Walthard cell rest

Histology of a Walthard cell rest in a fallopian tube with typical features (H&E stain):
- Cyst (may also be solid nest) of transitional type epithelium.
- Eosinophilic luminal secretions.
- Uniform nuclei with irregular borders and nuclear grooves (insert image).
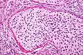
Micrograph of a cystic Walthard cell rest (lower right of image) within the connective tissue of a fallopian tube (tubal epithelium – upper left of image). H&E stain.

Walthard cell rests, sometimes called Walthard cell nests, are a benign cluster of epithelial cells most commonly found in the connective tissue of the fallopian tubes, but also seen in the mesovarium, mesosalpinx and ovarian hilus.

Appearance

High magnification micrograph of a cystic Walthard cell rest showing the characteristic coffee bean-shaped nuclei. H&E stain.

They appear as white/yellow cysts or nodules that can reach a size of 2 millimeters. They typically have elliptical nuclei with a long groove (along the major axis) – so-called "coffee bean" nuclei.

Pathology

It has been suggested that these cell rests are the histogenetic origins of Brenner tumors, due to the histological similarity of the epithelium of Walthard cell rests and Brenner tumors to the urothelium of the lower urinary tract. Also, it has been proposed that Brenner tumors and Walthard cell rests signify urothelial differentiation within the female genital tract.

Eponym

They are named after Swiss gynecologist Max Walthard (1867–1933), who provided a comprehensive description of them in 1903.

Additional images

References

  • Pathology Outline, Fallopian Tubes
  • Ogawa K, Johansson SL, Cohen SM (October 1999). "Immunohistochemical analysis of uroplakins, urothelial specific proteins, in ovarian Brenner tumors, normal tissues, and benign and neoplastic lesions of the female genital tract". Am. J. Pathol. 155 (4): 1047–50. doi:10.1016/S0002-9440(10)65206-6. PMC 1867018. PMID 10514386.
  • Wrong Diagnosis.com, Brenner tumors