SOX10

SOX10
Identifiers
AliasesSOX10, DOM, PCWH, WS2E, WS4, WS4C, SRY-box 10, SRY-box transcription factor 10, SOX-10
External IDsOMIM: 602229; MGI: 98358; HomoloGene: 5055; GeneCards: SOX10; OMA:SOX10 - orthologs
Orthologs
SpeciesHumanMouse
Entrez

6663

20665

Ensembl

ENSG00000100146

ENSMUSG00000033006

UniProt

P56693

Q04888

RefSeq (mRNA)

NM_006941

NM_011437

RefSeq (protein)

NP_008872

NP_035567

Location (UCSC)Chr 22: 37.97 – 37.99 MbChr 15: 79.04 – 79.05 Mb
PubMed search[3][4]
Wikidata
View/Edit HumanView/Edit Mouse

Transcription factor SOX-10 is a protein that in humans is encoded by the SOX10 gene.[5][6][7][8]

Function

This gene encodes a member of the SOX (SRY-related HMG-box) family of transcription factors involved in the regulation of embryonic development and determination of cell fate. The encoded protein acts as a transcriptional activator after forming a protein complex with other proteins. This protein acts as a nucleocytoplasmic shuttle protein and is important for neural crest and peripheral nervous system development.[8]

In melanocytic cells, there is evidence that SOX10 gene expression may be regulated by MITF.[9]

Mutations

Mutations in this gene are associated with Waardenburg–Shah syndrome[8] and uveal melanoma.[10]

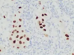
Immunostain

SOX10 is used as an immunohistochemistry marker, being positive in:[11]

  • Melanoma, although desmoplastic melanomas may be only focally positive.
  • Nevus

Interactions

The interaction between SOX10 and PAX3 is studied best in human patients with Waardenburg syndrome, an autosomal dominant disorder that is divided into four different types based upon mutations in additional genes. SOX10 and PAX3 interactions are thought to be regulators of other genes involved in the symptoms of Waardenburg syndrome, particularly MITF, which influences the development of melanocytes as well as neural crest formation. MITF expression can be transactivated by both SOX10 and PAX3 to have an additive effect.[12][13] The two genes have binding sites near one another on the upstream enhancer of the c-RET gene.[14] SOX10 is also thought to target dopachrome tautomerase through a synergistic interaction with MITF, which then results in other melanocyte alteration.[15]

SOX10 can influence the generation of Myelin Protein Zero (MPZ) transcription through its interactions with proteins such as OLIG1 and EGR2,[16][17] which is important for the functionality of neurons. Other cofactors have been identified, such as SP1, OCT6, NMI, FOXD3 and SOX2.[18]

The interaction between SOX10 and NMI seems to be coexpressed in glial cells, gliomas, and the spinal cord and has been shown to modulate the transcriptional activity of SOX10.[19]

