Подкожная эмфизема
| Подкожная эмфизема | |
|---|---|
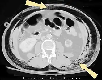
![]() КТ брюшной полости пациента с подкожной эмфиземой (указано стрелками) | |
| МКБ-10 | T79.7, T81.8 |
| МКБ-9 | 958.7, 998.81 |
| DiseasesDB | 29756 |
| MedlinePlus | 003286 |
| MeSH | D013352 |

Подко́жная эмфизе́ма — скопление воздуха в подкожной клетчатке грудной стенки, распространяющееся на другие области тела. Является симптомом повреждения лёгкого или воздухоносных путей[1].
Этиология
- напряжённый пневмоторакс с разрывом париетальной плевры:
- разрыв лёгкого с переломом рёбер;
- проникающее ранение грудной клетки;
- разрыв бронха;
- повреждение трахеи;
- разрыв пищевода.
Патогенез
Чаще всего подкожная эмфизема возникает при нагнетании воздуха в мягкие ткани изнутри через дефект в париетальной плевре при напряжённом пневмотораксе[2]. При отсутствии повреждения париетальной плевры воздух может попадать из средостения через верхнюю апертуру грудной клетки. При облитерированной плевральной полости развитие эмфиземы мягких тканей при переломах рёбер с повреждением лёгкого или проникающем ранении возможно без развития пневмоторакса.
Воздух в мягкие ткани грудной клетки может поступать снаружи через рану грудной стенки (при этом подкожная эмфизема, как правило, ограничена зоной вокруг раны мягких тканей).
В результате анатомической особенности клетчатки — отсутствия фасций — воздух довольно быстро распространяется на грудную клетку, шею, лицо, а также вниз на живот до мошонки (у мужчин) и бёдер[2].
Классификация
По этиологии
- посттравматическая;
- ятрогенная (в результате медицинских манипуляций, сопровождающихся нагнетанием воздуха в ткани и полости организма, например, в эндоскопии, стоматологии);
- инфекционная (анаэробная (газовая) раневая инфекция, при которой эмфизема мягких тканей обусловлена выделяемым клостридиями в ткани газа, образующегося в результате их жизнедеятельности).
По распространённости[3]
- ограниченная;
- распространённая;
- тотальная.
Клиническая картина
Визуально определяются участки припухлости подкожной клетчатки, при пальпации которых возникает подкожная крепитация, аускультативно напоминающая звук хруста сухого снега. Распространённая подкожная эмфизема может приводить к нарушению фонации (осиплости голоса)[3], смыканию век[2].
Клиническое значение
Сама подкожная эмфизема не оказывает существенного влияния на тяжесть состояния пациента, однако её прогрессирование и распространённость являются грозными признаками повреждения внутренних органов, требующего неотложного вмешательства[2].
Подкожная эмфизема в ветеринарии
Для подкожной эмфиземы характерен симптом крепитации-ощущение воздуха под кожей при пальпации, сходное с хрустом снега. При перкуссии определяется тимпаничнский оттенок перкуторного звука. От эмфиземы следует отличать местное образование газов при разложении крови или особенно при развитии газовой инфекции, что также даёт крепитацию. Обычно подкожная эмфизема исчезает без специального лечения.[4]
См. также
Примечания
- ↑ Островский В. М. Эмфизема кожи // Энциклопедический словарь Брокгауза и Ефрона : в 86 т. (82 т. и 4 доп.). — СПб., 1890—1907.
- 1 2 3 4 Мусалатов Х. А. Хирургия катастроф: Учебник. — М.: Медицина, 1998. — С. 398-399. — 592 с. — 5000 экз. — ISBN 5-225-02710-5.
- 1 2 Вагнер Е. А. Хирургия повреждений груди. — М.: Медицина, 1981. — С. 66. — 288 с. — 20 000 экз.
- ↑ Л.П.Трояновская, А.Н.Белогуров. Ветеринарная хирургия, ортопедия и офтальмология. — 2011. — 285 с.
Литература
- Вагнер Е. А. Хирургия повреждений груди. — М.: Медицина, 1981. — С. 66. — 288 с. — 20 000 экз.
- Мусалатов Х. А. Хирургия катастроф: Учебник. — М.: Медицина, 1998. — С. 398-399. — 592 с. — 5000 экз. — ISBN 5-225-02710-5.
- Островский В. М. Эмфизема кожи // Энциклопедический словарь Брокгауза и Ефрона : в 86 т. (82 т. и 4 доп.). — СПб., 1890—1907.
