по одному в каждом полушарии[2]. Миндалевидное тело играет ключевую роль в формировании эмоций, в частности, страха. У пациента, миндалевидное тело которого оказалось полностью разрушено вследствие болезни Урбаха — Вите, наблюдалось отсутствие страха[3][4][5]. Миндалевидное тело также играет важную роль в функционировании памяти, принятии решений и эмоциональных реакциях[6]. Миндалевидное тело является частью лимбической системы, относится к подкорковым обонятельным центрам.
Структура

Области мозга, называемые миндалевидными ядрами, включают несколько структур со схожими функциональными характеристиками у человека и животных[7]. В число этих структур входит базолатеральный комплекс, ядра коры, срединное ядро, центральное ядро и клетки интерстиция. Базолатеральный комплекс, в свою очередь, делится на латеральное, базальное и добавочное ядра[6][8][9]. Анатомически миндалевидное тело[10], в частности, его центральное и медиальное ядра[11], иногда включаются в состав базальных ганглиев.

Различия в полушариях мозга
Правое и левое миндалевидные тела различаются по функциям. Исследование показало, что электростимуляция правой миндалины вызывали негативные эмоции, преимущественно страх и грусть. Стимуляция левой миндалины, напротив, вызывала в основном положительные эмоции (счастье) и лишь изредка — отрицательные[12]. Другое исследование доказывает, что миндалевидное тело играет роль в человеческой системе самопоощрения[13].
Каждое полушарие имеет определенную специализацию в восприятии и обработке информации. Правое и левое миндалевидное тело имеют автономные системы памяти, но функционируют совместно для хранения, кодировки и интерпретации информации об эмоциях.
Миндалевидное тело справа отвечает за формирование страха и волнения. Страх связан с фобией и для каждого выражается по своему. Так же участвует в формировании ярости и злости, которые помогают в принятии сложных решений и силовом спорте. Важную роль играет в построении постоянной памяти с левым миндалевидным телом. Особенностью является оболочка пространства-времени, которая создает осознанное воспоминание, с временем и местом действия. Изучение правого миндалевидного тела приводит к пониманию физических наук.
Правое полушарие также связано с долговременной памятью, которая состоит из фактов и информации о ранее пережитых событиях, воспоминания о которых могут быть вызваны осознанно. Также оно играет значительную роль в кратковременной памяти. Кратковременная память включает автобиографические аспекты памяти, которые позволяют воскресить в памяти эмоциональные и тактильные ощущения, которые испытывались в конкретный момент. Этот тип памяти может не быть осознанным. Правое миндалевидное тело играет роль в ассоциации времени и места с принадлежностью каких-либо эмоциональных переживаний[14].
Развитие
За несколько лет миндалевидное тело претерпевает значительные изменения как у мужчин, так и у женщин[15]. У женщин миндалевидное тело развивается быстрее, достигая пика своего развития на полтора года раньше, чем у мужчин. Возможно, более позднее развитие у мужчин обусловлено тем, что мужское миндалевидное тело больше, чем женское.
Половые различия также могут быть обусловлены различиями в гормональном фоне и строении нервной системы у мужчин и женщин. В миндалевидном теле содержится большое количество андрогеновых рецепторов — ядерных рецепторов, связывающих тестостерон. Андрогеновые рецепторы играют роль в синтезе ДНК, которая отвечает за экспрессию генов. Хотя тестостерон и присутствует у женщин в небольших количествах, уровни его содержания гораздо ниже, чем у мужчин. Обилие тестостерона в мужском организме влияет на развитие миндалевидного тела. Вдобавок, объём серого вещества в миндалине можно предсказать по уровню тестостерона. Это также является причиной увеличенного размера миндалины у мужчин.
Различия в развитии прослеживаются не только у лиц разного пола. Правое и левое миндалевидные тела также развиваются по-разному. Левое миндалевидное тело достигает пика развития на 1,5-2 года раньше, чем правое. Несмотря на раннее развитие левой миндалины, правая продолжает увеличиваться в объёме длительное время. Правое миндалевидное тело отвечает за страх и распознавание лиц. Раннее развитие левой миндалины обеспечивает способность реагировать на опасности в детском возрасте[15]. Даже в детстве миндалевидное тело обеспечивает разную реакцию на противоположный и на одноимённый пол. В пубертатном периоде эта разница в реакциях увеличивается в несколько раз[16].
Половые различия
Миндалевидное тело — одна из наиболее изученных областей мозга в отношении разницы между полами. У мужского пола миндалевидное тело больше в детском[17], взрослом возрасте[18], а также у взрослых крыс[19][уточнить](у самцов или самок крыс? А у других животных?).
Кроме разницы в размерах, существуют другие различия между полами. Была изучена активация миндалевидного тела при просмотре фильмов ужасов у мужчин и женщин. Результаты исследования показали, что у разных полов активируются различные полушария. Повышенная активность наблюдалась у мужчин в правом полушарии, в то время как у женщин — в левом[20]. Также исследования показали, что женщины в среднем запоминают эмоционально насыщенные события лучше, чем мужчины[21].
Правое миндалевидное тело также связано с функцией принятия решений и генерацией негативных эмоций[22], что может объяснить, почему часто мужчины реагируют на стрессовые ситуации демонстрацией физической силы. Левое миндалевидное тело в большей степени вызывает воспоминания о деталях стрессового события, провоцирует больше мысленную реакцию, нежели физическую.
