Грамположительные бактерии


В бактериологии грамположительные бактерии — это бактерии, которые дают положительный результат в тесте на окрашивание по Граму, который традиционно используется для быстрой классификации бактерий на две широкие категории в соответствии с их типом клеточной стенки.
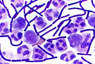
Грамположительные бактерии поглощают кристаллическое фиолетовое пятно, используемое в тесте, а затем кажутся фиолетовыми, если их увидеть через оптический микроскоп. Это связано с тем, что толстый слой пептидогликана в бактериальной клеточной стенке сохраняет пятно после того, как оно смывается с остальной части образца на стадии обесцвечивания теста. Исключением является тип Deinococcus-Thermus.
И наоборот, грамотрицательные бактерии не могут удерживать фиолетовое пятно после стадии обесцвечивания; спирт, используемый на этой стадии, разрушает внешнюю мембрану грамотрицательных клеток, делая клеточную стенку более пористой и неспособной удерживать кристаллическое фиолетовое пятно. Их пептидогликановый слой намного тоньше и зажат между внутренней клеточной мембраной и бактериальной внешней мембраной, в результате чего они поглощают встречное пятно (сафранин или фуксин) и кажутся красными или розовыми.
Несмотря на более толстый слой пептидогликана, грамположительные бактерии более восприимчивы к определенным антибиотикам, нацеленным на клеточные стенки, чем грамотрицательные бактерии, из-за отсутствия внешней мембраны.[1]
Патогенность
Большая часть патогенных для человека микроорганизмов относится к грамположительным. Шесть родов грамположительных организмов являются типичными патогенами человека. Два из них, стрептококки и стафилококки, являются кокками (шарообразными бактериями). Остальные — палочковидные и делятся далее по возможности образовывать споры. Неспорообразующие: Corynebacterium и Листерия; спорообразующие: Бациллы и Клостридии. Спорообразующие можно разделить на факультативных анаэробов Бациллы и облигатных анаэробов Клостридий.
История термина
В ранних классификациях грамположительные бактерии составляли тип Firmicutes, но сейчас этот термин используется только для одной, хотя и крупнейшей, их группы. Тип Firmicutes включает много известных родов, таких как Bacillus, Listeria, Staphylococcus, Streptococcus, Enterococcus и Clostridium. Сейчас этот тип также включает Mollicutes, бактерии, подобные микоплазмам, которые совсем не имеют бактериальной клеточной стенки и поэтому не окрашиваются по Граму, но имеют общее происхождение с грамположительными формами.
Другая главная группа грамположительных бактерий — тип Actinobacteria, или группа грамположительных бактерий с высоким содержанием G+C (с содержанием гуанозина и цитозина в ДНК), в отличие от Firmicutes, имеющих низкое содержание G+C. Исторически считалось, что если вторая мембрана — приобретённый признак, обе группы могут быть основными на филогенетическом дереве бактерий, иначе они, вероятно, относительно недавняя монофилетическая группа. В некоторый момент их даже рассматривали как возможных предков архей и эукариот, из-за отсутствия второй мембраны и из-за некоторых биохимических признаков, например, присутствия стеролов. С появлением молекулярной филогенетики, основанной на анализе 16S рРНК, грам-положительные бактерии были окончательно разделены на Firmicutes и Actinobacteria.
Характеристика
В целом, следующие характеристики присутствуют у грамположительных бактерий:
- Цитоплазматическая липидная мембрана.
- Толстый слой пептидогликана.
- Присутствуют тейхоевые кислоты и липоиды, образуя липотейхоевые кислоты, которые служат хелатирующими агентами, а также для определенных видов адгезии.
- Цепи пептидогликанов сшиты, образуя жесткие клеточные стенки бактериальным ферментом DD-транспептидазой.
- Гораздо меньший объем периплазмы, чем у грамотрицательных бактерий.
Только некоторые виды имеют капсулу, обычно состоящую из полисахаридов. Кроме того, только некоторые виды являются жгутиками, и когда у них есть жгутики, у них есть только два базальных кольца тела, чтобы поддерживать их, тогда как грамотрицательные имеют четыре. Как грамположительные, так и грамотрицательные бактерии обычно имеют поверхностный слой, называемый S-слоем. У грамположительных бактерий S-слой прикрепляется к слою пептидогликана. S-слой грамотрицательных бактерий прикрепляется непосредственно к наружной мембране. Специфическим для грамположительных бактерий является наличие тейховых кислот в клеточной стенке. Некоторые из них являются липотейхоевыми кислотами, которые имеют липидный компонент в клеточной мембране, который может помочь в закреплении пептидогликана.
Примечания
- ↑ Базовая биология (18 марта 2016). "Бактерии".