Primary ciliary dyskinesia

Primary ciliary dyskinesia
Other namesImmotile ciliary syndrome or Kartagener syndrome
Normal cilia (A) and cilia representative of Kartagener's syndrome (B)
SpecialtyPulmonology Edit this on Wikidata
SymptomsRespiratory problems, chronic mucus-producing cough and runny nose.[1]
ComplicationsChronic recurrent respiratory infections, including sinusitis, bronchitis, pneumonia, and otitis media.[2]
Usual onsetNeonatal period.[1]
TypesKartagener syndrome.[3]
CausesGenetic mutations.[4]
Diagnostic methodNasal nitric oxide levels, light microscopy of biopsies for ciliary beat pattern and frequency, and electron microscopic examination of dynein arms.[5]
Differential diagnosisNeonatal respiratory distress, laterality defects, chronic cough, nasal congestion and sino-pulmonary disease, cystic fibrosis, asthma and allergic rhinitis, gastroesophageal reflux disease and aspiration, immunodeficiency, and interstitial lung disease.[6]
FrequencyRare.

Primary ciliary dyskinesia (PCD) is a rare, autosomal recessive genetic ciliopathy, that causes defects in the action of cilia lining the upper and lower respiratory tract, sinuses, Eustachian tube, middle ear, fallopian tube, and flagella of sperm cells. The alternative name of "immotile ciliary syndrome" is no longer favored as the cilia do have movement, but are merely inefficient or unsynchronized. When accompanied by situs inversus the condition is known as Kartagener syndrome.[3]

Respiratory epithelial motile cilia, which resemble microscopic "hairs" (although structurally and biologically unrelated to hair), are complex organelles that beat synchronously in the respiratory tract, moving mucus toward the throat. Normally, cilia beat 7 to 22 times per second, and any impairment can result in poor mucociliary clearance, with subsequent upper and lower respiratory infection. Cilia also are involved in other biological processes (such as nitric oxide production), currently the subject of dozens of research efforts.[7]

Signs and symptoms

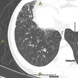
Sagittal CT image showing "tree in bud" appearance of mucous impaction in distal small airways related to primary ciliary dyskinesia
CT image showing dilated and thickened medium-sized airways (bronchiectasis) in a patient with Kartagener syndrome
Oblique sagittal CT image showing lower lobe cylindrical bronchiectasis in the same patient

Around 80% of people with primary ciliary dyskinesia experience respiratory problems beginning within a day of birth. Many have a collapsed lobe of the lung and blood oxygen low enough to require treatment with supplemental oxygen.[1] Within the first few months of life, most develop a chronic mucus-producing cough and runny nose.[1] The main consequence of impaired ciliary function is reduced or absent mucus clearance from the lungs, and susceptibility to chronic recurrent respiratory infections, including sinusitis, bronchitis, pneumonia, and otitis media. Progressive damage to the respiratory system is common, including progressive bronchiectasis beginning in early childhood, and sinus disease (sometimes becoming severe in adults). However, diagnosis is often missed early in life despite the characteristic signs and symptoms.[2] In males, immotility of sperm can lead to infertility, although conception remains possible through the use of in vitro fertilization, there also are reported cases where sperm were able to move.[8] Trials have also shown that there is a marked reduction in fertility in females with Kartagener's syndrome due to dysfunction of the oviductal cilia.[9]

Many affected individuals experience hearing loss and show symptoms of otitis media which demonstrates variable responsiveness to the insertion of myringotomy tubes or grommets. Some patients have a poor sense of smell, which is believed to accompany high mucus production in the sinuses (although others report normal – or even acute – sensitivity to smell and taste). Clinical progression of the disease is variable, with lung transplantation required in severe cases. Susceptibility to infections can be drastically reduced by an early diagnosis. Treatment with various chest physiotherapy techniques has been observed to reduce the incidence of lung infection and to slow the progression of bronchiectasis dramatically. Aggressive treatment of sinus disease beginning at an early age is believed to slow long-term sinus damage (although this has not yet been adequately documented). Aggressive measures to enhance clearance of mucus, prevent respiratory infections, and treat bacterial superinfections have been observed to slow lung-disease progression. The predicted incidence is 1 in approximately 7500.[10]