Функции
Связи с другими отделами мозга
Миндалевидное тело посылает импульсы в гипоталамус, дорсомедиальный таламус, ретикулярное таламическое ядро, ядра тройничного и лицевого нервов, вентральной области покрышки, голубого пятна и дорсолатерального ядра покрышки[8]. Медиальное ядро вовлекается в процесс обоняния и восприятия феромонов. Оно получает информацию от обонятельной луковицы и обонятельной коры[23]. Латеральное ядро, которое посылает импульсы базолатеральному комплексу и центромедиальному ядру, получает информацию от органов чувств. Эти структуры также задействованы в возникновении эмоций у крыс и кошек[8][9][24].

Эмоциональные рефлексы
У высших позвоночных, в том числе человека, миндалевидное тело играет важнейшую роль в формировании и хранении воспоминаний автобиографической памяти, связанных с эмоционально окрашенными событиями. Исследования показывают, что при формировании условного рефлекса страха стимулы достигают базолатеральных комплексов миндалины, особенно латерального ядра, где происходит обработка и запоминание подобных стимулов. Ассоциация между стимулами и неприятными последствиями, которые за ними следуют, может быть обусловлена долгосрочным потенцированием[25][26], то есть устойчивым усилением сигнала между задействованными нейронами[27][28].
Считается, что память об эмоциях остаётся в синапсах по всему мозгу. Например, память об испытанном страхе хранится в синапсах латерального ядра миндалины, центральном ядре и ядре терминальной полоски. Разумеется, это не единственная зона воспоминаний о страхе[29]. Центральное ядро вместе с гиппокампом также вовлекаются в процессы создания рефлексов самосохранения и оборонительного поведения, реакций вегетативной нервной системы, а также эндокринных процессов (выброс гормона стресса). Повреждение миндалевидного тела приводит к нарушению формирования условного рефлекса страха[27].
Миндалины также вовлекаются в процессы формирования аппетита. Нарушения в работе миндалевидного тела у крыс показали снижение обучения, стимулируемого пищей[30][31]. Повреждения одного только базолатерального ядра не вызывали подобного эффекта[32]. Данное исследование доказывает, что разные ядра миндалины играют разную роль в формировании рефлексов, связанных с аппетитом[33][34]. Базолатеральное ядро также играет роль в обучении с помощью обонятельных стимулов. Например, нелетучие феромоны вызывают у мышей активацию вомероназальной системы, в то время как летучие феромоны — только обонятельной[35][36].
Модуляция памяти
Миндалевидное тело также вовлекается в процессы формирования долгосрочной памяти. Долгосрочная память формируется после процесса обучения только через некоторое время. Информация постепенно переходит из краткосрочной памяти в долгосрочную с помощью механизма долгосрочного потенцирования. Исследования показывают, что миндалина регулирует процессы запоминания в других областях мозга. Формирование условного рефлекса страха также обусловлено долгосрочным потенцированием[25][26].
Оказывается, чем сильнее эмоциональное потрясение, сопровождавшее какое-либо событие, тем ярче будут воспоминания об этом событии. Обучение, сопровождающееся эмоциями, будет дольше удерживаться в памяти. Эксперименты показали, что при обучении мышей введение им гормона стресса усиливало эффективность обучения[37]. Обучение в подобных экспериментах включало в себя типичные задания для формирования условного рефлекса, например, формирование избегания определённого раздражителя, такого как удар током, или более сложные задания, например, прохождение лабиринта. Инъекции препаратов, активирующих миндалевидное тело, способствовали лучшему запоминанию заданий[38].
Буддистские монахи, занимающиеся медитацией, провоцировали активность миндалевидного тела и островка[39], причём более высокая активность миндалины регистрировалась у опытных монахов[40][41].
Более эмоционально окрашенная информация усиливает активность миндалины, что напрямую коррелирует с удержанием информации. Нейроны миндалины генерируют различные колебания, такие как тета-волны. Подобная активность нейронов может провоцировать синаптическую мобильность (пластичность), увеличивая число связей между участками новой коры и височной доли, которые участвуют в формировании памяти[42].
Исследование с применением теста Роршаха показало, что число оригинальных интерпретаций картинок теста выше у людей с большим миндалевидным телом. Творческая активность мозга, таким образом, может быть связана с размерами миндалевидного тела[43].

Нейрофизиологические основы функционирования
Ранние исследования на приматах дали первые объяснения механизмов функционирования миндалины, а также базу для дальнейших исследований. В 1888 году макаки-резус с удаленной височной корой исследовались на нарушение каких-либо нервных функций[44]. Генрих Клювер и Пауль Бюси в дальнейшем расширили данное исследование удалением передней височной доли и отметили гиперреактивность, гиперэмоциональность, потерю страха, гиперсексуальность и гипероральность (склонность класть в ротовую полость посторонние предметы) у подопытных. Некоторые обезьяны были не способны узнавать знакомые объекты, демонстрировали полное отсутствие страха перед экспериментаторами. Данное расстройство поведения было названо синдромом Клювера-Бюси[45], и дальнейшие исследования показали, что данные реакции были обусловлены отсутствием миндалевидного тела. У макак-матерей наблюдалось нарушение материнских рефлексов[46]. В 1981 было обнаружено, что повреждение миндалины радио-волнами также вызывает синдром Клювера-Бюси[47]. Нейротрофический фактор мозга (BDNF) играет огромную роль в питании, в росте и поддерживании правильной функции миндалевидного тела (авторы — Nakahashi T., Fujimura U., Altar C.A. et al. заглавие — Vascular endothelial cells synthesize and secret brain-derived neurotrofic factor //FEBS Lett.2000. Vol. 470, N 2.P. (страницы 113-117).
