Газовая гангрена
| Газовая гангрена | |
|---|---|
| |
| МКБ-11 | 1C16 |
| МКБ-10 | A48.0 |
| МКБ-10-КМ | A48.0 |
| МКБ-9 | 040.0 |
| МКБ-9-КМ | 040.0[1][2] |
| DiseasesDB | 31141 |
| MedlinePlus | 000620 |
| eMedicine | med/843 emerg/211 med/394 |
| MeSH | D005738 |

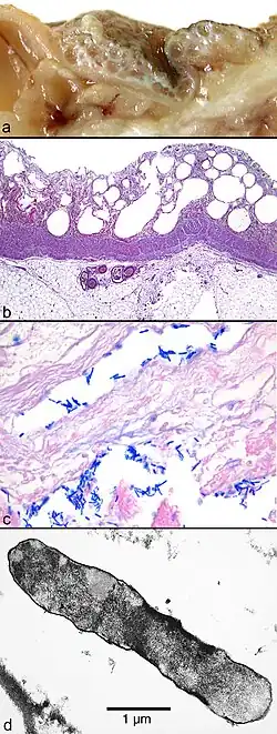
Га́зовая гангре́на (или анаэробная гангрена, мионекроз) — вид гангрены, представляющий собой омертвение тканей организма, вызванное инфекцией, обусловленной ростом и размножением в тканях клостридиальной микрофлоры. Рост этой микрофлоры возможен только при отсутствии кислорода (анаэробно), однако споры возбудителей заболевания могут длительное время сохраняться и в кислородной среде (на воздухе).
Этиология и патогенез
Заболевание вызывается преимущественно бактериями рода клостридий, которые обитают в почве и уличной пыли[3]. Раны, загрязнённые землёй, имеющие раневые карманы, участки омертвевшей либо плохо снабжаемой кровью ткани, не подвергшиеся первичной хирургической обработке, предрасположены к газовой гангрене. В подходящих условиях возбудитель размножается быстро, выделяя тканерастворяющие и газообразующие экзотоксины, которые способствуют ещё более быстрому распространению инфекции.
Основные возбудители:
- Clostridium perfringens (90 % случаев)
- Clostridium septicum
- Clostridium histolyticum
- Clostridium novyi
- Clostridium fallax
- Clostridium bifermentans
- Clostridium sordellii
Клиническая картина
Уже через 6 часов после приобретения микробом способности к заражению возникают нарушения общего состояния с тахикардией и лихорадкой. Кожный покров — серо-синего цвета. Рана резко болезненна, края её бледны, отёчны, безжизненны, дно раны сухое. Окраска видимых в ране мышц напоминает варёное мясо. При надавливании на края раны из тканей выделяются пузырьки газа с неприятным сладковато-гнилостным запахом. При прощупывании определяется типичное похрустывание (крепитация). Состояние больного быстро ухудшается, наступает шок.
Газовая гангрена характеризуется рядом специфических симптомов, некоторые из которых являются патогномоничными; большинство из них направлено на выявление образующегося газа:
- Симптом лигатуры (симптом Мельникова) — при наложении лигатуры на участок конечности уже через 15-20 минут нить начинает впиваться в кожу из-за распухания конечности.
- Симптом шпателя — при постукивании металлическим шпателем по поражённой области слышен характерный хрустящий, с тимпаническим оттенком звук. Такой же звук может быть слышен при бритье кожных покровов вокруг раны (симптом бритвы).
- Симптом пробки шампанского — при извлечении тампона (салфетки) из раневого хода слышен хлопок.
- Симптом Краузе — межмышечные скопления газа на рентгеновском снимке визуализируются в виде «ёлочек».
Осложнения
Поскольку возбудители заболевания выделяют гемолизины, течение газовой гангрены может осложниться возникновением гемолитической анемии и почечной недостаточности.
