Циклин D1
Циклин D1 — белок из семейства циклинов, специфически регулирующий фазовый переход G1 / S-фаза в клеточном цикле. У человека он кодируется геном CCND1, расположенным в хромосомном локусе 11q13[5][6].
Функция
Циклин D1 относится к семейству эволюционно очень консервативных белков — циклинов. Члены этого семейства характеризуются резкой зависимостью содержания этих белков в клетке от фазы клеточного цикла. Циклины функционируют как регуляторы так называемых циклин-зависимых киназ (CDK). Разные циклины проявляют разные паттерны экспрессии и деградации в различные фазы клеточного цикла. В комплексе всё это способствует строгой временнОй координации работы различных внутриклеточных сигнальных каскадов в течение каждого митотического события и правильному течению клеточного цикла. Так, в частности, циклин D1 образует комплекс с циклин-зависимыми киназами CDK4 и CDK6, и служит регуляторной субъединицей этих киназ (активирует их). В свою очередь, комплекс циклин D1 / CDK4 или циклин D1 / CDK6 активирует (фосфорилирует) так называемый белок ретинобластомы Rb (опухолевый супрессор), что способствует прогрессии клеточного цикла и переходу из G1 в S-фазу. А экспрессия гена циклина D1, в свою очередь, положительно регулируется белком Rb. Мутации, амплификация и избыточная экспрессия гена циклина D1, ускоряющая прогрессию клеточного цикла и деление клеток, часто наблюдается в различных опухолях и может способствовать онкогенезу (развитию опухолей).

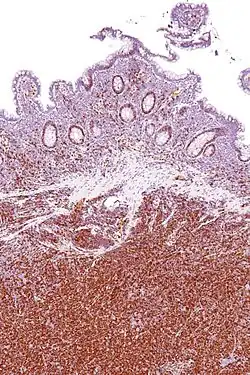
Иммуногистохимическое окрашивание на циклин D1 используется для диагностики мантийноклеточной лимфомы.
Было также обнаружено, что циклин D1 избыточно экспрессируется в клетках рака молочной железы. Было предложено его использование в качестве потенциального биомаркера[7].
Взаимодействия
Циклин D1 взаимодействует со следующими белками и генами:
Дополнительное чтение
- Akita H. [Prognostic importance of altered expression of cell cycle regulators in lung cancer] (англ.) // Nippon Rinsho : journal. — 2003. — Vol. 60 Suppl 5. — P. 267—271. — PMID 12101670.
- Chung D. C. Cyclin D1 in human neuroendocrine: tumorigenesis (англ.) // Ann. N. Y. Acad. Sci. : journal. — 2004. — Vol. 1014. — P. 209—217. — doi:10.1196/annals.1294.022. — PMID 15153436.
- Jain S., Khuri F. R., Shin D. M. Prevention of head and neck cancer: current status and future prospects (англ.) // Current Problems in Cancer : journal. — 2004. — Vol. 28, no. 5. — P. 265—286. — doi:10.1016/j.currproblcancer.2004.05.003. — PMID 15375804.
- Gladden A. B., Diehl J. A. Location, location, location: the role of cyclin D1 nuclear localization in cancer (англ.) // J. Cell. Biochem. : journal. — 2006. — Vol. 96, no. 5. — P. 906—913. — doi:10.1002/jcb.20613. — PMID 16163738.
- Walker J. L., Assoian R. K. Integrin-dependent signal transduction regulating cyclin D1 expression and G1 phase cell cycle progression (англ.) // Cancer Metastasis Rev. : journal. — 2006. — Vol. 24, no. 3. — P. 383—393. — doi:10.1007/s10555-005-5130-7. — PMID 16258726.
- Gautschi O., Ratschiller D., Gugger M., et al. Cyclin D1 in non-small cell lung cancer: a key driver of malignant transformation (англ.) // Lung Cancer : journal. — 2007. — Vol. 55, no. 1. — P. 1—14. — doi:10.1016/j.lungcan.2006.09.024. — PMID 17070615.
- Li Z., Wang C., Prendergast G. C., Pestell R. G. Cyclin D1 functions in cell migration (англ.) // Cell Cycle : journal. — 2007. — Vol. 5, no. 21. — P. 2440—2442. — doi:10.4161/cc.5.21.3428. — PMID 17106256.
- Tao Zhang, Breslin M. B., Lan M. S. Zinc Finger Transcription Factor INSM1 Interrupts Cyclin D1 and CDK4 Binding and Induces Cell Cycle Arrest (англ.) // J. Biol. Chem. : journal. — 2009. — Vol. 284, no. 9. — P. 5574—5581. — doi:10.1074/jbc.M808843200. — PMID 19124461. — PMC 2645817.
