Фокально-сегментарный гломерулосклероз
| Фокально-сегментарный гломерулосклероз | |
|---|---|
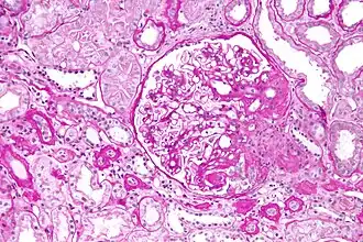
![]() Световая микроскопия нефробиоптата, PAS-реакция. Фокально-сегментарный гломерулосклероз, перихиллярный вариант. | |
| МКБ-10 | N00, N08 и N04.1 |
| МКБ-10-КМ | 581.1 |
| МКБ-9 | 581.1 и N04.1 |
| МКБ-9-КМ | 582.1 |
| OMIM | 603278 |
| MedlinePlus | 000478 |
| MeSH | D005923 |
Фокально-сегментарный гломерулосклероз (ФСГС) — это форма гломерулонефрита, для которого характерно склерозирование отдельных сегментов в части клубочков (фокально-сегментарные изменения). В основе ФСГС лежит повреждение подоцитов[1], что ведёт к нарушению фильтрационной функции почек и развитию протеинурии. ФСГС является одной из ведущих причиной нефротического синдрома у детей и взрослых[2], приводя к развитию хронической почечной недостаточности. Выделяют первичный ФСГС, а также вторичные формы, развившиеся на фоне многочисленных повреждающих почки факторов. Для установки диагноза необходимо гистологическое исследование. В качестве лечения используются глюкокортикостероиды и препараты, влияющие на иммунную систему[3]. Реакция на терапию варьирует в широких пределах, при этом у довольно значительной части пациентов развивается терминальная стадия почечной недостаточности, требующая заместительной почечной терапии.
Симптомы
Общие клинические проявления ФСГС обусловлены массивной протеинурией и включают в себя:
- «пенистость» мочи (в связи с повышенным уровнем белка)
- избыточная задержка воды (отёки гипоонкотического генеза, в связи со снижением уровня альбумина сыворотки)
- повышенная восприимчивость к инфекционным заболеваниям (вероятно, обусловлена потерей с мочой антител как белковых молекул)
Основные лабораторные маркёры при ФСГС:
- протеинурия (в том числе нефротического уровня — более 3,5 г белка в сутки)
- гипоальбуминемия (ниже 35 г/л)
- гиперхолестеринемия
- патологические цилиндры в мочевом осадке
Патофизиология
В настоящее время патогенез ФСГС до конца не изучен. Предполагается, что ведущую роль в развитии ФСГС играет повреждение подоцитов. Под воздействием генетических поломок или циркулирующих повреждающих факторов происходит структурная дезорганизация щелевидной диафрагмы подоцитов, сглаживание ножковых отростков, что в конечном счёте приводит к развитию нефротического синдрома как основного клинического проявления ФСГС. Повреждённые подоциты отделяются от базальной мембраны клубочка, приобретают свойства макрофагов и участвуют в формировании очагов фиброза (склероза), который значительно выражен (в отличие от болезни минимальных изменений, также имеющей в основе повреждение подоцитов) и в дальнейшем приводит к развитию почечной недостаточности.
При гистологическом исследовании отмечается склерозирование лишь части клубочков, к тому же повреждённые клубочки склерозированы не полностью, а сегментарно, что позволяет провести дифференциальную диагностику с другими клубочковыми заболеваниями почек.
Классификация
По этиологическому принципу выделяют следующие формы ФСГС:
- Первичный ФСГС — этиологический агент выделить не удаётся, предполагается, что повреждение подоцитов обусловлено циркулирующими в крови повреждающими факторами, не доступными для определения в настоящее время.
- Генетический ФСГС — вследствие генетических поломок в подоцитах, включает в себя как семейные, так и спорадические формы
- Вторичный ФСГС — вызван многочисленными известными в настоящее время повреждающими факторами. Так, при ожирении, а также при утрате одной почки, в основе патогенеза лежит гиперфильтрация клубочков, что приводит к повреждению по типу ФСГС. Среди известных состояний, к ФСГС приводят сахарный диабет, артериальная гипертензия, ожирение, ВИЧ, героиновая наркомания, состояния, связанные со снижением массы действующих нефронов — олигомеганефрония, односторонняя агенезия почки, дисплазия почек, реноваскулярная болезнь, и др.