Genetics

PCD is a genetically heterogeneous disorder affecting motile cilia[4] which are made up of approximately 250 proteins.[11] Around 90%[12] of individuals with PCD have ultrastructural defects affecting protein(s) in the outer and/or inner dynein arms, which give cilia their motility, with roughly 38%[12] of these defects caused by mutations on two genes, DNAI1 and DNAH5, both of which code for proteins found in the ciliary outer dynein arm.[13]

There is an international effort to identify genes that code for inner dynein arm proteins or proteins from other ciliary structures (radial spokes, central apparatus, etc.) associated with PCD.[6] The role of DNAH5 in heterotaxy syndromes and left-right asymmetry is also under investigation. At least 50 genes have been implicated in this condition.[10]

Type OMIM Gene Locus
CILD1 244400 DNAI1 9p21-p13
CILD2 606763 DNAAF3 19q13.3-qter
CILD3 608644 DNAH5 5p
CILD4 608646 ? 15q13
CILD5 608647 HYDIN 16p12
CILD6 610852 TXNDC3 7p14-p13
CILD7 611884 DNAH11 7p21
CILD8 612274 ? 15q24-q25
CILD9 612444 DNAI2 17q25
CILD10 612518 KTU 14q21.3
CILD11 612649 RSPH4A 6q22
CILD12 612650 RSPH9 6p21
CILD13 613190 LRRC50 16q24.1

Another gene associated with this condition is GAS2L2.[14]

Pathophysiology

CT image showing situs inversus. The liver is normally on the right side of the body and the spleen on the left, they are switched in this patient with situs inversus.

This condition is genetically inherited. Structures that make up the cilia, including inner and/or outer dynein arms, central apparatus, radial spokes, etc. are missing or dysfunctional and thus the axoneme structure lacks the ability to move. Axonemes are the elongated structures that make up cilia and flagella. Additionally, there may be chemical defects that interfere with ciliary function in the presence of adequate structure. Whatever the underlying cause, dysfunction of the cilia begins during and impacts the embryologic phase of development.[6]

Axial CT image showing dextrocardia with the IVC and morphologic right ventricle on the left and the left ventricle on the right

Specialised monocilia known as nodal cilia are at the heart of this problem. They lack the central-pair microtubules of ordinary motile cilia and so rotate clockwise rather than beat; in the primitive node at the anterior end of the primitive streak in the embryo, these are angled posteriorly[15][16] such that they describe a D-shape rather than a circle.[16] This has been shown to generate a net leftward flow in mouse and chick embryos, and sweeps the protein to the left, triggering normal asymmetrical development.[17]

However, in some individuals with PCD, mutations thought to be in the gene coding for the key structural protein left-right dynein (lrd)[4] result in monocilia which do not rotate. There is therefore no flow generated in the node, Shh moves at random within it, and 50% of those affected develop situs inversus, which can occur with or without dextrocardia, where the laterality of the internal organs is the mirror-image of normal. Affected individuals therefore have Kartagener syndrome. This is not the case with some PCD-related genetic mutations: at least 6% of the PCD population have a condition called situs ambiguus or heterotaxy, where organ placement or development is neither typical (situs solitus) nor totally reversed (situs inversus totalis) but is a hybrid of the two.[6] Splenic abnormalities such as polysplenia, asplenia and complex congenital heart defects are more common in individuals with situs ambiguus and PCD, as they are in all individuals with situs ambiguus.[18]

The genetic forces linking failure of nodal cilia and situs issues and the relationship of those forces to PCD are the subject of intense research interest. However, knowledge in this area is constantly advancing.

Diagnosis

Several diagnostic tests for this condition have been proposed.[5] These include nasal nitric oxide levels as a screening test, light microscopy of biopsies for ciliary beat pattern and frequency and electron microscopic examination of dynein arms, as the definite diagnosis method. Genetic testing has also been proposed but this is difficult given that there are multiple genes involved.[6]

Classification

Axial CT image showing chronic sinusitis in an individual with Kartagener syndrome

When accompanied by the combination of situs inversus (reversal of the internal organs), chronic sinusitis, and bronchiectasis, it is known as Kartagener syndrome[3] (only 50% of primary ciliary dyskinesia cases include situs inversus).[11]

Treatment

There are no standardized effective treatment strategies for the condition. Current therapies for PCD are extrapolated from Cystic Fibrosis and patients with non-CF bronchiectasis and lack validation for PCD-specific use.[19]

