Ядерные тельца
Я́дерные тельца́ (англ. nuclear bodies) — субкомпартменты внутри ядра, не окружённые мембранами[1], но представляющие собой отдельные, морфологически различимые комплексы белков и РНК. К числу ядерных телец относят ядрышко, тельце Кахаля и другие немембранные структуры. В основе биогенеза ядерных телец лежат одни и те же общие принципы, такие как способность к формированию de novo (с нуля), самоорганизация, а также роль РНК как структурного элемента. Контроль биогенеза ядерных телец необходим для правильного изменения архитектуры ядра в ходе клеточного цикла и лежит в основе ответа клетки на внутри- и внеклеточные стимулы. Многие ядерные тельца осуществляют специфические функции — например, синтез и процессинг пре-рибосомных РНК в ядрышке, накопление и сборку компонентов сплайсосом в ядерных спеклах или накопление молекул РНК в параспеклах. Механизмы, которые обеспечивают выполнение ядерными тельцами этих функций, очень разнообразны. В некоторых случаях ядерное тельце может служить местом протекания определённых процессов, например, транскрипции. В других случаях ядерные тельца, по-видимому, опосредованно регулируют локальные концентрации своих компонентов в нуклеоплазме. Хотя большинство ядерных телец имеет сферическую форму, большинство из них можно идентифицировать по уникальной морфологии, которая выявляется при помощи электронной микроскопии, и по расположению в ядре. Подобно цитоплазматическим органеллам, ядерные тельца содержат специфический набор белков, которые определяют их структуру на молекулярном уровне[2].
Физические свойства
Многие ядерные тельца ведут себя подобно капле вязкой жидкости. Например, в ооцитах лягушки Xenopus ядрышки имеют почти идеально сферическую форму. Когда два ядрышка встречаются, они сливаются друг с другом, образуя ядрышко большего размера. Подобное слияние описано для телец Кахаля, телец гистоновых локусов, ядерных спеклов и других телец. Однако некоторые ядерные тельца, например, ядрышко, состоят из нескольких структурных компонентов, о чём свидетельствуют данные электронной микроскопии. На первый взгляд, это противоречит представлению о ядерных тельцах как о каплях вязкой жидкости. В ооцитах Xenopus и гранулярный компонент, и плотный фибриллярный компонент ядрышек могут подвергаться слиянию и обмениваться белками, но гранулярный компонент делает это быстрее. Ключевые белки гранулярного и плотного фибриллярного компонентов — нуклеофозмин и фибрилларин соответственно — в очищенном виде могут формировать капли в присутствии РНК, однако капли нуклеофозмина сливаются и обмениваются белками быстрее, чем белки фибрилларина. Физически капли нуклеофозмина представляют собой вязкую жидкость, а капли фибрилларина вязкоупруги, что и объясняет их замедленную динамику. Когда очищенные нуклеофозмин и фибрилларин объединяют в одну каплю, они образуют несмешивающиеся фазы, похожие на ядрышки: маленькие капельки фибрилларина находятся внутри более крупных капель нуклеофозмина. Несмешиваемость фаз обеспечивается разностью в поверхностном натяжении, так как капли фибрилларина в водном растворе более гидрофобны, чем капли нуклеофозмина. Возможно, похожим образом объясняется неспособность разных ядерных телец сливаться друг с другом. Например, ядрышки и тельца Кахаля нередко находятся в близком контакте, но никогда не сливаются, возможно, из-за высокого межфазного энергетического барьера[3].
Динамика
Общим свойством всех ядерных телец является их структурная стабильность. Отдельные ядерные тельца различимы на протяжении интерфазы — от начала G1-фазы до выхода из G2-фазы. В течение интерфазы ядерные тельца подвергаются динамическим перемещениям внутри ядра, причём чем крупнее тельце, тем меньше оно перемещается. Крупные тельца, такие как ядрышки и спеклы, достигающие 2—3 мкм в диаметре, практически неподвижны и способны лишь к ограниченному локальному движению. Более мелкие тельца, такие как тельца Кахаля и PML-тельца, имеющие размер от 500 нм до 1 мкм, интенсивно перемещаются по ядру и претерпевают частые слияния и разделения[4].
Несмотря на общую структурную стабильность, ядерные тельца характеризуются значительной внутренней динамичностью. Основным компонентом ядерных телец являются особые белки, которые присутствуют и в нуклеоплазме, хотя в существенно меньшей концентрации. Эксперименты по фотообесцвечиванию показали, что ядерные тельца интенсивно обмениваются с нуклеоплазмой своими основными компонентами. В течение нескольких минут молекулярный состав ядерных телец полностью обменивается на прежде нуклеоплазматические молекулы[4].
