Takayasu's arteritis

Takayasu's arteritis
Other namesTakayasu arteritis,[1] Nonspecific aortoarteritis,[2] Takayasu's disease
Left anterior oblique angiographic image of Takayasu's arteritis showing areas of stenosis in multiple great vessels
SpecialtyImmunology, rheumatology Edit this on Wikidata

Takayasu's arteritis (TA), also known as Takayasu's disease, aortic arch syndrome, nonspecific aortoarteritis, and pulseless disease,[2] is a rare, chronic form of large-vessel granulomatous vasculitis[3] that causes inflammation in the walls of major arteries. The disease affects the aorta (the main blood vessel leaving the heart) and its branches, as well as the pulmonary arteries.[4]

Inflammation can lead to narrowing (stenosis), occlusion (complete blocking), or weakening and dilution (aneurysm) of affected arteries, restricting blood flow and leading to symptoms such as limb claudication, hypertension, and neurologic or visual disturbances.[4]

Takayasu's arteritis most commonly affects young or middle-aged women, particularly those of Asian descent, though it can occur in any population. Females are approximately 8–9 times more likely to be affected than males.[3][5] Because of the involvement of the aortic arch branches, physical examination may reveal absent or weakened pulse in the arms, hence the term "pulseless disease."

In the Western world, atherosclerosis is a more common cause of large vessel obstruction particularly in older individuals,[3] whereas Takayasu's arteritis is more frequently seen in younger patients and may resemble other vasculitides such as giant cell arteritis.

Sign and symptoms

Some people develop an initial "inflammatory phase" characterized by systemic illness with signs and symptoms of malaise, fever, night sweats, weight loss, joint pain, fatigue, and fainting. Fainting may result from subclavian steal syndrome or carotid sinus hypersensitivity.[6] There is also often anemia and marked elevation of the ESR or C-reactive protein (nonspecific markers of inflammation). The initial "inflammatory phase" is often followed by a secondary "pulseless phase".[3] The "pulseless phase" is characterized by vascular insufficiency from intimal narrowing of the vessels manifesting as arm or leg claudication, renal artery stenosis causing hypertension, and neurological manifestations due to decreased blood flow to the brain.[3]

Of note is the function of renal artery stenosis in the causation of high blood pressure: Normally perfused kidneys produce a proportionate amount of a substance called renin. Stenosis of the renal arteries causes hypoperfusion (decreased blood flow) of the juxtaglomerular apparatus, resulting in exaggerated secretion of renin, and high blood levels of aldosterone, eventually leading to water and salt retention and high blood pressure. The neurological symptoms of the disease vary depending on the degree; the nature of the blood vessel obstruction; and can range from lightheadedness to seizures (in severe cases).

One rare, important feature of the Takayasu's arteritis is ocular involvement in form of visual field defects, vision loss, or retinal hemorrhage.[7][8] Some individuals with Takayasu's arteritis may present with only late vascular changes, without a preceding systemic illness. In the late stage, weakness of the arterial walls may give rise to localized aneurysms. As with all aneurysms, the possibility of rupture and vascular bleeding is existent and requires monitoring. In view of the chronic process and good collateral development, Raynaud's phenomenon or digital gangrene are very rare in Takayasu arteritis.[9]

Blood flow pulse wave in the central retinal artery (red) and vein (blue), measured in the eye fundus of a patient with Takayasu arteritis by laser Doppler imaging.

Laser Doppler imaging by near-infrared digital holography can reveal characteristic blood flow waveforms in the central artery and vein of the retina in patients with vascular insufficiency who may exhibit a smooth systo-diastolic pulse in the central retinal artery. This technique enables non invasive functional microangiography by high-contrast measurement of endoluminal blood flow profiles in vessels in the posterior segment of the eye with a spatial resolution comparable to state-of-the-art indocyanine green angiography.

Causes

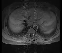
Axial T1-weighted post-gadolinium MRI in a patient with Takayasu arteritis showing thickened, enhancing aortic wall, consistent with large vessel vasculitis

Although the exact cause of Takayasu arteritis is unknown, the condition is marked by segmental and patchy granulomatous inflammation of the aorta and its major branches. This inflammation can lead to narrowing of the arteries (stenosis), blood clots (thrombosis), and the formation of aneurysms.[5]

Chronic inflammation often results in irregular fibrosis of the vessel wall, particularly affecting the innermost layer, which may become significantly thickened.[7] These changes -- including narrowing due to inflammation, granuloma, and fibrosis -- are commonly observed through imaging techniques such as magnetic resonance angiography (MRA), computed tomography angiography (CTA), or arterial angiography (DSA).