С развитием технологии МРТ нейрофизиологи сделали несколько важных открытий относительно миндалевидного тела. Нарушения функций миндалины ведут к различным психическим расстройствам. У детей с тревожными расстройствами наблюдалось уменьшение левого миндалевидного тела. Применение препаратов-антидепрессантов давало увеличение левой миндалины[48]. Левое миндалевидное тело также играет роль в социофобии, обсессивно-компульсивных расстройствах, посттравматическом стрессе и общей тревожности. В 2003 году у пациентов с пограничным расстройством личности было зарегистрировано увеличение левой миндалины. Некоторые подобные пациенты с трудом отличали нейтральное выражение лиц на картинке от лиц, выражающих испуг[49]. У лиц с психопатией наблюдались сниженные вегетативные реакции[50]. Гиперактивность миндалины регистрировалась при просмотре картинок с испуганными лицами. Пациенты с социофобией проявляли повышенную активность миндалины[51]. Пациенты с депрессией показывали повышение активности при наблюдении испуганных лиц, но данные эффекты купировались приёмом антидепрессантов[52].
У пациентов с биполярным расстройством миндалевидное тело меньше, чем у здоровых людей[53]. Многие исследования доказывают связь миндалевидного тела с аутизмом[54].
Исследования в 2004 и 2006 году показали, что у пациентов, которым показывали испуганные лица представителей других рас, наблюдалось повышение активности миндалевидного тела, даже если показанные картинки не достигали области сознания и воспринимались только на уровне подсознания[55][56]. В то же время миндалевидное тело не является решающим в формировании реакции страха. У лиц с двусторонним удалением миндалины наблюдается достаточно быстрая реакция на устрашающие картинки[57].
Последние исследования показывают, что паразиты, в особенности токсоплазма, откладывают цисты в миндалевидном теле. Это провоцирует развитие специфических расстройств, таких как паранойя у зараженных людей[58].
Также предполагается, что миндалевидное тело может участвовать в формировании положительных эмоций путем взаимодействия с другими областями мозга[59].
Сексуальная ориентация
Последние исследования показали наличие зависимости состояния миндалевидного тела и сексуальной ориентации человека. У гомосексуальных мужчин миндалина работает больше по женскому типу (преобладает левая), а у гомосексуальных женщин она больше работает по мужскому типу (преобладает правая)[60][61].
Социальные взаимодействия
Размер миндалины прямо пропорционально коррелирует с размером (количеством контактов) и сложностью (количество социальных групп, к которым принадлежит человек) сети социальных взаимодействий человека[62][63]. Чем больше миндалина, тем сложнее сеть социальных взаимодействий. Люди с большим миндалевидным телом способны лучше запоминать и оценивать внешность других людей[64]. Также миндалевидное тело принимает участие в распознавании эмоций по выражению лица. Но участия в определении направления взгляда рассматриваемого человека оно не принимает[65][66].
Эмоциональный интеллект человека также зависит от миндалевидного тела. Предположительно, большой размер миндалины позволяет лучше интегрироваться в общество и общаться с людьми[67].
Миндалевидное тело отвечает за реакции, касающиеся нарушения личного пространства человека. Эти реакции отсутствуют у лиц с повреждениями данной области мозга[68].
Агрессия
Исследования на животных показали, что миндалевидное тело возбуждает как сексуальное, так и агрессивное поведение. В то же время удаление миндалины приводит к угнетению этих функций. Это доказывает, что миндалевидное тело участвует в формировании агрессии[69].
Страх
Регистрировались случаи двустороннего отсутствия миндалевидного тела у пациентов с редким заболеванием — болезнью Урбаха — Вите[70][71]. В обычной жизни такие пациенты не способны испытывать страх, что доказывает незаменимую роль миндалевидного тела в генерации страха[72]. Лишь в 2013 году найден способ испугать таких больных: для этого надо подвергнуть их ингаляции воздуха с высоким содержанием углекислого газа — около 35 процентов[73][74].
Алкоголизм
Миндалевидное тело играет роль в развитии алкоголизма, так как повреждается под действием интоксикации и последствий опьянения[75]. Алкоголизм притупляет реакции мозга, ответственные за эмоциональное восприятие[76]. Протеинкиназа C в миндалевидном теле ответственна за реакцию организма на этанол, морфин и регуляцию поведения. Этот белок вовлекается в контроль функционирования других белков и играет роль в развитии толерантности к большим количествам алкоголя[77][78].
Тревожность
Возможно существование связи между миндалевидным телом и тревожностью[79]. Например, тревожным расстройствам чаще подвержены женщины. В одном эксперименте детёныши дегу отнимались у их матерей, но оставались от них на достаточном расстоянии, чтобы слышать их призывные звуки. В ответ на данные условия у особей мужского пола наблюдалась повышенная продукция серотониновых рецепторов миндалевидного тела, в то время как женские особи их теряли. Таким образом, мужские особи были менее подвержены стрессу.
Группы клеток миндалевидного тела активируются при ощущении страха или агрессии. Это происходит потому, что миндалевидное тело отвечает за рефлекс борьбы. Тревожные и панические атаки могут происходить в те моменты, когда на миндалевидное тело действуют раздражители, провоцирующие организм на вступление в схватку.
Миндалевидное тело напрямую ассоциировано с условным страхом. Условный страх — это определение, используемое для описания поведения, возникающего при сочетании нейтрального раздражителя с раздражителем, провоцирующим страх. Миндалевидное тело является центральным звеном ядра страха в организме. Страх измеряется изменением вегетативной активности, включая повышение сердцебиения, повышенное давление крови, а также рефлексы моргания и вздрагивания.