Из-за отсутствия окружающих мембран форма и размер ядерных телец определяются суммой взаимодействий молекул, входящих в их состав. Среди таких взаимодействий не выявлено ковалентных, поэтому молекулы внутри телец взаимодействуют друг с другом посредством нековалентных слабых связей. Ключевым определяющим фактором является баланс приходящих и уходящих молекул: при увеличении потока приходящих молекул размер тельца увеличивается, а его снижение или увеличение потока уходящих молекул приводят к уменьшению тельца. Молекулярные механизмы, определяющие такой баланс, плохо изучены, однако в их число входят посттрансляционные модификации белков, входящих в состав ядерных телец. Контроль количества ядерных телец также плохо понятен. Даже количество ядрышек, которые формируются только вокруг фиксированного числа участков хромосом — ядрышковых организаторов, варьирует между разными тканями и типами клеток. Известно, что количество телец Кахаля регулируется маркерным белком коилином: если несколько ключевых сайтов фосфорилирования этого белка мутируют, количество телец Кахаля сокращается. Более того, размер и количество ядерных телец зависят от физиологических условий. Так, число ядрышек увеличено в активно пролиферирующих клетках. В лимфоцитах, которые активно синтезируют белки и потому нуждаются в больших количествах рРНК, ядрышки увеличиваются в размерах. Количество PML-телец положительно связано со стрессовыми условиями[5].
Крупные ядерные тельца, как правило, в значительной степени неподвижны, хотя и способны к небольшим перемещениям и слиянию друг с другом. Как показали эксперименты с экспериментально индуцированными интерфазными проядрышками, ведущую роль в ограничении подвижности ядерных телец играет гетерохроматин. Движение проядрышек было независимо от актина, а их слияния происходили при случайных столкновениях. При этом каждое тельце занимало отдельный компартмент, ограниченный гетерохроматином. Искусственная сверхконденсация хроматина привела к значительному снижению частоты слияния телец и, следовательно, ограничила их подвижность[6]. Подвижность ядерных телец имеет и функциональное значение, оказывая влияние на различные аспекты функционирования генома[7].
Формирование
По способу формирования ядерные тельца можно разделить на два класса: зависящие от активности и не зависящие от активности. К первому классу относятся тельца, которые формируются в местах протекания определённых ядерных процессов, таких как транскрипция, и их морфология строго зависит от интенсивности процесса. К числу таких телец относится ядрышко, которое формируется на транскрибирующихся кластерах генов рРНК (ядрышковых организаторах). При подавлении транскрипции рДНК ядрышко подвергается быстрой структурной реорганизации, а доставка в ядро дополнительных генов рРНК на плазмидах приводит к появлению дополнительных ядрышек. Тельца гистоновых локусов формируются вокруг генов гистонов при активации транскрипции этих генов в начале репликации ДНК в ходе S-фазы. К этому же классу относятся стрессовые ядерные тельца и ядерные спеклы. Ко второму классу относят тельца, для формирования которых нет нужды в каком-то ядерном процессе. Такие ядерные тельца образуются в нуклеоплазме и впоследствии могут ассоциироваться с каким-то конкретным местом в ядре. Таковы тельца Кахаля и PML-тельца. Иногда они располагаются в определённых местах ядра и даже связаны со специфическими локусами, однако формируются в нуклеоплазме и приобретают такую связь позже. Например, при активации генов малых ядерных РНК U2 они подвергаются направленному, актин-зависимому перемещению к ранее сформированным тельцам Кахаля[8].
Формирование ядерного тельца начинается с события нуклеации. В ходе нуклеации ключевые компоненты тельца утрачивают подвижность, группируются вместе и привлекают другие «строительные блоки». У телец, зависящих от активности, нуклеацию запускают процессы, необходимые для формирования телец. В случае ядрышка нуклеация происходит при накоплении ядрышковых белков на рДНК и пре-рРНК, а в случае телец гистоновых локусов — при скоплении факторов процессинга 3'-конца гистоновых пре-мРНК. У телец, не зависящих от активности, нуклеаторами, вероятно, служат структурные белки или РНК, однако к настоящему моменту подобные нуклеаторы не были идентифицированы[9].