- Неуточнённый ФСГС — наличие повреждения подоцитов по данным электронной микроскопии, но отсутствие этиологического агента и клинико-морфологических признаков ФСГС
На основании гистологической картины различают такие варианты ФСГС, как[4]:
- Классический — наличие зон склероза и гиалиноза в некоторых сегментах отдельных клубочков, умеренная клеточная пролиферация, адгезия петель клубочков к капсуле с образованием синехий, гипертрофия и вакуолизация подоцитов, отделение их от базальной мембраны клубочка, жировая и белковая дистрофия эпителия канальцев
- Перихиллярный — склерозирование зоны сосудов
- Клеточный — расширение мезангия, гиперклеточность клубочка
- Коллапсирующий — спадение сосудистых петель клубочка с образованием свободного подкапсульного пространства, выраженные тубуло-интерстициальные изменения
- Верхушечный — склерозирование зоны вблизи отхождения проксимального канальца от капсулы Боумена[5]
Следует отметить, что коллапсирующий вариант ФСГС имеет самый неблагоприятный прогноз, быстро приводя к терминальной почечной недостаточности, а tip-вариант — самый благоприятный, редко приводя к тяжелой почечной недостаточности.
Диагностика
Основные методы обследования пациентов с подозрением на ФСГС
- Общий (клинический) анализ крови — повышение СОЭ, анемия при развитии почечной недостаточности, лейкоцитарный сдвиг при инфекционной этиологии, цитопения при хронических вирусных заболеваниях
- Общий анализ мочи — протеинурия нефротического уровня, редко — микрогематурия
- Биохимический анализ крови — снижение общего белка, альбумина, повышение общего холестерина, при развитии почечной недостаточности — повышение креатинина, мочевины, мочевой кислоты
- Коагулограмма — тенденция к гиперкоагуляции, повышение фибриногена и отдельных факторов свёртывания, снижение уровня антитромбина III
- Иммунологические исследования — повышение уровня IgM, снижение IgG, показатели комплемента не изменены
- УЗИ почек — увеличение размеров почек в начальной стадии при нефротическом синдроме, уменьшение размеров почек и прогрессирующее уменьшение размеров коры — при развитии почечной недостаточности
Нефробиопсия и гистологическое исследование — проводится для окончательного установления диагноза и определения прогноза.
Лечение
Терапией первой линии является назначение глюкокортикостероидов. Лечение начинают с высоких доз преднизолона (1 мг/кг массы тела в сутки, максимально 80 мг в сутки), при этом тщательно следят за возможным развитием побочных эффектов терапии. Длительность лечения — не менее 4 и не более 16 недель, при этом определённая категория пациентов не отвечает на терапию глюкокортикостероидами, и продолжение терапии до 16 недель в этом случае дискутабельна, особенно при развитии побочных эффектов. Стероид-чувствительные пациенты демонстрируют снижение уровня суточной протеинурии до 16 недели лечения.
При быстром достижении ремиссии производят постепенную отмену преднизолона, снижая дозу на 5 мг каждые 1-2 недели, так, чтобы общая длительность лечения составляла 6 месяцев.
Если в течение 8-12 недель лечения достигнута частичная ремиссия, необходимо продолжить приём высоких доз преднизолона до 16 недель, в дальнейшем — постепенная отмена по 5 мг каждые 1-2 недели до достижения общей длительности лечения 6 месяцев.
При отсутствии эффекта от глюкокортикоидов переходят на терапию ингибиторами кальциневрина.
Циклоспорин используют в начальной дозе 3-5 мг/кг/сут в два приёма, Такролимус — 0,05-0,1 мг/кг/сут в два приёма.
Необходимо следить за уровнем препаратов в крови для предотвращения нефротоксичности! Целевые остаточные уровни: для циклоспорина — 100—175 нг/мл (83-146 нмоль/л), для такролимуса — 5-10 нг/мл (6-12 нмоль/л).
Длительность лечения ингибиторами кальциневрина — 4-6 месяцев. При достижении частичной или полной ремиссии следует продолжить приём препаратов до 12 месяцев, в дальнейшем препараты могут быть полностью отменены путём постепенного снижения дозы в течение 12 месяцев[6].
Необходимо также учитывать этиологический фактор при вторичном ФСГС, лечение должно быть комплексным.
Прогноз
Важным прогностическим фактором является уровень протеинурии и ответ на лечение. При протеинурии нефротического уровня риск развития терминальной почечной недостаточности составляет 50 %, при субнефротической протеинурии — только 15 %[7]. При наличии ответа на лечение риски развития терминальной почечной недостаточности также меньше, чем при его отсутствии. Отмечено, что чем ниже уровень протеинурии, тем лучше ответ на лечение и прогноз[8].
Примечания
- ↑ Avi Z. Rosenberg, Jeffrey B. Kopp. Focal Segmental Glomerulosclerosis (англ.) // Clinical Journal of the American Society of Nephrology. — 2017-03-07. — Vol. 12, iss. 3. — P. 502–517. — ISSN 1555-905X 1555-9041, 1555-905X. — doi:10.2215/CJN.05960616.
