Сенсибилизация (психология)
![]() |
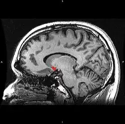
| Прилегающее ядро на МРТ головного мозга человека |
Сенсибилизация — концепция в психологии, объясняющая тот феномен, что люди после повторного приема вызывающего болезненное пристрастие вещества, независимо от вызываемого им чувства удовольствия и часто вопреки пониманию вреда, испытывают ещё большее пристрастие и тягу к повторному потреблению[1][2]. Концепция была предложена на основании опытов, в ходе которых экспериментальным животным вводили психостимуляторы, причём повторное введение лекарства вызывало усиленную психомоторную реакцию на введение прежней дозы[3][4]. Считается, что причина этого явления может быть связана со стойкими изменениями в прилежащем ядре, компоненте так называемого центра удовольствия.
Сенсибилизация — в разной степени выраженный у разных индивидов, специфический в отношении определенного вещества эффект, не связанный с перекрёстными реакциями, хотя она также может быть эффектом многих индуцирующих зависимость лекарств. Этот процесс является противоположностью формированию привыканию (габитуации). Сенсибилизация приводит к снижению чувствительности в области прилежащего ядра. Вследствие этого, ядро может активироваться уже минимальными дозами, а иногда и ассоциированными с наркотиком раздражителями. Так возникает «управляемая влечением» мотивация с импульсивным побуждением к действию. Эта мотивация манифестирует, прежде всего, в таких подкорковых центрах как полосатое тело. Эта так называемая «возбуждающая сенсибилизация» может объяснить феномен, заключающийся в том, что зависимый от какого-либо вещества больной, независимо от субъективного чувства удовольствия, испытывает чувство, вынуждающее снова найти и принять соответствующее наркотическое вещество. При этом данный процесс и следующие за ним действия и поступки в их целенаправленности не воспринимаются больным как насильственные, так как в этом случае не обязательно дело доходит до осознанной непреодолимой потребности в соответствующей субстанции.
Нейробиологический коррелят процессов сенсибилизации не вполне ясен. Возможно, этот процесс вносит решающий вклад в так называемою «наркотическую память», причем в её реализации, как полагают, участвует взаимодействие многих структур (в том числе, гиппокампа). В этой связи можно думать о вовлечении в процесс стойких изменений дофаминергической нервной передачи в прилежащем ядре, например, о повышении активности дофамина или сенсибилизации D1-дофаминовых рецепторов. Считается, что играть решающую роль при этом может развитие долгосрочного потенцирования в вентральном отделе полосатого тела и обусловленное им изменение глутаминергической нервной передачи[3].
См. также
Примечания
- ↑ sensitization. dictionary.reference.com. Дата обращения: 23 августа 2013. Архивировано 1 сентября 2013 года.
- ↑ Sensitization. Psychology: An Introduction by Russ Dewey. — Chapter 13: Therapies. Дата обращения: 23 августа 2013. Архивировано 1 сентября 2013 года.
- 1 2 Robinson TE, Berridge KC (1993). «The neural basis of drug craving: An incentive-sensitization theory of addiction». Brain Res Brain Res Rev 18(3): 247—291, PMID 8401595.
- ↑ David W. Self, Julie K. Staley Behavioral Neuroscience of Drug Addiction