Severe fatal respiratory failure can develop; long-term treatment with macrolides such as clarithromycin, erythromycin and azithromycin has been empirically applied for the treatment of primary ciliary dyskinesia in Japan, though controversial due to the effects of the medications.[20]

Prognosis

There is no reliable estimate of life expectancy for people with PCD.[21] However, there is evidence that PCD, is a life altering[22] life shortening[23] multi-system condition, with some people progressing to lung transplant.[24][25][26][27]

Decline in lung function in people with PCD has been observed in most studies,[28][25][29][30][31] with FEV1 decline causing deterioration in health, impacting on, and reducing quality of life.[32] With such a genetically and phenotypically heterogenous group, observation of median/mean decline in lung function risks regression to the mean, missing those groups with significantly worse lung function,[10][33][34][35][36][37][38] masked by those with milder phenotypes.[10][36]

The recent body of published data from respected clinicians in (the United Kingdom, Europe, North America, Canada and Israel) indicate that PCD morbidity and mortality appear to have been under-estimated by the medical community.[28][25][39][40][41] While prospective outcome data is limited due to the early-stage patient registries, there is a growing body of evidence[25][39][40][41][42] that dispels any "myth that PCD is a mild disease.[25][39][40][41][43][44][45]

The studies presented here demonstrate that children with PCD typically have worse lung function than those with cystic fibrosis.[28][31][29][46][30] While previously it was thought that with early diagnosis, lung function could largely be prevented in children with PCD,[47] poor lung function is repeatedly observed in children with PCD[46][28][31][29] 1,30,32,33,36–38 and some develop bronchiectasis during[48][33] childhood.

Research

Research to further the understanding of cilia, with the future aims of functional restoration of motile cilia is advancing. However, charitable funding for medical research, particularly for rare disease is vital and in the UK contributes to more than 50% of grants. The UK registered charity PCD Research supports research into PCD worldwide, with the ultimate aim of funding potentially curative research.[7] Future promising avenues for functional replacement of cilia involve antisense, gene editing via CRISPR-Cas9 and mRNA therapies. At present there have only been a handful of interventional trials in PCD.[49]

History

The classic symptom combination associated with PCD was first described in 1904 by A. K. Siewert,[50] while Manes Kartagener published his first report on the subject in 1933.[51] The disorder is rarely referred to as Siewert's syndrome or Siewert-Kartagener syndrome.[52]