Центральное ядро миндалевидного тела имеет прямые связи с гипоталамусом и стволом мозга — зонами, ответственными за страх. Эта связь подтверждена исследованиями, в которых у животных удалялось миндалевидное тело. Животные с удалённой миндалиной показывали более слабую реакцию на раздражители и демонстрировали нехарактерное для данного вида поведение.
Чувство тревоги запускается катализатором (триггером) — внешним стимулом, который провоцирует стресс и вызывает отрицательные эмоции. Такими триггерами могут быть определённые запахи, картинки и внутренние чувства, обычно связанные со стрессовыми событиям, воспоминания о которых сохранились в памяти. Миндалевидное тело готовит организм к двум возможным программам действий: стоять и сражаться с опасностью или же развернуться и убежать. Лучшее понимание роли миндалины в регуляции тревожности может привести к открытию новых способов лечения тревожных расстройств[80].
Посттравматическое стрессовое расстройство
Существует связь между работой миндалевидного тела и реакций мозга на посттравматические состояния. Многие исследования доказывают, что за посттравматический стрессовый синдром может быть ответственно миндалевидное тело. У пациентов с данным синдромом наблюдался всплеск активности миндалевидного тела, когда им показывали картинки с изображенными на них людьми, испытывающими страх[81].
Биполярное расстройство
Дисфункция миндалевидного тела в формировании выражений лица подробно описана для биполярного расстройства. Пациентам с биполярным расстройством свойственна повышенная активность миндалевидного тела[82][83].
Политическая ориентация
Исследование на 90 участниках показало корреляционную связь размера миндалевидного тела с политическими взглядами. В результатах проведённого в 2011 году опыта его авторы связывают повышенный объём серого вещества в коре пояса мозга со склонностью к либерализму, а повышенный объём серого вещества в правом миндалевидном теле — c консервативными взглядами[84].
См. также
Литература
- Анатомия человека. Сапин Михаил Романович, Швецов Эдуард, Феникс, 2008 г. ISBN 5-222-04099-2
- Основы нейрофизиологии: Учебное пособие для студентов вузов, Шульговский В. В. Ш95 . — М.: Аспект Пресс, 2000. с. 277. ISBN 5-7567-0134-6
- Neurophysiology: A Conceptual Approach, Fifth Edition 5th. Roger Carpenter, Benjamin Reddi ISBN 978-1444135176
- Amygdala Joseph E. LeDoux, Scholarpedia, 3(4):2698. doi:10.4249/scholarpedia.2698
Примечания
- ↑ орфоэпия - Ударение в слове "амигдала" - Русский язык
- ↑ University of Idaho College of Science. amygdala (2004). Дата обращения: 15 марта 2007. Архивировано 31 марта 2007 года.
- ↑ Feinstein, Adolphs, Damasio and Tranel The Human Amygdala and the Induction and Experience of Fear Архивная копия от 6 марта 2011 на Wayback Machine — Current Biology, Published online: December 16, 2010
- ↑ Richard Alleyne A woman with no fear could help traumatised soldiers Архивная копия от 15 марта 2014 на Wayback Machine — The Telegraph, 16.12.10
- ↑ Уникальный случай: в США живёт женщина, не испытывающая страха Архивная копия от 22 декабря 2010 на Wayback Machine — NEWSru.com, 17.12.10
- 1 2 Amunts K., Kedo O., Kindler M., Pieperhoff P., Mohlberg H., Shah N., Habel U., Schneider F., Zilles K. Cytoarchitectonic mapping of the human amygdala, hippocampal region and entorhinal cortex: intersubject variability and probability maps (англ.) // Anat Embryol (Berl) : journal. — 2005. — Vol. 210, no. 5—6. — P. 343—352. — doi:10.1007/s00429-005-0025-5. — PMID 16208455.
- ↑ Bzdok D, Laird A, Zilles K, Fox PT, Eickhoff S.: An investigation of the structural, connectional and functional sub-specialization in the human amygdala. Human Brain Mapping, 2012.
- 1 2 3 Ben Best. The Amygdala and the Emotions (2004). Дата обращения: 15 марта 2007. Архивировано 9 марта 2007 года.
- 1 2 Solano-Castiella E., Anwander A., Lohmann G., Weiss M., Docherty C., Geyer S., Reimer E., Friederici A. D., Turner R. Diffusion tensor imaging segments the human amygdala in vivo (англ.) // NeuroImage : journal. — 2010. — Vol. 49, no. 4. — P. 2958—2965. — doi:10.1016/j.neuroimage.2009.11.027. — PMID 19931398.
- ↑ See Amygdala Архивная копия от 7 мая 2008 на Wayback Machine in the BrainInfo database
- ↑ Larry W. Swanson; Gorica D. Petrovich. What is the amygdala? (англ.) // Trends in Neurosciences : journal. — Cell Press, 1998. — August (vol. 21, no. 8). — P. 323—331. — doi:10.1016/S0166-2236(98)01265-X.
- ↑ Lanteaume, L. et al. Emotion induction after direct intracerebral stimulations of human amygdala (англ.) // Cerebral Cortex : journal. — 2007. — June (vol. 17, no. 6). — P. 1307—1313. — doi:10.1093/cercor/bhl041. — PMID 16880223.
- ↑ Murray, Elizabeth A. et al. Amygdala function in positive reinforcement // The Human Amygdala (неопр.). — Guilford Press, 2009.
- ↑ Markowitsch, H. (1998). Differential contribution of right and left amygdala to affective information processing. IOS Press. 11(4), 233—244.
- 1 2 Uematsu, A.; Matsui, M.; Tanaka, C.; Takahashi, T.; Noguchi, K.; Suzuki, M.; Nishijo, H. Developmental trajectories of amygdala and hippocampus from infancy to early adulthood in healthy individuals (англ.) // PLOS One : journal. — 2012. — Vol. 7. — P. e46970. — doi:10.1371/journal.pone.0046970.
