Рак яичника

Рак яичника
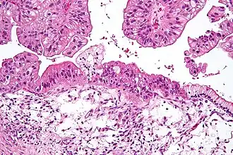
Муцинозная опухоль яичника низкого потенциала злокачественности. Среднее увеличение, окраска гематоксилин-эозином.
Муцинозная опухоль яичника низкого потенциала злокачественности. Среднее увеличение, окраска гематоксилин-эозином.
МКБ-11 2C73
МКБ-10 C56
МКБ-10-КМ C56
МКБ-9 183
МКБ-9-КМ 183.0[1]
МКБ-О различный
OMIM 167000 и 607893
DiseasesDB 9418
MedlinePlus 000889
eMedicine med/1698 
Логотип Викисклада Медиафайлы на Викискладе

Карцинома яичника — злокачественная опухоль, поражающая яичники. Может носить как первичный характер, когда основной очаг расположен в тканях яичника, так и вторичный (метастатический), с первичным очагом практически в любой части тела[2]. К первичным поражениям относятся карцинома (70 % всех злокачественных опухолей яичника), герминогенные и стромальные опухоли полового тяжа, а также более редкие варианты. Метастатические поражения яичника встречаются достаточно часто: при опухолях эндометрия, молочной железы, толстой кишки, желудка и шейки матки.[2][3]

Каждый год в мире регистрируется более 225 тысяч новых случаев карциномы яичника, из которых около 140 тысяч заканчиваются летально[4]. Несмотря на достигнутые успехи в диагностике карциномы яичника, около 75 % ее выявляется на поздних стадиях. Пятилетняя выживаемость при раке яичников составляет около 42 %, десятилетняя — 33 %[2][5] В 2018 году по уровню заболеваемости раком яичников на первом месте находилась Сербия, на втором Бруней и на третьем Белоруссия.[3]

Эпидемиология

Карцинома яичника — пятая по частоте причина смерти от различных эпителиальных опухолей у женщин, ведущая причина смерти от гинекологических злокачественных опухолей, и вторая по частоте диагностирования опухоль в гинекологии[6]. По данным Американского онкологического общества рак яичников является пятой ведущей причиной смерти от рака среди женщин в США.[7] Средний возраст заболевших, на момент первого обращения к врачу в последние годы снизился из-за наличия больших статистических данных.Средний возраст женщин 43 года.Около 17% женщин столкнулись с раком яичников в 32-36 лет.Как правило рак яичников у молодых женщин возникает при наличии наследственной мутации Brca1/2.

Причины

Для многих злокачественных опухолей причины возникновения малоизучены, данное заболевание не исключение. Однако есть утверждения, что карцинома яичника больше распространена среди нерожавших женщин. Также существует мнение, что профилактикой карциномы яичника является использование оральных контрацептивов[8].

Безусловно, как и для других онкологических заболеваний, ощутимое значение имеет наследственность, иначе говоря, повышенная вероятность заболеть карциномой яичника может передаваться от любого из родителей, отца или матери, к дочери[9]. Кроме того, у больных карциномой молочной железы риск заболевания карциномой яичника повышен в два раза[8].

Также бытует мнение, что распространение заболевания связано с увеличением количества употребляемых при приеме пищи животных жиров[8].

К факторам риска развития карциномы яичника относят хроническую гонадотропную гиперстимуляцию, миому матки, хронические осумкованные воспалительные процессы, раннюю и позднюю менопаузу, маточные кровотечения в постменопаузе[10].

Стадии заболевания

Международная федерация акушеров-гинекологов (FIGO) классифицирует стадии заболевания следующим образом[11]:

  • I — поражены только яичники;
    • IA — поражен один яичник, асцита нет;
    • IB — поражены оба яичника, асцита нет;
    • IC — появление опухоли на поверхности яичника(-ов), асцит;
  • II — заболевание распространяется по малому тазу;
    • IIA — поражение матки или маточных труб;
    • IIB — поражение других тканей малого таза;
    • IIC — опухоль на поверхности яичника(-ов), асцит.
  • III — распространяется на брюшину, появляются метастазы в печень и другие органы в пределах брюшной полости, поражение паховых лимфоузлов.
    • IIIA — распространение в пределах малого таза, с обсеменением брюшины.
    • IIIB — метастазы диаметром до 2 см.
    • IIIC — метастазы диаметром более 2 см с вовлечением ретроперитонеальных и паховых узлов.
  • IV — отдаленные метастазы.

Симптомы

В основном на ранних стадиях карцинома яичника протекает без каких-либо симптомов. Кроме того, первые симптомы (увеличенный живот) довольно часто воспринимаются женщиной как проявление аднексита (воспаление яичников). Опухоль постепенно распространяется по брюшной полости, поражая сальник и вызывая накопление жидкости (асцит)[8].

