Aortic aneurysm

Aortic aneurysm
Figure A shows a normal aorta. Figure B shows a thoracic aortic aneurysm (which is located behind the heart). Figure C shows an abdominal aortic aneurysm located below the arteries that supply blood to the kidneys.
SpecialtyCardiology, Vascular surgery
Symptomsabdominal pain and back pain
ComplicationsHemorrhaging
Diagnostic methodultrasound

An aortic aneurysm is an enlargement (dilatation) of the aorta to greater than 1.5 times normal size.[1] Typically, there are no symptoms except when the aneurysm dissects or ruptures, which causes sudden, severe pain in the abdomen and lower back.[2][3]

The cause remains an area of active research. Known causes include trauma, infection, and inflammatory disorders. Risk factors include cigarette smoking, heavy alcohol consumption, advanced age, harmful patterns of high cholesterol in the blood, high blood pressure, and coronary artery disease.[4] The pathophysiology of the disease is related to an initial arterial insult causing a cascade of inflammation and extracellular matrix protein breakdown by proteinases leading to arterial wall weakening.[5] They are most commonly located in the abdominal aorta, but can also be located in the thoracic aorta.

Aortic aneurysms result from a weakness in the wall of the aorta and increase the risk of aortic rupture. When rupture occurs, massive internal bleeding results and, unless treated immediately, shock and death can occur. One review stated that up to 81% of people having abdominal aortic aneurysm rupture will die, with 32% dying before reaching a hospital.[6]

According to a review of global data through 2019, the prevalence of abdominal aortic aneurysm worldwide was about 0.9% in people under age 79 years, and is about four times higher in men than in women at any age.[4] Death occurs in about 55-64% of people having rupture of the AAA.[4]

Screening with ultrasound is indicated in those at high risk. Prevention is by decreasing risk factors, such as smoking, and treatment is either by open or endovascular surgery. Aortic aneurysms resulted in about 152,000 deaths worldwide in 2013, up from 100,000 in 1990.[7]

Classification

Aortic aneurysms are classified by their location on the aorta.

  • An aortic root aneurysm, or aneurysm of the sinus of Valsalva.
  • Thoracic aortic aneurysms are found within the chest; these are further classified as ascending, aortic arch, or descending aneurysms.
  • Abdominal aortic aneurysms, "AAA" or "Triple A", the most common form of aortic aneurysm, involve that segment of the aorta within the abdominal cavity. Thoracoabdominal aortic aneurysms involve both the thoracic and abdominal aorta.
  • Thoracoabdominal aortic aneurysms comprise some or all of the aorta in both the chest and abdomen, and have components of both thoracic and abdominal aortic aneurysms.[8] The Crawford classification describes five types.[9]

Signs and symptoms

Most intact aortic aneurysms do not produce symptoms. As they enlarge, symptoms such as abdominal pain and back pain may develop. Compression of nerve roots may cause leg pain or numbness. Untreated, aneurysms tend to become progressively larger, although the rate of enlargement is unpredictable for any individual. Rarely, clotted blood which lines most aortic aneurysms can break off and result in an embolus.[8]

Aneurysms cannot be found on physical examination. Medical imaging is necessary to confirm the diagnosis and to determine the anatomic extent of the aneurysm. In people presenting with aneurysm of the arch of the aorta, a common sign is a hoarse voice from stretching of the left recurrent laryngeal nerve, a branch of the vagus nerve that winds around the aortic arch to supply the muscles of the larynx.[10]

Abdominal aortic aneurysm

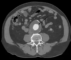
Abdominal aortic aneurysms (3,4 cm)