References

  1. ^ a b c d Lucas JS, Davis SD, Omran H, Shoemark A (February 2020). "Primary ciliary dyskinesia in the genomics age". Lancet Respir Med. 8 (2): 202–216. doi:10.1016/S2213-2600(19)30374-1. PMID 31624012. S2CID 204772640.
  2. ^ a b Coren, M. E; Meeks, M; Morrison, I; Buchdahl, R. M; Bush, A (2002). "Primary ciliary dyskinesia: Age at diagnosis and symptom history". Acta Paediatrica. 91 (6): 667–9. doi:10.1080/080352502760069089. PMID 12162599.
  3. ^ a b c "DNAI1 - Dynein axonemal intermediate chain 1 - Homo sapiens (Human) - DNAI1 gene & protein". uniprot.org. Retrieved 7 May 2022.
  4. ^ a b c Chodhari, R; Mitchison, H.M; Meeks, M (2004). "Cilia, primary ciliary dyskinesia and molecular genetics". Paediatric Respiratory Reviews. 5 (1): 69–76. doi:10.1016/j.prrv.2003.09.005. PMID 15222957.
  5. ^ a b Shoemark, Amelia; Moya, Eduardo; Hirst, Robert A; Patel, Mitali P; Robson, Evelyn A; Hayward, Jane; Scully, Juliet; Fassad, Mahmoud R; Lamb, William; Schmidts, Miriam; Dixon, Mellisa; Patel-King, Ramila S; Rogers, Andrew V; Rutman, Andrew; Jackson, Claire L; Goggin, Patricia; Rubbo, Bruna; Ollosson, Sarah; Carr, Siobhán; Walker, Woolf; Adler, Beryl; Loebinger, Michael R; Wilson, Robert; Bush, Andrew; Williams, Hywel; Boustred, Christopher; Jenkins, Lucy; Sheridan, Eamonn; Chung, Eddie M K; et al. (2018). "High prevalence ofCCDC103p.His154Pro mutation causing primary ciliary dyskinesia disrupts protein oligomerisation and is associated with normal diagnostic investigations". Thorax. 73 (2): 157–166. doi:10.1136/thoraxjnl-2017-209999. PMC 5771957. PMID 28790179.
  6. ^ a b c d e Leigh, Margaret W.; Pittman, Jessica E.; Carson, Johnny L.; Ferkol, Thomas W.; Dell, Sharon D.; Davis, Stephanie D.; Knowles, Michael R.; Zariwala, Maimoona A. (2009). "Clinical and genetic aspects of primary ciliary dyskinesia/Kartagener syndrome". Genetics in Medicine. 11 (7). Elsevier BV: 473–487. doi:10.1097/gim.0b013e3181a53562. ISSN 1098-3600. PMC 3739704.
  7. ^ a b "PCDresearch.org". PCDresearch.org. Retrieved 2022-10-24.
  8. ^ "PCD Family Support Group : FAQs". Archived from the original on 2016-10-08. Retrieved 2012-03-04.
  9. ^ McComb, Peter; Langley, Lynn; Villalon, Manuel; Verdugo, Pedro (September 1986). "The oviductal cilia and Kartagener's syndrome". Fertility and Sterility. 46 (3): 412–416. doi:10.1016/S0015-0282(16)49578-6. PMID 3488922.
  10. ^ a b c d Shoemark, Amelia; Rubbo, Bruna; Legendre, Marie; Fassad, Mahmoud R.; Haarman, Eric G.; Best, Sunayna; Bon, Irma C.M.; Brandsma, Joost; Burgel, Pierre-Regis; Carlsson, Gunnar; Carr, Siobhan B.; Carroll, Mary; Edwards, Matt; Escudier, Estelle; Honoré, Isabelle (2021-01-21). "Topological data analysis reveals genotype–phenotype relationships in primary ciliary dyskinesia". European Respiratory Journal. 58 (2): 2002359. doi:10.1183/13993003.02359-2020. ISSN 0903-1936. PMID 33479112. S2CID 231677155.
  11. ^ a b Zariwala, Maimoona A; Knowles, Michael R; Leigh, Margaret W (December 5, 2019). "Primary Ciliary Dyskinesia". University of Washington, Seattle. PMID 20301301. Retrieved October 16, 2023.
  12. ^ a b Zariwala, Maimoona A; Knowles, Michael R; Omran, Heymut (2007). "Genetic Defects in Ciliary Structure and Function". Annual Review of Physiology. 69: 423–50. doi:10.1146/annurev.physiol.69.040705.141301. PMID 17059358.