Также одними из первых симптомов могут быть боли в нижнем отделе живота с тянущим характером, и обычно трудноотличимы от тех болей, которые бывают при воспалении яичника[8].

Диагностика

Заподозрить карциному яичника можно при осмотре живота больной и гинекологическом осмотре. При подозрении на карциному производится пункция для получения жидкости из брюшной полости и выявления в ней опухолевых клеток[8].

Биопсия при карциноме яичника в развитых европейских странах не рекомендуется, так как это может привести к рассеву опухоли. Поэтому окончательный диагноз может быть поставлен только во время операции при оперативном анализе взятых проб и послеоперационной патологии вырезанных тканей[12].

Для диагностики карциномы и оценки распространённости метастатического поражения применяются ультразвуковое исследование брюшной полости и малого таза, компьютерная томография (КТ) органов грудной клетки, а также КТ или МРТ органов брюшной полости[8].

Наиболее информативным методом диагностики является гистологическое исследование биоптата яичника[11]. Это исследование позволяет определить характер и структуру опухоли. На основе полученных данных онколог составляет тактику лечения и делает прогноз.

В 2021 г. был одобрен пафолацианин для интраоперационной диагностики.

Лечение

Основные методы лечения онкологических заболеваний — операция и химиотерапия. Если опухоль выявлена на ранней стадии (IA-IC), то основной метод лечения - операция. Она заключается в удалении части яичника (резекция), либо яичника и маточной трубы на стороне опухоли (аднексэктомия). Кроме этого, должны быть проведены стадирующие процедуры - чтобы убедиться, что опухоль не метастазировала за пределы яичника. Для полного хирургического стадирования рака яичников могут быть проведены следующие вмешательства: удаление матки с придатками (если женщина не планирует беременность в будущем), большого сальника, биопсия брюшины, удаление тазовых и парааортальных лимфоузлов, а также взятие смывов из брюшной полости.[13] Эти вмешательства нужны для установки окончательной стадии и определения необходимости дальнейшего лечения.

Только в 20% случаев рак яичника выявляется на ранней стадии.[14] В остальных случаях рак яичника выявляется на II-IV стадиях, когда опухоль распространилась за пределы яичника. В этих ситуациях проводится циторедуктивная операция и химиотерапия.[13] Задача циторедуктивной операции - удаление всей видимой опухоли. Это может потребовать удаления не только матки, придатков и большого сальника, но и других органов: части кишечника, селезенки, брюшины, желчного пузыря и т.д. Эти сложные операции должны проводиться в специализированных центрах, т.к. это позволяет добиться лучших онкологических результатов и снизить количество осложнений.[15]

В большинстве случаев рака яичников проводится химиотерапия. Она основана на комбинировании несколькими препаратами, например, Цисплатин (или Карбоплатин), Циклофосфан, Таксол и др. Основными группами препаратов, используемых для первой линии лечения, являются препараты платины (карбоплатин) и таксаны (паклитаксел).[16]

Так как примерно в 80% случаев рак яичника выявляется на продвинутой стадии, у большинства пациенток развивается рецидив. Лечение рецидива рака яичников может быть как хирургическим, так и медикаментозным. В исследованиях было показано, что безрецидивная и общая выживаемость лучше у пациенток, которым была выполнена циторедуктивная операция в оптимальном объёме (CC-0) и химиотерапия, по сравнению только с химиотерапией.

Поскольку многие женщины заболевают карциномой яичника в репродуктивном возрасте, после излечения некоторые из них хотят иметь детей. Успешная беременность после удаления яичников и излечения карциномы возможна при условии, если здоровая ткань во время операции была подвергнута криоконсервации с последующей пересадкой обратно.

Исследование в этой области было проведено датскими учеными под руководством Аннет Дженсен, Rigshospitalet, Копенгаген. Была отслежена работа Датской программы криоконсервации и программы трансплантации яичников, которая стартовала в 2000 году. С тех пор[когда?] криоконсервации подверглись ткани, взятые почти от 800 женщин, 41 из них были отобраны для участия. По результатам исследования, забеременеть удалось 30% женщин, как естественным путём, так и при помощи ЭКО. Средний возраст женщин во время пересадки составил 33 года. Всего в ходе наблюдений у них родилось 14 детей[17].

Другие препараты: олапариб, нирапариб, рукапариб, авутометиниб/дефактиниб. Моноклональные антитела: бевацизумаб. Конъюгаты: мирветуксимаб.