Abdominal aortic aneurysms (AAAs) are more common than their thoracic counterpart. One reason for this is that elastin, the principal load-bearing protein present in the wall of the aorta, is reduced in the abdominal aorta as compared to the thoracic aorta. Another is that the abdominal aorta does not possess vasa vasorum, the nutrient-supplying blood vessels within the wall of the aorta. Most AAA are true aneurysms that involve all three layers (tunica intima, tunica media and tunica adventitia). The prevalence of AAAs increases with age, with an average age of 65–70 at the time of diagnosis. AAAs have been attributed to atherosclerosis, though other factors are involved in their formation.[8] Risk factors for AAA include the male gender, aging, a history of smoking, hypercholesterolemia, and hypertension.[4][8][11] Reviews reported estimates for prevalence rates of AAA were 0.9-9% in men and 1–2% in women, where, generally, the incidence of AAA is four times greater in men compared to women at the same age.[4][8]

CT reconstruction image of an abdominal aortic aneurysm

The risk of rupture of an AAA is related to its diameter; once the aneurysm reaches about 5 cm, the yearly risk of rupture may exceed the risks of surgical repair for an average-risk patient. Rupture risk is also related to shape; so-called "fusiform" (long) aneurysms are considered less rupture-prone than "saccular" (shorter, bulbous) aneurysms, the latter having more wall tension in a particular location in the aneurysm wall.[12]

The prevalence of AAA worldwide in 2019 was approximately 0.9% in people under age 79 years,[4] whereas a 2014 review reported a range of 2-12%, occurring in about 8% of men older than 65 years of age.[13] Men are about four times more likely to have AA compared to women at any age, with death occurring in about 55-64% of people having AAA rupture.[4]

Before rupture, an AAA may present as a large, pulsatile mass above the belly button. A bruit may be heard from the turbulent flow in the aneurysm. Rupture may be the first sign of AAA. Once an aneurysm has ruptured, it presents with classic symptoms of abdominal pain, which is severe, constant, and radiating to the back.[8]

The diagnosis of an abdominal aortic aneurysm can be confirmed by the use of ultrasound. Rupture may be indicated by the presence of free fluid in the abdomen. A contrast-enhanced abdominal CT scan is the best test to diagnose an AAA and guide treatment options.[14]

In 2019, some 170,000 people worldwide died from AAA rupture, with aging, smoking, and hypertension as principal factors.[4][11] Annual mortality from ruptured aneurysms in the United States is about 15,000.[15]

Aortic rupture

An aortic aneurysm can rupture from wall weakness. Aortic rupture is a surgical emergency and has a high mortality even with prompt treatment. Weekend admission for a ruptured aortic aneurysm is associated with increased mortality compared with admission on a weekday, and this is likely due to several factors, including a delay in prompt surgical intervention.[16]

Risk factors

Pathophysiology

A 6.5 cm AAA with a 3 cm lumen

An aortic aneurysm can occur as a result of trauma, infection, or, most commonly, from an intrinsic abnormality in the elastin and collagen components of the aortic wall. Aortic aneurysm development and progression have been directly associated with a deficiency of elastin as well as a loss of collagen type 1.[19] The elastin-to-collagen ratio is also significantly higher in aneurysmal abdominal aortas compared to healthy abdominal aortas.[19] While definite genetic abnormalities were identified in true genetic syndromes involving connective tissue abnormalities (e.g., Marfan, Ehlers-Danlos, and others) associated with aortic aneurysms, both thoracic and abdominal aortic aneurysms demonstrate a strong genetic component in their aetiology.[20]

Prevention

The risk of aneurysm enlargement may be diminished with attention to the patient's blood pressure, smoking, and cholesterol levels. There have been proposals to introduce ultrasound scans as a screening tool for those most at risk: men over the age of 65.[21][22]

In a meta-analysis and systematic review of observational data, statins were associated with reduced rates of abdominal aortic aneurysm growth, rupture, and 30 day perioperative mortality.[23] Randomized controlled trial research is unlikely to be conducted in this population due to ethical concerns when considering many patients who present with abdominal aortic aneurysms already have other proven indications of statin use, along with the lack of financial incentive for pharmaceutical companies in conducting expensive research on generic statins.