Некоторые ядерные тельца могут формироваться de novo (с нуля) в физиологических или экспериментальных условиях. Например, возможно формирование ядрышек de novo при введении в клетки минигенов рРНК в составе плазмид. Подобное явление описано для оогенеза у лягушки Xenopus, в ооцитах которой при этом процессе происходят амплификация тысяч внехромосомных генов рРНК и попутное формирование множества маленьких ядрышек. Ядерные спеклы тоже могут формироваться de novo при активации процессов транскрипции в клетке после глобального подавления. При вирусных инфекциях происходит быстрое формирование PML-телец: ключевые белки PML-телец окружают вирусный геном с образованием полноценного тельца. Эта реакция, по-видимому, служит реакцией врождённого иммунитета, направленной против вирусов. Однако наиболее отчётливо формирование de novo показано для телец Кахаля. Если в клетках, в норме не имеющих телец Кахаля, временно вызвать сверхэкспрессию компонентов этих телец, то тельца Кахаля действительно будут формироваться. Кроме того, если искусственно иммобилизировать на хроматине в случайных локусах компоненты телец Кахаля, то они будут формироваться в этих местах[10].
В состав многих ядерных телец входят молекулы РНК, которые нередко играют важную роль в сборке этих телец. РНК может участвовать в биогенезе ядерных телец двумя способами. Во-первых, РНК могут служить шаблонами для сборки телец, например, в случае большинства телец, зависящих от активности, которые формируются вокруг сайтов с активной транскрипцией. Такие РНК привлекают входящие в состав ядерных телец РНК-связывающие белки, запуская формирование телец. Во-вторых, РНК может выступать архитектурным элементом в ядерных тельцах. Например, для формирования параспеклов необходима NEAT1 (также известная как MEN-ε/β) — длинная стабильная полиаденилированная молекула РНК, локализованная в ядре. Нокдаун этой РНК при помощи РНК-интерференции приводит к разрушению параспеклов. Кроме того, параспеклы не выявляются в ядрах человеческих эмбриональных стволовых клеток, которые не экспрессируют NEAT1[11].
Теоретически возможны два основных механизма сборки ядерных телец:
- сборка может включать ряд последовательных жёстко контролируемых шагов;
- сборка может происходить в результате случайных взаимодействий компонентов ядерных телец без чёткого порядка.
Описанный выше эксперимент по сборке телец Кахаля в местах иммобилизации на хроматине ключевых компонентов этих телец свидетельствует в пользу последнего пути. Однако вопрос о том, что происходит при сборке телец, зависящих от активности, остаётся открытым[12].
В основе формирования ядерных телец могут лежать не только взаимодействия белок-белок и белок-РНК, но и жидкостно-жидкостные фазовые переходы (англ. Liquid–liquid phase transitions, LLPS), которые обеспечиваются способствующими агрегации доменами белков ядерных телец. С помощью модели фазовых переходов можно объяснить жидкостно-подобные свойства ядерных телец, такие как способность к слиянию и разделению, а также их быструю внутриядерную динамику. Возможно, что и гетерохроматин сам по себе обладает свойствами капель жидкости[13]. Экспериментально показано, что белки hnRNPA1 и FUS, входящие в состав цитоплазматических стрессовых гранул и параспеклов, могут обеспечивать жидкостно-жидкостное разделение фаз (англ. liquid–liquid phase separation, LLPS) в присутствии РНК. Показано, что некоторые белковые домены подвергаются LLPS, только когда комбинируются в особых концентрациях. В каждом ядерном тельце может быть своё соотношение белков, обеспечивающих LLPS. LLPS подвергаются белковые домены, связанные с агрегацией, такие как прионоподобные домены, а также домены, способствующие полимеризации (например, биспиральный домен (англ. coiled-coil)), и участки с невыраженной структурой (англ. low complexity regions)[14]. Разнообразные ядерные структуры, образовавшиеся за счёт разделения фаз, задействованы на различных этапах экспрессии генов, таких как транскрипция и процессинг РНК, оказывают влияние на эпигенетический статус генов и играют роль в развитии многих заболеваний[15]. В формировании ядерных телец за счёт разделения фаз могут принимать участие фосфоинозитиды. В 2018 году в ядрах клеток самых разных организмов были обнаружены тельца, содержащие фосфатидилинозитол-4,5-бисфосфат; они известны как ядерные липидные островки (англ. Nuclear Lipid Islets, NLIs). Вероятно, ядерные липидные островки играют важную роль в регуляции экспрессии генов, выступая в качестве платформ для связывания различных белков и облегчая формирование транскрипционных фабрик[16].
Ядерные тельца и митоз
Сборка и разборка ядерных телец играют важную роль в их наследовании дочерними клетками при делении. Некоторые ядерные тельца, которые присутствуют в клетках в большом количестве копий, при митозе не разбираются, а разделяются примерно поровну между дочерними клетками за счёт их случайного распределения по объёму клетки. Другие ядерные тельца, напротив, разбираются при клеточном делении и снова собираются при вступлении дочерних клеток в G1-фазу[17].
