Внутримозговое кровоизлияние
| Внутримозговое кровоизлияние | |
|---|---|
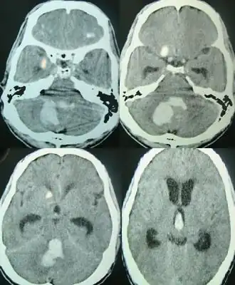
![]() Внутримозговое кровоизлияние в задней черепной ямке | |
| МКБ-11 | 8B00 |
| МКБ-10 | I61 |
| МКБ-9 | 431 |
| MeSH | D002543 |
Геморрагический инсульт (Внутримозговое кровотечение, устар. апоплексический удар) — кровоизлияние в вещество головного мозга, обусловленное разрывом патологически изменённых стенок церебральных сосудов или диапедезом. Смертность от внутримозговых кровоизлияний достигает 40 %[1].
Занимает второе место по распространённости среди инсультов (после ишемического), опережая нетравматическое субарахноидальное кровоизлияние[2].
В научной литературе термины «внутримозговое кровоизлияние» и «геморрагический инсульт» либо употребляются как синонимы[3][4], либо внутримозговое кровоизлияние включается в группу геморрагических инсультов наряду с субарахноидальным кровоизлиянием[5][6][7].
Общие сведения
Чаще возникает в возрасте 45—60 лет, с преобладанием у представителей негроидной и монголоидной рас[2][8]. В анамнезе у больных внутримозговым кровоизлиянием — гипертоническая болезнь, церебральный атеросклероз или сочетание этих заболеваний, артериальная симптоматическая гипертензия, заболевание крови и др. В молодом возрасте причиной внутримозгового кровоизлияния может быть кокаиновая наркомания[2]. Предвестники заболевания (чувство жара, усиление головной боли, нарушение зрения) бывают редко. Обычно инсульт развивается внезапно, в дневное время, на фоне эмоционального или физического перенапряжения[9].
Этиопатогенез
Причиной кровоизлияния в головной мозг чаще всего является гипертоническая болезнь (80—85 % случаев). Реже кровоизлияния обусловливаются атеросклерозом, заболеваниями крови, воспалительными изменениями мозговых сосудов, интоксикацией, авитаминозами и другими причинами. ГИ может возникнуть в результате опухолей и новообразований головного мозга. Внутримозговое кровоизлияние может наступить путём диапедеза или в результате разрыва сосуда. В обоих случаях в основе выхода крови за пределы сосудистого русла лежат функционально-динамические ангиодистонические расстройства общей и в особенности регионарной мозговой циркуляции. Основным патогенетическим фактором кровоизлияния являются артериальная гипертензия и гипертонические кризы, при которых возникают спазмы или параличи мозговых артерий и артериол. Обменные нарушения, возникающие в очаге ишемии, способствуют дезорганизации стенок сосудов, которые в этих условиях становятся проницаемыми для плазмы и эритроцитов. Так возникает кровоизлияние путём диапедеза. Одновременное развитие спазма многих сосудистых ветвей в сочетании с проникновением крови в мозговое вещество может привести к образованию обширного очага кровоизлияния, а иногда и множественных геморрагических очагов. В основе гипертонического криза может быть резкое расширение артерий с увеличением мозгового кровотока, обусловленное срывом его саморегуляции при высоком артериальном давлении. В этих условиях артерии утрачивают способность к сужению и пассивно расширяются. Под повышенным давлением кровь заполняет не только артерии, но и капилляры и вены. При этом повышается проницаемость сосудов, что приводит к диапедезу плазмы крови и эритроцитов. В механизме возникновения диапедезной геморрагии задействовано нарушение взаимосвязи между свертывающей и противосвертывающей системами крови. В патогенезе разрыва сосудов играют роль и функционально-динамические нарушения сосудистого тонуса. Паралич стенки мелких мозговых сосудов ведет к острому нарастанию проницаемости сосудистых стенок и плазморрагии[10].