Anacetrapib is a cholesteryl ester transfer protein inhibitor that raises high-density lipoprotein (HDL) cholesterol and reduces low-density lipoprotein (LDL) cholesterol. Anacetrapib reduces progression of atherosclerosis, mainly by reducing non-HDL-cholesterol, improves lesion stability and adds to the beneficial effects of atorvastatin[24] Elevating the amount of HDL cholesterol in the abdominal area of the aorta in mice both reduced the size of aneurysms that had already grown and prevented abdominal aortic aneurysms from forming at all. In short, raising HDL cholesterol is beneficial because it induces programmed cell death. The walls of a failing aorta are replaced and strengthened. New lesions should not form at all when using this drug.[25]

ACE inhibitors have also been associated with a reduced risk of aortic aneurysm rupture, in contrast with other classes of antihypertensive drugs which did not show a significant protective effect in a population based case control study conducted in Ontario, Canada.[26] However, a prospective cohort study conducted in the UK revealed conflicting results with increased aortic aneurysm growth rates observed in those taking ACE inhibitors, compared with other classes of antihypertensive drugs.[27] A small placebo controlled RCT conducted later found no significant effect of the ACE inhibitor perindopril or the calcium channel blocker amlodipine after 2 years, although the study had limited power to detect small differences between growth rates and higher powered research was warranted.[28]

Screening

Screening for an aortic aneurysm so that it may be detected and treated prior to rupture is the best way to reduce the overall mortality of the disease. The most cost-efficient screening test is an abdominal aortic ultrasound study. Noting the results of several large, population-based screening trials, the US Centers for Medicare and Medicaid Services (CMS) now provides payment for one ultrasound study in all smokers aged 65 years or older ("SAAAVE Act").[29]

Management

Surgery (open or endovascular) is the definitive treatment of an aortic aneurysm. Medical therapy is typically reserved for smaller aneurysms or for elderly, frail patients where the risks of surgical repair exceed the risks of non-operative therapy (observation alone).

Open infrarenal aortic repair model, showing a surgical clamp above the aneurysm and below the renal arteries

Medical therapy

Medical therapy of aortic aneurysms involves strict blood pressure control. This does not treat the aortic aneurysm per se, but control of hypertension within tight blood pressure parameters may decrease the rate of expansion of the aneurysm.

The medical management of patients with aortic aneurysms, reserved for smaller aneurysms or frail patients, involves cessation of smoking, blood pressure control, use of statins and occasionally beta blockers. Ultrasound studies are obtained regularly (i.e., every 6 or 12 months) to follow the size of the aneurysm.

Despite optimal medical therapy, patients with large aneurysms are likely to have continued aneurysm growth and risk of aneurysm rupture without surgical repair.[30]

Surgery

Decisions about repairing an aortic aneurysm are based on the balance between the risk of aneurysm rupture without treatment and the risks of the treatment. For example, a small aneurysm in an elderly patient with severe cardiovascular disease would not be repaired. The chance of the small aneurysm rupturing is overshadowed by the risk of cardiac complications from the procedure to repair the aneurysm.

The risk of the repair procedure is twofold. First, there is consideration of the risk of problems occurring during and immediately after the procedure itself ("peri-procedural" complications). Second, the effectiveness of the procedure must be taken into account, namely whether the procedure effectively protects the patient from aneurysm rupture over the long term, and whether the procedure is durable so that secondary procedures, with their attendant risks, are not necessary over the life of the patient. A less invasive procedure (such as endovascular aneurysm repair) may be associated with fewer short-term risks to the patient (fewer peri-procedural complications), but secondary procedures may be necessary over long-term follow-up.

The determination of surgical intervention is made on a per-case basis. The diameter of the aneurysm, its rate of growth, the presence or absence of Marfan syndrome, Ehlers–Danlos syndromes or similar connective tissue disorders, and other co-morbidities are all important factors in the overall treatment.