- Inaba T., Matsushime H., Valentine M., et al. Genomic organization, chromosomal localization, and independent expression of human cyclin D genes (англ.) // Genomics : journal. — Academic Press, 1992. — Vol. 13, no. 3. — P. 565—574. — doi:10.1016/0888-7543(92)90126-D. — PMID 1386335.
- Schuuring E., Verhoeven E., Mooi W. J., Michalides R. J. Identification and cloning of two overexpressed genes, U21B31/PRAD1 and EMS1, within the amplified chromosome 11q13 region in human carcinomas (англ.) // Oncogene : journal. — 1992. — Vol. 7, no. 2. — P. 355—361. — PMID 1532244.
- Seto M., Yamamoto K., Iida S., et al. Gene rearrangement and overexpression of PRAD1 in lymphoid malignancy with t(11;14)(q13;q32) translocation (англ.) // Oncogene : journal. — 1992. — Vol. 7, no. 7. — P. 1401—1406. — PMID 1535701.
- Rosenberg C. L., Wong E., Petty E. M., et al. PRAD1, a candidate BCL1 oncogene: mapping and expression in centrocytic lymphoma (англ.) // Proceedings of the National Academy of Sciences of the United States of America : journal. — 1991. — Vol. 88, no. 21. — P. 9638—9642. — doi:10.1073/pnas.88.21.9638. — PMID 1682919. — PMC 52773.
- Xiong Y., Connolly T., Futcher B., Beach D. Human D-type cyclin (англ.) // Cell. — Cell Press, 1991. — Vol. 65, no. 4. — P. 691—699. — doi:10.1016/0092-8674(91)90100-D. — PMID 1827756.
- Withers D. A., Harvey R. C., Faust J. B., et al. Characterization of a candidate bcl-1 gene (англ.) // Mol. Cell. Biol. : journal. — 1991. — Vol. 11, no. 10. — P. 4846—4853. — PMID 1833629. — PMC 361453.
- Tsujimoto Y., Yunis J., Onorato-Showe L., et al. Molecular cloning of the chromosomal breakpoint of B-cell lymphomas and leukemias with the t(11;14) chromosome translocation (англ.) // Science : journal. — 1984. — Vol. 224, no. 4656. — P. 1403—1406. — doi:10.1126/science.6610211. — PMID 6610211.
- Hall M., Bates S., Peters G. Evidence for different modes of action of cyclin-dependent kinase inhibitors: p15 and p16 bind to kinases, p21 and p27 bind to cyclins (англ.) // Oncogene : journal. — 1995. — Vol. 11, no. 8. — P. 1581—1588. — PMID 7478582.
- Tassan J. P., Jaquenoud M., Léopold P., et al. Identification of human cyclin-dependent kinase 8, a putative protein kinase partner for cyclin C (англ.) // Proceedings of the National Academy of Sciences of the United States of America : journal. — 1995. — Vol. 92, no. 19. — P. 8871—8875. — doi:10.1073/pnas.92.19.8871. — PMID 7568034. — PMC 41069.
- Fornaro M., Dell'Arciprete R., Stella M., et al. Cloning of the gene encoding Trop-2, a cell-surface glycoprotein expressed by human carcinomas (англ.) // Int. J. Cancer : journal. — 1995. — Vol. 62, no. 5. — P. 610—618. — doi:10.1002/ijc.2910620520. — PMID 7665234.
- Motokura T., Arnold A. PRAD1/cyclin D1 proto-oncogene: genomic organization, 5' DNA sequence, and sequence of a tumor-specific rearrangement breakpoint (англ.) // Genes Chromosomes Cancer : journal. — 1993. — Vol. 7, no. 2. — P. 89—95. — doi:10.1002/gcc.2870070205. — PMID 7687458.
- Gao, F., Zhou, L., Li, M., Liu, W., Yang, S., & Li, W. (2020). Inhibition of ERKs/Akt-Mediated c-Fos Expression Is Required for Piperlongumine-Induced Cyclin D1 Downregulation and Tumor Suppression in Colorectal Cancer Cells. OncoTargets and therapy, 13, 5591. doi:10.2147/OTT.S251295 PMC 7304781 PMID 32606774
- Cao, L., Liu, Y., Wang, D., Huang, L., Li, F., Liu, J., ... & Zhang, Y. (2018). MiR-760 suppresses human colorectal cancer growth by targeting BATF3/AP-1/cyclinD1 signaling. Journal of Experimental & Clinical Cancer Research, 37(1), 1-14. doi:10.1186/s13046-018-0757-8 PMC 5902951 PMID 29661228 BATF3 образует комплекс с c-Jun в составе AP-1 на промоторе циклина D1 и контролирует экспрессию циклина D1
Ссылки
- 1 2 3 GRCh38: Ensembl release 89: ENSG00000110092 - Ensembl, May 2017
- 1 2 3 GRCm38: Ensembl release 89: ENSMUSG00000070348 - Ensembl, May 2017
- ↑ Ссылка на публикацию человека на PubMed: Национальный центр биотехнологической информации, Национальная медицинская библиотека США.
