Атретическое тело

Атретическое тело человека

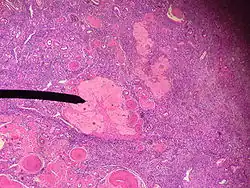
Атретическое тело (лат. corpus atreticum) — временная эндокринная железа в составе яичника.

  • Источники развития: первичные, вторичные и третичные фолликулы.
  • Строение: 1) погибший овоцит первого порядка, 2) остатки блестящей оболочки, 3) остатки фолликулярного эпителия лучистого венца, 4) гипертрофированные интерстициальные клетки (текациты).
  • Функции: уничтожение мутировавших овоцитов, предупреждение многоплодия, эндокринная (андрогены, эстрогены), регуляция циклических и возрастных инволюций молочной железы.