Так, ядрышко при митозе разбирается, поскольку транскрипция рРНК приостанавливается из-за фосфорилирования транскрипционных факторов РНК-полимеразы I, а также факторов процессинга рРНК. В начале профазы на периферии конденсированных хромосом накапливаются непроцессированные или частично процессированные пре-рРНК вместе со многими факторами процессинга. После разрушения ядерной оболочки они выходят в цитоплазму и в анафазе формируют множество очень подвижных мелких телец. В начале телофазы, когда происходит восстановление транскрипции генов рРНК, эти мелкие тельца разбираются, и далее пре-рРНК и факторы процессинга образуют проядрышковые тельца (англ. prenucleolar bodies) в нуклеоплазме только что сформированных ядер дочерних клеток. В конце телофазы хромосомы деконденсируются, и пре-рРНК и факторы процессинга выходят из проядрышковых телец, формируя ядрышко вокруг ядрышковых организаторов. Для формирования ядрышка после митоза также необходимы активность РНК-полимеразы I и возобновление процессинга пре-рРНК[18].
В начале митоза ядерные спеклы разбираются, а их компоненты распределяются беспорядочно по цитоплазме. Сборка спеклов начинается в телофазе. Параспеклы остаются стабильными на протяжении всего клеточного цикла вплоть до анафазы, когда они становятся беспорядочно разбросанными по клетке (цитоплазматические параспеклы). Цитоплазматические параспеклы исчезают в начале телофазы, а формирование ядерных параспеклов начинается по завершении клеточного деления. Тельца гистоновых локусов существуют до ранней прометафазы и окончательно разбираются в метафазе, а заново образуются в телофазе. Тельца Кахаля в начале митоза не разбираются, а выходят в цитоплазму, где не находятся в физическом контакте с конденсированными хромосомами. Количество и размер телец Кахаля почти не меняются от метафазы до телофазы. Когда в телофазе формируется ядерная оболочка, цитоплазматические тельца Кахаля разбираются, а их ключевой компонент — белок коилин — быстро заходит в ядро, где поначалу локализуется беспорядочно, но к G1-фазе в дочерних клетках формируются нормальные ядерные тельца Кахаля. Количество PML-телец в начале митоза уменьшается, поскольку их главный компонент — белок PML — образует характерные митотические скопления, утрачивая связь с другими белками PML-телец. Образование в ядре PML-телец начинается в G1-фазе, однако даже в течение G1-фазы в цитоплазме всё ещё обнаруживаются большие скопления белка PML, которые далее медленно сокращаются[19].
Разнообразие
В таблице ниже перечислены ключевые ядерные тельца, их свойства и выполняемые функции[2].
| Ядерное тельце | Функции | Характерные компоненты | Типичный размер (в мкм) | Количество на ядро |
|---|---|---|---|---|
| Ядрышко | Биогенез рибосом | Машинерия РНК-полимеразы I, факторы процессинга рРНК и сборки рибосомных субъединиц | 3—8 | 1—4 |
| Спеклы | Накопление и сборка факторов сплайсинга | Факторы сплайсинга пре-мРНК | 2—3 | 20—50 |
| Стрессовые ядерные тельца | Регуляция транскрипции и сплайсинга в условиях стресса | HSF1, HAP | 1—2 | 3—6 |
| Тельце гистоновых локусов | Процессинг пре-мРНК гистонов | NPAT, FLASH, U7 мяРНП | 0,2—1,2 | 2—4 |
| Тельце Кахаля | Биогенез, созревание и кругооборот малых РНК | Коилин, SMN | 0,2—1,5 | 1—10 |
| PML-тельце | Регуляция стабильности генома, репарация ДНК, контроль транскрипции, защита от вирусов | PML | 0,1—1 | 10—30 |
| Параспеклы | Регуляция мРНК, редактирование РНК | Некодирующие РНК NEAT1/MENε/β, белки PSP1, p54nrb/NONO | 0,2—1 | 2—20 |
| Околоядрышковый компартмент | Посттранскрипционная регуляция набора РНК, синтезированных РНК-полимеразой III | PTB | 0,2—1 | 1—2 |
Ядрышко

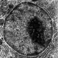
Ядрышко — это отдельная плотная структура в ядре. Она не окружена мембраной и формируется в области расположения рДНК — тандемных повторов генов рибосомной РНК (рРНК), называемых ядрышковыми организаторами. Главные функции ядрышка — синтез рРНК и образование рибосом. Структурная целостность ядрышка зависит от его активности, и инактивация генов рРНК приводит к смешению ядрышковых структур[20].
На первой стадии образования рибосом фермент РНК-полимераза I транскрибирует рДНК и образует пре-рРНК, которая далее разрезается на 5,8S, 18S и 28S рРНК[21]. Транскрипция и посттранскрипционный процессинг рРНК происходят в ядрышке при участии малых ядрышковых РНК (мякРНК), некоторые из которых происходят из сплайсированных интронов мРНК генов, кодирующих белки, связанные с работой рибосом. Собранные рибосомные субъединицы — это самые крупные структуры, проходящие через ядерные поры[22].
