Смена зубов

Смена зубов — замена одного поколения зубов другим. У позвоночных, имеющих зубы, может быть одна смена зубов (дифиодонти́зм или дифиодонтия — два поколения) или их может быть много (полифиодонтизм). Также может не быть смены зубов (монофиодонтизм). У человека смена зубов при заходе в возрасте 6-7 до 12 лет

Физиология смены зубов

Источником формирования закладок эмалевых органов постоянных зубов служит зубная пластинка.

В современной литературе выделяют четыре основные теории, объясняющие механизм прорезывания зубов (Быков В. Л., 1998):

  1. Теория роста корня зуба.
  2. Повышение гидростатического давления в периапикальной зоне или пульпе зуба.
  3. Перестройка костной ткани.
  4. Тяга периодонта.

Животные с одним поколением зубов

Монофиодонтизм характерен для рукокрылых, некоторых неполнозубых, китообразных.

У неполнозубых все зубы однородные, колышковидной формы с одним корнем, с постоянным ростом в течение жизни.

У всех китов зубы имеются в эмбриональном состоянии, но у усатых китов атрофируются, не прорезываясь, и заменяются бахромчатыми роговыми пластинами так называемого китового уса. У зубатых китов зубы конические, однородные, недифференцированные на резцы, клыки и коренные.

Дифиодонтные животные (два поколения)

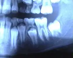
Панорамная рентгенограмма зубов: видны закладки постоянных зубов под прорезавшимися молочными, справа на схеме — белым окрашены молочные зубы, тёмные — закладка постоянных зубов в челюсти

Наличие двух поколений (генераций) зубов свойственно большинству млекопитающих.

Первое поколение — молочные зубы, второе — постоянные.


Дифиодонтия человека

Первый зуб-моховик появляется у ребенка на шестом месяце жизни. К трём годам прорезываются почти все молочные зубы. В шесть лет молочные зубы начинают замещаться первыми постоянными зубами, заканчивается их замена к тринадцати годам. Четыре коренных зуба (зубы мудрости) обычно появляются после 18 лет.

У взрослого человека имеется от 28 до 32 постоянных зубов (8 резцов, 4 клыка, 8 малых коренных и 8-12 больших коренных). Состав зубов принято выражать зубной формулой:  — 2 резца, 1 клык, 2 малых и 3 больших коренных зуба.

Зачаток постоянного зуба отделен от корня молочного тонкой костной пластинкой. С развитием зачатка постоянного зуба последний начинает давить на костную перегородку. В окружающей соединительной ткани появляются остеокласты, которые и разрушают эту перегородку. Далее процесс начинает идти с двух сторон — с поверхности корня с помощью остеокластов и со стороны пульпы. Пульпа молочного зуба постепенно превращается в грануляционную ткань, богатую кровеносными сосудами и остеокластами, которая разрушает дентин. Процесс заканчивается полным рассасыванием корней молочных зубов, оставляя одну коронку, которую легко удаляют иногда сами дети или выталкивает растущий постоянный зуб. Прорезывание постоянных зубов не сопровождается какими-либо болезненными изменениями со стороны организма ребенка, как это наблюдается в период прорезывания молочных зубов. Исключение составляют зубы мудрости, которые прорезываются в возрасте от 17 до 25 лет и старше.

Полифиодонтные животные

Наблюдается у низших позвоночных, например у рыб. Среди высших позвоночных свойственна например рептилиям, слоновым.

Смена зубов у зубастых птиц

Одонторниты, существовавшие в меловом периоде, имели зубы на верхнечелюстных и нижнечелюстных костях, но неясно, как именно происходила смена зубов и происходила ли она вообще.