A large, rapidly expanding, or symptomatic aneurysm should be repaired, as it has a greater chance of rupture. Slowly expanding aortic aneurysms may be followed by routine diagnostic testing (i.e., CT scan or ultrasound imaging).

For abdominal aneurysms, the current treatment guidelines for abdominal aortic aneurysms suggest elective surgical repair when the diameter of the aneurysm is greater than 5 cm (2 in). However, recent data on patients aged 60–76 suggest medical management for abdominal aneurysms with a diameter of less than 5.5 cm (2 in).[31]

Open surgery

Open surgery starts with exposure of the dilated portion of the aorta via an incision in the abdomen or abdomen and chest, followed by insertion of a synthetic (Dacron or Gore-Tex) graft (tube) to replace the diseased aorta. The graft is sewn in by hand to the non-diseased portions of the aorta, and the aneurysmal sac is closed around the graft.

The aorta and its branching arteries are cross-clamped during open surgery. This can lead to inadequate blood supply to the spinal cord, resulting in paraplegia. A 2004 systematic review and meta-analysis found that cerebrospinal fluid drainage (CFSD), when performed in experienced centers, reduces the risk of ischemic spinal cord injury by increasing the perfusion pressure to the spinal cord.[32] A 2012 Cochrane systematic review noted that further research regarding the effectiveness of CFSD for preventing a spinal cord injury is required.[33] A 2023 systematic review suggested that rates of postoperative spinal cord ischaemia can be kept at low levels after open repair of thoracoabdominal aneurysm with adequate precautions and perioperative manoeuvres.[34] The majority of the surgeons believe prophylactic lumbar drains are effective in reducing spinal cord ischaemia.[35] Neuromonitoring with motor-evoked potentials (MEP) can provide the surgeon objective criteria to direct selective intercostal reconstruction or other protective anaesthetic and surgical manoeuvres. Simultaneous monitoring of MEP and somatosensory-evoked potentials (SSEP) seems to be the most reliable method.[34]

Endovascular

Endovascular treatment of aortic aneurysms is a minimally invasive alternative to open surgical repair. It involves the placement of an endovascular stent through small incisions at the top of each leg into the aorta.

As compared to open surgery, EVAR has a lower risk of death in the short term and a shorter hospital stay, but may not always be an option.[2][36][37] There does not appear to be a difference in longer-term outcomes between the two.[38] After EVAR, repeat procedures are more likely to be needed.[39]

Epidemiology

Globally, aortic aneurysms resulted in about ~170,000 deaths in 2017.[4] This figure represents an increase from approximately ~100,000 in 1990.[7]