Прогноз

National Cancer Society (США) со ссылкой на National Cancer Institute и SEER Data Base опубликовали статистику выживаемости на основе исследования пациентов с 2004 по 2010 год[18]

Стадия 5-летняя выживаемость   
I 90%
IA 94%
IB 92%
IC 85%
II 70%
IIA 78%
IIB 73%
III 39%
IIIA 59%
IIIB 52%
IIIC 39%
IV 17%

Причиной смерти обычно становится развитие асцита, метастазы в кости, лёгкие, печень и головной мозг, а также нарушение кишечной проходимости или истощение[8].

Примечания

  1. Disease Ontology (англ.) — 2016.
  2. 1 2 3 Andrew E Green. Ovarian Cancer (англ.). Medscape. Дата обращения: 9 октября 2015. Архивировано 24 октября 2015 года.
  3. 1 2 Ovarian cancer statistics (англ.). World Cancer Research Fund (22 августа 2018). Дата обращения: 26 марта 2019. Архивировано 26 марта 2019 года.
  4. Никогосян С. О., Кузнецов В. В. Современная диагностика рака яичников : [арх. 4 марта 2016] // Российский онкологический журнал. — 2013.   5.
  5. Eierstockkrebs (Ovarialkarzinom) (нем.). Zentrum für Krebsregisterdaten (22 сентября 2022). Дата обращения: 15 октября 2023. Архивировано 21 августа 2023 года.
  6. Ovarian Cancer - Gynecology and Obstetrics (англ.). Merck Manuals Professional Edition. Дата обращения: 25 марта 2019. Архивировано 17 марта 2020 года.
  7. Ovarian cancer is hard to detect (англ.). medicalxpress.com. Дата обращения: 25 марта 2019. Архивировано 25 марта 2019 года.
  8. 1 2 3 4 5 6 7 8 Ленинградский областной онкологический диспансер. www.lood.ru. Дата обращения: 25 марта 2019. Архивировано 25 марта 2019 года.
  9. Viviana Rivera-Varas. Breast Cancer Genes and Inheritance (англ.) (1998). Дата обращения: 24 ноября 2013. Архивировано 25 сентября 2013 года.
  10. Рак яичников. Пер. с англ. Н. Д. Фирсовой (2017).
  11. 1 2 Рак яичников Архивная копия от 24 сентября 2010 на Wayback Machine на сайте об Онкологии
  12. Eierstockkrebs — Früherkennung, Diagnose und Krankheitsverlauf Архивная копия от 17 августа 2011 на Wayback Machine //onkologie.hexal.de
  13. 1 2 Лечение злокачественных опухолей яичников. LikeaWoman (28 декабря 2021). Дата обращения: 26 февраля 2022. Архивировано 26 февраля 2022 года.
  14. Диагностика злокачественных опухолей яичников. LikeaWoman (28 декабря 2021). Дата обращения: 26 февраля 2022. Архивировано 26 февраля 2022 года.
  15. Cécile Loaec, Catherine Guérin-Charbonnel, Timothée Vignaud, Jacques Paineau, Emilie Thibaudeau. Individual learning curve of cytoreductive surgery for peritoneal metastasis from colorectal cancer: A process with an impact on survival (англ.) // European Journal of Surgical Oncology. — 2021-08-01. Т. 47, вып. 8. С. 2031–2037. ISSN 1532-2157 0748-7983, 1532-2157. doi:10.1016/j.ejso.2021.02.015.
  16. Guidelines for Patients Details (англ.). NCCN. Дата обращения: 26 февраля 2022. Архивировано 26 февраля 2022 года.
  17. Ovarian transplants prove safe and effective for cancer patients (англ.). Medicalnewstoday (7 октября 2015). Дата обращения: 9 октября 2015. Архивировано 9 октября 2015 года.
  18. American Cancer Society. Survival rates for ovarian cancer, by stage. American Cancer Society (5 августа 2014). Дата обращения: 29 октября 2014. Архивировано 29 октября 2014 года.

[1] О выживаемости пациентов, больных раком яичника, на разных стадиях заболевания.

Литература

  • Мари Э. Вуд, Пол А. Банн. «Секреты гематологии и онкологии». Москва, Бином, 1997 г.
  • Злокачественные новообразования в России в 1997 году (заболеваемость и смертность). Под редакцией академика РАМН В. И. Чиссова, проф. В. В. Старинского, канд. мед. наук Л. В. Ременника. Москва, 1999 год.

Ссылки (на английском)

  1. Larisa Verdun. О прогнозе выживаемости рака яичников на разных стадиях - сайт о заболевании яичников. Сайт о заболевании яичников. okiste.ru (10 июня 2017). Дата обращения: 10 июня 2017. (недоступная ссылка)