- ↑ Ссылка на публикацию мыши на PubMed: Национальный центр биотехнологической информации, Национальная медицинская библиотека США.
- ↑ Motokura T., Bloom T., Kim H. G., Juppner H., Ruderman J. V., Kronenberg H. M., Arnold A. A novel cyclin encoded by a bcl1-linked candidate oncogene (англ.) // Nature : journal. — 1991. — May (vol. 350, no. 6318). — P. 512—515. — doi:10.1038/350512a0. — PMID 1826542.
- ↑ Lew D. J., Dulic V., Reed S. I. Isolation of three novel human cyclins by rescue of G1 cyclin (Cln) function in yeast (англ.) // Cell : journal. — Cell Press, 1991. — October (vol. 66, no. 6). — P. 1197—1206. — doi:10.1016/0092-8674(91)90042-W. — PMID 1833066.
- ↑ He Y. Expression and significance of Wnt signaling components and their target genes in breast carcinoma.. (англ.) // J Mol Med Rep : journal. — 2014. — January (vol. 9, no. 1). — P. 137—143. — doi:10.3892/mmr.2013.1774. — PMID 24190141. Архивировано 24 сентября 2015 года.
- ↑ Reutens A. T., Fu M., Wang C., Albanese C., McPhaul M. J., Sun Z., Balk S. P., Jänne O. A., Palvimo J. J., Pestell RG. Cyclin D1 binds the androgen receptor and regulates hormone-dependent signaling in a p300/CBP-associated factor (P/CAF)-dependent manner (англ.) // Mol Endocrinol : journal. — 2001. — May (vol. 15, no. 5). — P. 797—811. — doi:10.1210/mend.15.5.0641. — PMID 11328859.
- 1 2 Petre-Draviam C. E., Williams E. B., Burd C. J., Gladden A., Moghadam H., Meller J., Diehl J. A., Knudsen K. E. A central domain of cyclin D1 mediates nuclear receptor corepressor activity (англ.) // Oncogene : journal. — 2005. — January (vol. 24, no. 3). — P. 431—444. — doi:10.1038/sj.onc.1208200. — PMID 15558026.
- ↑ Knudsen K. E., Cavenee W. K., Arden K. C. D-type cyclins complex with the androgen receptor and inhibit its transcriptional transactivation ability (англ.) // Cancer Res. : journal. — American Association for Cancer Research, 1999. — May (vol. 59, no. 10). — P. 2297—2301. — PMID 10344732.
- 1 2 Wang C., Fan S., Li Z., Fu M., Rao M., Ma Y., Lisanti M. P., Albanese C., Katzenellenbogen B. S., Kushner P. J., Weber B., Rosen E. M., Pestell RG. Cyclin D1 antagonizes BRCA1 repression of estrogen receptor alpha activity. (англ.) // Cancer Res. : journal. — American Association for Cancer Research, 2005. — August (vol. 65, no. 15). — P. 6557—6567. — doi:10.1158/0008-5472.CAN-05-0486. — PMID 16061635.
- 1 2 Casimiro M. C., Wang C., Li Z., Di Sante G., Willmart N. E., Addya S., Chen L., Liu Y., Lisanti M. P., Pestell RG. Cyclin D1 determines estrogen signaling in the mammary gland in vivo. (англ.) // Mol Endocrinol : journal. — 2013. — September (vol. 27, no. 9). — P. 1415—1428. — doi:10.1210/me.2013-1065. — PMID 23864650.
- ↑ Xia C., Bao Z., Tabassam F., Ma W., Qiu M., Hua S., Liu M. GCIP, a novel human grap2 and cyclin D interacting protein, regulates E2F-mediated transcriptional activity (англ.) // J. Biol. Chem. : journal. — 2000. — July (vol. 275, no. 27). — P. 20942—20948. — doi:10.1074/jbc.M002598200. — PMID 10801854.