При рассматривании под электронным микроскопом в ядрышке можно выделить три компонента: фибриллярные центры (ФЦ), окружающий их плотный фибриллярный компонент (ПФК) и гранулярный компонент (ГК), который, в свою очередь, окружает ПФК. Транскрипция рРНК происходит в ФЦ и на границе ФЦ и ПФК, поэтому при активации образования рибосом ФЦ становятся хорошо различимы. Разрезание и модификации рРНК происходят в ПФК, а последующие этапы образования рибосомных субъединиц, включающие загрузку рибосомных белков, происходят в ГК[21].
Тельце Кахаля

Тельце Кахаля (ТК) — ядерное тельце, имеющееся у всех эукариот. Оно идентифицируется по наличию сигнатурного белка коилина и специфических РНК (scaРНК). В ТК также содержится белок SMN (англ. survival of motor neurons). В ТК наблюдается высокая концентрация сплайсирующих малых ядерных рибонуклеопротеинов (мяРНП) и других факторов процессинга РНК, поэтому считается, что ТК служат местами сборки и/или посттранскрипционной модификации факторов сплайсинга. ТК присутствует в ядре во время интерфазы, но исчезает в митозе. В биогенезе ТК прослеживаются свойства самоорганизующейся структуры[23].
Когда внутриклеточная локализация SMN впервые изучалась методом иммунофлуоресценции, то белок обнаруживался во всей цитоплазме, а также в ядрышковом тельце, сходном по размеру с ТК и часто расположенном рядом с ним. По этой причине данное тельце было названо «близнецом ТК» (англ. gemini of CB) или просто gem. Однако оказалось, что линия клеток HeLa, в которой было открыто новое тельце, была необычной: в других линиях клеток человека, а также у плодовой мушки Drosophila melanogaster SMN колокализовался с коилином в ТК. Поэтому в общем случае SMN можно рассматривать как важный компонент ТК, а не как маркер отдельного ядерного тельца[24].
Тельце гистоновых локусов
Тельце гистоновых локусов (англ. histone locus body, HLB) содержит факторы, необходимые для процессинга пре-мРНК гистонов. Как и следует из названия, тельца гистоновых локусов ассоциированы с генами, кодирующими гистоны; поэтому предполагается, что в тельцах гистоновых локусов концентрируются факторы сплайсинга. Тельце гистоновых локусов присутствует в клетке во время интерфазы и исчезает с наступлением митоза. Тельце гистоновых локусов нередко рассматривается вместе с тельцем Кахаля по нескольким причинам. Во-первых, в некоторых тельцах гистоновых локусов содержится маркер телец Кахаля — коилин. Во-вторых, эти тельца нередко физически находятся рядом, поэтому между ними наблюдается некоторое взаимодействие. Наконец, очень крупные тельца Кахаля ооцитов земноводных обладают свойствами обоих телец[23].
PML-тельца
Тельца промиелоцитной лейкемии (англ. Promyelocytic leukaemia bodies), или PML-тельца, — сферические тельца, разбросанные по всей нуклеоплазме и достигающие около 0,1—1,0 мкм в диаметре. Они известны также под такими названиями, как ядерный домен 10 (англ. nuclear domain 10 (ND10)), тельца Кремера (англ. Kremer bodies) и онкогенные домены PML (англ. PML oncogenic domains). Тельца PML названы по одному из своих ключевых компонентов — белку промиелоцитной лейкемии (PML). Они часто наблюдаются ассоциированными с тельцами Кахаля и тельцами деления (англ. cleavage body)[25]. PML-тельца принадлежат ядерному матриксу и могут быть задействованы в таких процессах, как репликация ДНК, транскрипция и эпигенетический сайленсинг генов[26]. Ключевым фактором организации этих телец выступает белок PML, который привлекает другие белки; последние, по представлениям XXI века, объединены лишь тем, что они SUMOилированы. Мыши, у которых ген PML делетирован, лишены PML-телец, однако развиваются и живут нормально — это означает, что PML-тельца не выполняют незаменимых биологических функций[26].