Pathophysiology

Takayasu arteritis involves as immune-mediated inflammation of large and medium-sized arteries, leading to progressive damage to the vessel walls. This immune response can result in narrowing (stenosis), blockage (occlusion), or dilation (aneurysm) of affected arteries, reducing blood flow and impairing organ function.[10]

T lymphocytes, particularly CD4+ and CD8+ T cells, are thought to play a key role in the disease process. These cells may contribute to the formation of granulomas and trigger the release of tissue-degrading enzymes such as matrix metallproteinases (MMPs), which further damage the vessel wall.[10] Inflammation can also lead to the loss of elastic fibers and smooth muscle cells, weakening the arterial wall and increasing the risk of aneurysm formation.

While the precise cause remains unknown, genetic predisposition may contribute to disease risk. Associations with certain human leukocyte antigen (HLA) types, such as HLA-B*52, have been reported, though the full genetic contribution is still being studied.[10]

Genetics

The genetic contribution to the pathogenesis of Takayasu's arteritis is supported by the genetic association with HLA-B∗52. A 2013 large collaborative study uncovered multiple additional susceptibility loci for this disease, increasing its number of genetic loci to five risk loci across the genome.[11] About 200,000 genetic variants were genotyped in two ethnically divergent Takayasu's arteritis cohorts from Turkey and North America by using a custom-designed genotyping platform (Immunochip). Additional genetic variants and the classical HLA alleles were imputed and analyzed. The study identified and confirmed two independent susceptibility loci within the HLA region (r2 < 0.2): HLA-B/MICA (rs12524487, OR = 3.29, p = 5.57 × 10-16) and HLA-DQB1/HLA-DRB1 (rs113452171, OR = 2.34, p = 3.74 × 10-9; and rs189754752, OR = 2.47, p = 4.22 × 10-9). In addition, a genetic association was identified and confirmed between Takayasu's arteritis and the FCGR2A/FCGR3A locus on chromosome 1 (rs10919543, OR = 1.81, p = 5.89 × 10-12). The risk allele at this locus results in increased mRNA expression of FCGR2A. In addition, a genetic association between IL12B and Takayasu arteritis was established (rs56167332, OR = 1.54, p = 2.18 × 10-8). A fifth genetic locus for the disease in an intergenic region on chromosome 21q22 downstream of PSMG1 was revealed (P=4.39X10-7).[11] A recent genome-wide association study (GWAS) identified genetic susceptibility loci for Takayasu arteritis with a genome-wide level of significance in IL6 (rs2069837) (odds ratio [OR] 2.07, P = 6.70 × 10(-9)), RPS9/LILRB3 (rs11666543) (OR 1.65, P = 2.34 × 10(-8)), and the intergenic locus on chromosome 21q22 (rs2836878) (OR 1.79, P = 3.62 × 10(-10)). The genetic susceptibility locus in RPS9/LILRB3 lies within the leukocyte receptor complex gene cluster on chromosome 19q13.4, and the disease risk variant in this locus correlates with reduced expression of multiple genes including the inhibitory leukocyte immunoglobulin-like receptor gene LILRB3 (P = 2.29 × 10(-8)). In addition, this study identified additional candidate susceptibility genes with suggestive levels of association (P < 1 × 10(-5)) including PCSK5, LILRA3, PPM1G/NRBP1, and PTK2B.[12]

Another gene associated with this condition is MLX (Max-like protein X)[13]

Complications

In Takayasu's arteritis, ongoing inflammation in the blood vessels followed by periods of healing can cause progressive damage to the arteries. Over time, this can lead to serious -- even life-threatening -- complications, such as:

  • Narrowing or blockage of arteries (stenosis or occlusion): This reduces blood flow to important organs and tissues.
  • High blood pressure (hypertension): Often caused by reduced blood flow to the kidneys, which triggers the body to raise blood pressure through hormonal signals.
  • Heart inflammation: The heart muscle (myocarditis) or valves (valvulitis) may become inflamed, which can interfere with how the heart functions.
  • Heart failure: Can result from uncontrolled high blood pressure, inflammation of the heart muscle, or leaking of the aortic valve (aortic regurgitation)
  • Stroke: Caused by blocked or severely narrowed arteries that carry blood to the brain, such as the carotid or vertebral arteries.
  • Mini-stroke (transient ischemic attack or TIA): A brief interruption in blood flow to the brain that causes stroke-like symptoms but resolves without lasting damage. It can be a warning sign of a future stroke.
  • Aortic aneurysm: Parts of the aorta may weaken and bulge (from an aneurysm), which can rupture and lead to life-threatening bleeding.
  • Heart attack: Can happen if arteries that supply blood to the heart are affected and blood flow is reduced.

These possible complications highlight why early diagnosis, regular monitoring, and aggressive treatment are essential in managing Takayasu's arteritis.[14]

Diagnosis

Diagnosis of Takayasu's arteritis is based on identifying characteristic vascular lesions in large and medium-sided arteries. Imaging plays a central role, with angiography, computed tomography (CT), magnetic resonance angiography (MRA), and fluorodeoxyglucose positron emission tomography (FDG PET) commonly used for assessment.[15]

Ultrasound can reveal arterial wall thickening -- referred to as the "macaroni sign" -- which is highly suggestive of the disease.[16] FDG PET is particularly useful not only in identifying active inflammation in untreated individuals but also in detecting disease relapse in patients undergoing immunosuppressive therapy.[6][17]

Contrast angiography remains the gold standard for visualizing vessel abnormalities. The earliest signs include localized narrowing or irregularity of the arterial lumen, which may progress to stenosis and occlusion. A characteristic finding is the presence of "skip lesions," where areas of narrowing or aneurysm alternate with segments of normal vessels. While angiography offers excellent anatomical detail and insight into vascular patency, it does not provide information about the degree of arterial wall inflammation.[15]

The age of onset helps differentiate Takayasu's arteritis from other forms of large-vessel vasculitis. Takayasu's typically presents before age 40, while giant cell arteritis generally affects individuals over 60.[15]

Laboratory tests are often used to rule out other autoimmune diseases. Takayasu's arteritis is not associated with anti-neutrophil cytoplasmic antibodies (ANCA), rheumatoid factor (RF), antinuclear antibodies (ANA), or anticardiolipin antibodies.[15]

There is no single definitive test for Takayasu's arteritis. Diagnosis is typically made through a combination of clinical assessment -- including symptoms, physical examinations, and medical history -- along with laboratory and imaging studies.[18] Biopsy, often used in other types of vasculitis to confirm diagnosis, is generally not feasible in Takayasu's because it affects large vessels like the aorta, which are inaccessible unless vascular surgery is already being performed.[18]

Clinical evaluation and laboratory tests

A thorough physical examination may reveal key findings suggestive of Takayasu's arteritis. These include weak or absent peripheral pulses, blood pressure discrepancies between limbs, hypertension or hypotension, and audible bruits over major arteries.[18]

Blood tests may support the diagnosis by indicating inflammation. Elevated erythrocyte sedimentation rate (ESR) and C-reactive protein (CRP) levels are common but not specific; these markers may be normal in up to 50% of patients.[18] Additional tests may evaluate for anemia or help rule out other conditions.[19]

Imaging studies

Non-invasive imaging is critical for diagnosing and monitoring. Magnetic resonance angiography (MRA) and computed tomography angiography (CTA) are often sufficient to visualize vessel narrowing, occlusion, or aneurysm formation.[18] MRA uses radio waves and magnetic fields to produce detailed cross-sectional images of blood vessels, often enhanced with contrast agents.[19] CTA, in turn, combines X-ray imaging and computer analysis with contrast due to assess both vessel structure and blood flow.[19]

Although conventional angiography is rarely required today, it may be performed in selected cases to obtain high-resolution images. This involves inserting a catheter into a major artery or vein, injecting contrast dye, and taking X-rays to assess blood flow. Patients with Takayasu's typically exhibit multiple areas of stenosis.[19]