  13. ^ Zariwala, M. A.; Omran, H.; Ferkol, T. W. (September 15, 2011). "The Emerging Genetics of Primary Ciliary Dyskinesia". Proceedings of the American Thoracic Society. 8 (5). American Thoracic Society: 430–433. doi:10.1513/pats.201103-023sd. ISSN 1546-3222. PMC 3209577.
  14. ^ Bustamante-Marin, Ximena M.; Yin, Wei-Ning; Sears, Patrick R.; Werner, Michael E.; Brotslaw, Eva J.; Mitchell, Brian J.; Jania, Corey M.; Zeman, Kirby L.; Rogers, Troy D.; Herring, Laura E.; Refabért, Luc; Thomas, Lucie; Amselem, Serge; Escudier, Estelle; Legendre, Marie; Grubb, Barbara R.; Knowles, Michael R.; Zariwala, Maimoona A.; Ostrowski, Lawrence E. (2019). "Lack of GAS2L2 Causes PCD by Impairing Cilia Orientation and Mucociliary Clearance". The American Journal of Human Genetics. 104 (2): 229–245. doi:10.1016/j.ajhg.2018.12.009. PMC 6372263. PMID 30665704.
  15. ^ Cartwright, J. H. E; Piro, O; Tuval, I (2004). "Fluid-dynamical basis of the embryonic development of left-right asymmetry in vertebrates". Proceedings of the National Academy of Sciences. 101 (19): 7234–9. Bibcode:2004PNAS..101.7234C. doi:10.1073/pnas.0402001101. PMC 409902. PMID 15118088.
  16. ^ a b Nonaka, Shigenori; Yoshiba, Satoko; Watanabe, Daisuke; Ikeuchi, Shingo; Goto, Tomonobu; Marshall, Wallace F; Hamada, Hiroshi (2005). "De Novo Formation of Left–Right Asymmetry by Posterior Tilt of Nodal Cilia". PLOS Biology. 3 (8): e268. doi:10.1371/journal.pbio.0030268. PMC 1180513. PMID 16035921.
  17. ^ Dykes, Iain (April 8, 2014). "Left Right Patterning, Evolution and Cardiac Development". Journal of Cardiovascular Development and Disease. 1 (1). MDPI AG: 52–72. doi:10.3390/jcdd1010052. ISSN 2308-3425. PMC 5947769.
  18. ^ Kennedy, M. P; Omran, H; Leigh, M. W; Dell, S; Morgan, L; Molina, P. L; Robinson, B. V; Minnix, S. L; Olbrich, H; Severin, T; Ahrens, P; Lange, L; Morillas, H. N; Noone, P. G; Zariwala, M. A; Knowles, M. R (2007). "Congenital Heart Disease and Other Heterotaxic Defects in a Large Cohort of Patients with Primary Ciliary Dyskinesia". Circulation. 115 (22): 2814–21. doi:10.1161/CIRCULATIONAHA.106.649038. PMID 17515466.
  19. ^ Knowles, Michael; Daniels, Leigh Anne; Davis, Stephanie; Zariwala, Maimoona; Leigh, Margaret (June 24, 2013). "Primary Ciliary Dyskinesia. Recent Advances in Diagnostics, Genetics, and Characterization of Clinical Disease". American Journal of Respiratory and Critical Care Medicine. 188 (8): 913–22. doi:10.1164/rccm.201301-0059CI. PMC 3826280. PMID 23796196.
  20. ^ Kido, Takashi; Yatera, Kazuhiro; Yamasaki, Kei; Nagata, Shuya; Choujin, Yasuo; Yamaga, Chiyo; Hara, Kanako; Ishimoto, Hiroshi; Hisaoka, Masanori; Mukae, Hiroshi (2012). "Two Cases of Primary Ciliary Dyskinesia with Different Responses to Macrolide Treatment". Internal Medicine. 51 (9): 1093–8. doi:10.2169/internalmedicine.51.6617. PMID 22576394.
  21. ^ "FREQUENTLY ASKED QUESTIONS Everything you need to know about primary ciliary dyskinesia (PCD)!". PCD Foundation. Retrieved 16 September 2018.
  22. ^ Wilkins, Hannah; Harris, Amanda; Driessens, Corine; Kewell, Charlotte; Copeland, Fiona; Rubbo, Bruna; Bayton, Laura; Bright, Victoria; Friend, Amanda; Kang, Rajinder; Marsh, Gemma; Packham, Samantha; Truscott, Alison; Waller, Katy; Carr, Siobhan (2019-09-28). "A review of the experiences of children and young adults with Primary Ciliary Dyskinesia (PCD) treated in a specialist PCD service in England". Paediatric Respiratory Epidemiology. 54 (suppl 63). European Respiratory Society: PA302. doi:10.1183/13993003.congress-2019.PA302. S2CID 214215131.
