Заглоточный абсцесс

Ретрофарингеальный абсцесс
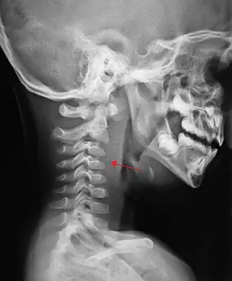
Заглоточный воспалительный инфильтрат (рентгенограмма в боковой проекции)
Заглоточный воспалительный инфильтрат (рентгенограмма в боковой проекции)
МКБ-11 CA0K.0
МКБ-10 J39.0
МКБ-9 478.24
DiseasesDB 11461
MedlinePlus 000984
eMedicine emerg/506 ped/2682
MeSH D017703
Логотип Викисклада Медиафайлы на Викискладе

Заглоточный абсцесс (ретрофарингеальный абсцесс) — образуется в результате нагноений лимфатических узлов и клетчатки заглоточного пространства. Возбудители инфекции проникают по лимфатическим путям со стороны полости носа, носоглотки, слуховой трубы и среднего уха. Иногда абсцесс является осложнением гриппа, кори, скарлатины, а также может развиться при ранениях слизистой оболочки задней стенки глотки инородным телом, твердой пищей. Наблюдается, как правило, в раннем детском возрасте у истощённых и ослабленных детей.

Симптомы, течение болезни

Характерны жалобы на поперхивание и резкую боль при глотании, при этом пища нередко попадает в нос. Больной отказывается от пищи. При расположении абсцесса в носоглотке нарушается носовое дыхание, появляется закрытая гнусавость. При распространении абсцесса на нижние отделы глотки возникает инспираторная одышка, сопровождающаяся хрипением, особенно в вертикальном положении больного. Температура тела достигает 39-40 °С. Характерно вынужденное положение головы: она запрокинута назад и наклонена в больную сторону. Нередко наблюдается припухлость позади угла нижней челюсти и по переднему краю грудино-ключично-сосцевидной мышцы.

Диагноз

Диагноз подтверждают при фарингоскопии, при которой обнаруживают флюктуирующую припухлость на задней стенке глотки. В первые дни заболевания шарообразное выпячивание задней стенки глотки расположено с одной стороны, а в дальнейшем — по средней линии. В сомнительных случаях производят диагностическую пункцию.

Осложнения

Острый отек входа в гортань или самопроизвольное вскрытие с удушьем из-за попадания гноя в полость гортани; гной может распространиться на область больших сосудов шеи или спуститься по предпозвоночной фасции в грудную полость и вызвать гнойный медиастинит или сдавление трахеи.

Лечение

Лечение в большинстве случаев — хирургическое. Раннее вскрытие заглоточного абсцесса с последующей антибактериальной и дезинтоксикационной терапией. Миндалины не удаляются, если их можно сохранить, их сохраняют.

В культуре

Заглоточный абсцесс коровы и его лечение описаны в книге ветеринара Джеймса Хэрриота «О всех созданиях — больших и малых».