Болезнь Уиппла
| Болезнь Уиппла | |
|---|---|
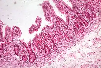
![]() Световая микроскопия слизистой оболочки тонкой кишки: увеличенные ворсинки, инфильтрированные макрофагами | |
| МКБ-10 | K90.8, M14.8 (артропатия при эритеме) |
| МКБ-10-КМ | K90.81, M14.8* и K90.8+ |
| МКБ-9 | 040.2 |
| МКБ-9-КМ | 040.2[1][2] |
| МКБ-О | 000209 |
| DiseasesDB | 14124 |
| MedlinePlus | 000209 |
| eMedicine | med/2409 |
| MeSH | D008061 |
Болезнь Уиппла (син.: интестинальная липодистрофия, липогранулематоз брыжейки, хиладенэктазия мезентериальная[3]) — редкое заболевание кишечника инфекционной природы с разнообразными клиническими проявлениями. Впервые описано американским патологоанатомом Джорджем Уипплом (англ. George H. Whipple) в 1907 году[4], наблюдавшим в аутопсийном материале выраженное увеличение мезентериальных лимфатических узлов в сочетании с воспалением серозных оболочек. При гистологическом исследовании кишечника и лимфоузлов им были выявлены множественные отложения липидов и большое количество макрофагов, содержащих аргирофильные палочкообразные структуры. Автор предположил, что в основе заболевания лежит нарушение метаболизма жира, которое он предложил назвать «интерстициальной липодистрофией».
Этиология
Джордж Уиппл первым обнаружил в слизистой оболочке тонкой кишки микроорганизмы, схожие с бледной спирохетой. Однако, длительное время многие учёные оспаривали инфекционную природу этого заболевания. В 1949 году было установлено, что в биоптатах из лимфатических узлов и тонкой кишки содержатся PAS-позитивные (англ. PAS — periodic acid Schiff) макрофаги с включениями, похожими на продукты распада бактерий. Возбудителями болезни объявлялись многие бактерии, выделявшиеся в культуре из биоптата (коринебактерии, бруцеллоподобные микроорганизмы, L-форма стрептококка и др.) В 1991 году R. Wilson, а затем в 1992 году D. Realman с помощью полимеразной цепной реакции (ПЦР) выделили грамположительную бациллу из материала инфицированных тканей больного, названную Tropheryma whipplei (от греческого trophe — питание, eryma — барьер).
T. whipplei — это грамположительная бактерия. На основании схожести 16S рибосомной РНК, установлено её родство с актиномицетами группы Б (семейство Cellulomonadaceaea). Бактерия имеет трёхслойную клеточную оболочку, единственную круговую хромосому и небольшой размер генома. Полагают, что патогенными могут быть не все, а строго определённые штаммы возбудителя. Tropheryma whipplei была культивирована в клеточной среде человеческих фагоцитов, дезактивированных интерлейкином (ИЛ-4, ИЛ-10) и дексаметазоном.
Патогенез
Выявление типичных пенистых макрофагов в периферических лимфатических узлах, печени, легких, ЦНС и других органах, а также вовлечение в патологический процесс сердца и суставов свидетельствует о системном характере заболевания. В патогенезе болезни Уиппла наряду с генерализацией инфекции большое значение придается иммунологическим нарушениям, в частности, изменениям соотношения регуляторных субпопуляций Т-лимфоцитов, утрате способности макрофагов лизировать возбудителя и др. Болезнь Уиппла часто ассоциируется с лейкоцитарным антигеном HLA-B27.
Симптомы
Болезнью Уиппла страдают мужчины в возрасте 40-50 лет, однако оно не исключается и в других возрастных категориях. В частности, болезнь может дебютировать у детей 3-летнего возраста. Болезнь поражает различные органы и системы.
В клинической картине заболевания преобладают симптомы мальабсорбции. В течении заболевания выделяют 3 стадии:
- I — внекишечные симптомы (лихорадка, полиартрит);
- II — диарея, потеря массы тела, белковая недостаточность, признаки гиповитаминоза, нарушения всасывания питательных веществ.
- III — системные проявления (неврологическая симптоматика, панкардит, полисерозит)
Возможны следующие внекишечные проявления болезни Уиппла:
- Симптомы надпочечниковой недостаточности — низкое артериальное давление, пигментация кожи, анорексия, гипонатриемия, гипогликемия.
- Поражение кожи — эритема, узловатая эритема.
- Поражение глаз — увеит, ретинит, кератит.
- Поражение сердечно-сосудистой системы — фиброзный эндокардит, миокардит, перикардит, полисерозит, коронарит.
- Поражение центральной и периферической нервной системы — нарушение слуха, зрения, атаксия, поражение черепных нервов, полинейропатии.
Диагностика
Для постановки диагноза необходимо морфологическое исследование биоптата слизистой оболочки верхних отделов тонкой кишки.
Лечение
Лечение должно включать бактерицидные антибиотики, хорошо проникающие через гематоэнцефалический барьер, например тетрациклин или его аналоги доксициклин, метациклин, тайгециклин в течение 2-5 месяцев. Затем для поддержания ремиссии следует перейти на интермиттирующую (до 9 месяцев) терапию с приемом препарата через день или 3 дня в неделю с перерывом в 4 дня.
Для лечения болезни Уиппла также используется триметоприм-сульфаметоксазол (Бисептол, Ко-тримоксазол).
При церебральных поражениях рекомендуется следующая схема терапии: 1,2 млн ЕД бензилпенициллина (пенициллин G) и 1 г стрептомицина парентерально ежедневно в течение 2 недель с последующим назначением Ко-тримоксазола (триметоприм — 160 мг и сульфаметоксазол — 800 мг) дважды в день в течение 1-2 лет до отрицательного результата ПЦР и исчезновения T. whipplii в биоптатах из двенадцатиперстной кишки.
Длительная, в течение 1-2 лет, поддерживающая терапия Ко-тримоксазолом считается наиболее успешной в плане профилактики неврологической симптоматики.
В качестве вспомогательной терапии рассматривается назначение кортикостероидов 30-40 мг/сут с последующим постепенным снижением дозы, коррекция метаболических и водно-электролитных расстройств, восполнение дефицита витаминов.
Примечания
- ↑ Disease Ontology (англ.) — 2016.
- ↑ Monarch Disease Ontology release 2018-06-29 — 2018-06-29 — 2018.
- ↑ Интестинальная липодистрофия / Сучков А. В., Аруин Л. И. // Большая медицинская энциклопедия : в 30 т. / гл. ред. Б. В. Петровский. — 3-е изд. — М. : Советская энциклопедия, 1978. — Т. 9 : Ибн-Рошд — Йордан. — 483 с. : ил.
- ↑ Whipple G.H. A hitherto undescribed disease characterized anatomically by deposits of fat and fatty acids in the intestinal and mesenteric lymphatic tissues (англ.) // The Johns Hopkins Medical Journal : journal. — 1907. — Vol. 18. — P. 382—393.
Источники
- Бойко Т. И.. Болезнь Уиппла: клиника, диагностика, лечение./ «Здоровье Украины» № 21/1 ноябрь 2006 г.
- Харченко Н. В.. Целиакия, болезнь Уиппла — клинические маски./«Здоровье Украины» № 139 октябрь 2005 г.
- Пиргиоти М., Кириакидис А. Болезнь Уиппла: происхождение, клиническая картина, лечение. Annals of Gastroenterology, 2004. Пер. с англ. Н. Д. Фирсовой.
- «Детские болезни» под редакцией Володина Н. Н., Мухиной Ю. Г., 2011 г.