Ultrasound, particularly Doppler ultrasound, offers high-resolution images of superficial arteries, such as those in the neck and shoulder. It may detect early arterial wall changes before other imaging modalities can.[18]

Positron emission tomography (PET) scans, sometimes combined with CT or MRI, are useful for detecting vascular inflammation. A radiotracer is administered prior to the scan to highlight areas of reduced blood flow or increased metabolic activity, providing functional insight into disease activity.[18][19]

Treatments

Management of Takayasu's arteritis centers on reducing inflammation and preventing vascular damage. Treatment plans vary depending on disease activity and the extent of vascular development.[19]

The disease may remain active even in the absence of symptoms, and irreversible vascular damage may already be present at the time of diagnosis. In cases where there are no symptoms or complications, treatment may not be necessary, or therapy may be tapered under medical supervision.[19]

Medications

Treatment typically begins with corticosteroids, such as prednisone, to control inflammation. These drugs are often required long-term, with gradual dose reduction over time to minimize side effects. Common adverse effects include weight gain, increased susceptibility to infection, and osteoporosis. Calcium and vitamin D supplementation may be recommended to mitigate bone loss.[19]

If corticosteroids are insufficient or poorly tolerated, additional immunosuppressive agents may be used. These include:

These agents suppress immune activity and may help maintain disease remission. However, they carry an increased risk of infection.[19]

For patients who do not respond to standard immunosuppressants, biological therapies targeting specific immune pathways may be considered. These include:

Biologics are typically used off-label and require further study. Their most common side effect is increased infection risk. [19]

Surgery

Surgical intervention may be necessary if arteries become severely narrowed, blocked, or if aneurysms develop. Procedures are typically performed once active inflammation has been controlled.

Surgical options include:

  • Bypass surgery: Involves grafting a vessel from another part of the body to reroute blood flow around a blocked artery. This is used in cases of irreversible or severe arterial narrowing.
  • Percutaneous angioplasty: A minimally invasive procedure in which a balloon is inserted and inflated within a narrowed artery to restore blood flow.
  • Aortic valve surgery: Indicated when there is significant aortic valve regurgitation requiring repair or replacement.

While surgery can alleviate symptoms such as hypertension and chest pain, restenosis may occur, necessitating repeat procedures.[19]

History

The first known case of Takayasu's arteritis was described in 1908 by Japanese ophthalmologist Mikito Takayasu, a professor at the current Kanazawa University. At the 12th Annual Meeting of the Japan Ophthalmology Society in Fukuoka,[20][21] he presented the case of a 22-year old woman with unusual changes in the central retina vessels.[22] The patient, first seen in May 1905, had experienced progressive vision loss since the previous year, accompanied by conjunctival redness. Examination revealed significant retinal abnormalities, including anastomosing branches encircling the optic disc, microaneurysms, vessel narrowing, and hemorrhage -- primarily affecting arteries, but with veins also involved. Despite treatment and cataract surgery, the patient's vision deteriorated, eventually progressing to retinal detachment. Dr. Takayasu sketched the vascular abnormalities by hand, and his findings were published in the Journal of the Juzen Medical Society in June 1908.[22]

Following Takayasu's presentation, Dr. Yoshiakira Onishi of Kyushu University described a similar case involving absent radial pulses.[22] These findings linked ocular vascular changes with large-vessel pathology, a key feature of the disease. Although Dr. Takayasu is widely credited with the first description of the condition, earlier reports may represent cases of what is now known as Takayasu arteritis. These include descriptions by Giovanni Battista Morgagni in the 18th century and Rokushu Yamamoto in 1830, who noted progressive arterial occlusion in a patient over 11 years.[22] In 1856, Savory reported a young woman with upper-extremity pulselessness and vision loss, though subsequent analysis suggested her symptoms may have resulted from another condition.[22]

In 1921, Dr. Minoru Nakajima proposed the term Takayasu disease after reviewing prior case reports and identifying four characteristic features: (i) bilateral ocular involvement in young women; (ii) arteriovenous anastomosis and retinal microaneurysms; (iii) vision impairment with cataracts; (iv) impalpable radial pulses.[22] This led to increased clinical awareness and recognition of similar cases in Japan.