  23. ^ Brennan, Steven K; Ferkol, Thomas W; Davis, Stephanie D (2021-07-31). "Emerging Genotype-Phenotype Relationships in Primary Ciliary Dyskinesia". International Journal of Molecular Sciences. 22 (15): 8272. doi:10.3390/ijms22158272. ISSN 1422-0067. PMC 8348038. PMID 34361034.
  24. ^ de Boer, K.; Vandemheen, K. L.; Tullis, E.; Doucette, S.; Fergusson, D.; Freitag, A.; Paterson, N.; Jackson, M.; Lougheed, M. D.; Kumar, V.; Aaron, S. D. (2011-06-15). "Exacerbation frequency and clinical outcomes in adult patients with cystic fibrosis". Thorax. 66 (8): 680–685. doi:10.1136/thx.2011.161117. ISSN 0040-6376. PMID 21680566. S2CID 14614482.
  25. ^ a b c d e Noone, Peadar G.; Leigh, Margaret W.; Sannuti, Aruna; Minnix, Susan L.; Carson, Johnny L.; Hazucha, Milan; Zariwala, Maimoona A.; Knowles, Michael R. (2004-02-15). "Primary Ciliary Dyskinesia". American Journal of Respiratory and Critical Care Medicine. 169 (4): 459–467. doi:10.1164/rccm.200303-365oc. ISSN 1073-449X. PMID 14656747.
  26. ^ Hayes, Don; Reynolds, Susan D.; Tumin, Dmitry (November 2016). "Outcomes of lung transplantation for primary ciliary dyskinesia and Kartagener syndrome". The Journal of Heart and Lung Transplantation. 35 (11): 1377–1378. doi:10.1016/j.healun.2016.08.025. ISSN 1053-2498. PMID 27746084.
  27. ^ Cano, J.R.; Cerezo, F.; Algar, F.J.; Álvarez, A.; Espinosa, D.; Moreno, P.; Baamonde, C.; Salvatierra, A. (November 2008). "Prognostic Factors Influencing Survival Rates in Children Following Lung Transplantation". Transplantation Proceedings. 40 (9): 3070–3072. doi:10.1016/j.transproceed.2008.09.024. ISSN 0041-1345. PMID 19010197.
  28. ^ a b c d Rubbo, Bruna; Best, Sunayna; Hirst, Robert Anthony; Shoemark, Amelia; Goggin, Patricia; Carr, Siobhan B; Chetcuti, Philip; Hogg, Claire; Kenia, Priti; Lucas, Jane S; Moya, Eduardo; Narayanan, Manjith; O'Callaghan, Christopher; Williamson, Michael; Walker, Woolf Theodore (2020-03-10). "Clinical features and management of children with primary ciliary dyskinesia in England". Archives of Disease in Childhood. 105 (8): 724–729. doi:10.1136/archdischild-2019-317687. ISSN 0003-9888. PMID 32156696. S2CID 212666109.
  29. ^ a b c Shah, Anand; Shoemark, Amelia; MacNeill, Stephanie J.; Bhaludin, Basrull; Rogers, Andrew; Bilton, Diana; Hansell, David M.; Wilson, Robert; Loebinger, Michael R. (2016-06-10). "A longitudinal study characterising a large adult primary ciliary dyskinesia population". European Respiratory Journal. 48 (2): 441–450. doi:10.1183/13993003.00209-2016. ISSN 0903-1936. PMID 27288033. S2CID 4046957.
  30. ^ a b Marthin, June K.; Petersen, Nadia; Skovgaard, Lene T.; Nielsen, Kim G. (2010-06-01). "Lung Function in Patients with Primary Ciliary Dyskinesia". American Journal of Respiratory and Critical Care Medicine. 181 (11): 1262–1268. doi:10.1164/rccm.200811-1731oc. ISSN 1073-449X. PMID 20167855.
  31. ^ a b c Halbeisen, Florian S.; Pedersen, Eva S.L.; Goutaki, Myrofora; Spycher, Ben D.; Amirav, Israel; Boon, Mieke; Cohen-Cymberknoh, Malena; Crowley, Suzanne; Emiralioglu, Nagehan; Haarman, Eric G.; Karadag, Bulent; Koerner-Rettberg, Cordula; Latzin, Philipp; Loebinger, Michael R.; Lucas, Jane S. (2022-03-17). "Lung function from school age to adulthood in primary ciliary dyskinesia". European Respiratory Journal. 60 (4): 2101918. doi:10.1183/13993003.01918-2021. ISSN 0903-1936. PMC 9582507. PMID 35301251.