- 1 2 Sugimoto M., Nakamura T., Ohtani N., Hampson L., Hampson I. N., Shimamoto A., Furuichi Y., Okumura K., Niwa S., Taya Y., Hara E. Regulation of CDK4 activity by a novel CDK4-binding protein, p34(SEI-1) (англ.) // Genes Dev. : journal. — 1999. — November (vol. 13, no. 22). — P. 3027—3033. — doi:10.1101/gad.13.22.3027. — PMID 10580009. — PMC 317153.
- ↑ Serrano M., Hannon G. J., Beach D. A new regulatory motif in cell-cycle control causing specific inhibition of cyclin D/CDK4 (англ.) // Nature : journal. — 1993. — December (vol. 366, no. 6456). — P. 704—707. — doi:10.1038/366704a0. — PMID 8259215.
- 1 2 Lin J., Jinno S., Okayama H. Cdk6-cyclin D3 complex evades inhibition by inhibitor proteins and uniquely controls cell's proliferation competence (англ.) // Oncogene : journal. — 2001. — April (vol. 20, no. 16). — P. 2000—2009. — doi:10.1038/sj.onc.1204375. — PMID 11360184.
- ↑ Taulés M., Rius E., Talaya D., López-Girona A., Bachs O., Agell N. Calmodulin is essential for cyclin-dependent kinase 4 (Cdk4) activity and nuclear accumulation of cyclin D1-Cdk4 during G1 (англ.) // J. Biol. Chem. : journal. — 1998. — December (vol. 273, no. 50). — P. 33279—33286. — doi:10.1074/jbc.273.50.33279. — PMID 9837900.
- ↑ Cariou S., Donovan J. C., Flanagan W. M., Milic A., Bhattacharya N., Slingerland J. M. Down-regulation of p21WAF1/CIP1 or p27Kip1 abrogates antiestrogen-mediated cell cycle arrest in human breast cancer cells (англ.) // Proceedings of the National Academy of Sciences of the United States of America : journal. — 2000. — August (vol. 97, no. 16). — P. 9042—9046. — doi:10.1073/pnas.160016897. — PMID 10908655. — PMC 16818.
- ↑ Coleman K. G., Wautlet B. S., Morrissey D., Mulheron J., Sedman S. A., Brinkley P., Price S., Webster K. R. Identification of CDK4 sequences involved in cyclin D1 and p16 binding (англ.) // J. Biol. Chem. : journal. — 1997. — July (vol. 272, no. 30). — P. 18869—18874. — doi:10.1074/jbc.272.30.18869. — PMID 9228064.
- ↑ Neuman E., Ladha M. H., Lin N., Upton T. M., Miller S. J., DiRenzo J., Pestell R. G., Hinds P. W., Dowdy S. F., Brown M., Ewen M. E. Cyclin D1 stimulation of estrogen receptor transcriptional activity independent of cdk4 (англ.) // Mol Cell Biol : journal. — 1997. — September (vol. 17, no. 9). — P. 5338—5347. — PMID 9271411. — PMC 232384.
- ↑ Zwijsen R. M., Wientjens E., Klompmaker R., van der Sman J., Bernards R., Michalides R. J. CDK-independent activation of estrogen receptor by cyclin D1 (англ.) // Cell : journal. — Cell Press, 1997. — February (vol. 88, no. 3). — P. 405—415. — doi:10.1016/s0092-8674(00)81879-6. — PMID 9039267.
- 1 2 Lin H. M., Zhao L., Cheng S. Y. Cyclin D1 Is a Ligand-independent Co-repressor for Thyroid Hormone Receptors (англ.) // J. Biol. Chem. : journal. — 2002. — August (vol. 277, no. 32). — P. 28733—28741. — doi:10.1074/jbc.M203380200. — PMID 12048199.
- ↑ Fu M., Rao M., Bouras T., Wang C., Wu K., Zhang X., Li Z., Yao T. P., Pestell R. G. Cyclin D1 inhibits peroxisome proliferator-activated receptor gamma-mediated adipogenesis through histone deacetylase recruitment (англ.) // J Biol Chem : journal. — 2006. — July (vol. 280, no. 17). — P. 16934—16941. — doi:10.1074/jbc.M500403200. — PMID 15713663.
- ↑ Ratineau C., Petry M. W., Mutoh H., Leiter A. B. Cyclin D1 represses the basic helix-loop-helix transcription factor, BETA2/NeuroD (англ.) // J. Biol. Chem. : journal. — 2002. — March (vol. 277, no. 11). — P. 8847—8853. — doi:10.1074/jbc.M110747200. — PMID 11788592.
- ↑ Zwijsen R. M., Buckle R. S., Hijmans E. M., Loomans C. J., Bernards R. Ligand-independent recruitment of steroid receptor coactivators to estrogen receptor by cyclin D1 (англ.) // Genes Dev. : journal. — 1998. — November (vol. 12, no. 22). — P. 3488—3498. — doi:10.1101/gad.12.22.3488. — PMID 9832502. — PMC 317237.