See also

References

  1. ^ Johnston KW, Rutherford RB, Tilson MD, Shah DM, Hollier L, Stanley JC (March 1991). "Suggested standards for reporting on arterial aneurysms. Subcommittee on Reporting Standards for Arterial Aneurysms, Ad Hoc Committee on Reporting Standards, Society for Vascular Surgery and North American Chapter, International Society for Cardiovascular Surgery". Journal of Vascular Surgery. 13 (3): 452–458. doi:10.1067/mva.1991.26737. PMID 1999868.
  2. ^ a b Kent KC (November 2014). "Clinical practice. Abdominal aortic aneurysms". The New England Journal of Medicine. 371 (22): 2101–2108. doi:10.1056/NEJMcp1401430. PMID 25427112.
  3. ^ Upchurch GR, Schaub TA (April 2006). "Abdominal aortic aneurysm". American Family Physician. 73 (7): 1198–1204. PMID 16623206.
  4. ^ a b c d e f g h i Song P, He Y, Adeloye D, et al. (June 2023). "The Global and Regional Prevalence of Abdominal Aortic Aneurysms: A Systematic Review and Modeling Analysis". Annals of Surgery. 277 (6): 912–919. doi:10.1097/SLA.0000000000005716. PMC 10174099. PMID 36177847.
  5. ^ Anagnostakos J, Lal BK (March 2021). "Abdominal aortic aneurysms". Progress in Cardiovascular Diseases. 65: 34–43. doi:10.1016/j.pcad.2021.03.009. PMID 33831398. S2CID 233192017.
  6. ^ Reimerink JJ, van der Laan MJ, Koelemay MJ, Balm R, Legemate DA (October 2013). "Systematic review and meta-analysis of population-based mortality from ruptured abdominal aortic aneurysm". The British Journal of Surgery. 100 (11): 1405–13. doi:10.1002/bjs.9235. PMID 24037558.
  7. ^ a b GBD 2013 Mortality Causes of Death Collaborators (January 2015). "Global, regional, and national age-sex specific all-cause and cause-specific mortality for 240 causes of death, 1990–2013: a systematic analysis for the Global Burden of Disease Study 2013". Lancet. 385 (9963): 117–171. doi:10.1016/S0140-6736(14)61682-2. PMC 4340604. PMID 25530442.
  8. ^ a b c d e f Mathur A, Mohan V, Ameta D, Gaurav B, Haranahalli P (April 2016). "Aortic aneurysm". Journal of Translational Internal Medicine. 4 (1): 35–41. doi:10.1515/jtim-2016-0008. PMC 5290913. PMID 28191516.
  9. ^ "Crawford classification". Retrieved 13 February 2023.
  10. ^ Yuan SM (2020). "Hoarseness Due to Aortic Arch Aneurysms". Brazilian Journal of Cardiovascular Surgery. 35 (6): 970–976. doi:10.21470/1678-9741-2019-0352. ISSN 1678-9741. PMC 7731862. PMID 33306323.
  11. ^ a b Krafcik BM, Stone DH, Cai M, et al. (February 2024). "Changes in global mortality from aortic aneurysm". Journal of Vascular Surgery. 80 (1): 81–88.e1. doi:10.1016/j.jvs.2024.02.025. PMC 11193635. PMID 38408686.
  12. ^ "Abdominal Aortic Aneurysms". The Lecturio Medical Concept Library. 16 October 2020. Retrieved 2021-06-25.
  13. ^ Stather PW, Sidloff DA, Rhema IA, et al. (March 2014). "A review of current reporting of abdominal aortic aneurysm mortality and prevalence in the literature". European Journal of Vascular and Endovascular Surgery. 47 (3): 240–242. doi:10.1016/j.ejvs.2013.11.007. PMID 24368205.
  14. ^ Vu KN, Kaitoukov Y, Morin-Roy F, Kauffmann C, Giroux MF, Thérasse E, et al. (June 2014). "Rupture signs on computed tomography, treatment, and outcome of abdominal aortic aneurysms". Insights into Imaging. 5 (3): 281–293. doi:10.1007/s13244-014-0327-3. PMC 4035490. PMID 24789068.
