Розетка (патология)
Розетка (палисад) — это термин в патоморфологии, означающий один ряд вытянутых неопластических клеток, расположенных перпендикулярно центру и параллельно друг другу.[1] Клетки располагаются в виде венчика, «лучистой короны» или «колеса со спицами» вокруг центра розетки, кажущегося пустым. Псевдорозетки («периваскулярные» розетки) располагаются вокруг небольших кровеносных сосудов или нейропиля.[2]
Этот гистологический паттерн напоминает одноимённый орнамент, а также некоторые окна в кафедральных готических соборах. Отсюда происходит название.
Истинные розетки

Розетка это клеточная структура, состоящая из клеток, окружающая центральное «ядро» в виде «колеса со спицами». Центр розетки может иметь кажущийся пустым просвет или быть заполненным цитоплазматическими отростками окружающих клеток. Цитоплазма каждой клетки розетки часто имеет форму клина, направленного в центр розетки, ядра клеток находятся на периферии и образуют кольцо или «нимб» вокруг розетки.[2]
Истинные розетки бывают двух типов: эпендимальные розетки и розетки Флекснера-Винтерштайнера.[2]
Эпендимальные розетки
Пустой просвет истинной эпендимальной розетки напоминает просвет канальца и не содержит нервных волокон нейропиля или цитоплазматических отростков клеток. Эти тубулярные структуры, которые могут быть достаточно протяженными, называются эпендимальными каналами. Формирование таких структур может свидетельствовать о попытке опухолевых клеток повторить строение желудочков мозга с эпендимальной оболочкой.[2]
Наличие этой розетки в гистологическом препарате с высокой вероятностью говорит о эпендимальной дифференцировке опухоли.[2]


Розетки Флекснера-Винтерштайнера
Розетки Флекснера-Винтерштайнера это скопления опухолевых клеток в виде «колеса со спицами» наиболее часто встречающиеся в ретинобластомах и некоторых других опухолях глаза.[2]
В отличие от розеток Гомера Райта центр розетки Флекснера-Винтерштайнера лишен нейропиля с нервными волокнами.[2] Электронная микроскопия показывает, что опухолевые клетки, образующие розетку Флекснера-Винтерштайнера, имеют ультраструктурные особенности примитивных фоторецепторных клеток.[3] Кроме того, просвет розетки имеет те же особенности окрашивания, что и палочки и колбочки[4], из чего можно предположить, что розетки Флекснера-Винтерштайнера представляют собой специфическую форму дифференцировки клеток сетчатки.
Розетки Флекснера-Винтерштейнера не только характерны для ретинобластом, они могут быть обнаружены в пинеалобластомах и медуллоэпителиомах.

Розетки Флекснера-Винтерштейнера были впервые описаны Симоном Флекснером (1863—1946), американским врачом, ученым, администратором и профессором экспериментальной патологии Пенсильванского университета (1899—1903). Флекснер отметил характерные скопления клеток в опухоли глаза у ребенка, которую он назвал ретиноэпителиомой.[5] Несколько лет спустя, в 1897 году, австрийский офтальмолог Хьюго Винтерштейнер (1865—1946) подтвердил наблюдения Флекснера и отметил, что кластеры клеток напоминают палочки и колбочки.[6] Эти характерные розеточные образования впоследствии были признаны важными особенностями ретинобластом.
Псевдорозетки
Псевдорозетки это скопления опухолевых клеток вокруг небольших кровеносных сосудов (периваскулярные) или нейропиля (псевдорозетки Гомера Райта). Их можно встретить в нейробластомах, медуллобластомах, злокачественных меланомах, эпиндимомах, карциномах Меркеля, нейроэндокринных опухолях кожи, себорейном кератозе, дендритной нейрофиброме, астробластоме, крупноклеточной нейроэндокринной опухоли шейки матки, светлоклеточной эпендимоме спинного мозга, при целиакии, опухолях носовой полости обонятельного происхождения, розеткообразующей глионевральной опухоли (РГНТ), онкоцитоме, опухоль Вильмса, феохромоцитоме мочевого пузыря.[2]

Псевдорозетки Гомера Райта
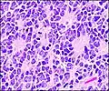
Псевдорозетки Гомера Райта является одним из видов псевдорозеток, в котором дифференцированные клетки опухолей окружают нейропиль.[7] Примерами опухолей, содержащих эти розетки, являются нейробластома, медуллобластома, пинеалобластома и примитивные нейроэктодермальные опухоли кости. Розетки Гомера Райта являются «псевдо» в том смысле, что они не настоящие розетки. Настоящие розетки — это розетки Флекснера-Винтерштайнера, которые содержат пустой просвет. Розетки Гомера-Райта содержат большое количество фибриллярного материала. Они названы в честь Джеймса Гомера Райта.
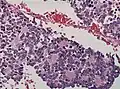
Микроскопический вид типичной нейробластомы с образованием розеток
Гистопатологический образец нейробластомы с розетками Гомера Райта, окраска гематоксилин-эозин
Периваскулярные псевдорозетки

