Атрофический гастрит
| Атрофический гастрит | |
|---|---|
| |
| МКБ-10 | K29.4 |
| МКБ-10-КМ | K29.4 |
| МКБ-9 | 535.1 |
| МКБ-9-КМ | 535.1[1][2], 535.11[2] и 535.10[2] |
| DiseasesDB | 29503 |
| eMedicine | med/851 |
| MeSH | D005757 |
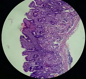
Атрофи́ческий гастри́т (лат. gastritis atrophica) — хронический гастрит с истончением слизистой оболочки, уменьшением количества желез и секреторной недостаточностью желудка.[3]
Клетки эпителия сохранившихся желез желудка подвергаются дисрегенераторным изменениям: снижается количество главных и париетальных клеток, происходит мукоидизация главных клеток, появляются клетки-гибриды, сочетающие признаки разных клеток. В 50 % случаев атрофический гастрит сочетается с элементами структурной перестройки слизистой оболочки (кишечная метаплазия, пилорическая метаплазия фундальных желез, ворсинчатая метаплазия, панкреатическая метаплазия, дисплазия или неоплазия эпителия).[4]
Примечания
- ↑ Disease Ontology (англ.) — 2016.
- 1 2 3 Monarch Disease Ontology release 2018-06-29 — 2018-06-29 — 2018.
- ↑ Архивированная копия. Дата обращения: 28 октября 2008. Архивировано 29 августа 2009 года.Архивированная копия. Дата обращения: 28 октября 2008. Архивировано 29 августа 2009 года.
- ↑ Минушкин О. Н., Зверков И. В. Хронический гастрит // «Лечащий Врач» : журнал. — Издательство "Открытые системы", 2003. — № 05. Архивировано 15 октября 2008 года.
Литература
- Малая медицинская энциклопедия. — под ред. В. И. Покровского. — М.: Советская энциклопедия, 1991. — Т. 1. — 577 с. — ISBN 5-85270-040-1. Архивная копия от 6 декабря 2009 на Wayback Machine
- Пуликов А. С., Терский М. Г. Морфо-функциональное состояние слизистой оболочки желудка в норме и патологии у коренного населения Таймырского Севера (эвенов) // Вестник научных исследований. — Красноярск, 1995. — № 15.