Over the following decades, various alternate names were suggested. In 1946, Frovig introduced the term aortic arch syndrome.[22] In 1948, Drs. Kentaro Shimizu and Keiji Sano proposed the term pulseless disease,[22] and in 1951, they published the first report of the disease outside of Japan, summarizing 25 cases.[22] The first Western (occidental) case was published by Caccamise and Whitman in 1952,[22] and the term Takayasu arteritis entered international medical literature in 1962, through a report by Judge et al.

In Japan, different acronyms and terminologies were also produced. Drs. Maekawa and Kakei called it occlusive coagulant aortic syndrome, and Dr. Nasu referred to it as obstructive productive arteritis.[22] In 1965, Riehl et al. analyzed the disease pathologically and immunologically, proposing that it be classified as an autoimmune disorder.[22] The American College of Rheumatology (ACR) included Takayasu arteritis in its 1990 classification criteria, leading to widespread global recognition of the disease under that name.[22]

References

  1. ^ "Takayasu arteritis". Autoimmune Registry Inc. Retrieved 14 June 2022.
  2. ^ a b James, William D.; Elston, Dirk; Treat, James R.; Rosenbach, Misha A.; Neuhaus, Isaac (2020). "35.Cutaneous vascular diseases". Andrews' Diseases of the Skin: Clinical Dermatology (13th ed.). Edinburgh: Elsevier. p. 850. ISBN 978-0-323-54753-6.
  3. ^ a b c d e American College of Physicians (ACP). Medical Knowledge Self-Assessment Program (MKSAP-15): Rheumatology. "Systemic Vasculitis." Pg. 65–67. 2009, ACP. "American College of Physicians | Internal Medicine | ACP". Archived from the original on 2010-10-30. Retrieved 2010-11-28.
  4. ^ a b "Takayasu's Arteritis: Causes, Symptoms, and Treatment".
  5. ^ a b Takayasu Arteritis — Pediatrics at eMedicine
  6. ^ a b Shikino, Kiyoshi; Masuyama, Takako; Ikusaka, Masatomi (2014). "FDG-PET of Takayasu's Arteritis". Journal of General Internal Medicine. 29 (7): 1072–1073. doi:10.1007/s11606-013-2695-7. ISSN 0884-8734. PMC 4061346. PMID 24408276.
  7. ^ a b John Barone, M.D. USMLE Step 1 Lecture Notes. "Vascular Pathology." 2008, Kaplan Inc. pg 101.
  8. ^ Milan B, Josip K (November 1967). "Ocular manifestations of the aortic arch syndrome (pulseless disease; Takayasu's disease) (Translated from French)". Annales d'oculistique. 200 (11): 1168–79. PMID 6079381.
  9. ^ Abou Sherif, Sara; Ozden Tok, Ozge; Taşköylü, Özgür; Goktekin, Omer; Kilic, Ismail Dogu (5 May 2017). "Coronary Artery Aneurysms: A Review of the Epidemiology, Pathophysiology, Diagnosis, and Treatment". Frontiers in Cardiovascular Medicine. 4: 24. doi:10.3389/fcvm.2017.00024. PMC 5418231. PMID 28529940.
  10. ^ a b c Trinidad, Brad; Surmachevska, Natalya; Lala, Vasimahmed (2025), "Takayasu Arteritis", StatPearls, Treasure Island (FL): StatPearls Publishing, PMID 29083666, retrieved 2025-08-02