  32. ^ Abbott, J.; Hurley, M. A.; Morton, A. M.; Conway, S. P. (2013). "Longitudinal association between lung function and health-related quality of life in cystic fibrosis". Thorax. 68 (2): 149–154. doi:10.1136/thoraxjnl-2012-202552. PMID 23143792. S2CID 13340107.
  33. ^ a b Davis, Stephanie D.; Ferkol, Thomas W.; Rosenfeld, Margaret; Lee, Hye-Seung; Dell, Sharon D.; Sagel, Scott D.; Milla, Carlos; Zariwala, Maimoona A.; Pittman, Jessica E.; Shapiro, Adam J.; Carson, Johnny L.; Krischer, Jeffrey P.; Hazucha, Milan J.; Cooper, Matthew L.; Knowles, Michael R. (2015-02-01). "Clinical Features of Childhood Primary Ciliary Dyskinesia by Genotype and Ultrastructural Phenotype". American Journal of Respiratory and Critical Care Medicine. 191 (3): 316–324. doi:10.1164/rccm.201409-1672oc. ISSN 1073-449X. PMC 4351577. PMID 25493340.
  34. ^ Shah, A.; Shoemark, A.; MacNeill, S. J.; Bhaludin, B.; Rogers, A.; Bilton, D.; Hansell, D. M.; Wilson, R.; Loebinger, M. R. (2016). "A longitudinal study characterising a large adult primary ciliary dyskinesia population". The European Respiratory Journal. 48 (2): 441–450. doi:10.1183/13993003.00209-2016. PMID 27288033. S2CID 4046957.
  35. ^ Davis, Stephanie D.; Rosenfeld, Margaret; Lee, Hye-Seung; Ferkol, Thomas W.; Sagel, Scott D.; Dell, Sharon D.; Milla, Carlos; Pittman, Jessica E.; Shapiro, Adam J.; Sullivan, Kelli M.; Nykamp, Keith R.; Krischer, Jeffrey P.; Zariwala, Maimoona A.; Knowles, Michael R.; Leigh, Margaret W. (2019-01-15). "Primary Ciliary Dyskinesia: Longitudinal Study of Lung Disease by Ultrastructure Defect and Genotype". American Journal of Respiratory and Critical Care Medicine. 199 (2): 190–198. doi:10.1164/rccm.201803-0548oc. ISSN 1073-449X. PMC 6353004. PMID 30067075.
  36. ^ a b Pifferi, Massimo; Bush, Andrew; Mariani, Francesca; Piras, Martina; Michelucci, Angela; Cangiotti, Angela; Di Cicco, Maria; Caligo, Maria Adelaide; Miccoli, Mario; Boner, Attilio L.; Peroni, Diego (July 2020). "Lung Function Longitudinal Study by Phenotype and Genotype in Primary Ciliary Dyskinesia". Chest. 158 (1): 117–120. doi:10.1016/j.chest.2020.02.001. ISSN 0012-3692. PMID 32059959. S2CID 211122199.
  37. ^ Irving, S.; Dixon, M.; Fassad, M. R.; Frost, E.; Hayward, J.; Kilpin, K.; Ollosson, S.; Onoufriadis, A.; Patel, M. P.; Scully, J.; Carr, S. B.; Mitchison, H. M.; Loebinger, M. R.; Hogg, C.; Shoemark, A. (2018-01-24). "Primary Ciliary Dyskinesia Due to Microtubular Defects is Associated with Worse Lung Clearance Index". Lung. 196 (2): 231–238. doi:10.1007/s00408-018-0086-x. ISSN 0341-2040. PMC 5854730. PMID 29368042.
  38. ^ Maglione, Marco; Montella, Silvia; Mollica, Carmine; Carnovale, Vincenzo; Iacotucci, Paola; De Gregorio, Fabiola; Tosco, Antonella; Cervasio, Mariarosaria; Raia, Valeria; Santamaria, Francesca (2017-04-12). "Lung structure and function similarities between primary ciliary dyskinesia and mild cystic fibrosis: a pilot study". Italian Journal of Pediatrics. 43 (1): 34. doi:10.1186/s13052-017-0351-2. ISSN 1824-7288. PMC 5389053. PMID 28403885.
  39. ^ a b c Lucas, Jane S.; Carroll, Mary (April 2014). "Primary Ciliary Dyskinesia and Cystic Fibrosis". Chest. 145 (4): 674–676. doi:10.1378/chest.13-2590. ISSN 0012-3692. PMID 24687702.
  40. ^ a b c Cohen-Cymberknoh, Malena; Simanovsky, Natalia; Hiller, Nurith; Hillel, Alex Gileles; Shoseyov, David; Kerem, Eitan (April 2014). "Differences in Disease Expression Between Primary Ciliary Dyskinesia and Cystic Fibrosis With and Without Pancreatic Insufficiency". Chest. 145 (4): 738–744. doi:10.1378/chest.13-1162. ISSN 0012-3692. PMID 24091606.