Диагностика и дифференциальная диагностика
Диагноз ставится на основании характерной раны, общей интоксикации. Диагноз подтверждается рентгенологически (определяется «пористость» мышечных тканей) и микроскопически (обнаружение клостридий в раневом отделяемом). Дифференциальный диагноз проводят с фасциальной газообразующей флегмоной (нет поражения мышц) и путридной (гнилостной) инфекцией.
Лечение и профилактика
«Лампасные» разрезы кожи, мышц, оболочек с иссечением омертвевших тканей и подозрительных на некроз участков. Налаживание оттока гноя из раны с промыванием раствором перекиси водорода и антибиотиков; рану оставляют открытой. Абсолютный покой конечности. Пенициллин до 20—40 млн ЕД в сутки (2—3 раза в день внутривенно) в течение 10—14 дней, тетрациклин. Противогангренозная сыворотка и анатоксин неэффективны как при лечении, так и при проведении профилактики газовой гангрены. При быстром нарастании интоксикации — гильотинная ампутация конечности. Эффективно воздействие кислорода под давлением, однако не исключено хирургическое удаление очага инфекции из раны, показаниями к которому являются клинические и рентгенологические признаки газовой гангрены с микроскопически доказанным наличием клостридий в ране[4].
Профилактика заключается в своевременной квалифицированной первичной хирургической обработке всех загрязнённых ран.
Газовая гангрена у животных
Встречается в основном у жвачных животных и лошадей, а также других домашних и диких млекопитающих[5]. Злокачественный отёк проявляется спорадически. Болезнь у животных возникает при попадании возбудителей в ушибленные, рваные раны. Под воздействием токсинов возникают мукоидное и фибриноидное набухание стенок кровеносных сосудов, лизис эритроцитов, усиление отёка и распространение отёчной жидкости по подкожной и межмышечной клетчатке. Заболевание необходимо дифференцировать от эмфизематозного карбункула и карбункулёзной формы сибирской язвы[6].
Примечания
- ↑ Disease Ontology (англ.) — 2016.
- ↑ Monarch Disease Ontology release 2018-06-29 — 2018-06-29 — 2018.
- ↑ Комаровская Е. И, Перелыгина О. В. СОВРЕМЕННАЯ СИТУАЦИЯ ПО ЗАБОЛЕВАЕМОСТИ ОТДЕЛЬНЫМИ КЛОСТРИДИАЛЬНЫМИ ИНФЕКЦИЯМИ: ГАЗОВАЯ ГАНГРЕНА И СТОЛБНЯК // БИОпрепараты. Профилактика, диагностика, лечение. — 2021. — Т. 21, вып. 1. — С. 31–38. — ISSN 2221-996X. Архивировано 13 февраля 2023 года.
- ↑ Газовая гангрена: симптомы и лечение, возбудитель гангрены, диагностика. ОкейДок. 10 мая 2017. Архивировано 25 мая 2017. Дата обращения: 24 мая 2017.
- ↑ Carlos A. Oliveira Junior, Rodrigo O. S. Silva, Francisco C. F. Lobato, Mauricio A. Navarro, Francisco A. Uzal. Gas gangrene in mammals: a review // Journal of Veterinary Diagnostic Investigation: Official Publication of the American Association of Veterinary Laboratory Diagnosticians, Inc. — 2020-03. — Т. 32, вып. 2. — С. 175–183. — ISSN 1943-4936. — doi:10.1177/1040638720905830. Архивировано 13 февраля 2023 года.
- ↑ А.В.Жаров, В.П.Шишков и др. Патологическая анатомия сельскохозяйственных животных. — М.: Колос, 1995. — 543 с.
Литература
- Беркутов A. H., Булатова Т. И., Матвеев К. И. Анаэробная инфекция // Большая медицинская энциклопедия : в 30 т. / гл. ред. Б. В. Петровский. — 3-е изд. — М. : Советская энциклопедия, 1974. — Т. 1 : А — Антибиоз. — 576 с. : ил.