Спеклы
Спеклы (англ. speckle) — это ядерные тельца, которые содержат факторы сплайсинга пре-мРНК и располагаются в интерхроматиновых участках нуклеоплазмы клеток млекопитающих. При флуоресцентной микроскопии спеклы выглядят как пятнистые тельца неправильной формы, различных размеров, а при электронной микроскопии — как кластеры интерхроматиновых гранул. Спеклы — динамические структуры, и содержащиеся в них белки и РНК могут перемещаться между спеклами и другими ядерными тельцами, включая участки активной транскрипции. На основании исследований состава, структуры и поведения спеклов была создана модель, объясняющая функциональную компартментализацию ядра и организацию механизма экспрессии генов[27], сплайсирующих малые ядерные рибонуклеопротеины[28] и другие белки, необходимые для сплайсинга пре-мРНК[27]. Из-за изменяющихся потребностей клетки состав и расположение спеклов изменяются согласно транскрипции мРНК и посредством регуляции фосфорилирования специфических белков[29]. Сплайсирующие спеклы также известны как ядерные спеклы, компартменты сплайсирующих факторов, кластеры интерхроматиновых гранул и B-снурпосомы (англ. B snurposomes)[30]. B-снурпосомы найдены в ядрах ооцитов земноводных и зародышах плодовой мушки Drosophila melanogaster[31]. На электронных микрофотографиях B-снурпосомы предстают прикреплёнными к тельцам Кахаля или отдельно от них. Кластеры интерхроматиновых гранул служат местами скопления факторов сплайсинга[32].
Параспеклы

Параспеклы — это ядерные тельца неправильной формы, располагающиеся в интерхроматиновом пространстве ядра[33]. Впервые они были описаны у клеток HeLa, у которых имеется 10—30 параспеклов на ядро, но сейчас параспеклы обнаружены во всех первичных клетках человека, в клетках трансформированных линий и на срезах тканей[34]. Своё название они получили из-за своего расположения в ядре — вблизи спеклов[33].
Параспеклы — динамические структуры, которые изменяются в ответ на изменения в метаболической активности клетки. Они зависят от транскрипции[33], и в отсутствие транскрипции, проводимой РНК-полимеразой II, параспеклы исчезают, а все входящие в их состав белки (PSP1, p54nrb, PSP2, CFI(m)68 и PSF) формируют серповидный околоядрышковый кэп. Этот феномен наблюдается в ходе клеточного цикла: параспеклы присутствуют в интерфазе и всех фазах митоза, за исключением телофазы. В ходе телофазы формируются дочерние ядра, и РНК-полимераза II ничего не транскрибирует, поэтому белки параспеклов формируют околоядрышковый кэп[34]. Параспеклы участвуют в регуляции экспрессии генов, накапливая те РНК, где есть двухцепочечные участки, которые подвергаются редактированию, а именно превращению аденозина в инозин. Благодаря этому механизму параспеклы задействованы в контроле экспрессии генов при дифференцировке, вирусной инфекции и стрессе[35].
Околоядрышковый компартмент
Околоядрышковый компартмент (ОК) — ядерное тельце неправильной формы, которое характеризуется тем, что располагается на периферии ядрышка. Несмотря на физическую связь, эти два компартмента структурно различны. Обычно ОК обнаруживают в клетках злокачественных опухолей[36]. ОК — динамическая структура и содержит очень много РНК-связывающих белков и РНК-полимеразу III. Структурная стабильность ОК обеспечивается транскрипцией, осуществляемой РНК-полимеразой III, и наличием ключевых белков. Поскольку присутствие ОК обычно связано со злокачественностью и со способностью к метастазированию, их рассматривают как потенциальные маркеры рака и других злокачественных опухолей. Показана ассоциация ОК со специфическими локусами ДНК[37].
Стрессовые ядерные тельца
Стрессовые ядерные тельца формируются в ядре при тепловом шоке. Они образуются при непосредственном взаимодействии транскрипционного фактора теплового шока 1 (HSF1) и перицентрических тандемных повторов в последовательности сателлита III, что соответствует сайтам активной транскрипции некодирующих транскриптов сателлита III. Распространено мнение, что такие тельца соответствуют очень плотно упакованным формам рибонуклеопротеиновых комплексов. Считается, что в клетках, подвергающихся стрессу, они участвуют в быстрых, временных и глобальных изменениях в экспрессии генов посредством различных механизмов — например, ремоделирования хроматина и захватывания факторов транскрипции и сплайсинга. В клетках, находящихся в нормальных (не стрессовых) условиях, стрессовые ядерные тельца обнаруживаются редко, однако их количество резко увеличивается под действием теплового шока. Стрессовые ядерные тельца найдены только в клетках человека и других приматов[38].
