Метаплазия
| Метаплазия | |
|---|---|
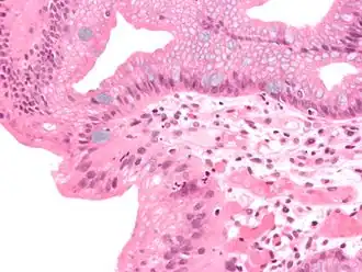
![]() Гистологическая картина пищевода Барретта | |
| MeSH | D008679 |
Метаплазия (от др.-греч. μετα- — приставка, обозначающая изменение и πλάσις — «образование, формирование») — стойкое замещение дифференцированных клеток одного типа дифференцированными клетками другого типа при сохранении основной видовой принадлежности ткани. Основной причиной метаплазии, в отличие от гетероплазии, являются патологические стимулы (изменения окружающей среды, воспаление и инфекционные заболевания, эндокринные нарушения и т. д.). При прекращении воздействия патологических факторов, ткань возвращает свою нормальную морфологическую структуру.
Причины
При появлении физиологических или патологических стрессовых факторов, клетки могут реагировать несколькими способами. Одним из вариантов адаптации является метаплазия — доброкачественное изменение тканевой структуры в ответ на хроническое физическое или химическое раздражение. Например, курение вызывает замещение мерцательного эпителия дыхательных путей многослойным плоским эпителием. Плоскоклеточная метаплазия может развиваться в мочевом пузыре (причина — цистит, конкременты мочевого пузыря), в шейке матки (причина — гормональная стимуляция, изменение pH влагалищной среды, инфекции) и т. д.[1]
Патогенез
Различают прямую метаплазию, при которой замещение ткани происходит путём изменения её структурных элементов (фиброцитов в остеоциты и т. п.), и непрямую, при которой формирование новой ткани осуществляется путём деления недифференцированных клеток с их последующей дифференцировкой. Непрямая метаплазия чаще наблюдается при регенеративном процессе.[2]
Метаплазия у животных
Различают прозопластическую и анапластическую метаплазию. Первая является перестройкой клеток с образованием новой ткани с более высоким уровнем дифференциации и специализации по сравнению с исходной тканью. Путём данной метаплазии развиваются гиперплазия железистого эпителия из эпителия выводных протоков желёз, гиперплазия костной и хрящевой тканей из соединительной, неороговевающего плоского эпителия в цилиндрический в желудке и кишечнике и т.д. Анапластическая метаплазия-это перестройка клеток с образованием новой ткани с менее высоким уровнем дифференциации и специализации.[3]
Примечания
- ↑ Плоскоклеточная (сквамозная) метаплазия. Дата обращения: 17 декабря 2009. Архивировано 25 января 2010 года.
- ↑ Метаплазия — статья из Большой советской энциклопедии.
- ↑ А.В.Жаров, В.П.Шишков и др. Патологическая анатомия сельскохозяйственных животных. — М.: Колос, 1995. — 543 с.