- ↑ Telzer, E. H.; Flannery, J.; Humphreys, K. L.; Goff, B.; Gabard-Durman, L.; Gee, D. G.; Tottenham, N. 'The cooties effect': Amygdala reactivity to opposite- versus same-sex faces declines from childhood to adolescence (англ.) // Journal Of Cognitive Neuroscience : journal. — 2015. — Vol. 27, no. 9. — P. 1685—1696. — doi:10.1162/jocn_a_00813.
- ↑ Caviness, V. S.; Kennedy, D. N.; Richelme, C.; Rademacher, J.; Filipek, P. A. The Human Brain Age 7–11 Years: A Volumetric Analysis Based on Magnetic Resonance Images (англ.) // Cerebral Cortex : journal. — 1996. — Vol. 6, no. 5. — P. 726—736. — doi:10.1093/cercor/6.5.726. — PMID 8921207.
- ↑ Goldstein, J. M.; Seidman, LJ; Horton, NJ; Makris, N; Kennedy, DN; Caviness Jr, VS; Faraone, SV; Tsuang, M. T. Normal Sexual Dimorphism of the Adult Human Brain Assessed by in Vivo Magnetic Resonance Imaging (англ.) // Cerebral Cortex : journal. — 2001. — Vol. 11, no. 6. — P. 490—497. — doi:10.1093/cercor/11.6.490. — PMID 11375910.
- ↑ Hines, Melissa; Allen, Laura S.; Gorski, Roger A. Sex differences in subregions of the medial nucleus of the amygdala and the bed nucleus of the stria terminalis of the rat (англ.) // Brain Research : journal. — 1992. — Vol. 579, no. 2. — P. 321—326. — doi:10.1016/0006-8993(92)90068-K. — PMID 1352729.
- ↑ Cahill, L; Haier, RJ; White, NS; Fallon, J; Kilpatrick, L; Lawrence, C; Potkin, SG; Alkire, M. T. Sex-Related Difference in Amygdala Activity during Emotionally Influenced Memory Storage (англ.) // Neurobiology of Learning and Memory : journal. — 2001. — Vol. 75, no. 1. — P. 1—9. — doi:10.1006/nlme.2000.3999. — PMID 11124043.
- ↑ Hamann, Stephan. Sex Differences in the Responses of the Human Amygdala (англ.) // Neuroscience : journal. — Elsevier, 2005. — Vol. 11, no. 4. — P. 288—293. — doi:10.1177/1073858404271981. — PMID 16061516.
- ↑ Lanteaume, L.; Khalfa, S.; Régis, J.; Marquis, P.; Chauvel, P.; Bartolomei, F. Emotion Induction After Direct Intracerebral Stimulations of Human Amygdala (англ.) // Cerebral Cortex : journal. — 2006. — Vol. 17, no. 6. — P. 1307—1313. — doi:10.1093/cercor/bhl041. — PMID 16880223.
- ↑ Carlson, Neil. Physiology of behavior (неопр.). — Pearson, 2012. — С. 336. — ISBN 978-0205239399.
- ↑ Groshek, Frank; Kerfoot, Erin; McKenna, Vanessa; Polackwich, Alan S.; Gallagher, Michela; Holland, Peter C. Amygdala Central Nucleus Function is Necessary for Learning, but Not Expression, of Conditioned Auditory Orienting (англ.) // Behavioral Neuroscience : journal. — 2005. — Vol. 119, no. 1. — P. 202—212. — doi:10.1037/0735-7044.119.1.202. — PMID 15727525. — PMC 1255918.
- 1 2 Maren. Long-term potentiation in the amygdala: a mechanism for emotional learning and memory (англ.) // Trends Neurosci : journal. — 1999. — December (vol. 22, no. 12). — P. 561—567. — doi:10.1016/S0166-2236(99)01465-4. — PMID 10542437.
- 1 2 Blair, H. T. Synaptic Plasticity in the Lateral Amygdala: A Cellular Hypothesis of Fear Conditioning (англ.) // Learning & Memory : journal. — 2001. — Vol. 8, no. 5. — P. 229—242. — doi:10.1101/lm.30901.
- 1 2 Ressler, Kerry; Davis, Michael. Genetics of Childhood Disorders: L. Learning and Memory, Part 3: Fear Conditioning (англ.) // Journal of the American Academy of Child & Adolescent Psychiatry : journal. — 2003. — Vol. 42, no. 5. — P. 612—615. — doi:10.1097/01.CHI.0000046835.90931.32. — PMID 12707566.
- ↑ Carlson, Neil R. Physiology of Behavior (неопр.). — Pearson, 2012. — С. 364. — ISBN 978-0205239399.
- ↑ Carlson, Neil R. Physiology of Behavior (англ.). — Pearson, 2012. — P. 453. — ISBN 978-0205239399.
- ↑ Paton, Joseph J.; Belova, Marina A.; Morrison, Sara E.; Salzman, C. Daniel. The primate amygdala represents the positive and negative value of visual stimuli during learning (англ.) // Nature : journal. — 2006. — Vol. 439, no. 7078. — P. 865—870. — doi:10.1038/nature04490. — PMID 16482160. — PMC 2396495.
- ↑ Redondo, RL; Kim, J; Arons, AL; Ramirez, S; Liu, X; Tonegawa, S. Bidirectional switch of the valence associated with a hippocampal contextual memory engram (англ.) // Nature : journal. — 2014. — Vol. 513. — P. 426—430. — doi:10.1038/nature13725. — PMID 25162525. — PMC 4169316.