See also

References

  1. ^ a b c GRCh38: Ensembl release 89: ENSG00000100146Ensembl, May 2017
  2. ^ a b c GRCm38: Ensembl release 89: ENSMUSG00000033006Ensembl, May 2017
  3. ^ "Human PubMed Reference:". National Center for Biotechnology Information, U.S. National Library of Medicine.
  4. ^ "Mouse PubMed Reference:". National Center for Biotechnology Information, U.S. National Library of Medicine.
  5. ^ Pingault V, Bondurand N, Kuhlbrodt K, Goerich DE, Préhu MO, Puliti A, Herbarth B, Hermans-Borgmeyer I, Legius E, Matthijs G, Amiel J, Lyonnet S, Ceccherini I, Romeo G, Smith JC, Read AP, Wegner M, Goossens M (Feb 1998). "SOX10 mutations in patients with Waardenburg-Hirschsprung disease". Nature Genetics. 18 (2): 171–3. doi:10.1038/ng0298-171. PMID 9462749. S2CID 2327032.
  6. ^ Bondurand N, Kuhlbrodt K, Pingault V, Enderich J, Sajus M, Tommerup N, Warburg M, Hennekam RC, Read AP, Wegner M, Goossens M (Sep 1999). "A molecular analysis of the yemenite deaf-blind hypopigmentation syndrome: SOX10 dysfunction causes different neurocristopathies". Human Molecular Genetics. 8 (9): 1785–9. doi:10.1093/hmg/8.9.1785. PMID 10441344.
  7. ^ Huber WE, Price ER, Widlund HR, Du J, Davis IJ, Wegner M, Fisher DE (Nov 2003). "A tissue-restricted cAMP transcriptional response: SOX10 modulates alpha-melanocyte-stimulating hormone-triggered expression of microphthalmia-associated transcription factor in melanocytes". The Journal of Biological Chemistry. 278 (46): 45224–30. doi:10.1074/jbc.M309036200. PMID 12944398.
  8. ^ a b c "Entrez Gene: SOX10 SRY (sex determining region Y)-box 10".
  9. ^ Hoek KS, Schlegel NC, Eichhoff OM, Widmer DS, Praetorius C, Einarsson SO, Valgeirsdottir S, Bergsteinsdottir K, Schepsky A, Dummer R, Steingrimsson E (Dec 2008). "Novel MITF targets identified using a two-step DNA microarray strategy". Pigment Cell & Melanoma Research. 21 (6): 665–76. doi:10.1111/j.1755-148X.2008.00505.x. PMID 19067971.
  10. ^ Das D, Kaur I, Ali MJ, Biswas NK, Das S, Kumar S, Honavar SG, Maitra A, Chakrabarti S, Majumder PP (Jul 2014). "Exome sequencing reveals the likely involvement of SOX10 in uveal melanoma". Optometry and Vision Science. 91 (7): e185–92. doi:10.1097/OPX.0000000000000309. PMID 24927141. S2CID 24239911.
  11. ^ Nat Pernick. "Stains - SOX10". Pathology Outlines. Topic Completed: 1 February 2014. Revised: 20 September 2019
  12. ^ Potterf SB, Furumura M, Dunn KJ, Arnheiter H, Pavan WJ (July 2000). "Transcription factor hierarchy in Waardenburg syndrome: regulation of MITF expression by SOX10 and PAX3". Hum. Genet. 107 (1): 1–6. doi:10.1007/s004390000328. PMID 10982026. S2CID 24931810.
  13. ^ Bondurand N, Pingault V, Goerich DE, Lemort N, Le Caignec C, Wegner M, Goossens M (August 2000). "Interaction among SOX10, PAX3 and MITF, three genes altered in Waardenburg syndrome". Hum. Mol. Genet. 9 (13): 1907–17. doi:10.1093/hmg/9.13.1907. PMID 10942418.
  14. ^ Lang D, Epstein JA (April 2003). "Sox10 and Pax3 physically interact to mediate activation of a conserved c-RET enhancer". Hum. Mol. Genet. 12 (8): 937–45. doi:10.1093/hmg/ddg107. PMID 12668617.
  15. ^ Ludwig A, Rehberg S, Wegner, M (January 2004). "Melanocyte-specific expression of dopachrome tautomerase is dependent on synergistic gene activation by the Sox10 and Mitf transcription factors". FEBS Letters. 556 (1–3): 236–44. Bibcode:2004FEBSL.556..236L. doi:10.1016/s0014-5793(03)01446-7. PMID 14706856. S2CID 8245142.
  16. ^ Li H, Lu Y, Smith HK, Richardson W (December 2007). "Olig1 and Sox10 Interact Synergistically to Drive Myelin Basic Protein Transcription in Oligodendrocytes". The Journal of Neuroscience. 27 (52): 14375–82. doi:10.1523/jneurosci.4456-07.2007. PMC 6329447. PMID 18160645.
  17. ^ LeBlanc S, Ward R, Svaren, J (May 2007). "Neuropathy-Associated Egr2 Mutants Disrupt Cooperative Activation of Myelin Protein Zero by Egr2 and Sox10". Mol. Cell. Biol. 27 (9): 3521–29. doi:10.1128/mcb.01689-06. PMC 1899967. PMID 17325040.
  18. ^ Bondurand N, Sham MH (October 2013). "The role of SOX10 during enteric nervous system development". Dev. Biol. 382 (1): 330–43. doi:10.1016/j.ydbio.2013.04.024. PMID 23644063.
  19. ^ Schlierf B, Lang S, Kosian T, Werner T, Wegner M (November 2011). "The high-mobility group transcription factor Sox10 interacts with the N-myc-interacting protein Nmi". J. Mol. Biol. 353 (5): 1033–42. doi:10.1016/j.jmb.2005.09.013. PMID 16214168.

Further reading

This article incorporates text from the United States National Library of Medicine, which is in the public domain.