- ↑ Chagriya Kitiyakara, Paul Eggers, Jeffrey B. Kopp. Twenty-one-year trend in ESRD due to focal segmental glomerulosclerosis in the United States // American Journal of Kidney Diseases: The Official Journal of the National Kidney Foundation. — 2004-11. — Т. 44, вып. 5. — С. 815–825. — ISSN 1523-6838. Архивировано 4 октября 2022 года.
- ↑ Kirk N. Campbell, James A. Tumlin. Protecting Podocytes: A Key Target for Therapy of Focal Segmental Glomerulosclerosis (англ.) // American Journal of Nephrology. — 2018. — Vol. 47, iss. Suppl. 1. — P. 14–29. — ISSN 1421-9670 0250-8095, 1421-9670. — doi:10.1159/000481634. Архивировано 4 октября 2022 года.
- ↑ D'Agati V. D., Fogo A. B., Bruijn J. A., Jennette J. C. Pathologic classification of focal segmental glomerulosclerosis: a working proposal (англ.) // American Journal of Kidney Diseases. — 2004. — Vol. 43, iss. 2. — P. 368–382. — doi:10.1053/j.ajkd.2003.10.024. Архивировано 3 января 2023 года.
- ↑ D.B. Thomas, N. Franceschini, S.L. Hogan, S. ten Holder, C.E. Jennette. Clinical and pathologic characteristics of focal segmental glomerulosclerosis pathologic variants (англ.) // Kidney International. — 2006-03. — Vol. 69, iss. 5. — P. 920–926. — doi:10.1038/sj.ki.5000160. Архивировано 16 июня 2022 года.
- ↑ Ровин Брэд, Адлер Шарон, Бэррэтт Джонатан, Бриду Фрэнк, Бёрдж Келли, Чан Тэк Мао, Кук Терренс, Фервенца Фернандо, Джибсон Кейша, Глэссок Ричард, Джейн Дэвид, Джа Вивекананд, Льё Эдриан, Лиу Жи-Хонг, Мейа-Вилет Хуан, Нестер Карла, Радакришнан Джей, Рэйв Элизабет, Рейш Хизер, Ронко Пьер, Сандерс Ян-Стефан, Сети Санджев, Сузуки Юцуке, Танг Сидней, Тезар Владимир, Виварелли Марина, Ветцельс Джек, Литвин Любовь, Крейг Джонатан, Танклифф Дэвид, Хоуэлл Мартин, Тонелли Марчелло, Чонг Майкл, Эрли Эми, Флёге Йорген. [Ровин Брэд, Адлер Шарон, Бэррэтт Джонатан, Бриду Фрэнк, Бёрдж Келли, Чан Тэк Мао, Кук Терренс, Фервенца Фернандо, Джибсон Кейша, Глэссок Ричард, Джейн Дэвид, Джа Вивекананд, Льё Эдриан, Лиу Жи-Хонг, Мейа-Вилет Хуан, Нестер Карла, Радакришнан Джей, Рэйв Элизабет, Рейш Хизер, Ронко Пьер, Сандерс Ян-Стефан, Сети Санджев, Сузуки Юцуке, Танг Сидней, Тезар Владимир, Виварелли Марина, Ветцельс Джек, Литвин Любовь, Крейг Джонатан, Танклифф Дэвид, Хоуэлл Мартин, Тонелли Марчелло, Чонг Майкл, Эрли Эми, Флёге Йорген Краткий обзор рекомендаций KDIGO 2021 по ведению гломерулярных заболеваний. Нефрология и диализ. 2022. 24(1):21-51. doi: 10.28996/2618-9801-2022-1-21-51 Краткий обзор рекомендаций KDIGO 2021 по ведению гломерулярных заболеваний] (рус.) // Нефрология и диализ : журнал. — 2021. — Т. 24, № 1. — С. 21—51.
- ↑ Stephen M. Korbet, Melvin M. Schwartz, Edmund J. Lewis. Primary Focal Segmental Glomerulosclerosis: Clinical Course and Response to Therapy (англ.) // American Journal of Kidney Diseases. — 1994-06. — Vol. 23, iss. 6. — P. 773–783. — doi:10.1016/S0272-6386(12)80128-4. Архивировано 22 октября 2022 года.
- ↑ Stéphan Troyanov, Catherine A. Wall, Judith A. Miller, James W. Scholey, Daniel C. Cattran. Focal and Segmental Glomerulosclerosis: Definition and Relevance of a Partial Remission (англ.) // Journal of the American Society of Nephrology. — 2005-04. — Vol. 16, iss. 4. — P. 1061–1068. — ISSN 1533-3450 1046-6673, 1533-3450. — doi:10.1681/ASN.2004070593.