  15. ^ Mell M, White JJ, Hill BB, Hastie T, Dalman RL (2024-03-14). "No Increased Mortality With Early Aortic Aneurysm Disease". Journal of Vascular Surgery. 56 (5). NIH Public Access: 1246–1251. doi:10.1016/j.jvs.2012.04.023. PMC 3478494. PMID 22832264.
  16. ^ Groves EM, Khoshchehreh M, Le C, Malik S (August 2014). "Effects of weekend admission on the outcomes and management of ruptured aortic aneurysms". Journal of Vascular Surgery. 60 (2): 318–324. doi:10.1016/j.jvs.2014.02.052. PMC 4121436. PMID 24709439.
  17. ^ Rizk JG, Slejko JF, Heil EL, Seo D, Qato DM (2024). "Impact of the US Food and Drug Administration warning regarding increased risk of aortic aneurysms or aortic dissections on fluoroquinolone prescribing trends". BMJ Open Quality. 13 (e002925): e002925. doi:10.1136/bmjoq-2024-002925. PMC 11733791. PMID 39053916.
  18. ^ Yu X, Feng X, Xia L, Cao S, Wei X (November 2020). "Risk of aortic aneurysm in patients with psoriasis: A systematic review and meta-analysis of cohort studies". Clinical Cardiology. 43 (11): 1266–1272. doi:10.1002/clc.23438. ISSN 0160-9289. PMC 7661651. PMID 32757333.
  19. ^ a b Yamawaki-Ogata A, Mutsuga M, Narita Y (7 August 2023). "A review of current status of cell-based therapies for aortic aneurysms". Inflammation and Regeneration. 43 (1): 40. doi:10.1186/s41232-023-00280-8. PMC 10405412. PMID 37544997.
  20. ^ Saratzis A, Bown MJ (June 2014). "The genetic basis for aortic aneurysmal disease". Heart. 100 (12): 916–922. doi:10.1136/heartjnl-2013-305130. PMID 24842835. S2CID 12989538.
  21. ^ Routine screening in the management of AAA, UK Department of Health study Report Archived 2007-02-05 at the Wayback Machine
  22. ^ "Abdominal Aortic Aneurysm". Bandolier. 27 (3). May 1996. Retrieved 7 March 2021.
  23. ^ Salata K, Syed M, Hussain MA, de Mestral C, Greco E, Mamdani M, Tu JV, Forbes TL, Bhatt DL, Verma S, Al Omran M (2018-10-02). "Statins Reduce Abdominal Aortic Aneurysm Growth, Rupture, and Perioperative Mortality: A Systematic Review and Meta-Analysis". Journal of the American Heart Association. 7 (19): e008657. doi:10.1161/JAHA.118.008657. PMC 6404894. PMID 30371297.
  24. ^ Bloomfield D, Carlson GL, Sapre A, Tribble D, McKenney JM, Littlejohn TW, et al. (February 2009). "Efficacy and safety of the cholesteryl ester transfer protein inhibitor anacetrapib as monotherapy and coadministered with atorvastatin in dyslipidemic patients". American Heart Journal. 157 (2): 352–360.e2. doi:10.1016/j.ahj.2008.09.022. PMID 19185645.
  25. ^ Torsney E, Pirianov G, Charolidi N, Shoreim A, Gaze D, Petrova S, et al. (November 2012). "Elevation of plasma high-density lipoproteins inhibits development of experimental abdominal aortic aneurysms". Arteriosclerosis, Thrombosis, and Vascular Biology. 32 (11): 2678–2686. doi:10.1161/ATVBAHA.112.00009. PMID 23023368.*Lay summary in: "Early evidence shows 'good' cholesterol could combat abdominal aortic aneurysm". Science Daily. March 6, 2013.
  26. ^ Walling AD (2006-11-15). "Can ACE Inhibitors Prevent Aortic Aneurysm Rupture?". American Family Physician. 74 (10): 1780.
  27. ^ Sweeting MJ, Thompson SG, Brown LC, Greenhalgh RM, Powell JT (2010). "Use of angiotensin converting enzyme inhibitors is associated with increased growth rate of abdominal aortic aneurysms". Journal of Vascular Surgery. 52 (1): 1–4. doi:10.1016/j.jvs.2010.02.264. ISSN 1097-6809. PMID 20494541.