Периваскулярные псевдорозетки состоят из спицевидных структур с конусообразными клеточными отростками, расходящимися вокруг стенки расположенного в центре сосуда. Приставка «псевдо» показывает различие этих розеток от розеток Гомера Райта и Флекснера-Винтерстайнера, потому что центральная структура розетки фактически не формируется самой опухолью, а вместо этого представляет собой нативную, неопухолевую ткань. Кроме того, некоторые ранние исследователи спорили о природе центрального просвета, выбирали приставку «псевдо», чтобы указать, что центр не является истинным просветом, а содержит гистологические структуры.[2]
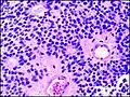
Периваскулярные псевдорозетки встречаются в большинстве эпендимом независимо от степени злокачественности или варианта. Они значительно более важны для диагностики эпендимомы, чем истинные эпендимальные розетки. Но к сожалению, периваскулярные псевдорозетки менее специфичны — они также встречаются в медуллобластомах, PNET, центральных нейроцитомах и, реже, в глиобластомах, а также в редких детских опухолях, мономорфных пиломиксоидных астроцитомах.[2]

Периваскулярные псевдорозетки в эпиндимоме
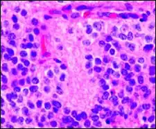
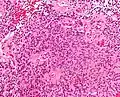
Эпендимальные псевдорозетки вокруг пролиферирующего эндотелия при анапластической эпендимоме
Пинеоцитоматозные/нейроцитарные псевдорозетки

Гистологические характеристики этих двух опухолей (пинеоцитом и центральных нейроцитом) практически идентичны, включая их склонность к образованию богатых нейропилем розеток, называемых пинеоцитоматозными/нейроцитарными розетками. Обе они очень похожи на розетки Гомера Райта, но в целом они больше и имеют более неправильный контур. Клетки пинеоцитоматозных/нейроцитарных розеток также считаются гораздо более дифференцированными, чем клетки, образующие розетки Гомера Райта, в том смысле, что ядра немного больше, более округлые, гораздо менее митотически активные и более бледные или менее гиперхроматические. В редких случаях эти розетки могут собираться в лист смежных кластеров, напоминающих булыжную мостовую.[2]

Палисады и псевдопалисады
Близким термином к розетке является палисад. Палисады обычно более протяжены, образуют своеобразный «забор» вокруг гнезда опухолевых клеток. Встречается в нейральных опухолях таких как шванома[8] или амелобластома. Также палисады можно увидеть в узловом варианте базально-клеточной карциномы.[9][10]
Палисады при базально-клеточной карциномые- Палисадные структуры при шваноме
Микрофотография амелобластомы с характерным палисадом и звездчатым ретикулумом
Псевдопалисады
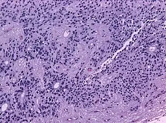
Псевдопалисады это зоны повышенной клеточности, которые окружают очаг некроза опухолевой ткани. Это часто свидетельствует о высокой степени злокачественности опухоли.[8] Часто встречается в глиобластомах.

Примечания
- ↑ palisading // The Free Dictionary. Архивировано 25 октября 2020 года.
- 1 2 3 4 5 6 7 8 9 10 11 Mahtab Uddin Ahmed. Rosettes and Pseudorosettes and Their Significance // Journal of Enam Medical College. — 2017-06-04. — Т. 7, вып. 2. — С. 101–106. — ISSN 2227-6688 2304-9316, 2227-6688. — doi:10.3329/jemc.v7i2.32656. Архивировано 19 сентября 2019 года.
- ↑ M. O. Ts'o, B. S. Fine, L. E. Zimmerman. The Flexner-Wintersteiner rosettes in retinoblastoma // Archives of Pathology. — 1969-12. — Т. 88, вып. 6. — С. 664–671. — ISSN 0363-0153.
- ↑ William H. Spencer. Ophthalmic Pathology: An Atlas and Textbook, Том 2. — 3. — Мичиганский университет, 1985. — С. W.B. Saunders. — P. 1292–351. — ISBN 0721685102, 9780721685106.
- ↑ Simon Flexner. A peculiar glioma (neuroepithelioma?) of the retina. — [Baltimore? : s.n.], 1891.
- ↑ Hugo Wintersteiner. Das neuroëpithelioma Retinae; eine anatomische und klinische Studie. — Deuticke, 1897. — 500 с.
- ↑ F. J. Wippold, A. Perry. Neuropathology for the neuroradiologist: rosettes and pseudorosettes // AJNR. American journal of neuroradiology. — 2006-03. — Т. 27, вып. 3. — С. 488–492. — ISSN 0195-6108. Архивировано 20 января 2022 года.
- 1 2 F. J. Wippold, M. Lämmle, F. Anatelli, J. Lennerz, A. Perry. Neuropathology for the neuroradiologist: palisades and pseudopalisades // AJNR. American journal of neuroradiology. — 2006-11. — Т. 27, вып. 10. — С. 2037–2041. — ISSN 0195-6108. Архивировано 28 августа 2020 года.
- ↑ Giovanni Paolino, Michele Donati, Dario Didona, Santo Raffaele Mercuri, Carmen Cantisani. Histology of Non-Melanoma Skin Cancers: An Update // Biomedicines. — 2017-12-20. — Т. 5, вып. 4. — ISSN 2227-9059. — doi:10.3390/biomedicines5040071. Архивировано 31 января 2021 года.
- ↑ T. Kadono, H. Okada, T. Okuno, K. Ohara. Basal cell carcinoma with neuroid type nuclear palisading: a report of three cases // The British Journal of Dermatology. — 1998-06. — Т. 138, вып. 6. — С. 1064–1066. — ISSN 0007-0963. — doi:10.1046/j.1365-2133.1998.02281.x.