- ↑ Parkinson, John A.; Robbins, Trevor W.; Everitt, Barry J. Dissociable roles of the central and basolateral amygdala in appetitive emotional learning (англ.) // European Journal of Neuroscience : journal. — 2000. — Vol. 12, no. 1. — P. 405—413. — doi:10.1046/j.1460-9568.2000.00960.x. — PMID 10651899.
- ↑ See recent TINS article by Balleine and Killcross (2006)[уточнить]
- ↑ Killcross S., Robbins T., Everitt B. Different types of fear-conditioned behaviour mediated by separate nuclei within amygdala (англ.) // Nature : journal. — 1997. — Vol. 388, no. 6640. — P. 377—380. — doi:10.1038/41097. — PMID 9237754.
- ↑ Moncho-Bogani, J; Lanuza, E; Hernández, A; Novejarque, A; Martínez-García, F. Attractive properties of sexual pheromones in mice: innate or learned? (англ.) // Physiology & Behavior : journal. — Elsevier, 2002. — September (vol. 77, no. 1). — P. 167—176. — doi:10.1016/s0031-9384(02)00842-9.
- ↑ Moncho-Bogani, J; Martinez-Garcia, F; Novejarque, A; Lanuza, E. Attraction to sexual pheromones and associated odorants in female mice involves activation of the reward system and basolateral amygdala (англ.) // Eur J Neurosci : journal. — 2005. — April (vol. 21, no. 8). — P. 2186—2198. — doi:10.1111/j.1460-9568.2005.04036.x.
- ↑ [«Researchers Prove A Single Memory Is Processed In Three Separate Parts Of The Brain» http://www.sciencedaily.com/releases/2006/02/060202182107.htm Архивная копия от 12 сентября 2017 на Wayback Machine]
- ↑ Ferry B., Roozendaal B., McGaugh J. Role of norepinephrine in mediating stress hormone regulation of long-term memory storage: a critical involvement of the amygdala (англ.) // Biol Psychiatry : journal. — 1999. — Vol. 46, no. 9. — P. 1140—1152. — doi:10.1016/S0006-3223(99)00157-2. — PMID 10560021.
- ↑ «Cultivating compassion: Neuroscientific and behavioral approaches» a talk given by Richard J. Davidson found online at Archived copy. Дата обращения: 4 июля 2010. Архивировано 14 июля 2010 года.
- ↑ Lutz, Antoine; Brefczynski-Lewis, Julie; Johnstone, Tom; Davidson, Richard J. Regulation of the Neural Circuitry of Emotion by Compassion Meditation: Effects of Meditative Expertise (англ.) // PLoS ONE : journal / Baune, Bernhard. — 2008. — Vol. 3, no. 3. — P. e1897. — doi:10.1371/journal.pone.0001897. — PMID 18365029. — PMC 2267490.
- ↑ Hutcherson, Cendri A.; Seppala, Emma M.; Gross, James J. Loving-kindness meditation increases social connectedness (англ.) // Emotion : journal. — 2008. — Vol. 8, no. 5. — P. 720—724. — doi:10.1037/a0013237. — PMID 18837623.
- ↑ Paré D.; Collins D.R.; Pelletier J.G. Amygdala oscillations and the consolidation of emotional memories (англ.) // Trends in Cognitive Sciences : journal. — Cell Press, 2002. — Vol. 6, no. 7. — P. 306—314. — doi:10.1016/S1364-6613(02)01924-1. — PMID 12110364.
- ↑ Asari T., Konishi S., Jimura K., Chikazoe J., Nakamura N., Miyashita Y. Amygdalar enlargement associated with unique perception (неопр.) // Cortex. — 2010. — Т. 46, № 1. — С. 94—99. — doi:10.1016/j.cortex.2008.08.001. — PMID 18922517.
- ↑ Brown, S.; Shafer, E. An investigation into the functions of the occipital and temporal lobes of the monkey's brain (англ.) // Philosophical Transactions of the Royal Society B : journal. — 1888. — Vol. 179. — P. 303—327. — doi:10.1098/rstb.1888.0011.
- ↑ Kluver, H.; Bucy, P. Preliminary analysis of function of the temporal lobe in monkeys (англ.) // JAMA : journal. — 1939. — Vol. 42, no. 6. — P. 979—1000. — doi:10.1001/archneurpsyc.1939.02270240017001.
- ↑ Bucher, K.; Myersn, R.; Southwick, C. Anterior temporal cortex and maternal behaviour in monkey (англ.) // Neurology : journal. — Wolters Kluwer, 1970. — Vol. 20, no. 4. — P. 415. — doi:10.1212/wnl.20.4.402. — PMID 4998075.
- ↑ Aggleton, JP.; Passingham, RE. Syndrome produced by lesions of the amygdala in monkeys (Macaca mulatta) (англ.) // Journal of Comparative and Physiological Psychology : journal. — 1981. — Vol. 95, no. 6. — P. 961—977. — doi:10.1037/h0077848. — PMID 7320283.
- ↑ http://pn.psychiatryonline.org/content/40/9/37.full (недоступная+ссылка)%5Bуточнить+источник%5D
- ↑ Donegan, Nelson H; Sanislow, CA; Blumberg, HP; Fulbright, RK; Lacadie, C; Skudlarski, P; Gore, JC; Olson, IR; McGlashan, TH; E., Bruce. Amygdala hyperreactivity in borderline personality disorder: implications for emotional dysregulation (англ.) // Biological Psychiatry : journal. — 2003. — Vol. 54, no. 11. — P. 1284—1293. — doi:10.1016/S0006-3223(03)00636-X. — PMID 14643096.