Ядерные тельца-сироты
Ядерные тельца-сироты (англ. orphan nuclear bodies) — нехроматиновые ядерные компартменты, которые исследованы гораздо хуже, чем другие, хорошо охарактеризованные, структуры ядра. Некоторые из них выступают как места, в которых белки модифицируются белками SUMO и/или происходит протеасомная деградация белков, помеченных убиквитином[39]. Ниже в таблице приведены характеристики известных ядерных телец-сирот[40].
| Ядерное тельце | Описание | Типичный размер (в мкм) | Количество на ядро |
|---|---|---|---|
| Кластосома | Концентрирует протеасомные комплексы 20S и 19S и белки, связанные с убиквитином. Обнаруживается главным образом тогда, когда стимулируется активность протеасом, и разбирается при ингибировании активности протеасом. | 0,2—1,2 | 0—3 |
| Тельце деления (англ. cleavage body) | Обогащено факторами деления CstF и CPSF, а также белком DDX1, содержащим DEAD-бокс. Обнаруживается в основном в S-фазе, ингибирование транскрипции на него не влияет. | 0,2—1,0 | 1—4 |
| Домен OPT | Обогащён факторами транскрипции Oct1 и PTF. Частично колокализуется с сайтами транскрипции. Обнаруживается в основном в поздней G1-фазе, разбирается при ингибировании транскрипции. | 1,0—1,5 | 1—3 |
| Тельце Polycomb | Обнаруживается в клетках человека и дрозофилы, обогащено белком PcG. У человека накапливает белки RING1, BMI1, HPC, может быть связано с околоцентромерным гетерохроматином. | 0,3—1,0 | 12—16 |
| Тельце Sam68 | Накапливает белок Sam68 и схожие с ним белки SLM-1 и SLM-2. Разбирается при ингибировании транскрипции. Вероятно, обогащено РНК. | 0,6—1,0 | 2—5 |
| Тельце SUMO | Обогащено белками SUMO и SUMO-конъюгирующим ферментом Ubc9. Концентрирует транскрипционные факторы pCREB, CBP, c-Jun. | 1—3 | 1—3 |
Примечания
- ↑ Кассимерис Л., Лингаппа В. Р., Плоппер Д. . Клетки по Льюину. — М.: Лаборатория знаний, 2016. — 1056 с. — ISBN 978-5-906828-23-1. — С. 410.
- 1 2 The Nucleus, 2011, p. 311, 313.
- ↑ Weber S. C. Sequence-encoded material properties dictate the structure and function of nuclear bodies. (англ.) // Current opinion in cell biology. — 2017. — Vol. 46. — P. 62—71. — doi:10.1016/j.ceb.2017.03.003. — PMID 28343140.
- 1 2 The Nucleus, 2011, p. 312.
- ↑ The Nucleus, 2011, p. 312—315.
- ↑ Arifulin E. A., Sorokin D. V., Tvorogova A. V., Kurnaeva M. A., Musinova Y. R., Zhironkina O. A., Golyshev S. A., Abramchuk S. S., Vassetzky Y. S., Sheval E. V. Heterochromatin restricts the mobility of nuclear bodies. (англ.) // Chromosoma. — 2018. — 5 October. — doi:10.1007/s00412-018-0683-8. — PMID 30291421.
- ↑ Arifulin E. A., Musinova Y. R., Vassetzky Y. S., Sheval E. V. Mobility of Nuclear Components and Genome Functioning. (англ.) // Biochemistry. Biokhimiia. — 2018. — June (vol. 83, no. 6). — P. 690—700. — doi:10.1134/S0006297918060068. — PMID 30195325.
- ↑ The Nucleus, 2011, p. 315—316.
- ↑ The Nucleus, 2011, p. 316.
- ↑ The Nucleus, 2011, p. 316—317.
- ↑ The Nucleus, 2011, p. 317—318.
- ↑ The Nucleus, 2011, p. 318.
- ↑ Larson A. G., Narlikar G. J. The Role of Phase Separation in Heterochromatin Formation, Function, and Regulation. (англ.) // Biochemistry. — 2018. — 1 May (vol. 57, no. 17). — P. 2540—2548. — doi:10.1021/acs.biochem.8b00401. — PMID 29644850.
- ↑ Staněk D., Fox A. H. Nuclear bodies: news insights into structure and function. (англ.) // Current opinion in cell biology. — 2017. — Vol. 46. — P. 94—101. — doi:10.1016/j.ceb.2017.05.001. — PMID 28577509.
- ↑ Sawyer I. A., Bartek J., Dundr M. Phase separated microenvironments inside the cell nucleus are linked to disease and regulate epigenetic state, transcription and RNA processing. (англ.) // Seminars In Cell & Developmental Biology. — 2018. — 25 July. — doi:10.1016/j.semcdb.2018.07.001. — PMID 30017905.
- ↑ Sztacho M., Sobol M., Balaban C., Escudeiro Lopes S. E., Hozák P. Nuclear phosphoinositides and phase separation: Important players in nuclear compartmentalization. (англ.) // Advances In Biological Regulation. — 2018. — 17 September. — doi:10.1016/j.jbior.2018.09.009. — PMID 30249540.