- ↑ Wang C., Li Z., Lu Y., Du R., Katiyar S., Yang J., Fu M., Leader J. E., Quong A., Novikoff P. M., Pestell RG. Cyclin D1 repression of nuclear respiratory factor 1 integrates nuclear DNA synthesis and mitochondrial function (англ.) // Proceedings of the National Academy of Sciences of the United States of America : journal. — 2006. — July (vol. 103, no. 31). — P. 11567—11572. — doi:10.1073/pnas.0603363103. — PMID 16864783.
- ↑ Fu M., Wang C., Rao M., Wu X., Bouras T., Zhang X., Li Z., Jiao X., Yang J., Li A., Perkins N. D., Thimmapaya B., Kung A. L., Munoz A., Giordano A., Lisanti M. P., Pestell R. G. Cyclin D1 represses p300 transactivation through a cyclin-dependent kinase-independent mechanism. (англ.) // J Biol Chem : journal. — 2005. — August (vol. 280, no. 33). — P. 29728—29742. — doi:10.1074/jbc.M503188200. — PMID 15951563.
- ↑ Meng H., Tian L., Zhou J., Li Z., Jiao X., Li W. W., Plomann M., Xu Z., Lisanti M. P., Wang C., Pestell R. G. PACSIN 2 represses cellular migration through direct association with cyclin D1 but not its alternate splice form cyclin D1b (англ.) // Mol Cell Biol : journal. — 2011. — January (vol. 10, no. 1). — P. 73—81. — doi:10.4161/cc.10.1.14243. — PMID 21200149.
- ↑ Matsuoka S., Yamaguchi M., Matsukage A. D-type cyclin-binding regions of proliferating cell nuclear antigen (англ.) // J. Biol. Chem. : journal. — 1994. — April (vol. 269, no. 15). — P. 11030—11036. — PMID 7908906.
- ↑ Xiong Y., Zhang H., Beach D. Subunit rearrangement of the cyclin-dependent kinases is associated with cellular transformation (англ.) // Genes Dev. : journal. — 1993. — August (vol. 7, no. 8). — P. 1572—1583. — doi:10.1101/gad.7.8.1572. — PMID 8101826.
- ↑ Wang C., Pattabiraman N., Zhou J. N., Fu M., Sakamaki T., Albanese C., Li Z., Wu K., Hulit J., Neumeister P., Novikoff P. M., Brownlee M., Scherer P. E., Jones J. G., Whitney K. D., Donehower L. A., Harris E. L., Rohan T., Johns D. C., Pestell R. G. Cyclin D1 repression of peroxisome proliferator-activated receptor gamma expression and transactivation (англ.) // Mol Cell Biol : journal. — 2003. — September (vol. 23, no. 17). — P. 6159—6173. — doi:10.1128/mcb.23.17.6159-6173.2003. — PMID 12917338.
- ↑ Li Z., Jiao X., Wang C., Shirley L. A., Elsaleh H., Dahl O., WAng M., Soutoglou E., Knudsen E. S., Pestell R. G. Alternative cyclin D1 splice forms differentially regulate the DNA damage response (англ.) // Cancer Res. : journal. — American Association for Cancer Research, 2010. — November (vol. 70, no. 21). — P. 8802—8811. — doi:10.1158/0008-5472.CAN-10-0312. — PMID 20940395.
- 1 2 Siegert J. L., Rushton J. J., Sellers W. R., Kaelin W. G., Robbins P. D. Cyclin D1 suppresses retinoblastoma protein-mediated inhibition of TAFII250 kinase activity (англ.) // Oncogene : journal. — 2000. — November (vol. 19, no. 50). — P. 5703—5711. — doi:10.1038/sj.onc.1203966. — PMID 11126356.
- ↑ Dowdy S. F., Hinds P. W., Louie K., Reed S. I., Arnold A., Weinberg R. A. Physical interaction of the retinoblastoma protein with human D cyclins (англ.) // Cell : journal. — Cell Press, 1993. — May (vol. 73, no. 3). — P. 499—511. — doi:10.1016/0092-8674(93)90137-f. — PMID 8490963.
- ↑ Adnane J., Shao Z., Robbins P. D. Cyclin D1 associates with the TBP-associated factor TAF(II)250 to regulate Sp1-mediated transcription (англ.) // Oncogene : journal. — 1999. — January (vol. 18, no. 1). — P. 239—247. — doi:10.1038/sj.onc.1202297. — PMID 9926939.