- ↑ R. J. R. Blair. The amygdala and ventromedial prefrontal cortex: functional contributions and dysfunction in psychopathy (англ.) // Philosophical Transactions of the Royal Society B: Biological Sciences : journal. — 2008. — 23 April (vol. 363, no. 1503). — P. 2557—2565. — doi:10.1098/rstb.2008.0027. — PMID 18434283. — PMC 2606709.
- ↑ Studying Brain Activity Could Aid Diagnosis Of Social Phobia Архивная копия от 25 августа 2017 на Wayback Machine. Monash University. 19 January 2006.
- ↑ Sheline; Barch, DM; Donnelly, JM; Ollinger, JM; Snyder, AZ; Mintun, M. A. et al. Increased amygdala response to masked emotional faces in depressed subjects resolves with antidepressant treatment: an fMRI study (англ.) // Biological Psychiatry : journal. — 2001. — Vol. 50, no. 9. — P. 651—658. — doi:10.1016/S0006-3223(01)01263-X. — PMID 11704071.
- ↑ Blumberg; Kaufman, J; Martin, A; Whiteman, R; Zhang, JH; Gore, JC; Charney, DS; Krystal, JH; Peterson, B. S. et al. Amygdala and hippocampal volumes in adolescents and adults with bipolar disorder (англ.) // JAMA : journal. — 2003. — Vol. 60, no. 12. — P. 1201—1208. — doi:10.1001/archpsyc.60.12.1201. — PMID 14662552.
- ↑ Schultz R. T. Developmental deficits in social perception in autism: the role of the amygdala and fusiform face area (англ.) // Int J Dev Neurosci : journal. — 2005. — Vol. 23, no. 2—3. — P. 125—141. — doi:10.1016/j.ijdevneu.2004.12.012. — PMID 15749240.
- ↑ Williams, Leanne M.; Belinda J. Liddell; Andrew H. Kemp; Richard A. Bryant; Russell A. Meares; Anthony S. Peduto; Evian Gordon. Amygdala-prefrontal dissociation of subliminal and supraliminal fear (англ.) // Human Brain Mapping : journal. — 2006. — Vol. 27, no. 8. — P. 652—661. — doi:10.1002/hbm.20208. — PMID 16281289.
- ↑ Brain Activity Reflects Complexity Of Responses To Other-race Faces Архивная копия от 7 июля 2019 на Wayback Machine, Science Daily, 14 December 2004
- ↑ Tsuchiya N., Moradi F., Felsen C., Yamazaki M., Adolphs R. Intact rapid detection of fearful faces in the absence of the amygdala (англ.) // Nature Neuroscience : journal. — 2009. — Vol. 12, no. 10. — P. 1224—12225. — doi:10.1038/nn.2380. — PMID 19718036. — PMC 2756300.
- ↑ Vyas; Kim, SK; Giacomini, N; Boothroyd, JC; Sapolsky, R. M. et al. Behavioral changes induced by Toxoplasma infection of rodents are highly specific to aversion of cat odors (англ.) // Proceedings of the National Academy of Sciences of the United States of America : journal. — 2007. — Vol. 104, no. 15. — P. 6442—6447. — doi:10.1073/pnas.0608310104. — PMID 17404235. — PMC 1851063.
- ↑ Gazzaniga, M.S., Ivry, R.B., & Mangun, G.R. (2009). Cognitive neuroscience: the biology of the mind. NY: W.W.Norton&Company.[страница не указана 4313 дней]
- ↑ Swaab, D. F. Sexual orientation and its basis in brain structure and function (англ.) // Proceedings of the National Academy of Sciences of the United States of America : journal. — 2008. — Vol. 105, no. 30. — P. 10273—10274. — doi:10.1073/pnas.0805542105. — PMID 18653758. — PMC 2492513.
- ↑ Swaab, Dick F. Sexual differentiation of the brain and behavior (англ.) // Best Practice & Research Clinical Endocrinology & Metabolism. — 2007. — Vol. 21, no. 3. — P. 431—444. — doi:10.1016/j.beem.2007.04.003. — PMID 17875490.
- ↑ Bickart, Kevin C; Wright, Christopher I; Dautoff, Rebecca J; Dickerson, Bradford C; Barrett, Lisa Feldman. Amygdala volume and social network size in humans (англ.) // Nature Neuroscience : journal. — 2010. — Vol. 14, no. 2. — P. 163—164. — doi:10.1038/nn.2724. — PMID 21186358. — PMC 3079404.
- ↑ Szalavitz, Maia. How to Win Friends: Have a Big Amygdala? Time (28 декабря 2010). Дата обращения: 30 декабря 2010. Архивировано 17 июля 2011 года.
- ↑ Bzdok, D.; Langner, R.; Caspers, S.; Kurth, F.; Habel, U.; Zilles, K.; Laird, A.; Eickhoff, Simon B. ALE meta-analysis on facial judgments of trustworthiness and attractiveness (англ.) // Brain Structure and Function : journal. — 2010. — Vol. 215, no. 3—4. — P. 209—223. — doi:10.1007/s00429-010-0287-4. — PMID 20978908. — PMC 4020344.
- ↑ Mormann, F.; Niediek, J.; Tudusciuc, O.; Quesada, C. M.; Coenen, V. A.; Elger, C. E.; Adolphs, R. Neurons in the human amygdala encode face identity, but not gaze direction (англ.) // Nature Neuroscience : journal. — 2015. — Vol. 18, no. 11. — P. 1568—1570. — doi:10.1038/nn.4139. — PMID 26479589. — PMC 4624486.