  28. ^ Kiru G, Bicknell C, Falaschetti E, Powell J, Poulter N (2016). "An evaluation of the effect of an angiotensin-converting enzyme inhibitor on the growth rate of small abdominal aortic aneurysms: a randomised placebo-controlled trial (AARDVARK)". Health Technology Assessment. 20 (59): 1–180. doi:10.3310/hta20590. ISSN 2046-4924. PMC 5002899. PMID 27488944.
  29. ^ "SAAAVE Act Background | Society for Vascular Surgery". vascular.org. Retrieved 2024-01-23.
  30. ^ Aggarwal S, Qamar A, Sharma V, Sharma A (2011). "Abdominal aortic aneurysm: A comprehensive review". Experimental and Clinical Cardiology. 16 (1): 11–15. PMC 3076160. PMID 21523201.
  31. ^ "Mortality results for randomised controlled trial of early elective surgery or ultrasonographic surveillance for small abdominal aortic aneurysms. The UK Small Aneurysm Trial Participants". Lancet. 352 (9141): 1649–1655. November 1998. doi:10.1016/S0140-6736(98)10137-X. PMID 9853436. S2CID 24733279.
  32. ^ Cinà CS, Abouzahr L, Arena GO, Laganà A, Devereaux PJ, Farrokhyar F (July 2004). "Cerebrospinal fluid drainage to prevent paraplegia during thoracic and thoracoabdominal aortic aneurysm surgery: a systematic review and meta-analysis". Journal of Vascular Surgery. 40 (1): 36–44. doi:10.1016/j.jvs.2004.03.017. PMID 15218460.
  33. ^ Khan SN, Stansby G (October 2012). "Cerebrospinal fluid drainage for thoracic and thoracoabdominal aortic aneurysm surgery". The Cochrane Database of Systematic Reviews. 10 (10): CD003635. doi:10.1002/14651858.CD003635.pub3. PMC 7173760. PMID 23076900.
  34. ^ a b Sef D, Thet MS, Miskolczi S, Velissaris T, De Silva R, Luthra S, Turina MI (1 June 2023). "Perioperative neuromonitoring during thoracoabdominal aortic aneurysm open repair: a systematic review". European Journal of Cardio-Thoracic Surgery. 63 (6). doi:10.1093/ejcts/ezad221. PMID 37233116.
  35. ^ Chung JC, Lodewyks CL, Forbes TL, Chu M, Peterson MD, Arora RC, Ouzounian M, Canadian Thoracic Aortic Collaborative, Canadian Cardiovascular Critical Care (January 2022). "Prevention and management of spinal cord ischemia following aortic surgery: A survey of contemporary practice". The Journal of Thoracic and Cardiovascular Surgery. 163 (1): 16–23.e7. doi:10.1016/j.jtcvs.2020.03.034. PMID 32334886. S2CID 216361355.
  36. ^ Thomas DM, Hulten EA, Ellis ST, Anderson DM, Anderson N, McRae F, et al. (2014). "Open versus Endovascular Repair of Abdominal Aortic Aneurysm in the Elective and Emergent Setting in a Pooled Population of 37,781 Patients: A Systematic Review and Meta-Analysis". ISRN Cardiology. 2014: 149243. doi:10.1155/2014/149243. PMC 4004021. PMID 25006502.
  37. ^ Biancari F, Catania A, D'Andrea V (November 2011). "Elective endovascular vs. open repair for abdominal aortic aneurysm in patients aged 80 years and older: systematic review and meta-analysis". European Journal of Vascular and Endovascular Surgery. 42 (5): 571–576. doi:10.1016/j.ejvs.2011.07.011. PMID 21820922.
  38. ^ Paravastu SC, Jayarajasingam R, Cottam R, Palfreyman SJ, Michaels JA, Thomas SM (January 2014). "Endovascular repair of abdominal aortic aneurysm". The Cochrane Database of Systematic Reviews. 2014 (1): CD004178. doi:10.1002/14651858.CD004178.pub2. PMC 10749584. PMID 24453068.
  39. ^ Ilyas S, Shaida N, Thakor AS, Winterbottom A, Cousins C (February 2015). "Endovascular aneurysm repair (EVAR) follow-up imaging: the assessment and treatment of common postoperative complications". Clinical Radiology. 70 (2): 183–196. doi:10.1016/j.crad.2014.09.010. PMID 25443774.