- ↑ The Nucleus, 2011, p. 319.
- ↑ The Nucleus, 2011, p. 319—320.
- ↑ The Nucleus, 2011, p. 320—322.
- ↑ Hernandez-Verdun D. Nucleolus: from Structure to Dynamics // Histochemistry and Cell Biology. — 2006. — Vol. 125, no. 1-2. — P. 127—137. — doi:10.1007/s00418-005-0046-4. — PMID 16328431.
- 1 2 Lamond A. I., Sleeman J. E. Nuclear Substructure and Dynamics // Current Biology. — 2003. — Vol. 13, no. 21. — P. 825—828. — PMID 14588256.
- ↑ Lodish H., Berk A., Matsudaira P., Kaiser C. A., Krieger M., Scott M. P., Zipursky S. L., Darnell J. . Molecular Cell Biology. 5th edition. — New York: W. H. Freeman, 2004. — ISBN 0-7167-2672-6.
- 1 2 The Nucleus, 2011, p. 235.
- ↑ The Nucleus, 2011, p. 239.
- ↑ Dundr M., Misteli T. Functional Architecture in the Cell Nucleus // The Biochemical Journal. — 2001. — Vol. 356, Pt. 2. — P. 297—310. — PMID 11368755.
- 1 2 Lallemand-Breitenbach V., de Thé H. PML Nuclear Bodies // Cold Spring Harbor Perspectives in Biology. — 2010. — Vol. 2, no. 5. — P. a000661. — doi:10.1101/cshperspect.a000661. — PMID 20452955.
- 1 2 Lamond A. I., Spector D. L. Nuclear Speckles: a Model for Nuclear Organelles // Nature Reviews. Molecular Cell Biology. — 2003. — Vol. 4, no. 8. — P. 605—612. — doi:10.1038/nrm1172. — PMID 12923522.
- ↑ Tripathi K., Parnaik V. K. Differential Dynamics of Splicing Factor SC35 During the Cell Cycle // Journal of Biosciences. — 2008. — Vol. 33, no. 3. — P. 345—354. — PMID 19005234.
- ↑ Handwerger K. E., Gall J. G. Subnuclear Organelles: New Insights into Form and Function // Trends in Cell Biology. — 2006. — Vol. 16, no. 1. — P. 19—26. — doi:10.1016/j.tcb.2005.11.005. — PMID 16325406.
- ↑ Cellular component — Nucleus speckle. // UniProt: UniProtKB. Дата обращения: 30 августа 2013. Архивировано 13 ноября 2012 года.
- ↑ Gall J. G., Bellini M., Wu Zheng’an, Murphy C. Assembly of the Nuclear Transcription and Processing Machinery: Cajal Bodies (Coiled Bodies) and Transcriptosomes // Molecular Biology of the Cell. — 1999. — Vol. 10, no. 12. — P. 4385—4402. — PMID 10588665.
- ↑ Matera A. G., Terns R. M., Terns M. P. Non-coding RNAs: Lessons from the Small Nuclear and Small Nucleolar RNAs // Nature Reviews. Molecular Cell Biology. — 2007. — Vol. 8, no. 3. — P. 209—220. — doi:10.1038/nrm2124. — PMID 17318225.
- 1 2 3 Fox A. H., Lam Yun Wah, Leung A. K. L., Lyon C. E., Andersen J., Mann M., Lamond A. I. Paraspeckles: a Novel Nuclear Domain // Current Biology. — 2002. — Vol. 12, no. 1. — P. 13—25. — PMID 11790299.
- 1 2 Fox A. H., Bond C. S., Lamond A. I. P54nrb Forms a Heterodimer with PSP1 That Localizes to Paraspeckles in an RNA-dependent Manner // Molecular Biology of the Cell. — 2005. — Vol. 16, no. 11. — P. 5304—5315. — doi:10.1091/mbc.E05-06-0587. — PMID 16148043.
- ↑ The Nucleus, 2011, p. 274.
- ↑ Pollock C., Huang Sui. The Perinucleolar Compartment // Journal of Cellular Biochemistry. — 2009. — Vol. 107, no. 2. — P. 189—193. — doi:10.1002/jcb.22107. — PMID 19288520.
- ↑ The Nucleus, 2011, p. 264.
- ↑ The Nucleus, 2011, p. 288.
- ↑ The Nucleus, 2011, p. 300.
- ↑ The Nucleus, 2011, p. 301.
Литература
- The Nucleus / Tom Misteli, David L. Spector. — New York: Cold Spring Harbor Perpectives in Biology, 2011. — 463 p. — ISBN 978-0-87969-894-2.