  11. ^ a b Saruhan-Direskeneli, Güher; Hughes, Travis; Aksu, Kenan; Keser, Gokhan; Coit, Patrick; Aydin, Sibel Z.; Alibaz-Oner, Fatma; Kamalı, Sevil; Inanc, Murat; Carette, Simon; Hoffman, Gary S.; Akar, Servet; Onen, Fatos; Akkoc, Nurullah; Khalidi, Nader A.; Koening, Curry; Karadag, Omer; Kiraz, Sedat; Langford, Carol A.; McAlear, Carol A.; Ozbalkan, Zeynep; Ates, Askin; Karaaslan, Yasar; Maksimowicz-McKinnon, Kathleen; Monach, Paul A.; Ozer, Hüseyin T.; Seyahi, Emire; Fresko, Izzet; Cefle, Ayse; Seo, Philip; Warrington, Kenneth J.; Ozturk, Mehmet A.; Ytterberg, Steven R.; Cobankara, Veli; Onat, A. Mesut; Guthridge, Joel M.; James, Judith A.; Tunc, Ercan; Duzgun, Nurşen; Bıcakcıgil, Muge; Yentür, Sibel P.; Merkel, Peter A.; Direskeneli, Haner; Sawalha, Amr H. (Jul 2, 2013). "Identification of Multiple Genetic Susceptibility Loci in Takayasu Arteritis". American Journal of Human Genetics. 93 (2): 298–305. doi:10.1016/j.ajhg.2013.05.026. PMC 3738826. PMID 23830517.
  12. ^ Renauer PA, Saruhan-Direskeneli G, Coit P, Adler A, Aksu K, Keser G, Alibaz-Oner F, Aydin SZ, Kamali S, Inanc M, Carette S, Cuthbertson D, Hoffman GS, Akar S, Onen F, Akkoc N, Khalidi NA, Koening C, Karadag O, Kiraz S, Langford CA, Maksimowicz-McKinnon K, McAlear CA, Ozbalkan Z, Ates A, Karaaslan Y, Duzgun N, Monach PA, Ozer HT, Erken E, Ozturk MA, Yazici A, Cefle A, Onat AM, Kisacik B, Pagnoux C, Kasifoglu T, Seyahi E, Fresko I, Seo P, Sreih AG, Warrington KJ, Ytterberg SR, Cobankara V, Cunninghame-Graham DS, Vyse TJ, Pamuk ON, Tunc SE, Dalkilic E, Bicakcigil M, Yentur SP, Wren JD, Merkel PA, Direskeneli H, Sawalha AH (27 April 2015). "Identification of Susceptibility Loci in IL6, RPS9/LILRB3, and an Intergenic Locus on Chromosome 21q22 in Takayasu Arteritis in a Genome-Wide Association Study". Arthritis & Rheumatology. 67 (5): 1361–8. doi:10.1002/art.39035. PMC 4414813. PMID 25604533.
  13. ^ Tamura N, Maejima Y, Matsumura T, Vega RB, Amiya E, Ito Y, Shiheido-Watanabe Y, Ashikaga T, Komuro I, Kelly DP, Hirao K, Isobe M (2018) Single-nucleotide polymorphism of the MLX gene is associated With Takayasu arteritis. Circ Genom Precis Med 11(10):e002296. doi: 10.1161/CIRCGEN.118.002296.
  14. ^ "Takayasu's arteritis-Takayasu's arteritis - Symptoms & causes". Mayo Clinic. Retrieved 2025-08-01.
  15. ^ a b c d RA Watts et al., "Vasculitis in Clinical Medicine, 2010"
  16. ^ Russo, Ricardo A. G.; Katsicas, María M. (2018). "Takayasu Arteritis". Frontiers in Pediatrics. 6 265. doi:10.3389/fped.2018.00265. ISSN 2296-2360. PMC 6165863. PMID 30338248.
  17. ^ Tezuka, Daisuke; Haraguchi, Go; Ishihara, Takashi; Ohigashi, Hirokazu; Inagaki, Hiroshi; Suzuki, Jun-ichi; Hirao, Kenzo; Isobe, Mitsuaki (April 2012). "Role of FDG PET-CT in Takayasu Arteritis". JACC: Cardiovascular Imaging. 5 (4): 422–429. doi:10.1016/j.jcmg.2012.01.013. PMID 22498333.
  18. ^ a b c d e f g "Takayasu Arteritis". Vasculitis Foundation. Retrieved 2025-08-04.
  19. ^ a b c d e f g h i j k "Takayasu's arteritis-Takayasu's arteritis - Diagnosis & treatment". Mayo Clinic. Retrieved 2025-08-04.
  20. ^ synd/2722 at Whonamedit?
  21. ^ Takayasu, Mikito (1908). "A case with peculiar changes of the central retinal vessels". Acta Societatis Ophthalmologicae Japonicae. 12. Tokyo: 554.
  22. ^ a b c d e f g h i j k l m Terao, Chikashi (2014). "History of Takayasu arteritis and Dr. Mikito Takayasu". International Journal of Rheumatic Diseases. 17 (8): 931–935. doi:10.1111/1756-185X.12576. ISSN 1756-185X.

Further reading