Симптоматика
Геморрагический инсульт развивается внезапно. Как правило, возникают нарушения речи, эпиприпадки, сильная головная боль («кинжальная» боль), тошнота и/или рвота, головокружение, потеря сознания. Одним из главных симптомов ГИ является нарушение сознания, которое может быть двух видов: угнетение сознания (оглушение, сопор, кома) и спутанность сознания. Симптомы кровоизлияния также зависят от места его локализации: В теменной, затылочной, лобной или височной доле, мозжечке, стволе мозга, в желудочках, в левом или правом полушарии головного мозга.
Инсульт теменной доли проявляется в виде дезориентации, лёгкой афазии, тошноты, рвоты. Инсульт затылочной доли проявляется в виде нарушения зрения в одном/двух глазах, снижением слуха, судорог. Инсульт лобной доли проявляется в виде сильной головной боли, дезориентации в пространстве, спутанностью сознания. При инсульте мозжечка возникает слабость мышц, изменение уровня сознания. Инсульт височной доли характеризуется нарушением понимания речи (человек не понимает обращённую к нему речь), эпиприпадками, потерей сознания. Инсульт в желудочках головного мозга характеризуется появлением судорог, может быстро развиться кома. Инсульт ствола мозга (Стволовой инсульт) является самым опасным вариантом локализации мозгового удара. Развивается парализация, дисфагия (нарушение/затруднение акта глотания), нарушение (угнетение) дыхания, тошнота, рвота, прогрессирует кома. Инсульт левого полушария (левосторонний инсульт) проявляется в виде нарушения речи, парализации правой половины тела, затруднении письма. Инсульт правого полушария (правосторонний инсульт) не имеет таких ярко-выраженных симптомов, как левосторонний инсульт. При инсульте правой стороны (полушария) нарушается поведение, речь, появляется парализация левой половины тела.
Диагностика
Методом выбора в диагностике внутримозгового кровоизлияния является компьютерная томография головного мозга, позволяющая не только определить наличие внутримозговой гематомы, но и оценить её локализацию, распространённость и объём, выраженность отёка мозга и степень дислокации. Для диагностики небольших гематом в стволе мозга и изоденсивных веществу головного мозга («несвежих») гематом предпочтительна магнитно-резонансная томография.
В случае невозможности проведения компьютерной томографии при отсутствии противопоказаний проводится исследование цереброспинальной жидкости, кровь в которой может свидетельствовать о кровоизлиянии в структуры задней черепной ямки или субарахноидальном кровоизлиянии. Небольшие кровоизлияния в подкорковые структуры головного мозга проявляются наличием эритроцитов в ликворе лишь через 2—3 суток[11].
Лечение
Немедленная госпитализация в специализированное отделение (в критической ситуации — в ближайшее отделение реанимации). Лечение геморрагического инсульта может быть консервативным или хирургическим (например, в большинстве случаев при кровоизлияниях в мозжечок размерами > 3 см). Основы консервативного лечения геморрагического инсульта соответствуют общим принципам лечения пациентов с любым видом инсульта. Для коррекции дыхательной недостаточности проводят интубацию с подключением ИВЛ. Если пациент употреблял антикоагулянты, их эффект по возможности снижают, вводя свежезамороженную плазму, концентрат протромбинового комплекса, витамин К или выполняя переливание тромбоцитов в соответствии с показаниями. Корректируя артериальное давление при геморрагическом инсульте, необходимо избегать резкого его снижения, так как такие значительные изменения могут вызвать снижение перфузионного давления, особенно при внутричерепной гематоме. Проведению медикаментозной терапии геморрагического инсульта должен сопутствовать мониторинг основных показателей, которые характеризуют состояние цереброваскулярной системы и иных жизненноважных функций. Решение о хирургическом вмешательстве должно основываться на нескольких факторах — локализация гематомы, объем излившейся крови, общее состояние пациента. Гематома полушарий мозжечка диаметром > 3 см может вызвать смещение срединных структур и грыжеобразование поэтому хирургическое удаление гематомы часто может оказаться жизнеспасающей операцией. Раннее удаление больших лобарных гематом также может увеличить выживаемость, однако в этих случаях часто развивается повторное кровоизлияние, что может привести к увеличению неврологических нарушений. Раннее удаление глубоких гематом проводится редко, поскольку хирургическое лечение сопряжено с высокой летальностью и формированием выраженных неврологических нарушений[12].