  41. ^ a b c Halbeisen, Florian S.; Goutaki, Myrofora; Spycher, Ben D.; Amirav, Israel; Behan, Laura; Boon, Mieke; Hogg, Claire; Casaulta, Carmen; Crowley, Suzanne; Haarman, Eric G.; Karadag, Bulent; Koerner-Rettberg, Cordula; Loebinger, Michael R.; Mazurek, Henryk; Morgan, Lucy (2018-07-26). "Lung function in patients with primary ciliary dyskinesia: an iPCD Cohort study". European Respiratory Journal. 52 (2): 1801040. doi:10.1183/13993003.01040-2018. hdl:11424/242140. ISSN 0903-1936. PMID 30049738. S2CID 51724928.
  42. ^ Ratjen, Felix; Waters, Valerie; Klingel, Michelle; McDonald, Nancy; Dell, Sharon; Leahy, Timothy Ronan; Yau, Yvonne; Grasemann, Hartmut (2015-11-19). "Changes in airway inflammation during pulmonary exacerbations in patients with cystic fibrosis and primary ciliary dyskinesia". European Respiratory Journal. 47 (3): 829–836. doi:10.1183/13993003.01390-2015. ISSN 0903-1936. PMID 26585432. S2CID 24521268.
  43. ^ Saglani, Sejal (August 2018). "Lung function in primary ciliary dyskinesia: breaking the myth that this is a mild disease". European Respiratory Journal. 52 (2): 1801365. doi:10.1183/13993003.01365-2018. ISSN 0903-1936. PMID 30139762. S2CID 52074336.
  44. ^ Dell, Sharon D (October 2008). "Primary ciliary dyskinesia: Myths and realities". Paediatrics & Child Health. 13 (8): 668–670. doi:10.1093/pch/13.8.668. ISSN 1205-7088. PMC 2606071. PMID 19436518.
  45. ^ Davis, Pamela B.; Yasothan, Uma; Kirkpatrick, Peter (2012-04-30). "Ivacaftor". Nature Reviews Drug Discovery. 11 (5): 349–350. doi:10.1038/nrd3723. ISSN 1474-1776. PMID 22543461.
  46. ^ a b Ring, Astrid M.; Buchvald, Frederik F.; Holgersen, Mathias G.; Green, Kent; Nielsen, Kim G. (June 2018). "Fitness and lung function in children with primary ciliary dyskinesia and cystic fibrosis". Respiratory Medicine. 139: 79–85. doi:10.1016/j.rmed.2018.05.001. ISSN 0954-6111. PMID 29858006. S2CID 46923060.
  47. ^ O'Callaghan, C.; Chilvers, M.; Hogg, C.; Bush, A.; Lucas, J. (2007-08-01). "Diagnosing primary ciliary dyskinesia". Thorax. 62 (8): 656–657. doi:10.1136/thx.2007.083147. ISSN 0040-6376. PMC 2117265. PMID 17687094. S2CID 8257416.
  48. ^ Abbott, Janice; Hurley, Margaret A; Morton, Alison M; Conway, Steven P (2012-11-09). "Longitudinal association between lung function and health-related quality of life in cystic fibrosis". Thorax. 68 (2): 149–154. doi:10.1136/thoraxjnl-2012-202552. ISSN 0040-6376. PMID 23143792. S2CID 13340107.
  49. ^ "Search of: primary ciliary dyskinesia — List Results — ClinicalTrials.gov". clinicaltrials.gov. Retrieved 2022-10-24.
  50. ^ Siewert AK (8 February 1904). "Über einen Fall von Bronchiectasie bei einem Patienten mit situs inversus viscerum" [About a case of bronchiectasis in a patient avec situs inversus viscerum]. Berliner Klinische Wochenschrift (in German). 41 (6): 139–141.
  51. ^ Kartagener, M. (September 1933). "Zur Pathogenese der Bronchiektasien" [On the pathogenesis of bronchiectasis]. Beiträge zur Klinik der Tuberkulose und spezifischen Tuberkulose-Forschung (in German). 83 (4): 489–501. doi:10.1007/BF02141468. S2CID 7708592.
  52. ^ McManus, Chris (February 2004). "Eponymous but anonymous: who was Dr Siewert?". The Lancet. 363 (9409): 662. doi:10.1016/S0140-6736(04)15611-0. PMID 14987904. S2CID 25967658.

Further reading