Нейрофиброма
| Нейрофиброма | |
|---|---|
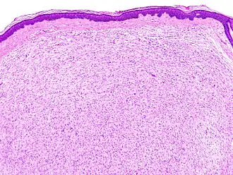
![]() Гистологическое изображение кожной нейрофибромы | |
| МКБ-11 | XH87J5 |
| МКБ-10 | D36.1, D48.2, Q85.0 |
| МКБ-О | M9540/0-9550 |
| DiseasesDB | 23371 |
| MeSH | D009455 |
Нейрофиброма (от др.-греч. νεῦρον — нерв + лат. fibra — волокно + -oma) — доброкачественная опухоль, развивающаяся из оболочек нервов.
Нейрофибромы одинаково часто встречаются у взрослых и у детей. Они располагаются в основном в коже и подкожной клетчатке, а также могут находиться в мягких тканях, корешках спинного мозга, средостении, желудочно-кишечном тракте, почках, забрюшинной клетчатке, других органах и тканях. Многочисленные нейрофибромы встречаются при нейрофиброматозе[1].
Патологическая анатомия
Макроскопически нейрофиброма представляет собой солитарный плотный или плотноэластичный бугристый узел величиной от 0,1 до нескольких сантиметров в диаметре. Ткань узла на разрезе влажная, слоистая, белорозового или бурого цвета, иногда имеет вид желтоватой желеобразной массы; может содержать кистозные полости. Исходящая из концевых отделов нерва нейрофиброма обычно имеет вид мягкого узла, располагающегося на коже спины, конечностей или головы, покрытого резко пигментированным или депигментированным эпидермисом[1].
Выделяют два вида нейрофибром — инкапсулированную и диффузную.
Общим для структуры нейрофибром является беспорядочное расположение нервных волокон внутри периневрия, где они разделены клетками соединительной ткани. Инкапсулированные нейрофибромы возникают главным образом в крупных нервах. Нерв при этом приобретает на некотором протяжении веретенообразную форму за счёт очагового беспорядочного разрастания нервных волокон, разделённых пучками коллагеновых волокон. В нейрофибромах кожи нервные волокна иногда бывает трудно обнаружить, так как они представлены очень скудно. В инкапсулированной нейрофиброме часто отмечают нарушения лимфообращения, проявляющиеся признаками выраженного отёка. По мере распространения отёка из периневрального пространства на внутреннюю часть нервного ствола усиливается его разволокнение, миелиновые волокна исчезают и заменяются фиброзными тяжами. Дальнейший рост такой нейрофибромы постепенно замедляется и может приостановиться[1].
Диффузная нейрофиброма возникает главным образом в результате поражения мелких нервов кожи. Довольно часто диффузная нейрофиброма состоит из вытянутых леммоцитов (шванновских клеток). В диффузной нейрофиброме иногда обнаруживают пигментные клетки и рецепторы (типа телец Мейснера и Фатера-Пачини). Нейрофибромы, возникающие в симпатическом стволе, могут включать ганглиозные клетки и по микроскопической картине иногда напоминают неинкапсулированную ганглионеврому[1].
Клиническая картина

Клиническая картина нейрофибром характеризуется появлением болей постоянного характера с иррадиацией по ходу поражённого нерва. При попытках сместить узлы нейрофибром вдоль оси поражённого нерва они, как правило, остаются неподвижными. Нейрофибромы внутренних органов могут вызывать функциональные расстройства, а нейрофибромы корешков спинного мозга — двигательные нарушения[1].
Малигнизация нейрофибром наступает редко и выражается клинически в ускорении роста опухолевого узла или возникновении рецидивов опухоли после оперативного лечения[1].
.jpg)