Прогноз
Общий прогноз при внутримозговом кровоизлиянии остаётся неблагоприятным. Летальность по разным источникам достигает 40—70 %. Основная причина летальных исходов — прогрессирующий отек и дислокация мозга, второй по частоте причиной является рецидив кровоизлияния. Также, частыми причинами летального исхода становится пневмония (в т. ч. внутрибольничная), тромбоэмболия лёгочной артерии и острая сердечная недостаточность.
Неблагоприятными прогностическими признаками в частности являются длительная кома (более 12 часов), возраст старше 65, прорыв крови в желудочки головного мозга[13].
Профилактика
Основной профилактической мерой, способной предотвратить развитие геморрагического инсульта, является своевременное и адекватное медикаментозное лечение гипертонической болезни. Также важную роль в профилактике внутримозгового кровоизлияния играет устранение факторов риска — отказ от курения, минимизация употребления алкоголя, контроль веса.
См. также
Примечания
- ↑ Sanders MJ and McKenna K. 2001. Mosby’s Paramedic Textbook, 2nd revised Ed. Chapter 22, «Head and Facial Trauma.» Mosby.
- 1 2 3 Внутримозговое кровоизлияние: краткие сведения. Дата обращения: 25 января 2010. Архивировано 13 ноября 2011 года.
- ↑ А. С. Кадыков, Н. В. Шахпаронова — Сосудистая катастрофа Архивная копия от 25 января 2010 на Wayback Machine
- ↑ Клиническая классификация и формулировка диагноза Архивная копия от 12 февраля 2010 на Wayback Machine
- ↑ Merck Manuals — Hemorrhagic Stroke. Дата обращения: 27 января 2010. Архивировано 31 января 2010 года.
- ↑ Протокол ведения больных «Инсульт». Дата обращения: 27 января 2010. Архивировано 13 января 2013 года.
- ↑ А. Н. Авакян — Геморрагический инсульт. Дата обращения: 27 января 2010. Архивировано 3 июня 2009 года.
- ↑ Copenhaver B.R., Hsia A.W., Merino J.G., et al. Racial differences in microbleed prevalence in primary intracerebral hemorrhage (англ.) // Neurology : journal. — Wolters Kluwer, 2008. — October (vol. 71, no. 15). — P. 1176—1182. — doi:10.1212/01.wnl.0000327524.16575.ca. — PMID 18838665. — PMC 2676986.
- ↑ Геморрагический инсульт на EUROLAB.UA. Архивировано 9 февраля 2012 года.
- ↑ А. А. Ярош, И. Ф. Криворучко. Нервные болезни. — «Вища школа», 1985. — С. 462.
- ↑ А. Н. Авакян — Геморрагический инсульт. Дата обращения: 27 января 2010. Архивировано 2 апреля 2010 года.
- ↑ Внутримозговое кровоизлияние - Неврологические заболевания. Справочник MSD Профессиональная версия. Дата обращения: 21 апреля 2019. Архивировано 2 февраля 2019 года.
- ↑ Внутримозговое (паренхиматозное) кровоизлияние. www.smed.ru. Дата обращения: 21 апреля 2019. Архивировано 21 апреля 2019 года.
Литература
- Маджидов Н. М., Кариев М. Х. Кровоизлияние в мозг (клиника, диагностика, этапное лечение и некоторые вопросы этиологии и патогенеза острого периода). — Ташкент: Изд-во «Медицина» УзССР, 1975. — 192 с.