- ↑ Huijgen, J.; Dinkelacker, V.; Lachat, F.; Yahia-Cherif, L.; El Karoui, I.; Lemaréchal, J.; George, N. Amygdala processin of social cues from faces: An intracrebral EEG study (англ.) // Social Cognitive And Affective Neuroscience : journal. — 2015. — Vol. 10, no. 11. — P. 1568—1576.
- ↑ Buchanan, T.W., Tranel, D. & Adolphs, R. in The Human Amygdala (eds. Whalen, P.J. & Phelps, E.A.) 289—318 (Guilford, New York, 2009).
- ↑ Kennedy D. P., Gläscher J., Tyszka J. M., Adolphs R. Personal space regulation by the human amygdala (англ.) // Nature Neuroscience : journal. — 2009. — Vol. 12, no. 10. — P. 1226—1227. — doi:10.1038/nn.2381. — PMID 19718035. — PMC 2753689.
- ↑ T.L. Brink. (2008) Psychology: A Student Friendly Approach. «Unit 4: The Nervous System.» pp 61 Архивная копия от 3 марта 2016 на Wayback Machine
- ↑ Feinstein, Justin S.; Adolphs, Ralph; Damasio, Antonio; Tranel, Daniel. The Human Amygdala and the Induction and Experience of Fear (англ.) // Current Biology : journal. — Cell Press, 2011. — Vol. 21, no. 1. — P. 34—8. — doi:10.1016/j.cub.2010.11.042. — PMID 21167712. — PMC 3030206.
- ↑ Staut, C. C. V.; Naidich, T. P. Urbach-Wiethe Disease(Lipoid Proteinosis) (неопр.) // Pediatric Neurosurgery. — 1998. — Т. 28, № 4. — С. 212—214. — doi:10.1159/000028653. — PMID 9732251.
- ↑ Архивированная копия. Дата обращения: 22 июня 2017. Архивировано 11 февраля 2013 года.[уточнить источник]
- ↑ Ученые нашли способ испугать «генетически бесстрашных» людей Архивная копия от 21 февраля 2014 на Wayback Machine // Lenta.ru, 04.02.13.
- ↑ Mo Costandi. Researchers scare 'fearless' patients (англ.) // Nature News. — doi:10.1038/nature.2013.12350. Архивировано 8 ноября 2020 года.
- ↑ Stephens, D. N; Duka, T. Cognitive and emotional consequences of binge drinking: Role of amygdala and prefrontal cortex (англ.) // Philosophical Transactions of the Royal Society B : journal. — 2008. — Vol. 363, no. 1507. — P. 3169—3179. — doi:10.1098/rstb.2008.0097. — PMID 18640918. — PMC 2607328.
- ↑ Marinkovic, Ksenija; Oscar-Berman, Marlene; Urban, Trinity; o’Reilly, Cara E.; Howard, Julie A.; Sawyer, Kayle; Harris, Gordon J. Alcoholism and Dampened Temporal Limbic Activation to Emotional Faces (англ.) // Alcoholism: Clinical and Experimental Research : journal. — 2009. — Vol. 33, no. 11. — P. 1880—1892. — doi:10.1111/j.1530-0277.2009.01026.x. — PMID 19673745. — PMC 3543694.
- ↑ Newton, P; Ron, D. Protein kinase C and alcohol addiction (англ.) // Pharmacological Research : journal. — 2007. — Vol. 55, no. 6. — P. 570—577. — doi:10.1016/j.phrs.2007.04.008. — PMID 17566760.
- ↑ Lesscher, H. M. B.; Wallace, M. J.; Zeng, L.; Wang, V.; Deitchman, J. K.; McMahon, T.; Messing, R. O.; Newton, P. M. Amygdala protein kinase C epsilon controls alcohol consumption (англ.) // Genes, Brain and Behavior : journal. — 2009. — Vol. 8, no. 5. — P. 493—499. — doi:10.1111/j.1601-183X.2009.00485.x. — PMID 19243450. — PMC 2714877.
- ↑ Ziabreva, Irina; Poeggel, Gerd; Schnabel, Reinhild; Braun, Katharina. Separation-induced receptor changes in the hippocampus and amygdala of Octodon degus: Influence of maternal vocalizations (англ.) // The Journal of Neuroscience : journal. — 2003. — Vol. 23, no. 12. — P. 5329—5336. — PMID 12832558.
- ↑ Davis, M. The role of the amygdala in fear and anxiety (англ.) // Annual Review of Neuroscience. — 1992. — Vol. 15. — P. 353—375. — doi:10.1146/annurev.ne.15.030192.002033. — PMID 1575447.
- ↑ Carlson, Neil R. Physiology of Behavior (англ.). — Pearson, 2012. — P. 608. — ISBN 978-0205239399.
- ↑ Laura A; Thomas et al. Elevated amygdala responses to emotional faces in youths with chronic irritability or bipolar disorder (англ.) // Neuroimage Clinical : journal. — 2013. — Vol. 2, no. 2. — P. 637—645. — doi:10.1016/j.nicl.2013.04.007. — PMID 23977455. — PMC 3746996.
- ↑ M. T. Keener et al. Dissociable patterns of medial prefrontal and amygdala activity to face identity versus emotion in bipolar disorder (англ.) // Psychological Medicine : journal. — 2012. — Vol. 42, no. 9. — P. 1913—1924. — doi:10.1017/S0033291711002935. — PMID 22273442. — PMC 3685204.
- ↑ Political Orientations Are Correlated with Brain Structure in Young Adults: Current Biology. Дата обращения: 22 июня 2017. Архивировано 5 января 2015 года.

